病例介绍
患者,男性,29岁。主因“车祸致右上臂骨折术后渗出7个月”就诊。患者于2008年5月24日因车祸致右上肢出血、疼痛、畸形、活动受限,于某医院诊断为“右肱骨多段、开放、粉碎骨折(图1~图3),右桡骨骨折(图4),右桡、尺、正中神经损伤”,急诊行右肱骨清创、外固定架固定术,右桡骨髓内针内固定术(图5),右上肢清创植皮术。因术后右上臂感染曾于伤后约3个月来北京积水潭医院门诊求治(图6、图7)。
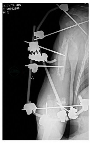
伤后7个月就诊时右上臂外固定架固定,右上臂近、中段外侧有一长21cm、宽9cm的瘢痕,且与肱骨贴附。肩部前外侧有1个直径2cm的窦道(图8),肱骨近端外固定架的2枚斯氏针已经松动。右肘关节固定于屈肘80°位,肘后有1个黄豆大小的窦道(图9)。右前臂内侧感觉迟钝,右手伸指、伸拇、伸腕不能,拇指外展不能。松开外固定架连杆后,肱骨近、远端有异常活动。X线片显示右肱骨近端粉碎骨折,骨折累及干骺端,肱骨近端骨质有被吸收的表现,外固定架的2枚斯氏针交叉将肱骨头固定于肩胛盂;肱骨中段骨端游离,与肱骨髁有约6cm长的骨缺损(图10)。肱骨髁间骨折,外固定架远端的2枚半针分别拧在肱骨内、外髁。右桡骨骨折复位好,可见髓内针固定,骨折线消失(图11)。

图1 右肱骨头及肱骨干近段粉碎骨折,骨折移位明显。肱骨头与肱骨干之间大部分骨质缺如

图2 肱骨远、近端骨折,骨折粉碎且移位明显,仅借助X线片上的标尺计算,肱骨远段骨缺损尺侧为4cm,桡侧为7cm

图3 肱骨远端骨折,肱骨髁间粉碎骨折且移位明显。干骺端骨质缺损

图4 桡骨干中段骨折,骨折呈重叠移位

图5 X线片示:右肱骨以外固定架固定,右桡骨以髓内针固定

图6 术后3个月,右肩、肘和肱骨用管形外固定架和支具固定,右肘关节固定于屈肘80°位,肩关节处于中立位。右肩部窦道以敷料包扎。在打开伤口时患者面部表情痛苦

图7 术后3个月,右上臂以外固定架固定,右上臂近、中段外侧有一长21cm、宽9cm的瘢痕,其间散布多个不规则渗出创面,肩部前外侧有一个直径约2cm的窦道

图8 术后7个月,右肱骨以外固定架固定。右上臂近、中段外侧有一长21cm、宽9cm的瘢痕,其上散在创面覆盖。右肩部外固定架可见2个针道均有炎性反应,肩部前外侧有一个直径约为2cm的窦道,有脓性分泌物渗出

图9 术后7个月,肘后有1个黄豆大小的窦道

图10 术后7个月,X线片肱骨近端粉碎骨折,骨折累及干骺端,肱骨近端骨质有被吸收的表现,干骺端骨质不完整。外固定架的2枚斯氏针交叉将肱骨头固定于肩胛盂。与肱骨髁之间有约6cm长的骨缺损

图11 术后7个月,X线片示外固定架远端以2枚半针固定于肱骨髁。右桡骨以髓内针固定,骨折线消失
临床诊断
1.肱骨近端开放骨折外固定架术后感染性不愈合(右)。
2.肱骨远段骨缺损6cm(右)。
3.肱骨髁间骨折术后(右)。
4.桡、尺、正中神经损伤(右)。
5.桡骨骨折髓内针内固定术后骨折愈合(右)。
6.上臂皮肤缺损植皮术后创面愈合(右)。
7.肩关节僵直(右)。
8.肘关节僵直(右)。
治疗原则
治疗原则:保留患肢;消除感染;恢复肱骨连续性;改善外观;提高功能。
治疗计划:①彻底清创,外固定架固定,充分引流,降低感染程度;②开放植骨治疗肱骨近段骨折不愈合及感染;③通过骨运输修复肱骨远段骨缺损;④使用皮肤扩张器扩张瘢痕周围正常皮肤,切除部分瘢痕组织,使用局部皮瓣改善上臂皮肤条件;⑤远端接触端复位、内固定并植骨促进骨折愈合。
治疗过程
于伤后7个月在全麻下行右肱骨外固定架拆除、右肩部伤口清创、肱骨环形外固定架固定、VSD置入、负压吸引术。手术拆除原外固定架,将吸引器逐渐插入窦道内吸出脓液,然后以亚甲蓝液注入窦道。用刮匙清除尽肩部窦道内的大量蓝染的炎性组织后,彻底冲洗伤口,直至窦道内无蓝染。见肱骨干骺端骨质缺损约1cm。
先于锁骨、肩峰分别拧入1枚Schanz针,用一个半环将此2针相连。以此环为标准,置放Ilizarov外固定架。于肱骨中段外侧拧入2枚Schanz针,远端钢针固定于尺骨近端,用环形外固定架连接固定此针,固定肱骨骨折端,肘关节固定于屈肘80°位(图12、图13)。借助外固定架将肱骨短缩1cm,使肱骨近段骨折端间部分相接触。术后2天于肩部伤口内置VSD给予持续负压吸引治疗(图14)。

图12 清创、Ilizarov外固定架固定术术毕外观

图13 清创、Ilizarov外固定架固定术术毕X线片,正位显示对线不佳。外固定架最近侧半环上的2枚Schanz针固定在锁骨和肩峰。2枚Schanz针分别固定于肱骨干。外固定架远端以1枚克氏针固定于尺骨鹰嘴,1枚Schanz针固定于桡骨

图14 右肩部窦道清创术后2天,以VSD负压吸引右肩部伤口
术后使用VSD吸引2个月,冲洗后患肢创口肉芽组织生长良好,色泽红润,表面无脓性分泌物,彻底冲洗后,右肩部创口见深处肱骨表面也被肉芽组织覆盖(图15)。
在臂丛及腰硬联合麻醉下,再行右肱骨清创术,并取对侧髂骨开放植骨术。术中对肩外侧深6cm、直径1.5cm的伤口给予彻底清创,取左侧髂前上棘处松质骨修整成松质骨条(图16)。紧密填塞于伤口之内(图17),术后右肩部植骨区行开放换药。3周后回家自行换药。

图15 2个月后拆除VSD,见创面无脓性渗出,肉芽组织覆盖创面。彻底冲洗后,右肩部创口深处肱骨表面也被肉芽组织覆盖

图16 再次对伤口实施清创术后,创面清洁。用骨刀取下片状自体髂骨,将髂骨片剪成条状塞入创口

图17 植骨术完毕,自体骨条打压紧密,突出于创面
植骨术后3个月余复查时,右肩部植骨面及肘部创面被瘢痕组织覆盖,无炎症反应征象(图18)。伤后8个月开始恢复伸腕,伤后9个月恢复手指的屈、伸活动,约伤后1年(植骨术后5个月)恢复伸拇指的掌指关节。手部感觉及活动大部分恢复,仅尺侧1个半指感觉麻木。肱骨近段骨折不愈合处已经愈合(图19)。

图18 植骨术后3个月余,右肩部开放植骨区创面干燥,表面被干痂覆盖。右上臂后外侧大面积瘢痕表面无感染征象,患肢侧面观,手指可外展,掌指关节、指间关节可以伸直并外展,患肢正面观,患侧手可握拳

图19 植骨术后5个月,X线片示肱骨近段骨折对位对线好,骨折线模糊。肱骨远端骨缺损,缺损端对位对线差。骨折以Ilizarov外固定架固定
植骨术后近6个月,在臂丛麻醉下行右肱骨环形外固定架拆除、肱骨干截骨术、LRS外固定架固定术。术中先将Ilizarov外固定架取出,把OrthofixLRS固定于肱骨中段固有的2根Schanz针上(图20),再分别于肱骨中段的远、近钉夹各拧入1根Schanz针,于肱骨髁自外向内平行肘关节面水平钻入1枚克氏针(图21、图22),以Orthofix肘关节外固定架上的上臂钉夹套于肱骨中段近侧2枚Schanz针,让旋转钮上的针孔穿过肱骨髁部的克氏针(图23)。将前臂处于中立位,借助肘关节外固定架于尺骨中段垂直于骨干,在尺骨内、外缘的中点拧入2枚Schanz针(图24~图26),使外固定架架体与皮肤之间相距2cm,肘关节屈曲约90°,用限力扳手拧紧球形关节(图27、图28),调整肱骨骨折端对位。将延长-短缩螺栓置于肱骨上的重建外固定架2个钉夹之上,用扳手将螺栓延长5mm,使2组钉夹之间产生张力(图29)。取肱骨中段前内侧约2cm纵切口,钝性分离至骨质(图30),以直径4.8mm的钻头垂直于肱骨干纵轴钻出多个骨孔(图31),以骨刀将骨孔间骨皮质截断完成截骨术(图32),透视证实截骨完成(图33),再缩短螺栓,使截骨端间稍有压力(图34)。术后肱骨正、侧位平片示对位、对线佳(图35)。

图20 Ilizarov外固定架取出后,把Orthofix LRS固定于肱骨中段固有的2根Schanz针上

图21 分别在肱骨中段的远、近钉夹各拧入1根Schanz针,于肱骨髁自外向内平行肘关节面水平钻入1枚克氏针

图22 肱骨近端固定后外观

图23 确定旋转中心,以Orthofix肘关节外固定架上的上臂钉夹套于肱骨中段近侧2枚Schanz针,让旋转钮上的针孔穿过肱骨髁部的克氏针

图24 取前臂横行切口2cm长,以血管钳钝性分离显露尺骨

图25 将2把血管钳分别置于尺骨尺侧缘和桡侧缘,充分显露尺骨的宽度。在尺骨中央钻孔

图26 在尺骨中段拧入2枚Schanz针

图27 用限力扳手拧紧球形关节

图28 安装结束后外观

图29 将延长-短缩螺栓置于肱骨上的重建外固定架2个钉夹之上,用扳手将螺栓延长5mm,使2组钉夹之间产生张力

图30 取肱骨中段前内侧约2cm纵切口,钝性分离至骨质

图31 以直径4.8mm的钻头垂直于肱骨干纵轴钻出多个骨孔,钻孔过程中不断用注射器滴水降温

图32 以骨刀将骨孔间骨皮质截断,完成截骨术

图33 透视证实截骨完成

图34 截骨端间加压后间隙变窄,对位好

图35 术后正侧位片显示对位、对线好
截骨术后10天开始将截骨段向远折端进行牵拉,进行骨运输以修复骨缺损。牵拉2周后复查时见截骨端伤口甲级愈合,针道无炎性反应(图36)。平片示截骨端距离增宽(图37)。50天后,运输骨段与远折端接触,停止骨运输。

图36 牵拉滑移2周后复查时见截骨端伤口甲级愈合,针道无炎性反应

图37 牵拉滑移2周后平片示截骨端距离增宽
为了改善上臂和肘部皮肤条件,截骨术3个月后入住中国协和医科大学整形外科医院行上臂和前臂近段皮肤扩张器植入术。不断增加扩张器容积后,皮肤不断被扩张(图38)。

图38 截骨术3个月后行上臂和前臂近段皮肤扩张器植入术,扩张2个月后皮肤扩张器已经膨隆得非常明显
截骨术后5个月X线片示肱骨干的远段被向远侧运输,新生骨固化好(图39)。

图39 截骨术后5个月X线片示肱骨干的远段被向远侧运输,新生骨固化好
截骨术后6个月拆除外固定架。上肢以支具临时制动;8个月右上肢针道愈合,局部没有感染征象(图40),X线片示新生骨固化良好,肱骨远端没有愈合(图41)。于是,在全麻及臂丛麻醉下行右肱骨髁上切开复位术,骨折不愈合端清理术。分别以5孔、7孔LCP接骨板在肱骨远段的后侧及后外侧固定(图42),并将骨折端周围的骨痂修整剪碎后移植于骨折端。取出皮肤扩张器,切除部分瘢痕(图43),修整皮瓣后缝合伤口,内置1根引流管(图44)。

图40 拆除外固定2个月后,局部无感染征象

图41 去除外固定架后的肱骨正位X线片显示远端没有愈合

图42 接骨板固定肱骨远端

图43 切除的瘢痕

图44 取出皮肤扩张器,修整皮瓣后缝合伤口。内置1根引流管
随访结果
术后3.5个月随访,患肢无红、肿、热、疼痛,双上肢等长(图45)。右肩关节活动受限(图46)。右肘关节僵直于屈肘80°位,前臂旋转受限(图47),腕关节屈伸活动好(图48);X线片显示右肱骨头不规则,右肱骨近端骨折愈合,对位、对线好(图49)。肱骨远段骨折复位好,接骨板固定稳定,骨折线不清(图50)。

图45 接骨板固定术后3.5个月,患肢无感染征象,双上肢等长

图46 接骨板固定术后3.5个月,肩关节功能外观

图47 接骨板固定术后3.5个月,肘关节功能外观

图48 接骨板固定术后3.5个月,腕关节功能外观

图49 接骨板固定术后3.5个月,肩关节X线片

图50 接骨板固定术后3.5个月,肘关节X线片