病例介绍
患者,男,37岁。因“右胫骨骨折术后伤口脓性渗出3个月”入院。3个月前,因“行走时被汽车撞倒”致左股骨转子间骨折、右胫骨骨折。急诊于当地医院行右胫骨切开复位接骨板螺丝钉内固定、左股骨外固定架固定术。1个月后,因右胫腓骨伤口感染实施清创术,取出内固定物,改用外固定架固定。又因小腿手术切口脓性渗出,骨外露,2个月后再次实施清创术、局部转移皮瓣术。因皮瓣部分坏死、感染无法控制3周后来北京积水潭医院就诊。
骨科专科情况:患者平卧位,左大腿无明显畸形,以单边外固定架固定。右小腿中段前内侧皮肤缺损约5cm×3cm,胫骨前内侧骨质缺如,后外侧骨质外露,伤口有脓性分泌物。周围皮肤轻度肿胀,局部皮温不高。在小腿前外侧有一个长约15cm的L形切口瘢痕。右小腿前内侧以国产单边外固定架固定胫骨(图1)。踝关节跖屈、背伸:10°~5°(主、被动一致),足部动脉搏动可及,毛细血管充盈时间正常,足趾活动正常。左膝关节屈伸:15°~0° (主、被动一致)。X线片示:左股骨骨折,外固定架固定,骨折对位、对线良好。右胫骨远段粉碎骨折,骨折对位、对线好,前内侧有部分骨质缺损,胫骨以外固定架固定;腓骨中下1/3交界处短斜行骨折,骨折远端向外移位约1个皮质(图2)。

图1 术前外观

图2 术前X线片
临床诊断
1.胫腓骨骨折外固定架固定术后,胫骨感染(右,远段)。
2.右小腿皮肤缺损(右,中段)。
3.股骨转子间骨折外固定架术后(右)。
治疗原则
彻底清创,LRS外固定架固定,Ⅰ期短缩肢体,Ⅱ期延长肢体恢复肢体长度。
治疗过程
伤后4个月行右胫骨清创术、原外固定架取出术、LRS置放术(图3)。术毕胫骨缺损4.5cm(图4)。重新铺无菌巾,更换手术衣、手套和手术器械,将腓骨中上段5cm截除(图5),借助LRS将肢体短缩3cm,右小腿前外侧观显示胫骨缺损间隙变小,透视显示胫骨缺损间隙约1cm(图6)。观察足部皮肤颜色苍白,用克氏针刺穿第1足趾,拔出克氏针后针道无渗血。迅速恢复肢体长度1cm(图7),针道及针刺足趾出现活动性出血(图8)。仅缝合右小腿近段伤口,用无菌敷料填塞于胫骨缺损处,加压包扎。

图3 第一次清创术中外观

图4 术中缺损处外观

图5 腓骨截骨胫骨短缩后外观

图6 透视下显示胫骨缺损间隙减小

图7 肢体远端缺血胫骨恢复部分长度后外观

图8 肢体长度回复后,足趾针刺后出血
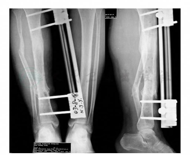
术后4天取出敷料,见约4cm×2cm大小创面形成,伤口清洁,无脓性分泌物(图9)。术后X线片示胫骨远段骨缺损3cm长,骨折对线好,胫骨以LRS固定,腓骨上段缺损4cm(图10)。从术后第4天之后开始每日短缩4mm,分4次,每次1mm。术后10天,右小腿前面观可见创面明显缩小,无脓性分泌物(图11);右胫腓骨正、侧位X线片示:胫骨远段骨缺损间隙消失,骨缺损端间对位、对线好,胫骨骨折力线好,腓骨近段骨缺损间隙约1cm。侧位片示腓骨远侧骨折端向后方成角畸形(图12)。

图9 术后4天创面外观

图10 术后X线片

图11 术后10天外观

图12 术后10天X线片
术后16天右小腿创面进一步缩小(图13),行右胫骨近段截骨术,术后10天开始骨运输术。

图13 术后16天外观
随诊结果
伤后5个月,行左股骨转子间骨折外固定架取出术。
伤后6个月,截骨运输术后2个月,双下肢等长。右胫骨X线片示胫骨近段截骨部间隙为4.5cm(图14)。

图14 伤后6个月,骨运输后2个月X线片
伤后11个月(外固定取出6个月),因“左髋部感染窦道形成”至积水潭医院就诊,局部换药7天后行左髋部窦道切除术;2天后出院。
骨运输后9个月,因新骨形成好,接触端骨折已愈合,行右胫骨中段2枚Schanz针取出术(截骨部位远近段各1枚Schanz针),术后弃双拐行走。
骨运输术后11个月患者复查:双小腿长度大致相等,右小腿无成角畸形,无感染征象(图15)。右踝关节跖屈、背伸幅度与健侧相同( 图16)。患肢髋关节、膝关节屈曲幅度正常(图17)。右胫、腓骨正、侧位X线片:右胫骨新生骨形成好,骨缺损端愈合;腓骨骨折均愈合,远折端向后成角畸形(图18)。当日拆除LRS,持双拐步行3个月后弃拐行走。

图15 骨运输后11个月外观

图16 骨运输后11个月踝关节功能

图17 骨运输后11个月膝关节功能外观

图18 拆除外固定前X线片
拆除LRS后12个月复查:患者无不适,恢复原工作;右胫腓骨正、侧位X线片示:胫骨力线正常,新生骨形成好,胫骨接触端愈合好。腓骨2处骨折均愈合,远折端向后成角畸形。LRS已被拆除(图19)。

图19 拆除外固定后1年X线片