中年男性,慢性病程,进行性加重。
有四肢水肿、麻木伴喘憋、腹泻、舌体肥厚、低血压等多系统受累表现。
化验检查提示尿蛋白阳性,尿游离kappa阳性,心肌肥厚,胃壁及肠壁弥漫增厚,四肢神经源性损害,腹壁组织病理活检刚果红(+)。
患者,男,56岁,主因“双下肢水肿1年,喘憋伴腹泻10个月,吞咽困难6个月”入院。
患者1年前出现双下肢可凹性水肿,晨起明显,活动后减轻,无颜面水肿,无活动后胸闷、喘憋,测血压降低,波动于70~90/40~50mmHg,查尿蛋白(+),利尿及中药治疗后上述症状缓解,尿蛋白转阴,遂停药。
10个月前患者再发双下肢水肿,伴呼吸困难、喘憋,伴腹胀、腹泻,2~3次/d,为稀水样便,乏力、声嘶,查ECG示左室高电压,Ⅱ、Ⅲ、aVF、V2~6导联ST段略压低、T波倒置,心脏超声示双房扩大(LA 47mm、RA 51mm),室间隔异常增厚(18mm)、左室舒张功能减低、心包少量积液,予控制心室率、利尿等改善心功能治疗后症状稍缓解。
6个月前患者上述症状再发,不能平卧,伴双手肿胀、麻木及运动障碍,进行性吞咽困难,偶有饮水呛咳,2周前查尿蛋白(+++),自身抗体均阴性,口服厄贝沙坦、螺内酯及氢氯噻嗪治疗症状无缓解。
病程中患者无发热、头晕、胸痛和咯血,无腹痛黑便,无关节肿痛、皮疹及皮肤紫癜,无口腔溃疡、光过敏及脱发等不适。自患病以来,患者精神睡眠差,食欲不佳,尿量减少,大便为稀水便、量少,3次/d。近1年来体重下降5kg。
既往史:5年前患双侧“尺神经炎”,3年前手术干预后好转,但双手仍偶有麻木感。吸烟40年,无饮酒史。
体温36.6℃,脉搏68次/min,血压80/50mmHg,呼吸20次/min,指脉氧(吸氧2.5L/min)98%,神清,对答可。口唇青紫,舌体厚,伸舌短。双侧颈静脉怒张,浅表淋巴结及甲状腺未触及。右下肺呼吸音弱,双下肺可闻及散在细湿啰音。桶状胸,心尖搏动弥散。全腹叩诊鼓音,肠鸣音正常。双手掌肿胀,无压痛,左大腿可见直径约8cm块状褐斑,双小腿对称性可凹陷性水肿。
血常规:白细胞5.56×109/L,血红蛋白 89g/L,血小板207×109/L,网织红细胞0.63%。尿常规:尿蛋白(++),红细胞30/μl;24小时尿蛋白0.27g/d。便潜血阴性。生化:转氨酶正常,LDH 253U/L,Alb 34.6g/L,尿素9.03mmol/L,肌酐65μmol/L,钾3.14mmol/L,钙2.05mmol/L。凝血功能基本正常。心肌损伤标志物:肌红蛋白正常,肌钙蛋白I 0.224ng/ml,肌酸激酶MB 5.3ng/ml,无明显动态改变。BNP 1543.0pg/ml。CRP及ESR正常。甲状腺功能示FT3、T3减低,余正常。
免疫及肿瘤相关:肿瘤常规示NSE 27.28ng/ml,余正常。抗人球蛋白试验阴性。免疫:IgA 0.41g/L,IgM 0.215g/L,IgG 5.7g/L,kappa轻链535mg/dl↓,lambda轻链229mg/dl↓。蛋白电泳:α1球蛋白 7.3%,α2球蛋白14.4%,β1球蛋白6.2%,β2球蛋白2.9%,γ球蛋白9.6%。尿游离kappa轻链阳性。血M蛋白阴性。ANA、抗ENA抗体(Scl70、SM、SSA、SSB、U1-RNP、rRNP、Jo-1)均阴性。
心电图示Ⅱ、Ⅲ、aVF、V5、V6导联ST段压低,V4、V5导联T波倒置,无动态变化。
超声心动图:左右室心肌肥厚,肥厚心肌呈磨玻璃样改变,双房及右室扩大,肺动脉收缩压轻度升高,左室舒张功能减低。
双手X线片:双手多发囊性改变。胸部CT:左下肺感染,双侧胸腔积液,肺动脉高压,心脏增大。腹部增强CT:胃窦胃壁增厚,腹腔内肠管扩张,积气、积液,并小肠壁弥漫增厚,腹水。
肌电图示上下肢神经源性损害。
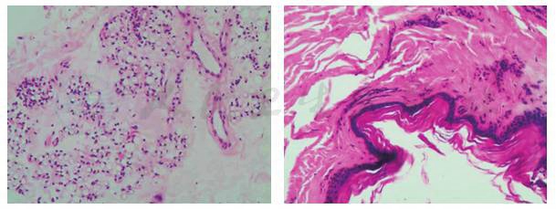
腹部腹直肌外侧活检标本:皮肤及皮下组织,局灶可见小的角质囊肿,0.8cm×0.5cm,真皮内纤维结缔组织变性,小血管管壁增厚,呈均质粉染。免疫组化染色结果:CK(−),EMA(−),CD34(血管 +),S-100(脂肪 +),Ki-67(2%+);特殊染色结果:刚果红(血管壁+),符合血管壁淀粉样变(图1)。

图1 血管壁淀粉样变
小血管管壁增厚,呈均质粉染,特殊染色结果:刚果红(+)
引自:主编:风湿免疫性疾病疑难病例解析.第1版.ISBN:978-7-117-28376-2
.1.系统性淀粉样变性
2.低T3综合征
入院后完善相关检查,患者为中年男性,有多脏器受累表现:①双下肢水肿、颈静脉怒张、喘憋,心肌酶增高提示心肌损伤,超声心动图有心肌淀粉样变表现,BNP升高提示心功能不全。②腹胀腹泻,腹部CT见胃壁及小肠壁弥漫增厚提示消化系统受累。③尿蛋白阳性提示肾脏受累。④低血压、吞咽困难及不完全性肠梗阻提示自主神经受累。⑤双手麻木、活动受限及肌电图见四肢神经传导速度减低提示周围神经受累。⑥另有明显的舌体肥大、伸舌困难的淀粉样变特征表现,考虑系统性淀粉样变性诊断可能,同时需鉴别结缔组织病、肿瘤,完善自身抗体化验均阴性,肿瘤常规及影像学检查未见明确肿瘤证据。
为进一步明确诊断,行腹直肌外侧皮肤及皮下组织活检,提示小血管管壁增厚,呈均质粉染,刚果红(血管壁+),系统性淀粉样变性诊断明确。淀粉样变性分为原发性和继发性,因患者尿游离kappa阳性,需考虑多发性骨髓瘤等继发性淀粉样变的疾病,建议行骨髓穿刺及骨髓活检进一步明确,但患者及家属拒绝。给予氧疗,甲泼尼龙40mg qd静脉滴注控制原发病,利尿、胃肠减压、营养支持、抑酸等治疗后症状逐渐缓解,后患者要求回当地医院继续治疗。
患者为中年男性,慢性病程,有舌、心脏、肾脏、胃、肠道及神经系统多系统受累的表现,进行性加重,该病例难点在诊断思路上。患者以双下肢水肿伴喘憋、低血压起病,外院超声心动图提示心房增大,室间隔增厚,左室舒张功能减低,为肥厚型心肌病所致慢性心功能不全的表现,但予利尿、改善心功能等对症治疗后,症状仍反复,且症状逐渐加重,不能平卧,伴发舌、胃肠道及神经系统受累表现,单纯肥厚型心肌病无法解释。
分析本患者的特点:①心肌肥厚、心功能不全为首发表现,心肌以舒张功能减退为主,超声提示肥厚心肌呈磨玻璃样改变;②腹部CT见胃壁及小肠壁弥漫增厚提示消化系统受累;③有低血压、不完全肠梗阻、四肢麻木等自主神经及周围神经受累表现;④有明显的舌体肥大,伸舌困难,高度怀疑系统性淀粉样变性诊断,皮肤及皮下组织活检提示小血管管壁增厚,呈均质粉染,刚果红(血管壁+)(见图26-1),明确诊断系统性淀粉样变性。
系统性淀粉样变分为原发性、继发性、透析相关性、遗传性和老年性五种,其中原发性是最常见的淀粉样变性类型。原发性系统性淀粉样变性的确诊必须包括:①组织切片刚果红染色证实存在淀粉样物质;②免疫组化等检查证实淀粉样物质是淀粉样轻链(amyloid light chain,AL)成分 kappa或lambda,又称为AL型;③除外多发性骨髓瘤等恶性浆细胞疾病所伴发的淀粉样变性及其他继发性系统性淀粉样变。继发性淀粉样变性以血清淀粉样A(amyloid A,AA)蛋白沉积为主,又称AA型淀粉样变性,常见于慢性感染、自身免疫性疾病和克罗恩病等。该患者病理提示淀粉样变性诊断明确,在继发因素筛查方面,无免疫相关特征性表现,免疫抗体指标均阴性,不支持自身免疫性疾病诊断。患者尿游离kappa阳性,X线片提示双手多发囊性改变,可疑骨质破坏,需考虑多发性骨髓瘤等所致继发性淀粉样变可能,需进一步行骨髓穿刺及骨髓活检明确,但患者及家属拒绝。
在治疗方面,原发性系统性淀粉样变性的治疗应针对三方面:降低淀粉样物质产生、抑制淀粉样物质的聚集与沉积及促进已沉积的淀粉样物质的溶解,应用激素、化疗药物、造血干细胞移植等。继发性淀粉样变性需积极控制原发病。淀粉样变性最常见的死因是肾脏和心脏病变。该患者超声提示心肌肥厚,心肌酶增高,存在心脏受累,预后可能不良。
本例启示
系统性淀粉样变性临床表现多种多样,误诊率高。
原发性系统性淀粉样变性较有继发因素者诊断可能更为困难,应增加对该病的警惕性。
系统性淀粉样变性诊断依赖组织活检,而且需要刚果红特殊染色。
(张霞)