病例介绍
患者,男性,42岁,主因“车祸伤致左膝内翻畸形、活动受限约17年”来笔者所在医院就诊。患者17年前因“车祸”致伤,伤后患者双下肢出血、疼痛、活动受限。于外地某医院诊断双下肢开放性骨折,血管神经损伤,具体不详。行右小腿膝关节下截肢术,左股骨远端、胫腓骨中下段清创接骨板内固定术。术后左大腿远端外侧出现窦道,当时考虑“接骨板异物反应”,给予换药和对症处理治疗。术后3年取出接骨板后愈合。因左膝关节内翻畸形、膝关节僵直及踝关节活动受限,屈趾畸形来北京积水潭医院求治。
专科检查:一般望诊及步态:患者右小腿佩戴义肢,跛行。右膝关节下10cm截肢。皮肤损伤:左髂骨有一8cm长取髂骨术切口愈合瘢痕。左大腿远端外侧有2个纵行手术切口瘢痕,长约18cm。左小腿远端内侧有皮肤凹陷及瘢痕。畸形及肿胀:双下肢无肿胀,左下肢内翻畸形(图1)。触诊:左股骨远端及胫腓骨远端无压痛,骨盆挤压分离试验阴性。骨擦音及反常活动未及。动诊:左膝、踝关节僵硬。左膝主动屈曲80°,伸直0°(图2),左踝关节伸5°,屈曲30°,足趾1~5末节屈曲畸形,被动伸趾时小腿远端内侧有肌肉牵拉活动。量诊:双股骨从大转子到外髁左35cm、右40cm。右小腿膝下10cm缺失。四肢血管神经:左下肢肢端皮肤温暖,色泽正常,弹性好,毛细血管再充盈时间正常,足背动脉搏动正常,肢体肌肉牵拉痛阴性,皮肤痛触觉:足底及足跟减退,足趾屈曲畸形,伸直受限。
X线片显示股骨远端内翻畸形(图3)。

图1 术前外观

图2 术前关节活动范围

图3 术前X线片
临床诊断要点
根据病史、体征及X线片可明确诊断:
1.股骨髁上骨折术后,膝关节内翻畸形愈合(左)。
2.股骨短缩畸形(左)。
3.关节僵硬(左膝、踝)。
4.胫后神经损伤(左)。
5.屈肌腱粘连陈旧性(左足趾) 。
6.异物存留(左股骨髁上)。
7.胫腓骨骨折术后(左,畸形愈合)。
治疗原则
微创操作,股骨髁上截骨,矫正膝内翻畸形、髓内针固定,促进骨折愈合。
治疗过程
麻醉成功后,患者平卧位。先平行膝关节拧入两枚Schanz针,在股骨小粗隆水平垂直骨干拧入两枚Schanz针(图4、图5),安装LRS( 图6),于胫骨结节水平自前向后垂直骨干拧入一枚Schanz针,以此为圆心,用电钻在股骨髁上弧形间断性钻孔,最后用骨刀将诸孔之间的骨质打断完成穹顶截骨术(图7),透视下证实截骨完全(图8)。外固定架旋转纠正解剖轴成角畸形,同时平移纠正机械轴对线,证实解剖轴和机械轴位置良好(图9)。通过LRS在截骨端间施加压力。常规于股骨髁逆行扩髓,起到在截骨端内植骨的作用,插入10mm×300mm SN髓内针(图10、图11),拧入1枚阻挡钉,锁定远端3枚锁钉,近端2枚锁钉(图12、图13)。透视下确定位置满意后,术中拍片再次确认复位固定可靠。止血带下手术,小腿远端内侧纵行切口,显露踝管,见胫后神经和血管粘连于瘢痕组织中,分离出并加以保护,向近端分离粘连严重的屈趾屈肌腱肌腹部分,屈趾畸形明显改善。

图4 穿入股骨髁上Schanz针

图5 穿入小转子部Schanz针

图6 安装LRS

图7 确定CORA并弧形截骨

图8 透视证实截骨完成

图9 利用LRS矫正畸形

图10 股骨逆行扩髓

图11 插入髓钉

图12 远端安装阻挡钉和锁钉

图13 近端安装锁钉
术后X线片,可见股骨内翻畸形纠正,截骨端由于不在CORA,截骨端平移以纠正机械轴对线。截骨端内侧可见截骨纠正成角后的间隙,由于闭合操作,保护血运,有利于骨折愈合(图14)。术后双下肢力线X 线片证实解剖轴和机械轴位置良好(图15)。术后CT测量股骨颈前倾角、两侧前倾角相差1°、股骨无旋转畸形(图16)。

图14 术后片

图15 术前、后双下肢力线片对照

图16 术后CT
随诊结果
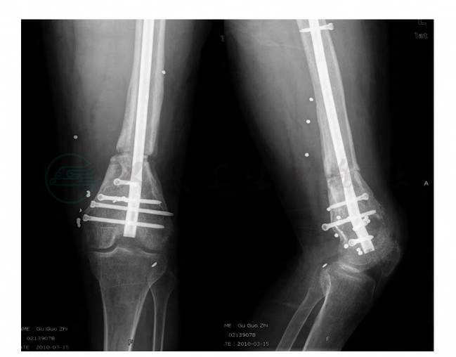
术后3个月复查片,可见截骨端骨质愈合情况,骨痂连续,已有愈合(图17)。

图17 术后3个月X线片
术后6个月复查片,可见骨折愈合,内侧间隙骨痂愈合好,再次证实闭合操作,保护血运,利于骨折愈合(图18); 力线复查片,可见骨折愈合,股骨内翻纠正良好(图19);体位片,可见膝关节屈曲、伸直同术前,微创伤口愈合好,股骨内翻畸形纠正好(图20)。

图18 术后6个月X线片

图19 术后6个月力线片

图20 术后6个月外观及关节功能