中年女性,慢性病程。
以间断发热、咳嗽咳痰及下肢水肿为主要临床表现,此次病情加重,并出现肺部空洞。
长期激素及免疫抑制剂治疗。
化验检查提示尿蛋白阳性、抗核抗体阳性;痰真菌培养:根霉属真菌。
患者,女,51岁,因“间断发热、咳嗽、下肢水肿8年,加重2周”于2012年7月17日入院。
患者8年前无明显诱因出现发热,伴咳嗽、咳少量黄黏痰、偶痰中带血,伴面颊部充血性红斑,手腕及膝关节疼痛、无肿胀,双下肢轻度水肿,抗感染治疗症状无好转,就诊于我院,化验发现血白细胞2.1×109/L,血红蛋白96g/L,血小板 68×109/L,尿蛋白(++),24小时尿蛋白2.6g/L,肝肾功能正常,C-反应蛋白正常,免疫指标ANA 1∶640 阳性、抗RNP(+)、抗Sm(+)、抗dsDNA阳性、IgG 18.5g/L略高、C3 0.35g/L低、ACL(+)。痰培养:无致病菌生长。胸部CT:双肺陈旧性病变,双侧细支气管炎,双侧腋窝多发肿大淋巴结,纵隔内小淋巴结,左侧少量胸腔积液。诊断为系统性红斑狼疮、狼疮肾炎,给予泼尼松30mg qd及吗替麦考酚酯0.75g bid,患者症状缓解,尿蛋白减少。
此后患者间断出现咳嗽、咳黄白痰、伴发热及双下肢水肿加重而多次住院,诊断系统性红斑狼疮病情反复及肺部细菌感染,给予抗感染、糖皮质激素及免疫抑制剂吗替麦考酚酯0.5~1.5g/d或环磷酰胺冲击治疗(CTX累计12g),患者症状可缓解,尿蛋白能逐渐减少至消失。
1个半月前泼尼松规律减量至10mg/d、吗替麦考酚酯0.5g/d,患者再次出现发热、咳嗽、下肢水肿加重,化验白细胞正常,中性粒细胞百分比90.07%,24小时尿蛋白7.51g,补体较前下降。肺部CT(2012年6月13日):右肺上叶后段及左上肺尖后段可见小结节状磨玻璃影,大者直径6mm,右肺中叶支气管扩张,双下肺膨胀不全,双肺多发陈旧性病变,双侧胸腔积液。给予头孢哌酮钠舒巴坦钠抗感染、甲泼尼龙36mg/d、吗替麦考酚酯750mg 2次/d及利尿对症支持等治疗,患者咳嗽减轻,咳痰减少,水肿明显减轻。
2周前无诱因患者再次出现发热,伴畏寒、寒战,体温最高39℃,乏力明显,伴一过性右手腕关节肿痛,遂就诊,胸片提示肺部感染,并给予莫西沙星抗感染,患者病情无明显缓解,为进一步诊治收入院。
患者自发病以来,有光过敏,脱发明显,无双手遇冷变白变紫表现,偶有口腔溃疡,无眼干及牙齿片状脱落,近期无腹痛、腹泻、尿频、尿急、尿痛,精神、进食、睡眠不佳,大便1~2次/d,尿中可见泡沫,色正常,量偏少。既往史、个人史、家族史无特殊。
T 37.8℃,HR 85次/min,R 20次 /min,BP 110/70mmHg。一般状况尚可,神志清楚,贫血貌。全身浅表淋巴结未触及肿大,面颊部散在色素沉着斑,毛发稀疏。结膜苍白,巩膜无黄染,口腔黏膜无溃疡。双肺呼吸音粗,双下肺可闻及湿啰音,左侧为著。心脏不大,各瓣膜听诊区未闻及杂音。腹软膨隆,肝脾肋下未触及,移动性浊音阳性。全身各关节无肿胀、压痛及畸形,双下肢呈中度可凹性水肿。无杵状指/趾。
血常规:WBC 2.53×109/L,淋巴细胞0.16×109/L,Hb 63g/L,PLT 58×109/L。尿常规:尿蛋白(+++),潜血(+++),红细胞镜检20/μl。24小时尿蛋白3.2g/L。生化:肝肾功能正常,Alb 25.6g/L。C反应蛋白21mg/L,ESR 50mm/h。IgG 3.49g/L,C3 0.650g/L,C4正常。Coombs试验(−)。ANA 1∶320,抗SSA、抗SSB、抗Sm抗体阴性,抗核小体抗体62.99RU/ml;抗dsDNA抗体及抗磷脂抗体阴性。血CMV-DNA 3.78×104copies/ml。真菌D葡聚糖检测(G试验)阴性;曲霉半乳甘露聚糖检测(GM试验)阴性。
痰培养:铜绿假单胞菌和鲍曼不动杆菌(少量)。痰涂片可见真菌孢子及假菌丝,痰培养提示念珠菌。
腹部B超:右肾小囊肿,盆腔少量积液。超声心动图:二尖瓣中度反流,心包积液(少~中量)。
胸部CT(2012年7月19日):与2012年6月13日比较,双肺上叶后段、右肺下叶背段磨玻璃影,较前无显著改变。右肺尖后段新发斑片影,考虑感染;右肺中叶支气管扩张较前减轻。双侧胸腔积液减少,心包积液较前稍减少。
1.系统性红斑狼疮
狼疮肾炎
2.肺部感染
3.CMV血症
患者系统性红斑狼疮诊断明确,本次入院后检查全血细胞减少、肾病综合征,补体偏低,提示狼疮病情活动,同时ESR、CRP升高,肺部CT提示有新发感染,根据药敏结果给予头孢哌酮钠舒巴坦钠抗感染,更昔洛韦抗病毒,同时口服甲泼尼龙36mg/d,吗替麦考酚酯0.75g bid控制病情及输血等对症支持治疗,患者白细胞恢复正常,发热好转,仍咳嗽咳痰、水肿。请呼吸科专家会诊阅胸部CT片:右上肺似有空洞,结合临床结果考虑肺深部真菌感染,曲霉感染可能性大,建议多次行痰涂片找真菌,痰真菌培养,同时加用伏立康唑0.1g q12h抗真菌治疗。2周后复查CMV-DNA拷贝仍高(1.72×104copies/ml)。
2012年8月8日复查胸部CT,对比入院7月18日,右上肺可见数个小空洞,壁稍厚,考虑感染,真菌不除外;双侧胸腔积液较前稍减少,心包积液同前。遂停免疫抑制剂,并将甲泼尼龙减量至24mg/d,并继续抗病毒及伏立康唑加量至0.2g q12h治疗。而患者体温再次升高,伴咳嗽咳痰增多,为黄脓痰及大量铁锈色痰,复查G试验及GM试验阴性。先后两次行纤维支气管镜检查,纤维支气管镜灌洗液涂片见大量革兰氏阴性杆菌,培养出肺炎克雷伯菌、大肠埃希菌。灌洗液抗酸染色、六铵银染色、找隐球菌均阴性,未见真菌孢子及菌丝,真菌培养均阴性。
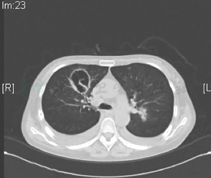
8月23日复查胸部CT(图1):右肺上叶前段空洞融合增大,洞壁增厚,周围新发斑片影、磨玻璃影(感染、出血?),右肺下叶、左肺上叶新发斑片影。肺部病变较前加重。后行多次痰培养,2次真菌培养出根霉属真菌。调整抗生素为哌拉西林钠他唑巴坦钠及两性霉素B脂质体治疗,患者体温正常,咳嗽咳痰减少,水肿减轻,复查CMV DNA转阴,24小时尿蛋白0.92g,复查胸部CT,右肺上叶前段空洞较前明显缩小,洞壁变薄,周围渗出减少(图2)。
图1 两性霉素治疗前
引自:主编:.风湿免疫性疾病疑难病例解析.第1版.ISBN:978-7-117-28376-2
图2 两性霉素治疗后
引自:主编:.风湿免疫性疾病疑难病例解析.第1版.ISBN:978-7-117-28376-2
10月10日胸部CT:双肺多发斑片状稍高密度影,部分范围较前变小,右肺上叶前段空洞较前变小,内结节形成,考虑为真菌病。患者出院继续甲泼尼龙20mg qd并渐减量,同时抗真菌治疗,未再使用免疫抑制剂,尿蛋白逐渐转阴,肺部病变稳定。
2016年3月随访患者维持甲泼尼龙2mg qd 1年余,及羟氯喹0.2g bid治疗,间断仍有咳嗽,少许白痰,复查血常规及肝肾功能正常,尿蛋白阴性。IgG 18.3g/L,C3及C4正常,ANA 1∶160,双链DNA阴性。
该患者为典型的系统性红斑狼疮,以发热、皮疹、关节痛起病,累及血液、肾脏等多个系统,ANA、抗双链DNA、ACL及抗Sm抗体阳性,补体下降。有重要脏器受累,为重症红斑狼疮,经糖皮质激素及免疫抑制剂治疗,病情可以缓解,但该患者的特点是不能长期维持缓解,病情常有反复。同时伴有肺部感染,感染与原发病相互影响,提示感染是病情复发的因素之一。患者长期行激素及免疫抑制剂治疗,属于免疫受损群体,容易伴发细菌、病毒及真菌等各种感染,是机会性感染的高危人群。目前感染已成为系统性红斑狼疮的主要死亡原因之一,临床上对该类患者应注意预防、时时警惕及积极治疗感染。
当系统性红斑狼疮出现发热时,鉴别发热的原因至关重要,是原发病病情活动所致还是合并了感染,或两者兼而有之?该患者本次发热,伴新发三系减少、尿蛋白明显较前增多及补体下降,考虑患者原发病情复发。但同时患者有明显的呼吸道症状,肺部影像学提示新发病变,考虑合并肺部感染。应进一步积极寻找病原菌,患者血巨细胞病毒(CMV)拷贝数增加。CMV肺炎主要表现为间质性肺炎,且纤维支气管镜灌洗液CMV-DNA阴性,不支持存在CMV肺炎,亦未发现CMV其他器官损害,应诊断为CMV血症,但同样需要积极抗CMV治疗。纤维支气管镜灌洗液涂片革兰氏阴性杆菌,并培养出铜绿假单胞菌和鲍曼不动杆菌,根据药敏给予抗生素及抗CMV治疗,发热一度好转,但肺部影像学出现空洞,根据临床特点考虑肺部深部真菌感染,侵袭性曲霉可能性最大,及时给予经验性伏立康唑治疗,可惜疗效不佳,病情仍在进展,患者再次发热,咳嗽咳痰增多,呈脓痰及大量铁锈色痰,肺部新发病变及空洞增大。继续积极寻找病原菌,再次行纤维支气管镜检查,灌洗液抗酸染色、六铵银染色、涂片及培养未找到结核及肺孢子菌等感染证据。肺孢子菌肺炎亦是免疫受损群体易发生的感染,肺部表现为弥漫性间质浸润,该患者影像学不支持,支气管肺泡灌洗液六铵银染色也阴性,可除外该诊断。及时考虑可能存在伏立康唑未覆盖的真菌感染,改两性霉素B治疗,并继续痰培养,终于培养出根霉属真菌,治疗后病情逐渐好转,空洞缩小。随着感染的控制,患者原发病狼疮肾炎亦取得缓解。
治疗过程中,在原发病活动及感染并存情况下,应分析哪个是目前的主要问题,该患者果断激素减量及停免疫抑制剂,使感染更容易控制,同时原发病亦得到缓解,说明感染是目前主要问题,也是诱发原发病活动的危险因素。
长期使用激素及免疫抑制剂的风湿病患者是发生深部真菌感染的高危人群,以曲霉最常见,典型的侵袭性肺曲霉感染的影像学特征包括早期胸膜下密度增高的结节实变影、光晕征、新月形空气征及实变区域内出现空腔等。对于深部真菌感染高危患者,推荐开展连续监测,进行胸部摄片、CT扫描、真菌培养及真菌抗原检测等,尽量避免不恰当经验性治疗,但如发现阳性结果,尽可能实施抗真菌的抢先治疗。
本例启示
长期使用激素及免疫抑制剂的SLE患者,属于免疫受损群体,易合并多种类型感染,应警惕机会性感染的发生,如深部真菌及CMV感染等。
当SLE患者出现发热时,鉴别诊断其发热病因非常重要。
当考虑SLE合并感染时,应尽量明确导致感染的病原菌。
感染与SLE原发病之间是相互影响的。
(任立敏)



