患者女性,54岁。因“发作性左侧肢体无力、言语含糊10小时”于2010年7月14日入院治疗。
现病史
患者于发病当日凌晨3时30分突发左侧肢体无力、言语含糊,无眩晕、恶心、呕吐、心悸,无意识障碍。症状约持续10分钟后完全缓解,至晨4时再次发作2次,每次3~10分钟。外院就诊时再次发作,性质基本同前,持续约3分钟后自行缓解。发作时查体:血压170/100mmHg,心率70次/min,律齐。神志清楚,言语含糊,伸舌左偏;左侧肢体肌力3级,左侧病理征阳性。实验室检查血糖8.60mmol/L。头部CT未见明显异常。考虑为脑供血不足,予吸氧、改善循环治疗。治疗过程中,患者再次出现类似发作2次,每次持续1~2分钟后自行缓解。于当日清晨6时32分转入我院急诊,体格检查:神清语利,脑神经检查无异常,左侧肢体肌力5-级,其余神经系统检查未见异常。予阿司匹林100mg和氯吡格雷75mg双重抗血小板、羟乙基淀粉130/0.4氯化钠注射液(万汶)500ml扩容治疗,并行脑血管造影检查,显示左侧锁骨下动脉于左侧椎动脉开口近心端折曲,局部血管管腔略狭窄,左侧椎动脉起始段迂曲,其余颅内外大血管未见明显异常。血管造影术后患者发作2次,均表现为左侧肢体麻木、无力,伴言语不利、心悸,无胸闷、气促、黑矇等症状,约持续1分钟后自行缓解。为进一步治疗入我院。
既往史、个人史及家族史
既往身体健康。无烟酒嗜好。父有高血压病史,余无特殊。
体格检查
血压120/70mmHg(1mmHg=0.133kPa),心律齐;颈部未闻及血管杂音。神清、语利。脑神经检查无异常。右侧肢体肌力5级,左侧上肢肌力5级,左侧下肢肌力5-级;左侧Chaddock征阳性。感觉、共济运动检查无异常。
辅助检查
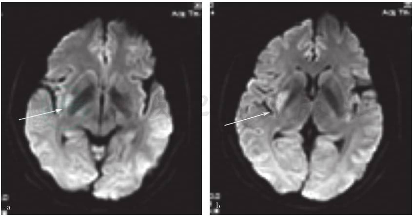
实验室检查血、尿、粪便常规、肝肾功能、血脂、C反应蛋白、红细胞沉降率、甲状腺功能及血清同型半胱氨酸均于正常值范围;血清抗可提取性核抗原(ENA)、抗中性粒细胞胞质抗体(ANCA)、自身抗体及抗核抗体均呈阴性反应。心脏彩色超声扫描、动态心电监测均未见异常变化。颈部血管彩色超声显示双侧颈动脉粥样硬化表现,左侧伴多发硬化斑块形成。入院当日头部弥散加权成像(DWI)扫描显示,右侧基底节区新发脑梗死(图1)。头部MRA检查未见明显异常(图2);高分辨率磁共振大脑中动脉粥样硬化斑块分析显示,左侧大脑中动脉起始段下壁小斑块,右侧大脑中动脉M1段近分叉部前壁可疑小斑块(图2)。
图1 患者头部MRI的DWI序列
a、b.均显示右侧基底节区新发脑梗死(箭头所示)
图2 患者右侧大脑中动脉高分辨率磁共振
横断面成像示右侧M1段近分叉部前壁可疑小斑块
神经科医师
患者为中年女性,本次急性发病,反复刻板的临床发作且发作频繁、持续时间短暂,以运动症状为主,不伴有皮质症状,脑血管造影检查(DSA、MRA)排除了大血管病变,提示内囊预警综合征。虽然患者主诉每次发作后临床症状可完全恢复,但是临床体征及最后的影像学检查证实了脑梗死的存在,右侧基底节急性梗死可以解释患者临床症状与体征。发病原因:患者既往无高血压、糖尿病、吸烟、饮酒等动脉粥样硬化危险因素,脑血管造影检查未发现大血管明显狭窄,故首先考虑小动脉狭窄或闭塞,但也不能排除动脉-动脉栓塞,或合并低灌注的可能。患者为中年女性,反复发作局灶性神经功能缺损症状,其中2次发作伴有心悸,需与心源性栓塞鉴别,但患者既往无心脏病病史,急诊发作间期心电图、入院后动态心电监测、心脏超声检查均未见明显异常,可以排除。而且患者症状与体征刻板,这在心源性栓塞病例十分少见,更提示为血管本身病变。自身免疫性疾病和甲状腺功能障碍筛查,已经排除了其他特殊原因所导致的血管疾病。
放射科医师
患者为中年女性,急性起病,表现为反复发作性左侧肢体无力、言语含糊,发作时有神经系统局灶性定位体征,临床表现符合颈内动脉系统短暂性脑缺血发作,急诊考虑不排除大血管病变,但数字减影血管造影(DSA)检查未见明确的大血管狭窄及粥样斑块形成。该例患者临床发作刻板、频繁,符合内囊预警综合征的特点,后者一般大血管正常,系脑穿支动脉病变所致,低灌注机制参与发病。
诊治经过
入院后继续进行双重抗血小板治疗,次日再次发作1次,症状同前,1分钟后缓解。经颅多普勒超声(TCD)检查脑血管血流及频谱未见明显异常;监测双侧大脑中动脉20分钟,未见栓子信号出现,继续给予抗血小板、阿托伐他汀钙片(立普妥)稳定斑块及扩容治疗,未再发作,临床症状与体征恢复后出院。随访7个月未再发作。
1.内囊预警综合征(capsular warning syndrome,CWS)
2.脑梗死(cerebral infarcton)
Donnan等于1993年首次提出内囊预警综合征(capsular warning syndrome,CWS)这一术语,用以描述内囊部位反复缺血所致的临床综合征。从本质上讲内囊预警综合征是一组特殊类型的短暂性脑缺血发作(TIA),特指24小时内出现3次及以上发作性感觉和/或运动症状的临床综合征,具有以下特点:①由皮质下内囊部位缺血所致;②临床上一般累及包括面部、上肢或下肢中的2个或以上部位,可表现为单纯运动性、单纯感觉性或运动-感觉同时受累症状与体征;③无皮质受累的症状或体征(如忽视、失语或失用等);④临床症状在短期内频繁发生,并可于短期内缓解;⑤反复发作后,大多数患者头部影像学检查可在内囊部位发现与临床症状相一致的梗死灶。
短时间内频繁发作是内囊预警综合征最重要的特征之一。Donnan 报告的50例患者中,脑缺血发作持续时间为2分钟~4小时,平均约6.10 分钟。其中1例患者在3小时内发作5次,1例4天内共发作13次。内囊预警综合征的临床特征以运动性发作为主,上述50例患者中单纯运动性发作22例、单纯感觉性发作2例、感觉-运动性发作25例、构音障碍为主者1例。本例患者具有典型的反复、刻板的发作性症状,临床表现符合内囊预警综合征,其临床症状以运动障碍为主,伴有感觉异常,与Donnan的报道相一致。发病后早期具有极高的脑梗死风险是内囊预警综合征的另一重要临床特点。Donnan最初报告的反复脑缺血发作的50例患者中,42%经CT证实存在与临床症状相一致的梗死灶;患者发生卒中的风险(每年11.10%)明显高于其他形式的TIA对照者(每年2.70%),而这种差异在发病最初的30天内尤其明显。早期的CT研究显示,患者最终的影像学检查所显示的梗死灶多位于内囊,随着DWI应用于临床,逐渐发现内囊预警综合征继发的梗死灶除了内囊外,尚可位于丘脑、苍白球及壳核,甚至延伸至放射冠。后者与本例患者的影像学改变一致(由壳核延伸至放射冠)。当然,也有文献报道,临床表现典型的内囊预警综合征患者最终梗死病灶位于脑桥,后者又被称为脑桥预警综合征,与基底动脉深穿支病变有关。
内囊预警综合征的病理生理学机制尚未完全阐明,但目前认为其发生与原位小的穿支动脉(多为豆纹动脉)本身病变有关,推测小动脉粥样硬化微血栓形成、动脉-动脉栓塞、血流动力学改变及脑血管痉挛都可能参与内囊预警综合征的发病机制。Donnan认为,继发于动脉结构性变化如动脉粥样硬化而引起的血流动力学改变或许是内囊预警综合征的最可能机制,尤其大脑中动脉深穿支的动脉粥样硬化性血管腔狭窄继发的血流动力学变化可能是本病的发病原因。连续性MRI动态研究显示,内囊预警综合征发病初期的反复、刻板的发作性症状与穿支动脉低灌注有关,而最终发生的梗死则提示在低灌注基础上小动脉血栓形成。此外,脑组织分子水平或功能异常,例如影响邻近运动传导通路的发作性去极化亦可能在其发病过程中发挥重要作用。Lee等最近报告1例由大脑中动脉主干狭窄阻塞豆纹动脉开口导致的内囊预警综合征的个案病例,经支架植入术治疗后临床症状缓解,DWI检查未发现梗死灶,提示经典的内囊预警综合征的责任血管也可以是大脑中动脉本身,其可能的最直接原因是大脑中动脉本身的病变阻塞了豆纹动脉从而导致临床症状。鉴于内囊预警综合征与穿支动脉病变有关,高分辨率磁共振颅内动脉横断面成像和粥样斑块分析的应用将有助于更好地理解其发病机制。至于血管病因上除了动脉粥样硬化外,尚有显微镜下多血管炎所致内囊预警综合征的个案报道。
关于内囊预警综合征的治疗目前尚无定论,有报道阿司匹林与氯吡格雷联合应用的双重抗血小板治疗或扩容改善低灌注状态,可能对部分患者有效,而抗凝、单纯抗血小板或溶栓等常规治疗对大多数内囊预警综合征患者的疗效并不十分理想。
简而言之,内囊预警综合征是一种反复发作的而大血管多数正常的梗死风险极高的TIA亚型,需要引起临床医师的重视,提早进行干预。这部分患者虽然大血管结构正常,但也可能存在穿支动脉低灌注,因此维持血压、扩容和抗血栓治疗对预防最终发生梗死是十分必要的。随着对内囊预警综合征发病机制理解的不断深入,将有助于为患者提供更为有效的治疗,降低缺血性卒中的发生风险。同时按照内囊预警综合征定义部分脑桥TIA或梗死的患者有着同样的临床表现,但应该与内囊病变相区别。
[1]Donnan GA,O'Malley HM,Quang L,et al.The capsular warning syndrome.Pathogenesis and clinical features.Neurology,1993,43 (5):957-962.
[2]Saposnik G,Noel de Tilly L,Caplan LR.Pontine warning syndrome.Arch Neurol,2008,65 (10):1375-1377.
[3]Benito-León J,Alvarez-Linera J,Porta-Etessam J.Detection of Acute Pontine Infarction by Diffusion-Weighted MRI in Capsular Warning Syndrome.Cerebrovasc Dis,2001,11 (4):350-351.
[4]Vivanco-Hidalgo RM,Rodriguez-Campello A,Ois A,et al.Thrombolysis in capsular warning syndrome.Cerebrovasc Dis,2008,25 (5):508-510.
[5]Lee J,Albers GW,Marks MP,et al.Capsular warning syndrome caused by middle cerebral artery stenosis.J Neurol Sci,2010,296 (1-2):115-120.
[6]Tang CW,Wang PN,Lin KP,et al.Microscopic polyangiitis presenting with capsular warningsyndrome and subsequent stroke.J Neurol Sci,2009,277 (1-2):174-175.
[7]姚明,倪俊,崔丽英.发作性左侧肢体无力言语含糊.中国现代神经疾病杂志,2011,11 (2):256-258.



