病情介绍
患者,女,50岁,道口工,以“咳嗽、咳痰半年”为主因入院。患者于2007年1月受凉后出现咳嗽,咳灰白色黏痰,量8~10ml/d,无咯血及异味,伴有寒战、发热,体温最高达39℃,自服对乙酰氨基酚片并于当地医院门诊静脉滴注阿奇霉素及头孢类抗生素,体温降至正常,但仍有咳嗽、咳痰。6月28日于当地医院住院行肺CT检查,示右肺多发结节影。近半年患者体重减轻5kg左右。
入院查体
T 36.5℃,P 80次/分,R 16次/分,BP 110/70mmHg。右颌下、双侧锁骨上及右侧腹股沟均可触及肿大淋巴结,最大达3cm×3cm,质软,触痛(–),活动度可,右侧软硬腭交界处可见蚕豆大小突起,黏膜正常,中等硬(图1),口腔金属托处可见黏膜充血及小米粒大小红色似淋巴滤泡,较透亮,后腰部皮肤可见大小约3cm×3cm结节,质韧,触痛(–),活动度可。
图1 口腔右侧软硬腭交界处可见黏膜突起
血常规
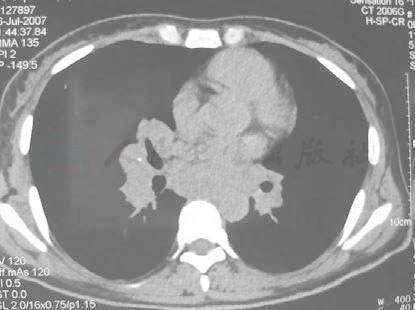
WBC 4.13×109/L, N 43.1%, E 6.31%;血细胞沉降率20mm/h;彩超:腹腔、双侧锁骨上及右侧腹股沟均可见肿大淋巴结。肝脏彩超示:肝实质回声略细,肝左内叶见大小1.5cm×1cm结节样低回声,轮廓清。7月6日肺CT示双肺纹理增强、紊乱,双侧肺野内可见多发、弥漫性分布的大小不等的结节影,大部分结节沿支气管走行分布,右肺内可见多发淡片状密度增高影。双侧肺门影增大,可见多发结节影,气管及主支气管壁可见多发小结节状突起影,部分支气管变窄。纵隔内可见多组肿大淋巴结影(图2)。
图2-1 肺CT示双侧肺野内可见多发、弥漫性分布的大小不等的结节影,双侧肺门影增大,可见多发结节影,气管及主支气管管壁可见多发小结节状突起影,纵隔内可见多组肿大淋巴结影(2007-07-06)
图2-2 肺CT示双侧肺野内可见多发、弥漫性分布的大小不等的结节影,双侧肺门影增大,可见多发结节影,气管及主支气管管壁可见多发小结节状突起影,纵隔内可见多组肿大淋巴结影(2007-07-06)
初步诊断
纵隔淋巴结肿大原因待查?
7月9日增强CT示双肺内、双肺门、纵隔及气管内多发结节影(图3)。
图3-1 肺增强CT示双肺内、双肺门、纵隔及气管内多发结节影(2007-07-09)
图3-2 肺增强CT示双肺内、双肺门、纵隔及气管内多发结节影(2007-07-09)
7月10日气管镜检示咽后壁淋巴滤泡增生、隆突,左右气道见不规则增生物,呈菜花状包膜完整,组织脆,易出血。右肺中叶、左肺舌叶因增生物导致气道闭锁,气道黏膜充血水肿(图4)。
图4 支气管镜检隆突,左右气道见不规则肉芽肿样增生物
7月18日腹股沟淋巴结病理(图5)示窦组织细胞增生性淋巴腺炎,有星空现象,CD68阳性。
图5 腹股沟淋巴结活检
a.淋巴结正常结构消失(HE×100);b.“星空”现象(HE×400);
图5 腹股沟淋巴结活检
c.CD68染色阳性 (棕色)细胞(×400)
最终诊断
窦性组织细胞增生伴巨大淋巴结病。
重要提示
1.中年女性,急性起病,以高热、寒战、咳嗽、咳痰为主要症状;
2.无吸烟史、无结核病史、无特殊职业史;
3.查体:右颌下,双侧锁骨上及右侧腹股沟均可触及肿大淋巴结,最大达3cm× 3cm,质软,触痛(-),活动度可,右侧软硬腭交界处可见蚕豆大小突起,黏膜正常,中等硬;
4.外周血白细胞正常,嗜酸性细胞增高6.31%,血清变应原IgE(+),ANA(+);
5.病初阿奇霉素及头孢菌素类抗生素治疗,体温有下降趋势;
6.肺CT:右肺内可见多发淡片状密度增高影。双侧肺门影增大,可见多发结节影,气管及主支气管管壁可见多发小结节状突起影,部分支气管变窄。纵隔内可见多组肿大淋巴结影。抗感染治疗影像学无明显改变。激素治疗后明显吸收。
住院期间予青霉素320万,每8小时一次,睡前一次口服孟鲁司特钠10mg,治疗半个月后咳嗽、咳痰减轻,无发热、气短,出院后继续口服孟鲁司特钠。随访观察1年,于2008年7月21日因反复发热1周再次复查,肺CT(图6)与2007年7月21日CT对比两肺门及纵隔淋巴结无明显变化。双肺野的多发斑片、结节影范围增大,数目增多。右肺下叶后基底段见不规则大片致密影。2008年7月29日支气管镜检提示:左右主气道不规则肉芽肿样增生物消失(图7)。静脉滴注环丙沙星2周,口服醋酸泼尼松龙片30mg q.d,逐渐减量,每周减5~10mg,后服用2周。2008年11月19日复查肺CT:双肺门及纵隔淋巴结较前略缩小,双肺内弥漫性炎症性病变数目减少、范围缩小,右肺中叶实变消失(图8)。
图6-1 肺CT示双肺野的多发斑片、结节影范围增大,数目增多右肺下叶后基底段见不规则大片致密影(2008-07-21)
图6-2 肺CT示双肺野的多发斑片、结节影范围增大,数目增多右肺下叶后基底段见不规则大片致密影(2008-07-21)
图7-1 支气管镜检隆突及左、右气道不规则肉芽肿样增生物消失
图7-2 支气管镜检隆突及左、右气道不规则肉芽肿样增生物消失
图8-1 肺CT示双肺门及纵隔淋巴结较前略缩小,双肺内弥漫性炎症性病变数目减少、范围缩小,右肺中叶实变消失
图8-2 肺CT示双肺门及纵隔淋巴结较前略缩小,双肺内弥漫性炎症性病变数目减少、范围缩小,右肺中叶实变消失
1.Chuah KL,Tan PH,Hwang SG,et al.Cutaneous Rosai-Dorfman disease-a pathologic review of 2 cases.Singapore Med J,2000,41:122-125
2.Ortonne N,Fillet AM,Kosuge H,et al.Cutaneous Destombes-Ro-sai-Dorfman disease:absence of detection of HHV-6 and HHV-8 in skin.J Cutan Pathol,2002,29:113-118
3.Andriko JA,Morrison A,Colegial CH,et al.Rosai-Dorfman disease isolated to the central nervous system:a report of 11 cases.Mod Pathol,2001,14:172-178
4.Hargett C,Bassett T.Atypical presentation of sinus histiocytosis with massive lymphadenopathy as an epidural spinal cord tumor:a case presentation and literature review.J Spinal Disord Tech,2005,18:193-196
5.Pulsoni A,Anghel G,Falcucci P,et al.Treatment of sinus histiocytosis with massive lymphadenopathy(Rosai-Dorfman disease):report of a case and literature review. Am J Hematol,2002,69:67-71



