患者女性,62岁。因“头晕、呕吐2个月,行走不稳20天”于2014年9月11日入院。
现病史
患者2个月前(2014年7月)无明显诱因出现头晕,症状呈渐进性加重,伴轻度恶心;1个月前症状明显加重并伴呕吐、行走不稳,表现为步基增宽、向右倾倒且逐渐加重至站立不稳。外院头部MRI显示大脑半球、侧脑室后角旁斑片状长T2信号;颈椎MRI显示C5~6椎间盘突出、脊髓受压。予甘露醇降低颅内压以及抑酸药、止吐药、神经营养药治疗2周,恶心、呕吐症状逐渐缓解,头晕、站立不稳未见改善。数天前出现情绪低落、反应迟钝、构音障碍、语速减慢,但言语内容正常,自觉右下肢肌力略减弱,遂至我院门诊就诊,以“共济失调待查”收入院。患者自发病以来情绪低落、失眠、纳差,近1个月体重下降5kg。
既往史
眼干、口干病史数年,进干食需水送服。10年前曾行胆囊切除术。糖尿病病史10年,皮下注射胰岛素控制血糖,发病后停药。高血压病史4年,血压最高时达190/100mmHg,不规律服用苯磺酸氨氯地平。1个月前外院体格检查发现血脂水平升高(具体不详)。
个人史、家族史
无特殊。
入院后体格检查
神志清楚,粗测近记忆力、计算力、理解力、注意力减退,反应略迟钝,构音欠清晰,余脑神经无明显异常。双上肢肌力5级,右下肢近端肌力5-级、远端5级,左下肢肌力5级,四肢肌张力均正常;双上肢腱反射对称减退、双下肢未引出;右下肢Babinski征阳性;针刺觉正常,双髋及以下音叉振动觉减退;左侧指鼻试验、跟-膝-胫试验欠稳准,快复轮替动作笨拙,睁、闭眼无区别;右侧正常;Romberg征不能完成,站立时步基宽,无法独自站稳;反击征阴性;无颈项抵抗。
诊断与治疗经过
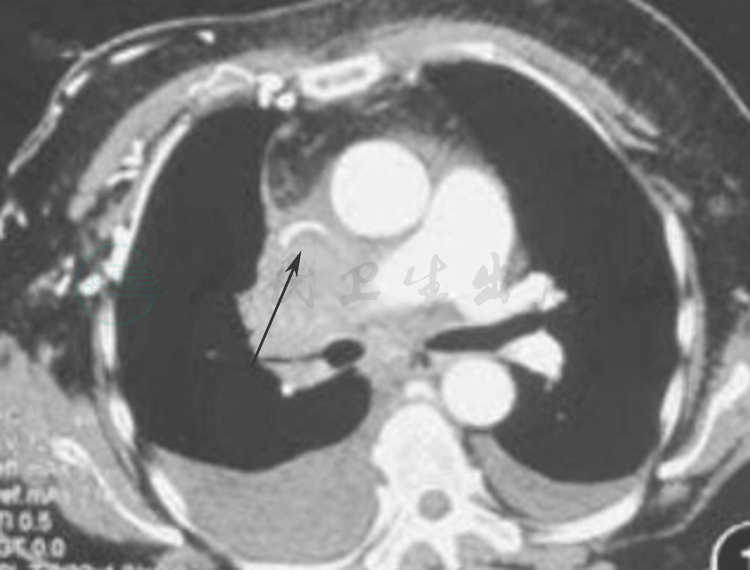
血常规、肝肾功能试验、血脂、胰淀粉酶和脂肪酶、叶酸和维生素B12、甲状腺功能试验,以及血清甲状腺抗体均于正常值范围。动脉血气分析:经皮动脉血氧饱和度(SpO2)95%、动脉血氧分压(PaO2)67.80mmHg、二氧化碳分压(PaCO2)41mmHg,碳酸氢根 24.90mmol/L,pH值7.40。纤维蛋白原5.57g/L(1.80~3.50g/L)、D-二聚体0.98mg/L(0~55mg/L),超敏C反应蛋白(hsCRP)14.18mg/L(0~3mg/L),红细胞沉降率(ESR)67mm/h。风湿免疫学检测:狼疮抗凝物、抗核抗体(ANA)19项、抗可提取性核抗原(ENA)抗体、抗心磷脂抗体(ACA)、β2-糖蛋白1(β2-GP1)抗体、抗中性粒细胞胞质抗体(ANCA)均呈阴性反应。肿瘤标志物:糖链抗原(CA)24227.50U/ml(参考值范围0~20U/ml)、CA19-9 47.10U/ml(参考值范围10~34U/ml);血清蛋白电泳呈阴性。尿常规提示泌尿系统感染。腰椎穿刺脑脊液检查外观澄清、透明,压力>330mmH2O,白细胞计数1×109/L,单核细胞计数1×106/L,蛋白定量、葡萄糖、氯化物均于正常值范围;抗单纯疱疹病毒、巨细胞病毒抗体gM,以及细菌培养、抗酸染色、墨汁染色呈阴性;细胞学检测未见异常。血清和脑脊液抗电压门控钾离子通道(VGKC)抗体、N-甲基-D-天冬氨酸受体(NMDAR)抗体、神经节苷脂GM1抗体、抗Hu、Yo、Ri抗体呈阴性。头部常规MRI和磁敏感加权成像(SWI)未见明显异常;MRV检查下矢状窦未显影,其余无异常。甲状腺和颈部淋巴结超声显示右侧锁骨上窝淋巴结异常增大(第Ⅳ区即颈内静脉淋巴结下组),并可见双侧颈部淋巴结。乳腺超声可见双侧腋下淋巴结,左侧淋巴结部分回声减低。胸腹盆腔CT增强扫描显示纵隔多发性占位性病变,考虑恶性病变;上腔静脉综合征;双侧胸腔积液,双肺受压膨胀不完全;双侧胸膜增厚;心包积液(图1)。全身PET/CT扫描可见右上纵隔代谢异常增高的不规则肿块,堵塞右主支气管和右上叶尖段支气管,呈恶性改变,考虑中央型肺癌伴邻近肺门和纵隔淋巴结转移、右侧锁骨下淋巴结转移;第Ⅳ肝段代谢轻度增高,考虑肿瘤转移;心包积液、双侧胸腔积液;右肺膨胀不完全(图2)。临床诊断:纵隔多发性占位性病变,考虑恶性病变可能;上腔静脉受压;颅内压增高;副肿瘤综合征。入院后予甘露醇125ml和甘油果糖250ml(1次/12h)静脉滴注以降低颅内压,同时予鼻导管吸氧、肠内营养等对症治疗。
图1 患者胸部增强CT扫描
显示纵隔占位性病变压迫上腔静脉(箭头所示)
图2 患者全身PET/CT扫描
显示纵隔占位性病变(箭头所示)伴淋巴结和肝脏转移
神经科主治医师
患者为中老年女性,呈亚急性病程,病情逐渐加重。临床主要表现为头晕、恶心、呕吐、行走不稳。体格检查提示低氧,广泛高级智能减退;右下肢肌力减退,病理征阳性;构音障碍、左侧指鼻试验、快复轮替动作完成较差,步基增宽、无法独立站稳;四肢腱反射减弱、消失,双下肢音叉振动觉减弱。实验室各项肿瘤标志物、炎症反应指标明显升高;MRI显示大脑半球、侧脑室后角旁斑片状长T2信号;C5~6椎间盘突出、脊髓受压。定位诊断:共济失调(睁、闭眼无区别)伴构音障碍,定位于小脑或其联系纤维;下肢音叉振动觉减退,定位于后索或周围神经,但感觉性共济失调难以解释疾病全貌,考虑定位于周围神经;四肢腱反射减退、消失,定位于左侧皮质脊髓束;高级智能减退,定位于额颞叶皮质或边缘系统。定性诊断:该例患者为老年女性,突出表现为亚急性发病的共济失调和全身消耗症状,伴肿瘤标志物、炎症反应指标升高,故首先考虑副肿瘤性小脑变性合并边缘性脑炎,可解释高级智能减退。此外,共济失调出现于恶心、呕吐后,考虑营养缺乏性疾病如维生素B12、B1,维生素E,血清铜离子缺乏等,不支持点为恶心、呕吐停止后共济失调仍持续加重且无法解释发病初期的头晕、恶心。其他可以导致小脑性共济失调的疾病,包括感染后非特异性炎症、中枢神经系统炎性脱髓鞘疾病、脑血管病或遗传代谢性疾病,但发病年龄、病程不符或缺乏相关证据支持。如果以副肿瘤综合征解释周围神经病,一般有麻木主诉,而该例患者主、客观体格检查均无浅感觉障碍,故不支持。长期糖尿病也可导致周围神经病。结合颈椎MRI所示椎间盘突出可以解释右下肢无力和锥体束征。诊断与治疗过程中出现颅内压明显升高,眼科会诊提示双侧视盘水肿。颅内压升高可以解释发病初期出现的恶心、呕吐,但患者并无明显头痛、视力减退症状,故入院时未予考虑。结合病史、副肿瘤综合征的诊断,以及脑脊液病原学、自身抗体、细胞学检查均未见异常,考虑颅内压升高的病因可能为:①脑膜癌,呈消耗状态,肿瘤标志物明显升高,外院头部MRI未见明显占位性病变,应考虑恶性肿瘤累及脑膜致梗阻性脑积水、颅内压升高;但MRI增强扫描无脑膜强化表现。②颅内静脉血栓形成,肿瘤可致高凝状态,应考虑其致脑脊液循环障碍、进而导致颅内压升高可能,但MRV和SWI均无血栓形成证据。③颅外静脉回流受阻或脑脊液循环障碍,如颈静脉受压、椎管内占位性病变等。胸腹盆腔增强CT和全身PET/CT扫描提示纵隔多发性占位性病变,压迫上腔静脉和支气管,考虑中央型肺癌伴转移可能,证实颅外静脉回流受阻致颅内压升高,亦支持副肿瘤综合征致共济失调、高级智能减退。
胸外科医师
首先应考虑恶性肿瘤并发生转移,目前尚无手术指征,可考虑纵隔镜下组织活检术。
呼吸科医师
建议请普外科行右侧锁骨下淋巴结活检术、肿瘤介入科行纵隔旁肿物穿刺术以明确诊断,必要时可于支气管镜下行肺组织活检术。鉴于患者目前已存在呼吸道受压狭窄症状,手术前应向患者及其家属详细交代支气管镜操作的风险。
普外科医师
该例患者体格检查过程中未触及右侧锁骨上淋巴结,难以行组织活检术。
肿瘤介入科医师
该例患者上腔静脉受压,右侧胸壁血管迂曲扩张,若行纵隔旁肿物穿刺术,出血风险极大。
超声科医师
右侧锁骨上增大的淋巴结位于颈内静脉正后方,不宜行超声引导下穿刺术。
肿瘤内科医师
该例患者需待组织活检术后再决定是否行药物化疗。
放疗科医师
建议明确病理诊断,若病理证实为恶性病变,可行姑息性放射治疗以缓解症状。但该例患者病情已至晚期,即使行放射治疗也预后欠佳。
神经科教授
患者表现多种症状,包括全身消耗症状、以小脑性共济失调和高级智能减退为表现的副肿瘤综合征,以及压迫上腔静脉造成的颅内高压。在诊断思路上,亚急性小脑性共济失调应考虑副肿瘤性小脑变性;颅外占位性病变致静脉回流受阻是颅内压升高的罕见原因,在颅内压升高的鉴别诊断中不应忽视。该例患者颅内压升高仅表现为恶心、呕吐,不伴头痛、视力下降,这种不典型表现可见于老年人。此外,一些临床上的蛛丝马迹,如入院时SpO2和PaO2低于正常水平,也应予以注意。治疗原则:警惕呼吸衰竭、循环衰竭、心包填塞、咯血、血胸等危及生命的病情变化;监测SpO2,若发生低氧血症则停用镇静催眠药;继续予以脱水降低颅内压治疗;同时行组织活检术以明确肿瘤分型并予以相应治疗。由于患者及其家属拒绝组织活检术,主动要求出院。1个月后电话随访,呼吸困难加重,持续鼻导管吸氧。
副肿瘤性小脑变性(paraneoplastic cerebellar degeneration,PCD)
纵隔占位性病变(恶性可能性大)
上腔静脉受压继发颅内压增高
成人小脑性共济失调由多种遗传性或获得性疾病组成,其中呈急性或亚急性发病者有:Wernicke脑病(WE),部分酒精性小脑变性也可呈亚急性发病;除酒精外的其他中毒性疾病,如锂、苯妥英钠、胺碘酮、甲苯、氟尿嘧啶、阿糖胞苷等;自身免疫性小脑性共济失调,包括副肿瘤性小脑变性(PCD)、抗体相关小脑性共济失调(非副肿瘤性)、Miller-Fisher综合征(MFS)、Bickerstaff脑干脑炎以及炎性脱髓鞘;中枢神经系统感染性疾病,如单纯疱疹病毒、人类免疫缺陷病毒(HIV)、柯萨奇病毒、单核细胞增生李斯特菌感染、Whipple病;共济失调型散发性Creutzfeldt-Jakob病;缺血性或出血性卒中。该例患者无酗酒史、药物中毒史或感染史,共济失调等呈渐进性加重,因此主要考虑副肿瘤性小脑变性。
副肿瘤性小脑变性可伴发于几乎所有肿瘤,最常见者为小细胞肺癌、乳腺癌、卵巢癌和霍奇金淋巴瘤(HL)。一般而言,共济失调多出现于发现肿瘤之前,患者呈亚急性发病,表现为单纯小脑性共济失调,常在12周内快速进展至重残。但也可合并其他副肿瘤综合征(PNS),如Lambert-Eaton综合征(LES)、副肿瘤性脑脊髓炎(PEM)、副肿瘤性感觉神经元病(PSN)、副肿瘤性斜视性眼肌阵挛-肌阵挛综合征(POMS)。该例患者表现为明显的高级智能减退,考虑合并边缘性脑炎(LE)的可能;头部MRI未见明显异常。副肿瘤性小脑变性后期可出现小脑萎缩,脑脊液检查常可见炎症反应。
多数副肿瘤性小脑变性患者可检出肿瘤相关抗体,如抗Yo抗体(与生殖系统肿瘤和乳腺癌相关)、抗Hu抗体(与小细胞肺癌相关)、抗Tr抗体(与霍奇金淋巴瘤相关)、代谢型谷氨酸受体1(mGluR1)抗体、CV2/CRMP5抗体、ZIC4单克隆抗体和电压门控性钙离子通道(VGCC)抗体等。对于此类患者,无论抗体检测是否呈阳性反应,均应进一步行胸腹盆腔CT或全身PET/CT扫描以筛查肿瘤。该例患者上述抗体虽为阴性,但PET/CT扫描发现纵隔占位性病变,故副肿瘤性小脑变性诊断明确。副肿瘤性小脑变性患者在发病初期数月内施行血浆置换疗法、静脉注射免疫球蛋白或激素治疗可能有效,但总体而言,免疫抑制剂或针对肿瘤的治疗效果均欠佳。
由于颅内高压性头痛、恶心、呕吐并无特异性,视觉障碍也极少为首发症状,故成人颅内高压早期表现有时难以识别。值得引起警惕的症状与体征,包括卧位加重或晨起加重的头痛、双侧外展神经麻痹,以及早期持续数秒的单侧波动性视物模糊。成人颅内高压的病因包括:
(1)颅内占位性病变。
(2)颅脑创伤。
(3)缺血性卒中。
(4)各种原因引起的非创伤性颅内出血。
(5)颅内感染(脑膜炎、脑脓肿)。
(6)脑积水(梗阻性或交通性)。
(7)静脉回流受阻,诸如中心静脉压升高(心功能衰竭、中心静脉梗阻、机械通气致胸内压升高、颈静脉受压等),静脉窦血栓形成,颅内或硬脑膜动静脉瘘。
(8)低氧血症和/或高二氧化碳血症。
(9)药物或代谢因素所致,如四环素、罗非昔布、双丙戊酸钠或铅中毒,低钠血症或其他电解质失衡。
(10)其他原因导致的弥漫性脑水肿,如急性肝肾功能衰竭、严重高血压、子痫等。
(11)可加重颅内高压的情况,如发热、癫痫发作。
(12)急性或慢性炎性脱髓鞘性周围神经病(脑脊液蛋白定量升高致脑脊液循环障碍)。
(13)特发性颅内高压。本例患者头部MRV未见异常,无颅内占位性病变、脑卒中、感染、脑积水等常见病因。此时应考虑颅外静脉回流受阻、代谢性、中毒性和全身疾病等罕见原因。
总之,本例具有小脑性共济失调与颅内压增高两种神经系统表现,均由恶性纵隔病变引起。其中小脑性共济失调属于副肿瘤神经综合征的远隔效应,而颅内压增高则是由纵隔病变压迫上腔静脉导致。
[1]Klockgether T.Sporadic ataxia with adult onset:classification and diagnostic criteria.Lancet Neurol,2010,9 (1):94-104.
[2]McCarthy CL,McColgan P,Martin P.Acute cerebellar ataxia due to Epstein-Barr virus.Pract Neurol,2012,12 (4):238-240.
[3]Mason WP,Graus F,Lang B,et al.Small-cell lung cancer,paraneoplastic cerebellar degeneration and the Lambert-Eaton myasthenic syndrome.Brain,1997,120 (Pt 8):1279-1300.
[4]Shams′ili S,Grefkens J,de Leeuw B,et al.Paraneoplastic cerebellar degeneration associated with antineuronal antibodies:analysis of 50 patients. Brain,2003,126(Pt 6):1409-1418.
[5]Linke R,Schroeder M,Helmberger T,et al.Antibody-positive paraneoplastic neurologic syndromes:value of CT and PET for tumor diagnosis. Neurology,2004,63(2):282-286.
[6]Vedeler CA,Antoine JC,Giometto B,et al.Paraneoplastic Neurological Syndrome Euronetwork.Management of paraneoplastic neurological syndromes:report of an EFNS Task Force. Eur J Neurol,2006,13(7):682-690.
[7]关鸿志, 任海涛, 彭斌, 等. 抗Yo抗体阳性的副肿瘤性小脑变性分析. 中华神经科杂志, 2015, 48 (2):89-93.
[8]Sadun AA,Currie JN,Lessell S.Transient visual obscurations with elevated optic discs.Ann Neurol,1984,16 (4):489-494.
[9]姚远,袁晶,朱以诚,等.头晕恶心2个月加重伴呕吐行走不稳20天.中国现代神经疾病杂志,2015,15(1):77-79.



