病例介绍
患者,男性,40岁,河北承德人。2005年6月患者因“车祸致双侧股骨髁间骨折、骨盆骨折合并左胫骨开放骨折”于当地医院手术治疗。因“左小腿骨折术后胫骨外露并脓性渗出1个月”来北京积水潭医院就诊。
入院时骨科专科情况:平卧位,右大腿远段的前外侧有一20cm长纵行手术切口瘢痕,右小腿中、远段内侧有一长14cm、宽5cm的创面,远侧创面前方可见胫骨骨折块和捆绑其上的2个钢丝环,外露胫骨骨折块呈暗黄色,通过骨折间隙可见其深部有较多脓性分泌物。创面后方为肉芽组织(图1)。左膝内翻,髌骨下前方有一长5cm纵行手术切口瘢痕。双膝屈伸活动正常。右足肿胀,足跟部可见一约3cm×2cm皮肤坏死痂皮(图2)。足趾血运、感觉和活动好。

图1 术前外观

图2 跟部有皮肤坏死
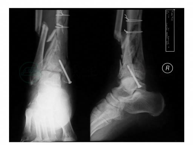
右踝关节X线片(图3):胫骨远段粉碎骨折,骨折累及长度9cm,骨折近端以2个钢丝环固定,内踝以一枚螺丝钉固定,骨折线清晰,胫骨略呈外翻。腓骨于踝关节水平8cm以近骨折,骨折远端呈向内短缩移位。

图3 右踝X线片
临床诊断
1.胫骨远端开放骨折术后感染(右,螺钉、钢丝)。
2.胫骨远端骨坏死合并皮肤缺损及畸形(右)。
3.股骨髁间骨折术后(双)。
4.骨盆骨折术后(开书型)。
治疗原则
治疗原则:保肢,保留踝关节修复创面,重建胫骨。
治疗方案
1.彻底清创,重建外固定架跨踝关节固定,开放创面。
2.换药,用植皮术修复创面。
3.用截骨术、骨运输术重建缺损的胫骨。
4.尽可能保留踝关节功能。
治疗过程
伤后2个月,实施LRS外固定架胫骨固定术,远端穿针在跟骨上跨踝关节固定(图4)。再实施清创术,术毕开放伤口(图5)。术后胫腓骨正、侧位X线片示:借助平片标尺测量切除坏死胫骨10cm(图6)。
术后33天,肉芽组织填满创面(图7),行同侧大腿取皮、小腿创面游离植皮术。

图4 外固定术中透视

图5 清创术后外观

图6 清创术后X线片

图7 清创术后33天,植皮术前创面外观
植皮术后37天所移植皮片成活(图8),行胫骨近段截骨术(图9)。术后常规骨运输,并嘱患者开始功能锻炼(图10)。
截骨骨运输术后3个月,将跨踝关节外固定架改为不跨踝关节外固定架固定(图11)。术后嘱患者积极开始踝关节功能锻炼。
截骨骨运输术后7.5个月,胫骨骨缺损端相接触,X线片示远折端向内侧移位,接触端间接触面不平整(图12)。实施胫骨骨接触端清理术(图13)。术后继续骨运输。

图8 植皮术后37天,截骨术前外观

图9 截骨术后X线片

图10 骨运输治疗中进行功能锻炼

图11 截骨术后3个月外观,非跨踝固定

图12 截骨术后7.5个月X线片,断端不平整

图13 断端清理术后X线片
随诊结果
接触端清理术后2周,小腿远端伤口无脓性分泌物(图14);接触端清理术后5周,右小腿远端伤口缩小,无脓性分泌物(图15);8周后右小腿远端伤口间隙消失(图16)。
骨运输术后15个月,患肢无感染征象(图17)。右胫骨X线片示新生骨形成好,胫骨缺损接触端骨折愈合(图18)。当日去除外固定架,之后持双拐部分负重行走。
外固定架被拆除1周后患者来院复查时与患有相似损伤的患者进行交流(图19)。拆除外固定架后的右小腿无畸形,拆除外固定架针道无红肿,尚未闭合(图20),X线片示:位于右胫骨中段的新骨形成好,骨接触端愈合。胫骨已无外固定架固定(图21)。

图14 断端清理术后2周外观

图15 断端清理术后5周外观

图16 断端清理术后8周外观

图17 骨运输15个月外观

图18 骨运输15个月,去除外固定前X线片

图19 患者间交流

图20 拆除外固定1周外观

图21 拆除外固定1周X线片
拆除外固定架后4.5个月,患者完全负重行走。右小腿无畸形,感染无复发,右踝关节主动跖屈40°,主动背伸到中立位(图22)。患者屈髋正常,最大下蹲位受限,完全弃拐站立,右膝关节最大屈膝120°(图23)。

图22 拆除外固定后4.5个月外观及功能

图23 拆除外固定4.5个月患肢髋、膝功能