作者
石文元;高超
案例诊断
伸指肌腱止点断裂(左、无名指、陈旧)
病历摘要
病例介绍
患者,男性,26岁。主因外伤后左无名指远节屈曲畸形3个月就诊。就诊时可见左无名指远节屈曲畸形,不能主动伸直,可被动伸直。X线片可见左手无名指轻度屈曲畸形,未见骨块影(图1)。
临床诊断
伸指肌腱止点断裂(左、无名指、陈旧)。
图1 术前X线片
治疗过程
治疗原则
手术肌腱修复,术后制动,早期功能锻炼。
治疗过程及随访
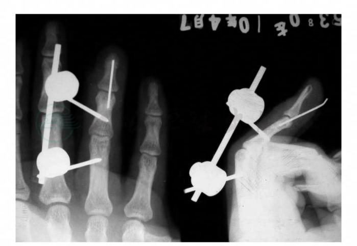
给予门诊手术治疗。手术中常规背侧Z形切口,见伸肌肌腱止点处瘢痕愈合。常规切除部分瘢痕,被动伸直远节指骨,行指骨钢针固定; 而后,将指骨远节置于过伸位,近侧指间关节置于屈曲位,在远、近节指骨桡背侧各穿1枚骨针,行指骨外固定架固定(图2)。
图2 术后X线片
术后门诊抗生素治疗。术后10天,切口无感染(图3)。
术后6周去除内、外固定开始功能锻炼。术后2个月,轻度外伤后远节屈曲畸形,给予金属板过伸位固定4周,屈曲畸形消失(图4),手指功能活动正常。术后1年,患肢畸形未复发(图5)。
图3 术后10天外观
图4 术后2个月外观
图5 术后1年外观
此内容为收费内容
此内容为收费内容



