赵国宏、焦永红
局部神经阻滞麻醉是眼科常用麻醉方式,尽管随着表面麻醉药物的发展,越来越多的眼科手术可以在表面麻醉下顺利实施,但对于手术操作复杂、时间较长、需要患者配合度较好的眼科手术,仍广泛使用球后及球周麻醉。眼科常用的阻滞麻醉包括球后麻醉和球周麻醉,麻醉药物的毒性及操作过程中的机械损伤均可造成一过性或顽固性斜视,现报道一例与局部阻滞麻醉相关的垂直斜视。
一例69岁女性,因“视物成双,右眼上斜渐加重1年”就诊,患者一年前于当地局麻下(表面麻醉联合球后麻醉)行右眼白内障超声乳化吸除联合人工晶状体植入术,术后一周出现视物成双,此后右眼出现上斜视并逐渐加重。就诊于我院后,经过眼眶核磁共振检查,发现右眼上直肌近总腱环附近增厚,下直肌肌腹前部增厚,同时结合患者局麻内眼手术后出现斜视的病史,诊断为“麻醉相关性斜视”,进行斜视手术矫正。
内眼术后斜视;球后麻醉;并发症
患者为69岁老年女性,因“视物成双,右眼上斜渐加重1年”就诊,患者一年前于表面麻醉联合球后麻醉下行右眼白内障超声乳化吸除联合人工晶状体植入术,术后一周出现复视,先后就诊于当地神经内科、眼科,排除中枢神经系统相关因素,此后视物成双加重,右眼出现明显上斜视,逐渐进展至右眼角膜隐匿至上睑内,且伴有眼胀等不适,遂就诊于我院,寻求进一步治疗。
既往否认全身病史,否认外伤史、家族史、药物过敏史等。
眼科查体:视力右眼0.2,左眼0.6;眼压右眼14mmHg,左眼18mmHg;眼前节:双眼角膜清,右眼前房深,左眼中深,双眼瞳孔等大,约3mm,右眼人工晶状体位正,左眼晶状体混浊,3级核;眼底:双眼眼底网膜在位,视盘色正,C/D约0.4,中心凹反光清。
斜视专科查体:左眼注视,R/L 40°,右眼不能正位注视;眼球运动:右眼内下转-4、外下转-4,下转运动明显受限,左眼球运动正常。术前九眼位检查见图1。
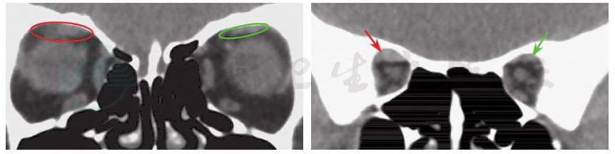
分析患者病情:患者复视发生于白内障术后一周,此后逐渐加重,术中麻醉方式为表面麻醉联合球后麻醉。于是先行眼眶CT排查是否存在不自知的外伤引起的眼眶骨折。眼眶CT示:近总腱环处上直肌增粗,周围脂肪间隙边界模糊,眶骨连续性完整;随后行眼眶核磁共振检查,核磁影像显示:近总腱环处上直肌肌腹增粗(图2,图3)。考虑到手术前无斜视,手术中局麻采用球后注射,术后早期出现复视,随时间延长斜视逐渐加重,并结合典型近总腱环周围肌肉增粗的影像学表现,诊断为麻醉相关性斜视。
确诊后进行了手术治疗,术中进行牵拉试验,发现牵拉上直肌存在明显限制感,松解上直肌后下转运动改善。
图1 术前九眼位检查
引自:主编:.同仁眼科疑难病例精析:同仁眼科临床病例讨论会1.第1版.ISBN:978-7-117-33030-5
图2 眼眶核磁
黄箭头所示位置为上直肌近总腱环处肌腹增厚。
引自:主编:.同仁眼科疑难病例精析:同仁眼科临床病例讨论会1.第1版.ISBN:978-7-117-33030-5
图3 眼眶CT检查
环形标记及箭头所示为两侧上直肌肌腹、肌肉周围间隙对比。
引自:主编:.同仁眼科疑难病例精析:同仁眼科临床病例讨论会1.第1版.ISBN:978-7-117-33030-5
发病机制
局麻药物的眼部毒性作用最早由Rainin和Carlson在1985年报告,并猜测由于局麻药物的肌毒性,可能导致肌纤维的退行性变、肌异常纤维增生,从而产生一过性或顽固性的斜视。这种早期的肌肉麻痹猜想得到部分学者的支持,从报告的病例中看虽然病例量较少,但大多涉及术后上直肌运动过强,认为可能是由于局部麻醉导致暂时性的下直肌麻痹,然后续发上直肌挛缩而引起。Hamed提出了机械损伤的解释,他认为上直肌挛缩很可能是由于针头直接机械性损伤造成出血,使组织压升高,或在肌肉组织内蓄积大量麻醉药物,续发血管性损伤和肌肉纤维化所致。
在局麻相关性的斜视中,最常见的受累肌是下直肌,比例可达70%。下直肌多受累的原因很可能与针头距下直肌较近有关,很容易损伤到肌肉,因此术后早期常常表现为上直肌运动过强,极少有上转运动受限。但由于患者术前上直肌功能正常,在下直肌损伤后力量失衡,如果下直肌损伤较重不能及时恢复,上直肌长期处于收缩状态,导致挛缩纤维化,这与广泛肌肉挛缩引起运动限制的理论相符。
随着白内障技术的进步及表面麻醉药物的发展,白内障手术已极少采用球后或者球周麻醉,但其他眼科手术中,仍较常使用球周或球后麻醉技术,除了采用较钝的针头,注射时注意角度及注射深度以外,术后如果出现复视,考虑下直肌损伤,可考虑早期拮抗肌注射肉毒毒素,给损伤肌肉恢复创造条件。
[1]RAININ EA,CARLSON BM.Postoperative diplopia and ptosis. A clinical hypothesis based on the myotoxicity of local anesthetics.Arch Ophthalmol,1985,103(9):1337-1339.
[2]ESSWEIN MB,VON NOORDEN GK.Paresis of a vertical rectus muscle after cataract extraction.Am J Ophthalmol,1993,116(4):424-430.
[3]GRIMMETT MR,LAMBERT SR.Superior rectus muscle overaction after cataract extraction.Am J Ophthalmol,1992,114(1):72-80.
[4]HAMED LM,MANCUSO A.Inferior rectus muscle contracture syndrome after retrobulbar anesthesia.Ophthalmology,1991,98(10):1506-1512.
[5]徐深,范玉香,杨云东,等.白内障术后的垂直斜视.中国实用眼科杂志,2000,18(3):179-180.



