病例介绍
患者,女性,19岁,因身材矮小要求增高入院。入院查体,身高144cm,下肢软组织较肥厚,外观双膝轻度内翻畸形(图1)。双侧髋、膝、踝关节活动好。X线: 双膝内翻畸形,胫骨内翻、股骨外翻(图2)。
图1 术前外观
图2 术前片
临床诊断
1. 膝内翻(双侧)。
2. 胫骨内翻畸形(双侧)。
3. 股骨外翻畸形(双侧)。
治疗原则
治疗原则:确定畸形角度和截骨平面,行股骨髁上截骨、环式外固定器固定缓慢矫正,胫骨结节下截骨、一次性矫正畸形、髓内钉与环式外固定器固定。术后行小腿缓慢延长;早期负重、促进愈合。
外固定设计:使用全环式外固定器。股骨髁上截骨线远、近端各放置一个全环、远端放置一个半环;截骨线近端放置一个全环,股骨中段采用组合结构与近端全环连接。两个全环间采用关节轴连接。
胫骨结节截骨线上方,近端放置一个3/4环,靠近截骨线放置一个全环,螺纹连杆连接两环;小腿远端放置2个全环,两者螺纹连杆连接。近端和远端两组全环间使用延长杆和一个浮动环连接。跟骨处放1个洞孔半环,在内、外侧与小腿远端全环关节轴连接,后侧安装牵伸装置。
治疗过程
择日,于椎管内麻醉下行双侧股骨髁上截骨、环式外固定器固定术,胫骨结节下截骨胫骨带锁髓内钉和环式外固定器固定术。手术分侧完成。
股骨手术于距髌骨上6cm处,股骨外侧做3cm手术切口,常规股骨电钻打孔后不全截骨。套入环式外固定器;在截骨线下1全环上穿过股骨2枚直径2.5mm骨圆针固定;另外的截骨线上、下全环穿过股骨1枚骨圆针固定;于股骨外侧中段穿1枚4.0mm骨圆针固定于组合结构的连杆上。骨刀在股骨打孔处完成截骨,引流后缝合切口。
在胫骨结节下胫骨两侧各做小切口,使用线锯常规截断胫骨。在外踝上10cm处腓骨外侧做切口,常规截断腓骨。截骨完成后矫正胫骨内翻。常规切口、打孔,行胫骨安装髓内钉前的扩髓。常规在胫骨髓腔内打入8mm×300mm交锁髓内钉,近端加锁后缝合切口。小腿延长器套入小腿,在电视X线机下调整胫骨力线后,胫骨远、近端全环上穿交叉骨圆针固定,其中1枚穿过腓骨;近端3/4 环穿1枚骨圆针;跟骨交叉穿入2.5mm骨圆针固定(图3)。
图3 术后X线片
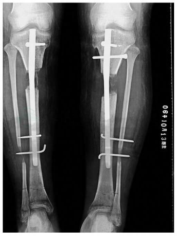
术后7天开始延长双大腿外侧,每次延长1/6圈,每日4次,每次间隔最少3小时,纠正股骨外翻畸形。术后14天,开始延长胫骨,术后3周开始负重练习。延长期间定期测量下肢力线,判断膝内翻矫正程度,并避免下肢旋转。术后1个月,复查X线,双膝内翻畸形纠正,胫骨延长1.2cm,停止延长股骨。术后约4个月,膝关节屈伸活动范围0°~30°,踝关节背伸受限。X线:双侧股骨截骨,骨痂中量,胫骨延长4cm,骨痂少量(图4、图5)。手术去除股骨外固定支架,同时加强下肢功能的锻炼。术后6个月,双膝关节活动范围0°~60°,踝关节背伸左踝5°,右踝0°。X 线:双股骨矫形,骨痂大量,双胫腓骨延长约5cm,截骨面间骨痂中量。手术去除外固定支架,透视下,2枚直径3mm克氏针,由胫骨髓内钉远端锁定孔内侧至外侧固定,折弯针尾,埋于皮下(图6~图8)。
图4 术后14周股骨外固定拆除前正位片
图5 术后14周小腿正位片
图6 术后6个月拆除外固定后小腿正位片
图7 术后6个月拆除外固定后大腿正位片
图8 术后6个月拆除外固定后大、小腿侧位片
随访情况
术后2年,下肢功能恢复良好,延长骨生长良好,去除胫骨髓内钉。



