病例介绍
患儿,男性,8岁。地震伤后左股骨开放骨折、骨感染,左胫骨近端闭合骨折,右肱骨闭合骨折,已住院8天。一直行抗生素治疗。术前3天体温已正常,全身状况尚好;左大腿前外侧可见2处较大面积创面,局部红肿、有脓性渗出,有畸形及反常活动;左小腿近端轻度肿胀,可见皮肤挫伤,无反常活动(图1);右上肢已行石膏外固定,有畸形。X线片显示,左股骨干骨折,断端重叠,未见骨破坏;左胫骨近端骨折,断端无移位;右肱骨骨折,断端重叠移位(图2、图3)。
图1 左股骨开放骨折,骨感染,术前外观
图2 左股骨骨折与胫骨闭合骨折术前片
图3 右肱骨闭合骨折,术前片
临床诊断
1.股骨开放骨折(左)。
2.股骨急性骨感染(左)。
3.胫骨近端闭合骨折(左)。
4.肱骨闭合骨折(右)。
5.小腿表面皮肤挫伤(左)。
治疗原则
骨感染清创、股骨创口内直视下复位、组合结构外固定器固定,术后冲洗引流;胫骨和肱骨闭合复位、组合结构外固定器固定。手术中注意清创的手法,尽量减少感染物的吸收。手术后全身抗生素治疗。感染愈合后,早期活动促进愈合。
治疗过程
全身麻醉下行手术治疗。
试行肱骨闭合复位不成功,随后改为上臂中段外侧小切口切开复位。然后,于肱骨骨折上下端的前外侧,各穿2枚3.0mm骨圆针,连杆连接固定(图4)。切口内置放引流管后关闭切口。
胫骨直接在骨折线两端各穿2枚3.0mm骨圆针,单平面外固定器固定。切口内置放引流管后关闭切口(图5)。
股骨骨感染清创,清除创口周围坏死组织和脓液,清除髓腔内脓液。术中见,髓腔内大量脓液呈暗黑色、稀水样,下水道样臭味。多次过氧化氢、稀释碘附和生理盐水冲洗创口和髓腔。直接在骨折线两端各穿2枚4.0mm骨圆针,行双连杆单平面组合结构外固定器固定。股骨近端和远端开孔,放入1组髓腔内冲洗引流管(图6、图7)。骨折端骨孔外置放一引流管后闭合创口。
图4 左胫骨骨折骨外固定后X线片
图5 右肱骨骨折骨外固定后X线片
图6 左股骨骨感染,清创、骨外固定、引流管置放后外观
图7 左股骨骨感染,清创、骨外固定后X线片
术后给予继续应用全身抗生素,冲洗管内抗生素盐水持续冲洗。术后第二天,股骨冲洗管出管闭塞,冲洗液从骨折断端引流管流出。后该患者转院治疗,持续冲洗时间不详。
随访情况
转院后,因骨折端引流孔有脓性渗出物,多次换药清理,具体操作不详。
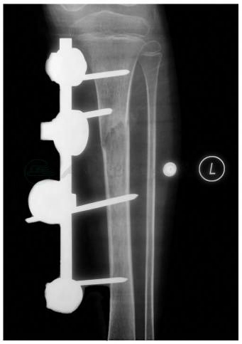
术后4.5个月,右上臂、左小腿外固定针孔无渗出(图8、图9),骨折线已模糊或消失,但外固定器尚未拔除(图10、图11);左大腿外固定牢固尚可,但创口换药处尚未愈合(图12),股骨中段可见大量外骨痂,骨痂内包裹有较多坏死骨骼(图13),未见股骨远近端骨破坏。
后期治疗不详。
图8 术后4.5个月左小腿外观
图9 术后4.5个月右上臂外观
图10 术后4.5个月,右肱骨骨折已愈合
图11 术后4.5个月左胫骨骨折线已模糊
图12 术后4.5个月左大腿外观
图13 术后4.5个月左股骨X线片



