病历摘要
女,17岁,右利手。
主诉
双下肢无力1年余,加重1月。
病史
患者于2004年8月无明显诱因下出现双下肢乏力,平地行走数百米后需要休息,上楼梯有时需要扶把手,蹲下后可自行起立,但觉费力,下楼梯无明显费力,自觉上肢力气没有影响,症状无晨轻暮重,但运动不耐疲劳,无肌肉痉挛、疼痛、两便障碍以及四肢感觉异常。至2005年6月患者觉双下肢无力加重,表现为提腿困难,上楼梯对扶手的依赖增加,时间明显延长,但仍可勉强走至四楼,下蹲后不能自行站起。外院查血清CK 430U/L,拟诊为“多发性肌炎”。为进一步明确诊断收入我院。入院体格检查:神志清楚,言语清晰,智能佳,闭目、闭唇肌力佳,脑神经(-)。抬头肌力2级,双上肢肌力5级,双侧桡骨膜反射++,肱二、三头肌(-),双侧Hoffman征(-),双下肢屈髋肌力3级,伸膝5级,屈膝4级,踝背屈、跖屈5级,足趾背屈、跖屈5级。双下肢膝踝反射(-),四肢肌张力无增减,双侧病理征(-),全身深浅感觉无明显异常,全身肌肉容积未见明显增减。新斯的明试验阴性。
运动不耐受主要见于重症肌无力、线粒体肌病、脂质沉积性肌病和糖原累积病。
既往史
无心脏、肝脏、皮肤和结缔组织疾病史。
家族史和个人史
无特殊。
入院分析
此病例主要症状为进行性双下肢无力,以近端为主,单从主诉推断病变定位,可能性较多,可为肌肉、神经-肌肉接头、周围神经、腰骶神经根或脊髓病变。除后者为中枢病变外,其余位置均属周围性病变。进而仔细询问病史,患者未诉有感觉异常和两便障碍,因而提示神经-肌肉接头环节以上水平病变的可能性相对较小,但不能完全确定。体格检查发现患者抬头肌力差,双下肢近端肌力差,未发现腱反射减弱或消失、感觉异常以及病理征,因而进一步排除神经-肌肉接头水平以上的病变。虽然运动不耐疲劳也是神经-肌肉接头突触后膜病变的特点,但患者新斯的明试验阴性,且外院血清CK轻度增高,因而主要考虑肌肉病变,可进一步借电生理最终予以明确。
总结患者病史特点:①青年女性;②缓慢起病,病程1年,病情进行性加重;③以双下肢近端无力为主要表现,有运动不耐受现象。同时符合进展性肌无力和运动不耐受的肌病主要为代谢性肌病,即线粒体肌病、糖原累积病和脂质沉积性肌病。此三种肌病有时在临床上较难鉴别,主要依赖于病理确诊。若忽略运动不耐受这一特点,其进展性肌无力还需与以下疾病鉴别:
1.肢带型肌营养不良症(LGMD)
本类肌病为常染色体显、隐性遗传,种类繁多,目前共有20型(见丁香视野),男女均可患病,临床上以进行性四肢近端肢带肌无力伴萎缩为主要表现,肌肉免疫病理可见各种肌细胞骨架蛋白染色异常。本病例支持点:①女性,不同于Becker型肌营养不良症仅累及男性;②逐渐进展的近端肌无力;③外院检查血清CK增高。不支持点:①无家族史;②病程太短,仅1年;③肌无力主要累及下肢近端;④肌肉萎缩不明显。总体而言,本病例临床特点不符合,但需借助肌肉病理完全除外。
多发性肌炎在儿童和青少年中极为罕见,诊断需慎之又慎。
2.多发性肌炎
本病可呈急性、亚急性和慢性起病,以四肢近端无力为主要表现,血清CK明显升高,可达50倍以上,肌肉病理呈明显的炎性细胞浸润并有CD8/MHC-1复合体。本病例支持点:①病程1年;②进展性肌无力;③血清CK增高。不支持点:①年龄偏小;②病程虽有1年,但肌肉萎缩不明显;③上肢受累不明显;④血清CK水平不够高。如上所述,本病例多发性肌炎依据不足,可行肌肉活检完全除外。
3.甲状腺功能减退性肌病
在内分泌性肌病中相对常见,以四肢近端肌无力为主要表现,可伴有肌肉僵硬和假性肌强直,甲状腺功能减退是诊断要点。本病例无肌肉僵硬感,未见甲减其他系统症状,故不支持,可行血清T3、T4和TSH测定进一步除外。
院内观察
血清CK 820U/L,LDH 325U/L,CK-mb 16U/L;血清乳酸运动诱发试验阴性;甲状腺功能正常。
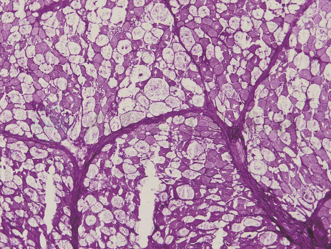
肌电图示明显肌源性损害,以下肢肌为主,上肢也有受累。心电图示左心室高电压。肝脏B超未见明显异常。肱二头肌活检冰冻切片示肌源性损害,HE和MGT染色见肌纤维大小不一,部分肌纤维萎缩,细胞内有大量空泡(图1);ATP9.6未见群组化,Ⅰ、Ⅱ型纤维均有病变,但Ⅰ型纤维重于Ⅱ型纤维,PAS染色呈强阳性(图2)。
图1 MGT染色(×100)同样可见肌纤维内大小不等的空泡,空泡内含紫色颗粒样物质
图2 PAS染色(×100)见浓染,而有明显空泡的肌纤维为制片过程中糖原颗粒的脱失
诊断
糖原累积病Ⅱ型。



