
图1-1 2007年6月29日胸部CT平扫示双肺弥漫性磨玻璃样影改变,呈地图样或马赛克样分布
病情介绍
患者,男,55岁,已婚,退休工人,因“畏寒、发热、咳嗽、憋气4天”于2007年10月24日入院。患者4天前无明显诱因出现畏寒、发热,体温在37.8~39.7℃,伴咳嗽,咳少量白色黏痰,并感胸闷、憋气,活动后加重,无头痛、胸痛、咯血、心慌、腹痛、腹泻等,到厂职工医院诊治,静滴“左氧氟沙星、头孢类抗生素(具体用药不详)”症状未见好转收入院诊治。起病以来精神、饮食、睡眠差,大小便正常。
患者于4个月前(2007年6月28日至7月6日)曾因发热、气喘在我科住院,当时查体:颜面部见5个不规则鲜红色斑,最大约1cm×2cm,右颌下可触及一枚约花生米大小的肿大淋巴结,质中,有压痛,活动度好。双上颌窦有压痛,咽充血,扁桃体Ⅰ度肿大,所有指、趾甲呈灰白色,甲床增厚,粗糙,无光泽,余无特殊。血常规示:WBC 3.75×109/L,N 67.9%,L 15.5%,淋巴细胞绝对值明显下降(0.6×109/L);ESR107mm/h;血LDH 214.2U/L;肺部CT提示两肺弥漫分布的磨玻璃影(图1)。肺功能提示弥散功能减弱,占预计值46.5%。诊断“过敏性肺炎、支气管哮喘、急性上呼吸道感染、慢性鼻窦炎、指(趾)甲真菌感染 ”,予“左氧氟沙星、普米克令舒、可必特”等治疗,病情好转,复查胸部CT病灶见有所吸收(图2)出院。 既往1997年患“右肺浸润性结核”,抗结核治疗2年,病灶钙化治愈。有慢性鼻炎史20余年。有“磺胺”致皮疹史。无手术及外伤史,无血制品输注史。生于原籍,否认长期异地居住史及冶游史;否认有吸毒及有害物质接触史;吸烟近30年,10支/日,近5年饮白酒,每日约100ml。已婚,育有一子,爱人及儿子身体健康。

图1-1 2007年6月29日胸部CT平扫示双肺弥漫性磨玻璃样影改变,呈地图样或马赛克样分布

图1-2 2007年6月29日胸部CT平扫示双肺弥漫性磨玻璃样影改变,呈地图样或马赛克样分布

图2-1 2007年7月5日胸部CT平扫示双肺弥漫性磨玻璃样影改变较前有所吸收好转

图2-2 2007年7月5日胸部CT平扫示双肺弥漫性磨玻璃样影改变较前有所吸收好转
入院查体
T 39.6℃,P 102次/分,R 24次/分,BP 100/75mmHg。发育正常,较消瘦,全身皮肤无皮疹、出血点,浅表淋巴结未触及。胸廓无畸形,双肺呼吸运动对称,两肺呼吸音清,心率102次/分,律齐,各瓣膜区未闻及病理性杂音。腹平软,肝脾肋下未触及,腹部无压痛,双下肢无水肿。所有指、趾甲呈灰白色,甲床增厚,粗糙,无光泽。神经系统检查未见异常。
实验室检查
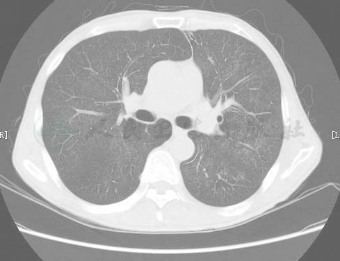
血常规:WBC 7.41×109/L,N 81.7%,L 9.9%,淋巴细胞绝对值明显下降(0.7×109/L);血细胞沉降率102mm/h;血LDH 318.9U/L;血气分析示:pH 7.456,PaCO2 22.3mmHg,PaO2 74mmHg,HCO3-15.9mmol/L,BEb–5.2mmol/L,SaO2 95.9%。肝功能示白蛋白稍低,白/球比例倒置,电解质示轻度低钠、低氯血症。尿、粪常规,肾功能、血癌胚抗原、免疫及风湿全套检查(除抗核抗体阳性外)均正常;痰涂片革兰染色示:极少量革兰染色阴性双球菌;复查肺部CT提示两肺弥漫分布的磨玻璃影比上次住院范围更广,病灶更为明显,病灶以肺门中央分布为主,肺尖及肺底相对较清晰(图3)。

图3-1 2007年10月25日胸部CT平扫示双肺弥漫性磨玻璃样影改变较前范围更广,病灶更明显

图3-2 2007年10月25日胸部CT平扫示双肺弥漫性磨玻璃样影改变较前范围更广,病灶更明显

图3-3 2007年10月25日胸部CT平扫示双肺弥漫性磨玻璃样影改变较前范围更广,病灶更明显

图3-4 2007年10月25日胸部CT平扫示双肺弥漫性磨玻璃样影改变较前范围更广,病灶更明显

图3-5 2007年10月25日胸部CT平扫示双肺弥漫性磨玻璃样影改变较前范围更广,病灶更明显

图3-6 2007年10月25日胸部CT平扫示双肺弥漫性磨玻璃样影改变较前范围更广,病灶更明显
入院后予头孢哌酮/舒巴坦及克林霉素抗感染及一般对症处理,患者自觉发热及咳嗽、憋气等症状有所好转,但为了进一步明确诊断进行支气管镜检查,见左下肺支气管黏膜散在出血点,各支气管通畅,未见新生物。于左下基底段肺活检。病理提示:肺泡腔内泡沫样渗出物填充,肺孢子菌肺炎不能除外,PAS染色阳性(图4)。

图4 2007年11月7日纤维支气管镜肺活检示肺泡腔内充满泡沫样渗出物(HE×200)
由于肺活检提示肺孢子菌感染可能,临床行血HIV检查,初筛结果阳性,两周后经省疾病预防控制中心HIV确认试验阳性。确诊为AIDS。进一步相关检查:CD3+/CD4+为0.77%,CD3+/CD8+为93.99%,CD4 +/CD8+为0.0082。
最终诊断
艾滋病合并人肺孢子菌肺炎。
重要提示
1.中年男性,平素身体健康;
2.急性起病,反复发热、咳嗽,胸闷气促,进行性消瘦;
3.外周血白细胞数不高,淋巴细胞数量减少;多次痰涂片未检出致病病原菌;
4.两肺弥漫性磨玻璃影,病灶以肺门中央分布为主,肺尖及肺底相对较清晰;
5.无血液制品输注史,患者否认冶游史、吸毒及有害物质接触史;
6.抗感染、抗过敏治疗效果不佳,肺部病变波浪起伏并迅速进展。
患者确诊为AIDS后立即给予抗肺孢子菌治疗,并转法定医疗单位治疗。
1.李丹,卢洪洲.肺孢子菌的新命名.微生物与感染,2008,3:30-31
2.姚文虎,赵伟,赵红,等.AIDS合并卡氏肺孢子虫肺炎8例报告.中国艾滋病性病,2004,10 :383-384
3.兰剑峰,梁庆梅.艾滋病相关性卡氏肺孢子虫肺炎误诊分析.临床误诊误治,2008,21:39-40
4. 蒋萍,陶家驹.艾滋病合并卡氏肺孢子菌肺炎一例.中国全科医学,2007,10:528
5. Rosen MJ.Pulmonary complications of HIV infection.Respirology,2008,13:181-190