病情介绍
男性,76岁,退休公务员。因“发热、咳嗽20天,气促1周” 入院。患者于2008年3月初受凉后出现发热,体温波动于37.2~37.8℃,以晨起和下午为甚,伴咳嗽,咳少量黄白黏痰,痰黏难咳,曾于外院拟“双下肺炎”,先后予“头孢拉定,左氧氟沙星,阿奇霉素”等药物治疗后咳嗽咳痰减轻,但仍发热,1周前出现活动后气促,进行性加重。无盗汗、喘息,无胸痛,无咯血,无四肢关节肿痛,无皮疹。外院胸部CT示“:双肺间质性炎症”,今为进一步诊治收入我院。有“前列腺增生症”史10年,一直服用“保列治”治疗。18年曾行“甲状腺肿物次全切除术”。有青霉素过敏史。从事电视广播行业,有放射性物质接触史。吸烟15支/天×40年。入院查体:T 37.5℃,P 112次/分, R 20次/分, BP 152/67mmHg, SpO2 91%(吸氧2L/min)。神志清晰,气管居中,唇稍发绀。桶状胸,双肺呼吸音减弱,双下肺可闻及吸气相湿
啰音,以左下肺显著。心界不大,心率100次/分,律齐,未闻杂音。腹平软,肝脾肋下未及。双下肢无水肿,无杵状指。入院诊断:发热查因:双肺间质性肺炎并感染?辅助检查:
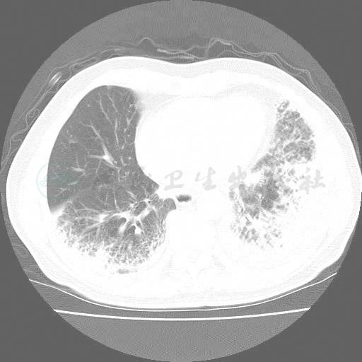
WBC 22.38×109/L,N 85.7%,血沉105mm/h,C反应蛋白129.2mg/L,类风湿因子47IU/ml,肝肾功能正常。动脉血气(吸氧2L/min):pH 7.451,PaCO2 32.33mmHg,PaO2 60.15mmHg,HCO3- 22.0mmol/L。5次痰涂片找抗酸杆菌,3次痰涂片找真菌,2次痰细菌培养,真菌培养均阴性。血清隐球菌夹膜多糖抗原乳胶凝集试验、曲霉抗原半乳甘露聚糖试验(GM试验)、真菌1,3-β-D葡聚糖抗原(G试验)阴性。血结核杆菌抗体、支原体、衣原体、军团菌抗体阴性。HIV抗体阴性。自身抗体十项、ANA、ANCA阴性。胸部HRCT(2008-3-25):双肺间实质性炎症,左侧少量胸腔积液(图1)。

图1 两肺呈不规则条索、斑点及网格状影,两下叶容积缩小,左侧少量胸腔积液
入院后予头孢曲松抗感染治疗,同时行纤维支气管镜检查,支气管腔内未见异常,在X线引导下经左下叶支气管行刷检、肺活检和肺组织培养。4天后,患者体温持续升高,呼吸困难进行性加重,改予亚胺培南/西司他丁抗感染,予BIPAP鼻罩无创通气以纠正低氧血症,但病情仍进行性加重。7天后转入RICU,予气管插管,机械通气治疗。考虑肺部真菌感染可能性大,加予卡泊芬净抗真菌治疗。10天后恢复肺活检病理及肺组织培养结果。病理示:支气管黏膜下见少量肺组织、间质组织增生,肺泡间隔增宽,肺泡受压。
真菌学检查
肺组织培养标本接种于沙堡培养基上25℃培养,5天后见数个黑色酵母样菌落,隆起,球状,潮湿,10天后,菌落融合扩大,稍有气生菌丝。镜下见棕色分支分隔菌丝,菌丝侧壁及顶端见大量棕色椭圆形孢子聚集成球状。温度试验:37℃生长,42℃不生长。同化硝酸盐试验阳性。菌种鉴定为甄氏外瓶霉。药敏试验示对两性霉素B敏感,对伊曲康唑耐药。
最终诊断
①肺部暗色丝孢霉病;②Ⅰ型呼吸衰竭。
重要提示
1.老年男性,亚急性起病,无基础疾病;
2.以持续发热、进行性加重的呼吸困难和低氧血症为主要特点;
3.积极抗感染治疗无效;
4.外周血白细胞总数和中性粒细胞明显升高;
5.胸部CT:双肺间实质炎症,两侧少量胸腔积液;
6.两性霉素B对系统性暗色丝孢霉病有较好疗效。
继续予卡泊芬净将抗真菌治疗,1周后复查胸部CT(2008-04-08)示两肺间实质感染较前进展,两侧少量胸腔积液(图2)。考虑感染控制不理想,根据药敏改为两性霉素B脂质体治疗,从5mg/d渐加至150mg/d。3周后呼吸困难明显缓解,肺部湿
啰音减少,胸部CT(2008-04-25)示两肺实质性感染明显吸收(图3)。4周后拔除气管插管。5周后患者病情进一步改善,胸部CT(2008-05-06)示两肺间实质炎症继续吸收(图4),停用两性霉素B脂质体(累计剂量4.45g),改予伊曲康唑口服液200mg/次,2次/日,转入呼吸病区继续治疗至出院。出院后继续予伊曲康唑口服液治疗。10天后因受凉发热、咳嗽咳痰加剧,活动后气促再次入院。予莫西沙星抗感染治疗后,仍持续发热,呼吸困难进行性加重。5天后外周SPO2为85%(吸氧2L/min),胸片(2008-06-05)示两肺炎症明显增多(图5),改予美罗培南抗感染治疗同时,再次加予两性霉素B脂质体抗真菌治疗,并予BIPAP无创辅助通气治疗。3天后呼吸困难明显改善,5周后胸部CT(2008-07-07)示两肺间实质炎症明显吸收(图6),停用两性霉素B脂质体(累计剂量4.5g),改予伏立康唑200mg/次,2次/日,口服3个月至今无复发。
图2-1 两肺斑片状、片状实变影明显增多,两侧少量胸腔积液

图2-2 两肺斑片状、片状实变影明显增多,两侧少量胸腔积液

图3 两肺实变影明显吸收减少,以网格状、磨玻璃密度增高影为主

图4 两肺斑片模糊影较前继续减少

图5 两肺片状模糊影明显增多,融合呈大片状影,左侧少量胸腔积液

图6 两肺斑片状模糊影及网状影明显吸收,双侧胸腔积液吸收
1.Chua JD,Gordon SM,Banbury J,et al. Relapsing Exophiala jeanselmei phaeohyphomycosis in a lungtransplant patient.Transpl Infect Dis,2001,4:235-238
2.Nucci M,Akiti T,Barreiros G,et al.Nosocomial outbreak of Exophiala jeanselmei fungemia associated with contamination of hospital water.Clin Infect Dis,2002,34;1475-1480
3.夏修蛟,周顺铭,许爱娥. 甄氏外瓶霉所致暗色丝孢霉病1例.中国麻风皮肤病杂志,2005,21:217-218
4.Ozawa Y,Suda T,Kaida Y,et al.A case of bronchial infection of Wangiella dermatitidis.Nihon Kokyuki Gakkai Zasshi,2007,45:907-911
5.Zeng JS,Sutton DA,Fothergill AW,et alSpectrum of clinically relevant Exophiala species in the United States.J Clin Microbiol,2007,45:3713-3720