病情介绍
患者,女,21岁,大学学生,因“畏寒、发热4天”于2006年12月13日入院。患者自诉入院前4天时出现无明显诱因的畏寒发热,体温在38~40℃,伴咽痛,无咳嗽、咳痰,无胸痛、咯血。发热时伴全身疼痛。入院前1天夜晚出现腹泻,共4次,非水样便,色黑,曾在校医院查血白细胞为1.9×109/L,给予“抗炎”治疗(具体用药不详),效果不佳,就诊于院血液科,复查血常规显示WBC 1.5×109/L,为进一步诊治于12月13日上午9:30收入院血液科并住院。起病以来精神欠佳,饮食睡眠差,小便尚可。既往体健。
入院体检
T 39.4℃,P 110次/分,R 22次/分,BP 85/45mmHg。发育正常,营养中等,轻度贫血貌,神志清楚,痛苦面容,自动体位,检查合作。全身皮肤无黄染、出血点及皮疹,全身浅表淋巴结未触及肿大。巩膜无黄染。口唇无发绀,双扁桃体轻度肿大。颈软,气管居中,甲状腺不肿大。两肺呼吸音清,未闻及干湿
啰音。心前区无隆起,心尖搏动位于左第5肋间隙锁骨中线处,心率 110次/分,律齐,各瓣膜听诊区未闻及杂音。腹平软,无压痛、反跳痛,肝脾未触及。最终诊断
社区获得性耐甲氧西林金黄色葡萄球菌严重脓毒血症。
重要提示
1.青年女性,平素身体健康;
2.骤然起病,畏寒高热、腹泻、外周血WBC下降;
3.病情迅速进展,皮肤出现脓疱、血源性肺炎、感染性休克、呼吸衰竭等;
4.皮肤脓液和血培养多次为MRSA;
5.糖肽类抗生素治疗有效,但重症监护、全身治疗、及时发现和处理各种并发症是抢救成功不可忽视的重要环节。
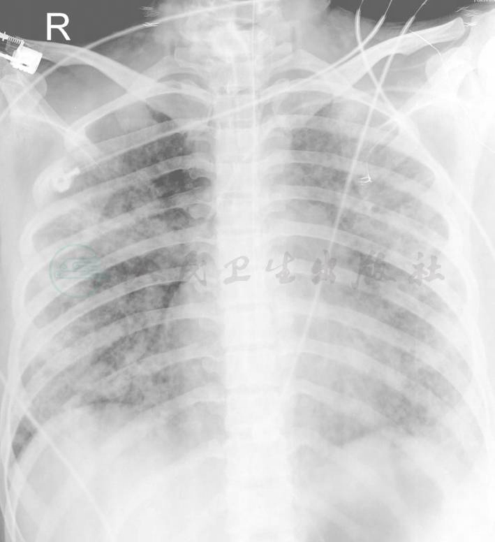
入院抽血培养后给予青霉素、头孢曲松抗感染、升白细胞及对症支持治疗。同时进行骨穿检查,结果显示骨髓类白血病反应可能性大,白血病不能排外。12月13日晚22:00时,患者出现高热,体温高达40℃,血压下降为60/30mmHg,心率140次/分,考虑感染性休克,给予补液扩容、多巴胺、间羟胺升压,改用亚胺培南/西司他丁抗感染治疗。患者于次日中午开始出现呼吸急促、胸闷、气短,经皮氧饱和度下降至77%,血气分析显示氧分压为45mmHg,床旁胸片提示两肺渗出影(图1)。给予无创呼吸机辅助呼吸,低氧血症未得到明显改善,呼吸频率高达70次/分。同时体检发现全身皮肤出现散在的红色结节,中央有脓点,血培养提示革兰阳性细菌生长,立即加用万古霉素联合亚胺培南/西司他丁治疗。同时取皮肤结节脓液送检培养。追问病史,患者发病前脸部痤疮感染并有过挤压。由于病情危重并迅速恶化,脓毒血症不能排外,经全院扩大会诊立即转入ICU诊治。

图1 12月13日胸部平片提示两肺弥漫性渗出影
12月14日下午5:00转入ICU,急查肺部CT提示双肺弥漫性浸润影(图2)。听诊两肺可闻及湿性啰音,由于无创正压辅助呼吸无法纠正低氧血症,立即气管插管、有创呼吸机辅助呼吸,方式为SIMV+PSV模式,潮气量450ml,呼吸频率为8次/分,氧浓度80%,压力支持为14cmH2O,同时使用咪哒唑仑镇静,多巴胺和去甲肾上腺素升压,亚胺培南/西司他丁联合万古霉素和阿奇霉素抗感染治疗,乌司他丁抗全身炎症反应等对症及支持治疗。每天给予监测血培养、胸片、血气分析动态观察,同时再次进行骨穿。

图2-1 12月14日胸部CT显示双肺弥漫性渗出影,可见气囊肿

图2-2 12月14日胸部CT显示双肺弥漫性渗出影,可见气囊肿

图2-3 12月14日胸部CT显示双肺弥漫性渗出影,可见气囊肿

图2-4 12月14日胸部CT显示双肺弥漫性渗出影,可见气囊肿

图2-5 12月14日胸部CT显示双肺弥漫性渗出影,可见气囊肿

图2-6 12月14日胸部CT显示双肺弥漫性渗出影,可见气囊肿
12月15日血压恢复正常,血白细胞升至21×109/L,肺部听诊
啰音明显减少。12月16日血培养(送检时间为13日)结果显示表皮葡萄球菌,根据血培养药敏结果调整抗感染治疗方案,改用头孢曲松(2.0g q12h)联合万古霉素(0.5g q8h)抗感染治疗。继续大剂量乌司他丁及泼尼松龙治疗。加大全身支持治疗,白蛋白、免疫球蛋白,肠内营养等。继续呼吸机支持治疗,维持呼吸功能。复查床边X线片(图3),与13日相比,未见明显变化。
图3 12月15日胸部平片与12月14日胸部平片相比,肺部渗出影密度更高
12月18日患者出现皮下气肿,颈部、右侧锁骨上窝及锁骨下窝、双侧腋窝均可触及捻发感,床旁胸片(图4)显示皮下气肿,行气管切开术,继续呼吸机辅助呼吸。骨穿结果提示:感染性骨髓象。脓疱液(送检时间为16日)培养出耐甲氧西林金黄色葡萄球菌,血培养(送检时间为15日)出耐甲氧西林金黄色葡萄细菌。根据脓液及血培养药敏结果,考虑到患者全身炎症反应较重,为了保护重要脏器功能(肾脏),换用莫西沙星联合替考拉宁抗感染治疗。经1周的治疗,患者仍有高热,呛咳,呼吸支持条件仍较高。

图4 12月18日胸部平片出现皮下气肿
12月21日复查CT检查显示双肺弥漫性病变并肺实变、间质广泛性渗出水肿(图5)。此时皮肤脓疱消失。继续使用替考拉宁加莫西沙星抗感染治疗。血培养无菌生长(送检时间为18日)。

图5-1 12月21日胸部CT双肺弥漫性肺实变,间质广泛性渗出水肿,可见气囊肿

图5-2 12月21日胸部CT双肺弥漫性肺实变,间质广泛性渗出水肿,可见气囊肿

图5-3 12月21日胸部CT双肺弥漫性肺实变,间质广泛性渗出水肿,可见气囊肿

图5-4 12月21日胸部CT双肺弥漫性肺实变,间质广泛性渗出水肿,可见气囊肿

图5-6 12月21日胸部CT双肺弥漫性肺实变,间质广泛性渗出水肿,可见气囊肿

图5-7 12月21日胸部CT双肺弥漫性肺实变,间质广泛性渗出水肿,可见气囊肿
12月24日复查床边胸片显示双肺病变较前好转(图6)。血培养无菌生长。
12月25日体温升高,最高达39℃,前胸以及腹部见点状红斑,且有融合趋势,考虑为药疹(替考拉宁所致可能性大)。给予对症处理,同时将抗生素治疗方案改为万古霉素+左氧氟沙星。
12月26日仍有发热,为明确发热的原因,再次行CT复查,检查过程中突然频繁呕吐胃内容物,呼吸困难加重,出现胸腹胀痛,以左侧明显,查体发现左胸及左上腹部明显膨隆,SpO2下降明显,心率增快达150~160次/分,听诊呼吸音弱,左侧明显。考虑为肺泡破裂发生张力性气胸。立即进行胸腔闭式引流,引出大量气体。引出气体后患者呼吸困难明显改善,心率下降,SpO2升达95%以上。继续呼吸机辅助呼吸,胸腔持续闭式引流。血培养未见细菌生长。

图6 12月24日胸部平片显示双肺渗出影较前好转
12月28日皮疹好转,气胸闭合,停止胸腔闭式引流。继续抗感染和支持治疗。
12月29日开始间断脱离呼吸机观察,抗生素调整为单一万古霉素治疗。3天后脱离呼吸机成功,于气管切开处高流量氧疗,患者开始进食。并逐渐下床活动。转出ICU病房。
12月31日复查CT肺实质渗出及实变明显好转,以间质病变为主。胸膜腔残存少量的气体(图7)。

图7 12月31日胸部CT显示双肺渗出影及实变影明显好转,以间质病变为主。胸膜腔残存少量的气体
1.Purcell K,Fergie J.Epidemic of community- acquired methicillinresistant Staphylococcus aureus infections:a 14-year study at Driscoll Children's Hospital.Arch Pediatr Adolesc Med,2005,159:980-985
2.李路军.青年人社区获得性耐甲氧西林金黄色葡萄球菌肺脓肿1例.东南国防医药,2007,9:140
3.Zetoia N,Francis JS,Nuermberger EL,et al.Community acquired meticillin resistant Staphylococcus aureus:an emerging threat.Lancet Infect Dis,2005,5:275-286
4.沈宁,贺蓓.耐甲氧西林金黄色葡萄球菌-社区获得性感染的潜在致病菌.中华医学杂志,2005,85:1368
5.叶燕青,徐启勇.社区获得性金黄色葡萄球菌肺炎的临床研究.中华医院感染杂志,2003,13:596-597