男,67岁,右利手。
主诉
左下肢抽动3月,伴头痛10余天。
部分性癫痫的持续状态在脑内有相应症状性致痫灶的机会较多。较常见于文献的是Rasmussen脑炎。
患者的这些症状属全身症状,可能与过快的激素减量有关。
现病史
3个月前,患者下地小便时感左下肢无力,尚可独自行走,但短时间后出现左下肢抽动,呈持续性,逐渐加重,致全身抖动。无头痛,头晕,无恶心,呕吐。无发热。余肢体活动正常。当即到当地医院就诊,做脑CT可见点状高密度,疑诊脑囊虫,给予甘露醇,口服丙戊酸钠,病情无好转。第二天到另一外地医院住院治疗,第三天左下肢持续抽动自行停止。做腰穿,压力350mmH2O,囊虫补体结合试验(-),余结果不详。头颅MRI检查显示:右侧顶后部长T1异常信号。胸腹部CT无异常。医生考虑炎性肉芽肿可能,给予甘露醇、甘油果糖、头孢曲松钠,病情稳定,未再出现左下肢抽动,但仍感左下肢无力,并出现面部皮疹,遂停用头孢曲松钠。住院20天后出院,转当地医院继续住院治疗,给予地塞米松、异烟肼、甘露醇治疗。1月后复查头MRI提示病灶较前缩小。改为泼尼松20mg口服,每5天减5mg。10余天后患者出现头痛,全身无力,出汗,心慌,食欲下降,精神差。患者觉双膝关节疼痛,双手、双足关节疼痛,起床时两肋撕裂样疼痛,无双下肢麻木,无束带感,无发热。再次复查头MRI,颅内病灶较前“增多”,给予哌拉西林、甘露醇、地塞米松5mg输液治疗,上述症状缓解。来院查体:BP134/ 86mmHg,神清,言语流利,高级智能检查正常。眼动充分,双瞳孔等大等圆,直径3mm,光反射存在。其余脑神经检查阴性。四肢肌张力正常,左下肢肌力5-级。未见震颤、手足徐动、肌阵挛等不自主运动。四肢腱反射对称引出,病理征阴性,感觉、共济检查均阴性。以“颅内多发性病灶性质待诊”收入我科病房。
发病以来血压正常,记忆力无变化,无皮疹、口腔溃疡、光过敏现象,睡眠尚可,大小便正常,体重增加1公斤。
在部分性癫痫持续发作之后,可以留下一段时间的Tod瘫。
既往史
40余年前患肺结核,已治愈。30余年前因外伤致脑震荡,治愈。否认肝炎传染病史,否认高血压、糖尿病史,有高脂血症史。对头孢菌素过敏。否认手术、输血史。
个人史
生长于原籍,否认疫区居留史。无长期毒物及放射线接触史。无烟嗜好,嗜酒40余年,每日2两左右。
婚育史
适龄结婚,配偶及子女健康。
家族史
父母已故(死因不详),一兄一妹体健,家族中无传染病及遗传病史。
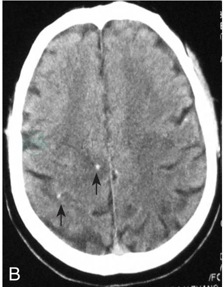
入院后完善检查,血常规、尿常规、粪便常规、凝血功能、HIV、乙肝五项、丙型肝炎病毒检查、血RPR均正常 。肝肾脂全:TC 6.47mmol/L,TG 2.35mmol/L,HDL-C 1.42mmol/L,LDL-C 4.01mmol/L。余正常。血CYT(+)。肿瘤指标:AFP、CA125、T-PSA、肺癌筛查均正常。血Hu-Yo-Ri:阴性。免疫指标:血C-RP、ASO、RF、ESR、ENA、ANCA均正常。血抗核抗体、抗双链DNA、ENA、ANCA阴性。心电图:窦性心律,未见异常。腹部B超:脂肪肝,双肾囊肿。超声心动图:左房增大,左室松弛功能减低。双下肢正位相:双下肢软组织可见钙化灶(图1)。行腰穿检查,压力210mmH2O,脑脊液常规:正常。生化:蛋白0.54g/L,糖3.1mmol/L,氯化物121mmol/L。CYT(+)。墨汁染色(-)。抗酸染色(-)。IgG合成率:-2.100mg/24h,未见瘤细胞。细胞学:正常。头CT:颅内多发高密度点状影。头MRI+DWI+MRS+增强:左额叶皮层下白质内小片状异常信号,与以前的摄片比较脑内多发皮层下白质异常信号较前明显吸收,左额叶皮层下异常信号较前减小;右额叶、右侧丘脑、右侧内侧颞叶结节状短T2信号,结合CT符合钙化表现;双额、左顶叶皮层下、右基底节多发慢性期腔梗。增强左额叶皮层下白质异常信号未见明显强化,右侧丘脑、右侧内侧颞叶异常信号可见异常强化,可符合脑囊虫表现。治疗上继续给予抗癫痫药物,给予阿苯达唑0.4g,每天2次,驱虫治疗14天,配合激素预防脑水肿。病情稳定,无抽搐发作。驱虫结束后复查头CT:脑室质内多发点状致密影无明显变化。患者出院随诊。
图1 A:小腿肌肉像可见点状钙化(黑箭头),提示既往囊虫感染后坏死虫体形成的钙化;B:头颅CT显示右侧顶叶的钙化灶(黑箭头),周围有低密度提示水肿;C:头颅MRI T2像显示右侧顶叶的病灶;D:头颅CT显示右侧颞角脑实质表面和脑室交界的圆形钙化灶



