病情介绍
患者,男,58岁,主因“左侧肢体活动不灵15天,昏迷10天,呼吸困难5天”于2007年3月6日入院。入院15天前因患感冒于医院输液时突然出现左侧肢体麻木、活动不灵,急诊行头颅CT诊断为“脑栓塞”,于当地医院行溶栓治疗后出现头痛,并进行性加剧。急诊CT示右侧基底节区脑出血,对症治疗不见好转并出现意识障碍、呼吸困难,复查CT示出血量增加伴中线结构移位,急诊行颅内血肿清除术及气管切开术,并积极降颅压、营养脑细胞等治疗,但患者体温升高,呼吸困难进行性加重,入院3天前行机械通气,并出现上消化道出血,为进一步治疗转入我院。既往房颤病史2年。入院查体:T 38.2℃,P 106次/分,BP 105/56mmHg,SpO2 96%。机械通气中,深昏迷状态,左睑闭合不全,左角膜溃疡。两侧瞳孔不等大,右瞳4.0mm,对光反射消失;左瞳3.0mm,对光反射迟钝。口角处溃疡已结痂,胃肠减压管内可见少量咖啡色液体。颈软。桶状胸,双肺满布干湿性
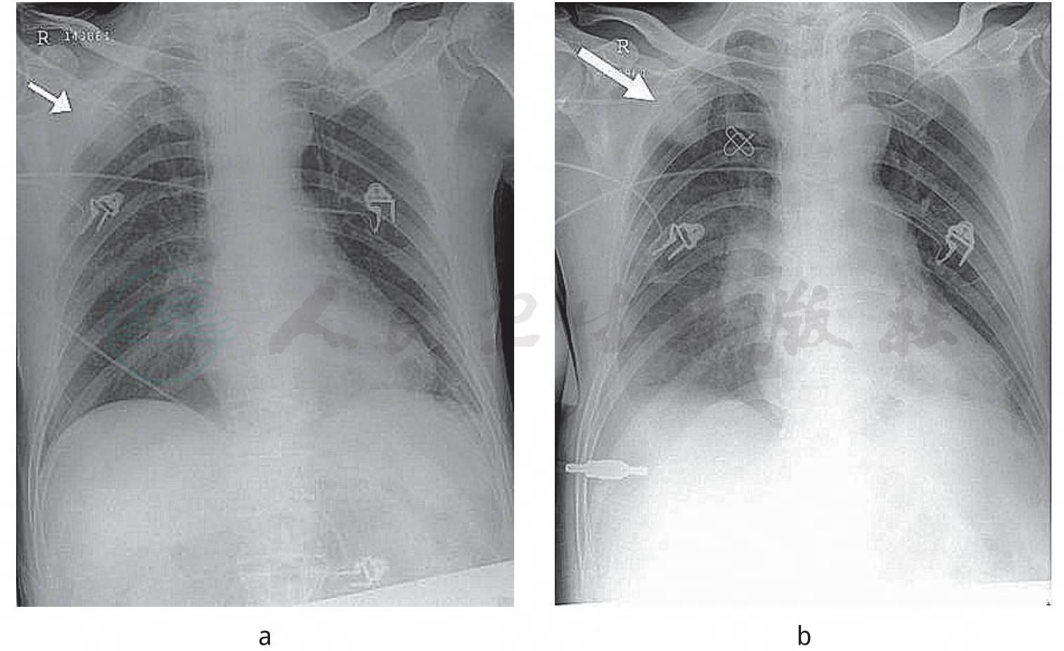
啰音。心率106次/分,心律不齐,第一心音强弱不等。腹部未见异常。四肢肌张力低下,肌力0级,病理反射未引出。化验WBC 27.1×109/L,N 93.9%,Hb 105g/L,PLT 221×109/L,BUN 26.9mmol/L,CRE 161μmol/L,K+ 4.43mmol/L,Na+ 156mmol/L,Cl-121mmol/L,ALT 49IU/L,AST 108IU/L,ALB 24.8g/L。入院后立即行气道分泌物细菌及真菌涂片和培养,有铜绿假单胞菌,未查到真菌。床边胸片示双肺纹理增强,右上肺斑片状阴影;3日后阴影更明显(图1)。
图1 胸片示右上肺斑片阴影(箭头所示)
a.入院当日;b.入院第3天
入院诊断
肺部感染、Ⅰ型呼吸衰竭、脑梗死、继发性脑出血、颅内血肿清除术后、颅内感染?电解质紊乱(高钠高氯血症)、上消化道出血、急性肾功能不全、房颤、左眼闭合不全角膜溃疡。
临床诊断
侵袭性肺曲霉菌病,可能合并铜绿假单胞菌感染,而其他诊断与入院诊断相同。
重要提示
1.患者脑血管病后意识障碍,继发肺部感染,咳痰不畅;
2.主要临床表现为发热、痰多,伴意识障碍加重;
3.入院后应用广谱抗生素,感染不能有效控制;
4.肺部CT示右肺上叶尖后段见一不规则团块影,中间一类圆形空洞影,洞壁光滑;临近胸膜见一丘形软组织密度影,右下肺见大片高密度影,其内见支气管影;左肺下叶后基底段见斑片状模糊影;
5.经验性应用抗真菌治疗有效。
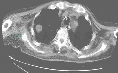
入院后行机械通气,给予哌拉西林/他唑巴坦、多黏菌素E抗感染,解痉化痰,降颅压,营养支持。虽给予广谱抗菌药物治疗但仍发热,体温37.4~38.5℃。分析患者长期应用广谱抗菌药物,口腔存在溃疡、吸痰为血性痰、痰量多,考虑存在真菌感染,故于入院第3日(2007-3-8)给予伏立康唑静滴进行经验性抗真菌治疗,首次给予400mg q12h;翌日开始给予200mg q12h静滴,静点10天后改伏立康唑为200mg q12h鼻饲。应用伏立康唑2天后(2007-3-10)体温开始下降,于3月13日降至正常,气管内痰量明显减少,呼吸困难消失,上消化道出血停止并开始肠内营养。化验:WBC 7.05×109/L,N 80.54%,Hb 80g/L,PLT 167×109/L,BUN 2.89mmol/L,CRE 31μmol/L,K+ 3.9mmol/L,Na+ 142mmol/L,Cl-106mmol/L,ALT 40IU/L,AST 48IU/L,ALB 29.6g/L。3月21日成功撤机后行CT检查,CT报告:右肺上叶尖后段见一不规则团块状阴影,大小约4.7cm×3.2cm,CT值10HU,中间见一类圆形空洞影,洞壁光滑。右下肺见大片高密度影,其内见支气管影,邻近胸膜见一丘形软组织密度影,CT值15HU,最厚1.5cm。左肺下叶后基底段见斑片状模糊影(图2)。

图2-1 撤机当日胸部CT示右肺上叶尖后段见一不规则团块状阴影,大小约4.7cm×3.2cm,CT值10HU,中间见一类圆形空洞影,洞壁光滑。右下肺见大片高密度影,其内见支气管影,邻近胸膜见一丘形软组织密度影,CT值15HU,最厚1.5cm。左肺下叶后基底段见斑片状模糊影

图2-2 撤机当日胸部CT示右肺上叶尖后段见一不规则团块状阴影,大小约4.7cm×3.2cm,CT值10HU,中间见一类圆形空洞影,洞壁光滑。右下肺见大片高密度影,其内见支气管影,邻近胸膜见一丘形软组织密度影,CT值15HU,最厚1.5cm。左肺下叶后基底段见斑片状模糊影

图2-3 撤机当日胸部CT示右肺上叶尖后段见一不规则团块状阴影,大小约4.7cm×3.2cm,CT值10HU,中间见一类圆形空洞影,洞壁光滑。右下肺见大片高密度影,其内见支气管影,邻近胸膜见一丘形软组织密度影,CT值15HU,最厚1.5cm。左肺下叶后基底段见斑片状模糊影

图2-4 撤机当日胸部CT示右肺上叶尖后段见一不规则团块状阴影,大小约4.7cm×3.2cm,CT值10HU,中间见一类圆形空洞影,洞壁光滑。右下肺见大片高密度影,其内见支气管影,邻近胸膜见一丘形软组织密度影,CT值15HU,最厚1.5cm。左肺下叶后基底段见斑片状模糊影

图2-5 撤机当日胸部CT示右肺上叶尖后段见一不规则团块状阴影,大小约4.7cm×3.2cm,CT值10HU,中间见一类圆形空洞影,洞壁光滑。右下肺见大片高密度影,其内见支气管影,邻近胸膜见一丘形软组织密度影,CT值15HU,最厚1.5cm。左肺下叶后基底段见斑片状模糊影

图2-6 撤机当日胸部CT示右肺上叶尖后段见一不规则团块状阴影,大小约4.7cm×3.2cm,CT值10HU,中间见一类圆形空洞影,洞壁光滑。右下肺见大片高密度影,其内见支气管影,邻近胸膜见一丘形软组织密度影,CT值15HU,最厚1.5cm。左肺下叶后基底段见斑片状模糊影
患者撤机,呼吸平稳,气管内痰量不多,无发热,心电监护生命体征平稳。查体:浅昏迷,两侧瞳孔等大正圆对光反射灵敏,口唇无发绀,颈软,双肺呼吸音略粗,未闻及干湿性
啰音,心率80次/分,律不整,第一心音强弱不等。四肢肌张力低下,肌力0级。病理反射未引出。于入院1个月后意识转清,继续鼻饲伏立康唑巩固治疗,右上肺空洞逐渐缩小,至4月28日复查CT时已消失(图3);半年后团块状阴影完全消失(图4)而停用伏立康唑。
图3-1 胸部CT示入院50多天后右上肺空洞已消失,仅留结节状病灶

图3-2 胸部CT示入院50多天后右上肺空洞已消失,仅留结节状病灶

图3-3 胸部CT示入院50多天后右上肺空洞已消失,仅留结节状病灶

图3-4 胸部CT示入院50多天后右上肺空洞已消失,仅留结节状病灶

图5-1 半年后胸部CT示病灶消失

图5-2 半年后胸部CT示病灶消失

图5-3 半年后胸部CT示病灶消失

图5-4 半年后胸部CT示病灶消失
1.Patterson TF,Kirkpatrick WR,White M,et al.Invasive aspergillosis.Disease spectrum,treatment practices,and outcomes.13 Aspergillus Study Group.Medicine(Baltimore),2000,79:250-260
2.Caillot D,Couaillier JF,Bernard A,et al.Jncreasing volume and changing characteristics of invasive pulmonary aspergillosis on sequential thoracic computed tomography scans in patients with neutropenia.J Clin Oncol,2001,19:253-259
3.Ellis M.Invasive fungal infections:evolving challenges for diagnosis and therapeutics. Mol Immunal,2002,38:947-957
4.Walsh TJ,Anaissie EJ,Denning DW,et al.Treatment of Aspergillosis:Clinical Practice Guidelines of the Infectious Diseases Society of America.Clin Infect Dis,2008,46:327-360
5.Danner BC,Didilis V,Dorge H,et al.Surgical treatment of pulmonary aspergillosis/mycosis in immunocompromised patients.Interact Cardiovasc Thorac Surg,2008,7:771-776