病情介绍
患者,女性,48岁,患2型糖尿病2年,血糖控制不佳。6个月前因糖尿病酮症酸中毒、昏迷入当地医院,予胰岛素等治疗后意识恢复清楚。住院1周时出现发热,体温38℃伴咳嗽,咳痰,查WBC 15×109/L,N 0.80,Hb 120g/L,X线胸片显示左上肺大面积片状渗出影及左侧少量胸腔积液(图1),先后给予左氧氟沙星、克林霉素和头孢哌酮/舒巴坦等抗感染治疗1个月但症状无改善,并出现少量咯血。外院实验室检查:PPD皮试阴性,3次痰查结核菌、真菌培养均阴性,结核抗体阴性,ESR 115mm/1h。曾考虑为肺结核给予异烟肼、利福平、乙胺丁醇治疗1个月,复查胸部CT显示左上肺实变伴空洞形成,洞壁光滑,洞内可见不规则物体(图2),继续抗结核治疗2个月症状仍无改善,并出现大咯血。再次实验室检查显示,WBC 22.7×109/L,N 0.84,Hb 50g/L,X线胸片显示左侧肺野大片高密度阴影(图3),在外院输血、抗结核治疗同时,给予伊曲康唑抗真菌治疗1个月,仍间断出现发热、咯血,并逐渐出现胸闷及双下肢凹陷性水肿,为进一步诊治转入我科。

图1 X线胸片显示左上肺大面积片状渗出影及左侧少量胸腔积液(发病1周)

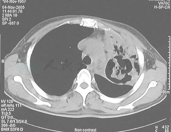
图2 胸部CT显示左上肺实变伴空洞形成,洞壁光滑但不规则,洞内可见不规则物体(发病2个月)

图3 X线胸片显示左侧肺野大片高密度影,密度不均匀(发病4个月)
体格检查
T38.8℃, P80次/分,R25次/分, BP95/55mmHg;耳鼻无异常;颈无抵抗,颈静脉怒张,气管右偏;左侧胸廓饱满,左肺叩浊,呼吸音消失,右肺呼吸音清;心音遥远,心律齐,无杂音;腹平软,无压痛,肝肋下4cm,腹腔无移动性浊音,双下肢凹陷性水肿。
入院诊断
肺部感染(真菌性肺炎)?肺结核?失血性贫血(重度)、2型糖尿病。入院后实验室检查:空腹血糖11.1mmol/L;HIV抗体阴性;多次痰涂片、痰培养、抗酸染色、痰找真菌等均阴性;G试验、GM试验阴性。动脉血气分析:pH 7.49,PaCO2 37mmHg,PaO2 63mmHg,SaO2 94%;胸腔积液外观黄色,比重1.027,黎氏试验阳性,细胞总数6.72×109/L,有核细胞数0.26×109/L;单核细胞0.94,多核细胞0.06。血生化检查:总蛋白37.0g/L,白蛋白19.2g/L,葡萄糖7.05 mmol/L,乳酸脱氢酶(LDH)188IU/L,腺苷酸脱氨酶(ADA):15U/L。癌胚抗原:4.60μg/L,胸腔积液培养阴性,胸腔积液查结核菌、瘤细胞均阴性。超声心动显示中量心包积液。胸部CT显示左肺实变伴不张,左侧胸腔积液(图4)。

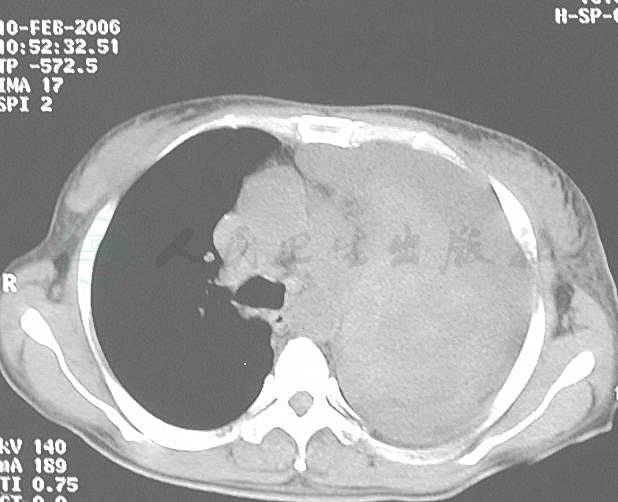
图4 胸部CT显示左肺主支气管开口消失,左肺实变伴不张,左侧胸腔积液,左肺内可见巨大类圆形软组织影(发病6个月)
入院后予皮下注射胰岛素,血糖控制在6~10mmol/L;予加替沙星、伊曲康唑等抗感染治疗,体温在38.0~38.5℃之间。住院第2天行纤维支气管镜检查,发现左主支气管被白色凝胶状肿物完全堵塞(图5),肿物处取组织活检。同时支气管分泌物涂片查真菌及培养均阴性。住院第6天组织活检病理显示坏死组织内可见大量菌丝,根据其形态可诊断为毛霉菌丝体(图

图5 纤维支气管镜检查显示左主支气管被白色凝胶状物质完全堵塞,表面质韧,隆突可见白色溃疡(发病6个月)
6)。
最终诊断
肺毛霉病,2型糖尿病。
重要提示
1.糖尿病酮症酸中毒患者住院期间发生医院获得性肺炎(HAP),正规的抗生素治疗无效,应考虑结核及真菌等特殊感染;
2.对于病原不明、治疗无效的肺部感染患者,应及时行有创检查(如支气管镜、经皮肺穿刺、开胸肺活检等),以明确诊断;
3.肺毛霉病患者痰液、支气管肺泡灌洗液等检查阳性率低,血清GM试验无诊断价值,确诊需要组织病理学;
4.毛霉菌丝粗大,粗细不均,分支成直角,宽大无分隔或很少分隔,这和菌丝成45o角放射状生长的曲霉菌丝或假菌丝细长的念珠菌明显不同;
5.毛霉有侵犯血管的倾向,容易出现大咯血,如不治疗,死亡率几乎为100%;
6. 肺毛霉病除两性霉素B外,其他常用抗真菌药物均无效;正规治疗2周后症状无改善,应考虑手术切除病灶。
住院第7天患者出现大咯血(约3000ml),经抢救无效死亡。
1.McAdams HP,Rosado de Christenson M,Strollo DC,et al.Pulmonary mucormycosis:radiologic fndings in 32 cases. AJR Am J Roentgenol,1997,168:1541-1548
2.Lee FY,Mossad SB,Adal KA.Pulmonary mucormycosis:the last 30 years.Arch Intern Med,1999,159:1301-1309
3.王端礼.医学真菌学菌实验室检验指南. 北京:人民卫生出版社,2004:297
4.Zapatero J,Flandes J,Ruiz-Zafra J,et al.Bronchovascular mucormycosis:an urgent surgical problem. Eur J Cardiothorac Surg,1995,9:286-288