患者男性,26岁。因“突发抽搐、意识障碍2天”于2008年4月就诊我院急诊。
现病史
患者2天前于田间喷除草剂“百草枯”,约20分钟后于树林行走过程中出现突发面朝下倒地,全身抽搐,双眼发直,伴小便失禁,持续约10分钟,醒后烦躁,喊叫,不能交流,当地医院查体温高,洗胃无有机磷中毒,血常规:白细胞及中性粒细胞比例增高。尿检示镜下血尿,头部CT(-)。腰穿:压力180mmH2O,脑脊液常规正常,蛋白0.93g/L,糖与氯化物正常。予间断镇静治疗,2天后送至我院急诊,未再用镇静药物,但患者持续意识障碍,高热>39℃,未再醒转。家属否认发病前发热、头痛、肢体无力及精神行为异常。
既往史
出生时全身即有散在黑色皮痣,随体表面积增大成比例增长;病前数日皮痣无明显变化。生长发育同同龄儿。
个人史
无特殊
家族史
否认亲属中有人有类似皮痣。否认其他病史。
入院查体
体温39.3℃,脉搏88次/min,血压120/70mmHg,经皮动脉血氧饱和度(SpO2)92%。浅昏迷,颈部、胸部及双大腿内侧粉色充血性黄豆大丘疹,右脐旁、左腹股沟、脚踝、肩胛部、背部见黑色素皮痣,部分皮痣上有大量黑色毛发(图1)。双肺呼吸音粗,有粗大痰鸣。心律齐,腹平软,肠鸣音正常。疼痛刺激有躲避动作,瞳孔等大3mm,光反应存在,眼球无凝视,鼻唇沟对称。颈抵抗(+),颏胸距3指,四肢未见明显自主活动,肌张力低,腱反射低下,病理征未引出。
图1 患者体表大片黑色素痣
a.腰骶部及臀部大片黑色素痣;b.脐周腹部数个黑色素痣,周围有多个“卫星痣”
诊断和治疗经过
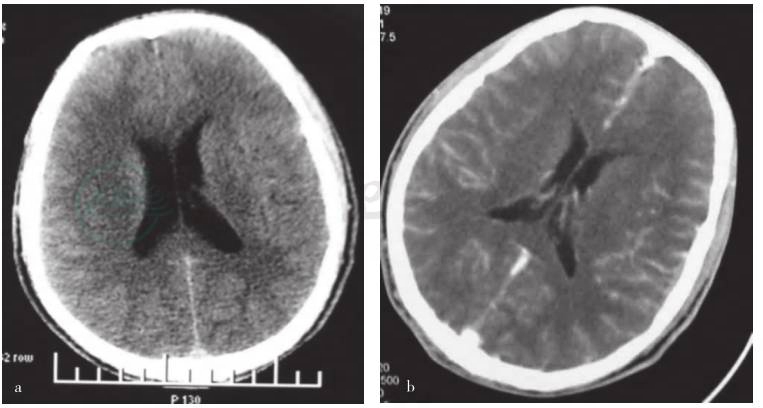
入院后给予对症支持治疗。辅助检查:血气分析,pH 7.405,氧分压(PO2)69.7mmHg,血氧饱和度(SO2)93.3%,PCO2 38.3mmHg,HCO3 23.5mmol/L;血常规,白细胞16.54×109/L,中性粒细胞比例87.1%。心电图正常。头部CT:大脑皮层可疑弥漫性密度增高,双侧脑室轻度增大;头部CT增强:增强可见脑膜异常强化(图2a、b)。肺CT:双肺间质化,以双下肺为著。腹部B超:胆囊内中强回声,息肉?结石?余未见明显异常。毒物筛查:患者血检有低于中毒剂量的地西泮及苯巴比妥,未及百草枯及其他除草剂。当日腰穿:压力85mmHg,细胞总数160×106/L,白细胞数2×106/L,生化:蛋白0.66g/L,葡萄糖3.2mmol/L,氯化物119mmol/L。脑脊液细胞学:散在异型细胞,胞质内可见色素颗粒,建议复查细胞学及免疫组化。次日复查腰穿:压力50mmH2O,细胞总数970×106/L,白细胞数4×106/L,蛋白 0.46g/L,糖与氯化物正常。脑脊液细胞学(自然沉淀法,侯氏脑脊液细胞沉淀器):可见含有黑色素颗粒的异形细胞,免疫染色S-100和HMB45阳性,符合黑色素细胞增生性疾病(图3)。予补液、支持,患者意识无进一步恢复,建议行皮肤活检,家属拒绝,放弃治疗,离院回当地,2天后患者逐渐醒转,逐渐恢复进食及活动,但反应较前迟钝。20天后复查头部MRI增强(图2c、d)显示软脑膜明显异常强化,右顶颞部脑膜下可见异常强化结节;第四脑室及幕上脑室略见扩张;脑实质、脑干及小脑半球未见异常强化信号。8个月后电话随诊,患者仍存活,有幻觉、精神症状,失眠,视力下降较明显,家属诉较病前下降80%左右。间断癫痫大发作,予卡马西平治疗,癫痫大发作明显减少。走路不稳,手足有时抖,但生活大致自理。间断有头痛症状,输甘露醇可部分缓解。皮肤黑痣未见进一步增大或性状改变。拟病情稳定行皮肤活检,但患者精神及智能状况进行性加重,家属未再带患者外出就诊。14个月后电话随诊,患者视力基本丧失,卧床,言语难以理解,认知功能明显下降,定向力、自知力均差,间断有左侧上肢抽动,类似部分性癫痫发作,无自理能力。
a.头部CT平扫显示大脑皮层可疑弥漫性密度增高,双侧脑室轻度增大;b.头部CT增强可见脑膜异常强化;
c.箭头所示为右颞叶异常强化结节影(MRI增强);d.箭头所示为右顶叶异常强化结节影(MRI增强)
图2 患者神经影像学检查
图3 患者脑脊液细胞学检查
可见较多含有黑色素异型细胞,脑脊液细胞学采用自然沉淀法,MGG染色
神经科住院医师
患者青年男性,急性起病,以癫痫大发作、意识障碍为主要表现,发病前有毒物接触史。神经系统查体:浅昏迷,全身多处黑色素皮痣,瞳孔光反射正常,四肢肌张力低下,腱反射低下,病理征(-),脑膜刺激征阳性。定位诊断:癫痫大发作、意识障碍,定位于广泛大脑皮层;颈抵抗、肌张力低下、腱反射低下,定位于脑脊膜神经根,病变范围较广泛。
定性诊断
青年男性,急性起病,癫痫发作、意识障碍为主要表现,查体提示广泛大脑皮层及脑脊膜神经根受累,头部CT和MRI提示脑膜广泛受累,有局灶结节样强化病灶,结合脑脊液细胞学找到黑色素细胞,考虑脑膜恶性肿瘤的可能。肿瘤来源可能为先天性黑色素痣恶变。但患者起病前完全正常,无头痛、呕吐、四肢无力等病史,与常见脑膜癌病特点不符。脑膜癌病中数生存期仅3~6个月。本例患者随访14个月,虽然神经系统症状进行性加重,但仍存活,且皮肤黑色素痣无进一步增大,不支持皮肤黑色素痣恶变导致脑膜及脑转移。查阅文献获知,先天性黑色素皮痣患者部分合并神经皮肤黑变病(NCM),即患者有先天巨大或多发的皮肤黑色素痣,同时合并脑膜黑变病或黑色素瘤。多婴幼儿起病,少数可成年起病,存在癫痫、头痛、呕吐等皮层受累或颅内压增高表现。起病前可完全没有神经系统症状。该病预后不佳,不管中枢神经系统的黑变病细胞为良性或恶性,均会在临床出现症状后进行性加重,半数以上在3年内死亡,少数可存活10年以上,但中数生存期较脑膜癌病长。从随诊情况看,本例患者临床表现及病程均符合NCM的诊断,尤其是随诊未发现皮肤黑色素痣进一步改变,更支持该诊断
神经科主治医师
根据神经科病理实验室脑脊液细胞学检查,患者脑脊液中可见大量含有黑色素颗粒的异型细胞,免疫染色S-100和HMB45阳性,符合黑色素细胞来源,因此考虑为黑色素细胞增生性疾病。但良恶性的鉴别要结合临床或依靠病理确诊。不论是神经皮肤黑变病还是恶性黑色素瘤都预后不良。但如果为黑色素瘤可考虑化疗和放疗。替莫唑胺对晚期黑色素瘤,包括神经系统转移有一定效果。神经皮肤黑变病虽然为良性病变,但临床呈恶性过程,缺少有效的治疗方法。
急诊科主治医师
患者青年男性,以癫痫大发作、意识障碍为主要表现,发病前半小时有农药接触史,入院时全身粉色充血性黄豆大丘疹,且有高热,在获得进一步检查结果之前很容易想到农药中毒。胸部CT示双肺间质病变,符合某些农药中毒的特点。从急诊诊治的角度,应首先按中毒进行处理。后续检查:毒物筛查没有查到患者所喷洒的农药;脑脊液细胞学找到黑色素细胞,提示不管原发还是继发,确实存在CNS黑色素瘤的可能。由此推断患者发病刚好在接触农药后,可能为巧合,但亦不除外农药刺激为癫痫大发作的诱因。因中毒诱因不能完全排除,无临床禁忌,至少可加强补液治疗,以促进可能的毒物排出。
病理科教授
患者脑脊液细胞学找到黑色素细胞,提示恶性黑色素瘤的可能。但值得注意的是,NCM中,脑膜黑变病细胞(melanotic cell)也呈多形性、显著的纺锤形、圆形、卵圆形、多角形,可以看到不同程度的有丝分裂,有时与恶性黑色素瘤细胞不易鉴别,常需依赖大体标本的特点。本例患者MRI检查脑实质有2处结节样强化病灶,提示可能为恶性黑色素瘤。
神经皮肤黑变病(neurocutaneous melanosis,NCM)
神经皮肤黑变病又称神经皮肤黑素细胞沉着症,是一种罕见的散发性神经皮肤综合征,是由于胚胎神经外胚层黑色素细胞发育异常而致的先天性疾病。NCM发病机制尚不明确,目前的观点认为NCM是一种斑痣性错构瘤病,由胚胎期神经外胚层在形态发生尤其是神经嵴形成的过程中出现发育不良,导致黑素生成细胞在皮肤和CNS局灶或弥漫增生的结果。1861年Rokitansly最先报道1例尸检病例:14岁男孩,巨大皮肤黑色素痣、精神发育迟滞及脑积水,死后尸检发现柔脑膜弥漫性浸润良性黑色素细胞。1948 年Van Bogert正式提出NCM的命名,但当时所指后来被命名的家族遗传性黑变病。1972年Fox提出了NCM的诊断标准;1991年Kadonaga等人对该诊断标准进行了修订,并对当时已报道的39例病例进行了详细的综述。此后的文献报道多以Kadonaga的诊断标准为依据,迄今为止文献中共报告100余例。Kadonaga等的诊断标准如下:①巨大或多发的先天痣,合并脑膜黑素沉着症或黑色素瘤;②无皮肤黑色素瘤的证据,除非所检脑膜病变组织学上为良性;③无脑膜黑色素瘤的证据,除非所检皮肤病变组织学上为良性。巨大痣特指成人痣直径大于或等于20cm,或新生儿头部痣直径大于或等于9cm,或躯体痣直径大于或等于6cm。较Fox的诊断标准,修订后的标准基本排除了皮肤黑色素瘤脑膜转移或脑膜黑色素瘤皮肤转移导致概念混淆的可能性。由定义看,本例患者要明确诊断,原则上需行皮肤活检,如活检未发现黑色素瘤细胞,则诊断NCM,如发现黑色素瘤细胞,则诊断皮肤黑色素瘤脑膜转移可能性大。患者迄今为止未行皮肤活检,但随诊14个月仍生存,且皮肤黑色素痣性状无任何变化,故基本可排除皮肤黑色素瘤脑膜转移的可能性。
NCM为散发性疾病,发生率不详,因为例数少,且出现症状前的患者难以诊断,所以没有统计学数据。皮肤损害多在出生时即有,表现为多处、大片、轻度浸润的黑色素痣,常有少量毛发,部分较大者甚至遮盖整个躯干,或似帽子、肩垫、衣袖或长袜状,又称“兽皮痣”。文献报道,背部中轴、头颈部出现黑色素痣者,或有黑色素细胞“卫星”痣出现者易合并NCM。且“卫星”痣的数目与NCM及颅内黑色素瘤的发生率呈正相关。NCM中枢神经系统黑素细胞沉积分布于柔脑膜脑凸面、脑底部、脑桥腹侧、延髓、上颈部和腰骶部脊髓。组织学方面:NCM皮肤组织学与其他先天性黑色素痣一样。脑组织病理:细胞呈多形性、显著的纺锤形、圆形、卵圆形、多角形,可以看到不同程度的有丝分裂,由于不具有良好的特征性,Fox建议称之为黑变病细胞(melanotic cell),而非黑色素细胞(melanocyte)或成黑素细胞(melanoblast),以提示特殊的细胞类型。生理情况下,黑色素细胞可以环绕于血管周围,但不会进入特定的脑血管周围间隙(Virchow-Robin space)。而NCM黑变病细胞形成显著的血管周围浸润,并特征性的充满脑血管周围间隙。
NCM中枢神经系统表现多于出生后2年出现,但也有少数可在10~30岁出现,成年起病的NCM非常罕见,主要为个例报告。2018年北京协和医院神经科Guan H等报告了13例成人NCM病例组,为目前国内最大的单中心队列。NCM临床表现呈多样性,可表现为精神发育迟滞、头痛、呕吐、癫痫、脑积水、脑神经麻痹和其他神经功能缺损,少数并发中枢神经畸形如Dandy-Walker畸形。本例患者以癫痫大发作起病,为NCM常见表现,但不除外当时农药刺激对诱发癫痫有一定影响。目前认为症状出现的原因多为黑变病细胞的增生影响了脑脊液循环系统,或黑色素瘤本身的占位效应等。但并非所有NCM均会发展为有症状的NCM,有报道尸检发现颅内黑变病的患者,生前并无神经系统症状。MRI技术的发展极大增加了NCM的发生率,目前认为是诊断柔脑膜黑变病最好的方法之一,影像学检查可发现脑积水,由于成熟黑色素的顺磁性,头MRI显示病灶呈T1高信号、T2低信号,借此可与大部分其他疾病鉴别。但也有文章报道有黑素细胞沉积但MRI平扫T1及T2加强无明显异常信号。增强CT或MRI可发现柔脑膜增厚伴强化。但无论是MRI平扫还是增强,均无法鉴别黑色素细胞的良恶性。需要鉴别的尚有脑膜癌病、蛛网膜下腔出血及脑膜炎,CT和脑脊液检查有助于上述鉴别。脑脊液检查方面:可有颅内压增高,蛋白增高,糖正常,无菌性白细胞增多的表现。NCM预后较差,文献报道,不管累及CNS的是良性黑素细胞或黑色素瘤。出现神经系统症状的NCM多在症状开始后进行性恶化,50%以上于此后3年内死亡,中数生存期6.5个月,但也有少数超过10年。NCM出现脑膜黑色素瘤的比例高达40%~64%,出现脑膜黑色素瘤的患者预后显然较无黑色素瘤者差。有限的临床研究资料显示,放化疗及脑室腹腔分流术的对症治疗并没有延长生存期。值得注意的是,NCM常误诊脑膜癌病,尤其是成年起病者。因为病理上对黑变病细胞良恶性鉴别存在一定的困难,黑变病细胞本身有显著的细胞异形性,细胞常呈小结节或小团状出现。黑变病细胞浸润脑血管周围间隙导致的脑实质侵袭、载黑素细胞的存在(满载黑色素的组织吞噬细胞,大体上可导致脑实质的黑变)均可导致误诊为黑色素瘤。Yu等曾提出一些鉴别要点,以鉴别黑素沉着症与黑色素瘤:①良性肿瘤没有坏死和出血;②黑色素细胞可环绕血管但不会侵犯血管基底膜;③黑变病细胞缺乏细胞异形性和高比例的有丝分裂;④黑色素细胞缺乏环形片层(集中的片层结构代表修饰的黑素体)。本例患者病理来源于脑脊液细胞学,而非局部肿瘤组织活检,故难以通过上述实体标本的特点判断。最初疑诊黑色素瘤脑膜转移,除了脑脊液细胞学检查的支持外,主要是由于大家对NCM缺乏了解,故努力扩大我们认识的疾病谱对提高临床诊断水平至关重要。虽然症状性NCM预后很差,但较之恶性黑色素瘤脑转移的3~6个月生存期,还是有显著区别的,而且两者治疗意义不同,故准确的鉴别诊断对判断预后有一定价值。关于本例报道患者,虽然未行皮肤活检,但症状出现后随诊14个月尚存活,没有恶病质表现,而皮肤黑痣未再有进一步变化,故考虑NCM可能性较大,不支持皮肤黑色素瘤脑膜转移。根据北京协和医院神经科脑脊液细胞学的经验,脑脊液细胞学见到黑色素细胞时,多数病例最终确诊为NCM,而黑色素瘤则相对少见。
总之,NCM虽是少见病,对出现神经系统症状的皮肤黑变病患者仍需对其鉴别。详细的神经系统查体、MRI、脑脊液细胞学检查、脑组织活检有助于诊断。
[1]Kadonaga JN,Frieden IJ.Neurocutaneous melanosis:definition and review of the literature.J Am Acad dermatol,1991,24(5 Pt1):747-755.
[2]Schreml S,Gruendobler B,Schreml J,et al.Neurocutaneous melanosis in association with Dandy-Walker malformation:case report and literature review.Clin Exp Dermatol,2008,33(5):611-614.
[3]Zhang W,Miao J,Li Q,et al.Neurocutaneous melanosis in an adult patient with diffuse leptomeningeal melanosis and a rapidly deteriorating course:case report and review of the literature.Clin Neurol Neurosurg,2008,110(6):609-613.
[4]Cajaiba MM,Benjamin D,Halaban R,et al.Metastatic peritoneal neurocutaneous melanocytosis.Am J Surg Pathol,2008,32(1):156-161.
[5]Qian M,Ren H,Qu T,et al.Spectrum of Clinical,Neuroimaging,and Cerebrospinal Fluid Features of Adult Neurocutaneous Melanocytosis.Eur Neurol,2018,80(1-2):1-6
[6]杨英麦,关鸿志,李毅,等.抽搐、意识障碍.中国现代神经疾病杂志,2009,9(4):404-407.



