病例介绍
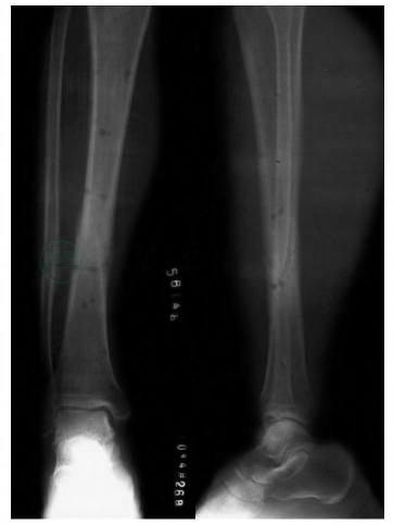
患者,男性,45岁。外伤后右小腿疼痛1天住院。入院时右小腿可及明显骨折征象。自带片显示,胫骨、腓骨中下1/3处螺旋骨折(图1)。

图1 胫骨中下1/3骨折术前
临床诊断
1.胫骨中下1/3骨折(右、闭合)。
2.腓骨中下1/3骨折(右、闭合)。
治疗原则
骨折为不稳定骨折,选择小切口切开复位,组合结构外固定器固定;逐步递增负重、促进愈合。
治疗过程
入院后择期行小切口切开复位,组合结构外固定架固定术。术中直视下复位后,于胫骨前内侧胫骨的远、近端各穿入1枚4.0mm半针,连杆连接固定;然后,于靠近骨折线约3cm各穿入1枚4.0mm半针,固定于连杆上。于胫骨前外侧,两个骨折段的两枚半针之间再各穿入1枚半针,将两枚半针用另一连杆连接固定后,用一横连杆将此连杆与前内侧连杆连接固定(图2、图3)。借胫骨切口,手指触摸下复位腓骨骨折。
术后1天进行肌肉舒缩活动,3天床上活动患肢,7天保护下非负重活动,术后12天切口拆线出院,逐步负重活动肢体。

图2 术后

图3 术后外观
随访情况
术后2个月复查,骨折线变模糊(图4),给予拆除部分外固定。手术后90天复查,骨折线显示不清(图5),给予拆除全部外固定。拆除后3天起,自行负重行走,患肢无疼痛,针孔无感染征象,午后有轻度水肿,膝、踝关节活动功能正常(图6)。术后5个月,行走正常,X线片显示骨折线已看不清(图7、图8)。

图4 术后2个月,外固定部分拆除前

图5 术后90天,外固定全部拆除前

图6 拆除外固定后3天外观

图7 术后5个月

图8 术后5个月外观