病例介绍
患者,男性,41岁。因“左小腿外伤术后胫骨外露6周”入院。6周前患者因外伤致胫骨近段骨折(图1)于当地医院行开放复位接骨板螺丝钉内固定术。因术后皮肤坏死,胫骨外露,于2005年7月8日入北京积水潭医院手外科,又转入创伤骨科就诊。既往体健。
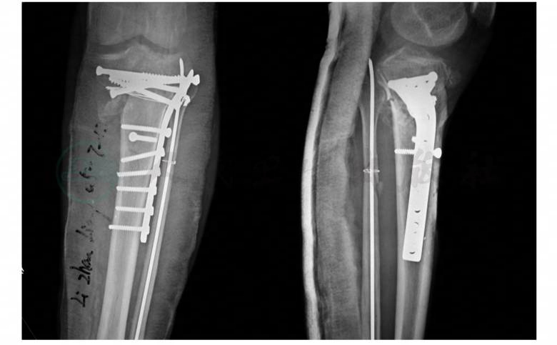
骨科专科情况:左小腿近段前内侧可见一9cm长、最宽为4cm的创面,胫骨前内侧骨质外露。创面外缘可见接骨板,中部有一螺丝钉帽。胫骨内侧面呈暗黄色,远折端向内翘起,表面有少许肉芽组织。骨折近端胫骨骨质呈暗黄色,创面无渗出物(图2)。骨折端无异常活动。膝、踝关节活动正常。足趾远端血运、感觉活动正常。胫骨近段正、侧位X线片示胫骨近段骨折,骨折对位对线好,以接骨板螺丝钉固定。腓骨近段骨折,骨折对位对线好,以一枚克氏针和钢丝环固定(图3)。

图1 外伤后X线片

图2 入院时外观

图3 入院时X线片
临床诊断
1.胫骨平台骨折内固定术后感染(左,近段,接骨板螺丝钉)。
2.小腿皮肤缺损、胫骨外露(左,前内侧、近段)。
治疗原则
消除感染,修复失活的胫骨及创面。通过实施清创术和外固定架置放术清除感染。通过骨运输术修复胫骨骨缺损和皮肤缺损。
治疗过程
于入院后6周实施左胫骨Orthofix LRS混合重建外固定架置放、胫骨清创术。术中切除与外露的胫骨长度相同的骨段后,发现切除的胫骨前内侧面内缘骨质颜色正常,骨髓腔内肉芽组织新鲜;后外侧面和后面骨质表面有骨膜,骨质颜色正常;远近端髓腔内的松质骨富含血运,在切除之前应该还有血液供应(图4)。创面最长10cm、最宽8cm(图5)。创面旷置,无菌敷料加压包扎。术后左胫骨X线片示胫骨平台骨折以混合式外固定架固定,胫骨结节以远胫骨缺失9cm,骨折对线好(图6)。

图4 切除的胫骨

图5 手术后创面外观

图6 手术后X线片
术后换药,伤口逐渐缩小(图7)。
清创术后31日于胫骨远段行截骨术(图8、图9)。术后2周开始骨运输术(图10)。

图7 治疗中创面外观

图8 截骨术中

图9 截骨术后外观

图10 骨段运输滑动后18天X线片
随诊结果
截骨术后1个月,骨段运输2.7cm(图11),创面进一步缩小(图12)。截骨术后2个月余创面闭合、滑动距离加大(图13、图14) 。截骨术后3个月余胫骨缺损端相接触。
截骨术后5个月因骨接触端皮肤内陷(图15),行骨接触端清理术,皮肤松解术。
截骨术后1年左小腿原创面皮肤平整,无炎性体征,针道干燥(图16); 左踝关节无内翻畸形(图17); 骨缺损端愈合,新骨形成好( 图18)。去除外固定架。
去除外固定架后1.5个月,伤口感染无复发(图19),患者下肢功能正常(图20),骨愈合好(图21)。恢复原来的工作(汽车司机)。

图11 截骨术后1个月X线片

图12 截骨术后1个月创面

图13 截骨术后2个月,创面闭合

图14 截骨术后2个月X线片

图15 截骨术后5个月,皮肤内陷

图16 截骨术后1年,断端清理7个月拆除外固定前外观

图17 截骨术后1年,踝关节功能外观

图18 截骨术后1年X线片

图19 去除外固定器1.5个月小腿外观

图20 去除外固定器1.5个月下肢功能外观

图21 去除外固定器1.5个月X线片