病历摘要
男,35岁。
主诉
反复发热1年余,加重伴头痛2月,于2002年7月入院。
本例为免疫受损的患者,其潜在的自身免疫性疾病和激素治疗都可以损害免疫功能。
病史
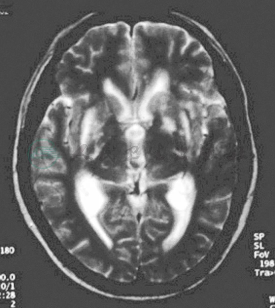
患者自2000年12月无明显诱因出现发热,最高38℃,午后明显,不伴畏寒、寒战、乏力、纳差,就诊外院查“血三系低,尿便(-),肝肾功能(-),骨髓穿刺(-),B超示“门脉增宽,脾大”,考虑“脾大,脾亢”。外院行脾切除术,病理不详。术后患者发热症状完全缓解。2001年5月患者再次出现发热,最高38℃,外院查:血红蛋白90g/L;ESR 108mm/h;IgG30.9g/L;CMV-Ab(+);骨髓穿刺:骨髓增生活跃,浆细胞8%;血尿轻链定量均高于正常;腹部CT:肝肿大,腹膜后淋巴结肿大。予多种抗生素治疗症状未好转,考虑不除外免疫病,予泼尼松40mg/d口服,发热症状完全缓解。完全停药后,再次出现发热,自行加量后可缓解症状,此后患者反复无规律自行口服泼尼松,可间断控制症状。2001年5月患者发热,口服泼尼松无缓解,伴头痛,持续,部位不定,停用泼尼松后出现高热,最高41.5℃,头痛加重,剧烈,伴恶心,呕吐,并逐渐出现反应迟钝,智能活动减退,活动力下降。腰穿脑脊液:细胞总数30×106/L,白细胞30×106/L,蛋白1.87g/L,氯化物114mmol/L,糖0.5mmol/L;血沉34mm/h; ENA谱: SSA+52kD; C-RP 192mg/L;外院查体:颈项强直,颏胸距2横指,查HIV、HBV、HCV抗体均阴性;查CSF(6月13日/7月 1日):压力50/120mmH2O,细胞总数22/6×106/L,白细胞11/0×106/L,蛋白110/94mg/dL,氯化物115.3/116.8mmol/L,糖4/50mg/dL,墨汁染色和抗酸染色阴性,真菌培养可见新型隐球菌。头CT及MRI(图1):双侧基底节病变,脑积水,局部脑膜强化。
一般新型隐球菌阳性率,脑脊液细胞学高于墨汁染色,后者高于真菌培养。脑脊液常规细胞计数的方法对新型隐球菌也有很高的检出率。
软脑膜强化和脑积水等改变无特异性的鉴别诊断意义,也可见于结核性脑膜炎等中枢神经系统感染。
隐球菌性脑膜炎基底节区的病变有一定特征性:约50%的隐球菌性脑膜炎可出现脑实质内多发小囊性改变,以基底节区明显,镜下改变为扩大的血管周围间隙中充满隐球菌,炎性细胞反应一般不明显。这种多发小囊性改变有些类似血管周围的筛空状态,由于血管周围间隙与蛛网膜相延续,因此这些病灶不是严格意义上的脑实质损害。
图1 头CT及MRI T2加权
行软脑膜活检病理
纤维组织增生,玻璃样变性伴钙化,未见隐球菌。考虑血管炎,予泼尼松40mg/d口服,体温可控制正常,曾予丙球蛋白20g×5天,环磷酰胺治疗1天后因血象降低明显停用。为进一步诊治收入协和医院。患者自发病以来体重无明显减轻,精神较差。否认关节肿痛、光过敏、雷诺现象、脱发,无肢体疼痛及皮肤网状青斑等。既往史:2000年12月于外院行脾切除术。有输血史,否认血吸虫、疟疾等传染病史。否认冠心病、糖尿病、高血压等病史。否认与鸟类密切接触史,否认家族中有类似疾病患者。体格检查:T:38.3℃,P:90次/分,R:20次/分,BP:110/ 80mmHg,发育正常,营养较差,平车入病室,神志不清楚,计算力差,不配合检查。皮肤黏膜苍白,结膜苍白,无充血,眼球运动好,双侧瞳孔不等大,右侧直径4.5mm,左侧直径2.5mm,对光反射较迟钝。颈强直,颈部可闻及血管杂音,震颤未及。腹部外形平坦,右上腹可见一长约8cm手术瘢痕。肌力、肌张力正常,深浅反射正常存在,病理反射未引出。
脑脊液细胞学等脑脊液检查可以充分显示脑膜病变的性质,而单纯的软脑膜活检几乎不能提供比脑脊液检查更多的信息,因此脑膜活检很少用于脑膜病变的诊断。
诊断
新型隐球菌性脑膜炎。
入院后腰穿测压力420mmH2O,细胞总数20× 106/L,白细胞0,蛋白180mg/dl,氯化物111.6mmol/L,糖21mg/d,墨汁染色阳性。CSF细胞学见大量隐球菌,PAS染色阳性(图2)。
图2 CSF细胞学PAS染色:大量隐球菌呈簇聚集
虽以足量抗真菌药物治疗,仍未能挽救患者生命,而其潜在的基础病也未得以确诊。



