中年女性,慢性病程。
以对称性多关节肿痛伴晨僵为首发表现,随后出现间断咯血、发热。
查体发现Gottron疹及技工手样表现。
肺部受累显著、临床表现复杂多样,先后表现为结节样病变、机化性肺炎、肺内真菌感染及支气管胸膜瘘。
患者,女,54岁,主因“多关节肿痛6年,间断咯血14个月,发热咳嗽2个月”于2011年3月入院。
患者2005年3月无明显诱因出现对称性多关节肿痛,主要累及双手部分近端指间关节、掌指关节、腕关节、肘关节和肩关节,伴晨僵大于1小时,外院查红细胞沉降率(ESR)、C反应蛋白(CRP)升高,类风湿因子(RF)、抗环瓜氨酸多肽(CCP)抗体、抗角蛋白抗体(AKA)及抗核周因子抗体(APF)阳性,手部X线片提示“骨端骨质疏松,双手2、3近端指间关节囊样变”,考虑类风湿关节炎(RA)诊断明确。先后给予甲氨蝶呤、来氟米特和柳氮磺胺吡啶等治疗,症状稍好转。
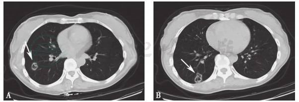
2010年1月患者无明显诱因出现咯血,为痰中带血,无低热、盗汗、消瘦等不适,肺CT片提示“右肺下叶两个不规则空洞,壁厚薄欠均匀,边缘较毛糙,内壁尚光滑,空腔不规则并见分房,局部胸膜轻度牵拉增厚”(图1),血及肺泡灌洗液的曲霉半乳甘露聚糖(GM)检测均阳性,痰真菌培养、细菌培养及痰找抗酸杆菌均阴性,肺泡灌洗液细胞分类正常,结核菌素纯蛋白衍生物(PPD)试验阴性,肿瘤标志物不高,考虑患者为“肺类风湿结节坏死、肺烟曲霉感染、肿瘤不除外”,建议行肺穿刺活检明确病变性质,但患者拒绝。予患者口服伊曲康唑200mg/d,抗真菌感染治疗2个月后,复查胸部CT空洞无好转,遂行右下肺叶切除术,病理提示“肺内多发结节,部分结节中心坏死,炎性渗出,周围纤维结缔组织增生包裹,淋巴细胞浸润,可见个别巨细胞。另有部分结节纤维化,炎症细胞浸润。病变内及周围血管疑有血管炎病变。支气管断端未见明显异常,支气管周边淋巴结反应性增生”。特殊染色结果:弹力纤维染色(+),抗酸染色(−)。考虑为“类风湿结节可能”。此后咯血好转。
图1 2010年1月胸部CT
A、B中箭头示右肺下叶不规则空洞
引自:主编:.风湿免疫性疾病疑难病例解析.第1版.ISBN:978-7-117-28376-2
2010年6月患者关节肿痛加重,加用注射用重组人Ⅱ型肿瘤坏死因子受体-抗体融合蛋白(益赛普)皮下注射25mg/次,1周2次,治疗后关节肿痛明显缓解,用药4次后自行停用。停用3个月后关节肿痛再次加重,开始不规律应用益赛普皮下注射,25mg/次,1个月左右1次,关节肿痛可缓解。
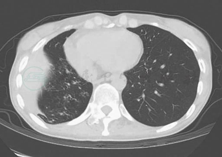
2011年1月患者因发热、咳嗽及咳痰入院,体温最高可达39℃,伴全身肌肉疼痛,以近端肌肉为主,无各系统感染征象,无盗汗、消瘦,无口干、眼干,血培养、痰找抗酸杆菌、痰细菌及真菌培养均阴性,结核分枝杆菌纯蛋白衍生物试验阴性,血结核分枝杆菌-聚合酶链反应(PCR)阴性。支气管灌洗液细胞计数及分类:巨噬细胞20.5%,分叶核细胞66%,淋巴细胞12%,嗜酸性粒细胞1.5%,细胞总数1.07×106/ml。支气管肺泡灌洗液涂片:可见大量退变的中性粒细胞,大量肺泡上皮细胞及吞噬细胞,少量红细胞及嗜酸性粒细胞,散在淋巴细胞。类风湿因子、抗环瓜氨酸多肽抗体、抗角蛋白抗体和抗核周因子抗体均阳性,红细胞沉降率、C反应蛋白升高,胸部CT示“右中肺磨玻璃影,机化性肺炎”(图2)。先后予莫西沙星、阿奇霉素、头孢他啶、亚胺培南及伊曲康唑规律性抗感染治疗均无效,考虑患者为“类风湿关节炎肺损害、机化性肺炎”,给予甲泼尼龙40mg/d,约2~3天后症状好转,1周后复查胸部CT好转,此后改为口服泼尼松40mg/d,3周后减为35mg/d,并开始加用静脉环磷酰胺400mg/2周。泼尼松减量为35mg/d 1周后(环磷酰胺累计量为400mg),上述症状再次出现,为进一步诊治收入院。既往史、个人史和家族史无特殊。
图2 2011年1月胸部CT示右中肺磨玻璃影,机化性肺炎
引自:主编:.风湿免疫性疾病疑难病例解析.第1版.ISBN:978-7-117-28376-2
患者双手掌指关节及近端指间关节伸侧淡红色斑丘疹,上覆少量鳞屑,双手掌侧皮肤角化明显。未见明显披肩征、V领征。全身浅表淋巴结未触及肿大,眼睑周围皮肤未见红肿,双肺呼吸音粗,右下肺呼吸音低,未闻及干湿性啰音。心、腹部查体未见异常。全身关节无肿痛,无畸形。四肢肌力、肌张力均正常。
血尿便常规、生化、肌酶、血气分析均大致正常。红细胞沉降率46mm/h。抗核抗体(ANA)1∶80,抗SSA抗体阳性,类风湿因子、抗环瓜氨酸多肽抗体、抗角蛋白抗体及抗核周因子抗体均阳性,余自身抗体均阴性。巨细胞病毒抗原阳性,余感染相关指标均阴性。
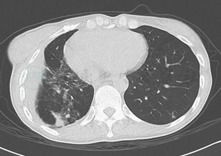
胸部CT提示“右中肺机化性肺炎较前加重”(图3);肌电图大致正常。
图3 2011年3月8日CT示右中肺机化性肺炎较前加重
引自:主编:.风湿免疫性疾病疑难病例解析.第1版.ISBN:978-7-117-28376-2
1.重叠综合征
类风湿关节炎
无肌病皮肌炎
机化性肺炎
2.巨细胞病毒血症
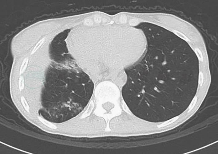
更昔洛韦抗病毒抢先治疗(具体方案为更昔洛韦静脉滴注300mg/次,q12h(每12小时1次),2周后减至300mg/d,再用2周后改为口服更昔洛韦500mg/次,3次/d,2个月),甲泼尼龙1g/d×3d冲击联合环磷酰胺400mg q2w(每2周1次),治疗后症状迅速缓解,但缓解1周后症状反复,反复查巨细胞病毒抗原均阴性,痰培养提示烟曲霉阳性,复查胸部CT提示“右中肺机化性肺炎较前吸收、右下肺支气管胸膜瘘和左肺真菌感染”,考虑为治疗过程中并发真菌感染,细菌感染不能除外,遂将甲泼尼龙减量为60mg/d静脉滴注,停用环磷酰胺,加用伊曲康唑200mg/d、哌拉西林舒巴坦5g,q12h静脉滴注,充分抗感染治疗,此后复查CT提示“机化性肺炎逐渐吸收,支气管胸膜瘘及肺部感染范围亦逐渐减小”(图4),体温正常,症状好转出院。
图4 2011年4月胸部CT示机化性肺炎明显好转
引自:主编:.风湿免疫性疾病疑难病例解析.第1版.ISBN:978-7-117-28376-2
本例患者是一例类风湿关节炎合并无肌病性皮肌炎的患者。患者6年前即出现对称性多关节肿痛,伴晨僵,类风湿因子、抗环瓜氨酸多肽抗体阳性,结合影像学表现,提示类风湿关节炎诊断明确。无肌病性皮肌炎作为皮肌炎的一个亚类,主要特点为无肌肉受累表现,肌酶不高,肌电图正常,常有Gottron征等特异性皮疹或典型病理表现,常表现为间质性肺病,易出现激素抵抗,进展迅速,预后较差,诊断需病程大于6个月。患者查体发现典型Gottron征皮疹,完善肌酶、皮肌炎相关自身抗体检查均阴性,肌电图未发现肌源性病变,拒绝行皮肤肌肉活检,随访至今病程大于6个月,故无肌病皮肌炎诊断明确。
本患者的突出特点为结缔组织病所致反复肺部受累,病程主要分为两个阶段。第一阶段为类风湿关节炎及其肺损害。肺部早期表现为咯血,CT表现为肺部空洞,抗感染治疗无效,肺叶切除术后病理诊断为“肺类风湿结节”。肺部类风湿结节为类风湿关节炎较为常见的关节外表现,但是表现为空洞的类风湿结节并不多见,有文献报道提示其常出现于胸膜下,需与真菌感染及肺恶性肿瘤鉴别,可导致气胸及支气管胸膜瘘的形成。第二阶段为结缔组织病合并机化性肺炎。机化性肺炎是临床上少见的结缔组织病相关间质性肺病的一种,需要结合临床、影像及病理资料诊断,其分为隐源性和继发性,最常见于类风湿关节炎、皮肌炎,亦可见于系统性红斑狼疮(systemic lupus erythematosus,SLE),偶见于干燥综合征(Sjögren syndrome,SS)等,也可与改善病情的抗风湿药物及生物制剂使用相关。其临床表现不特异,常表现为咳嗽、发热、进行性活动后呼吸困难,亦可表现为咯血、胸痛。特点为病理提示肺泡腔内息肉样肉芽组织增生,可见成纤维细胞及肌成纤维细胞,常对激素治疗敏感,可有影像学和病理学方面的缓解,但易在激素减量时反复。在类风湿关节炎中,机化性肺炎常出现于关节症状之后,其进展常与疾病进展相平行,发病时常伴有关节症状的活动和高滴度的类风湿因子,但也偶见于关节症状出现之前。
患者初发机化性肺炎时关节肿痛不明显,Gottron征不明显,类风湿因子、抗环瓜氨酸多肽抗体、抗角蛋白抗体、抗核周因子抗体均阳性,考虑类风湿关节炎病情活动,故首先考虑为类风湿关节炎引发的机化性肺炎,予患者常规剂量激素治疗后好转。但患者后来出现Gottron征,无肌病皮肌炎诊断明确;而无肌病皮肌炎也可首先表现为机化性肺炎,故首次机化性肺炎亦不能除外由皮肌炎引起。因无肌病皮肌炎常伴发急性进展的机化性肺炎,故给予激素冲击联合免疫抑制剂治疗。
患者症状好转后再次反复,复查胸部CT提示合并支气管胸膜瘘及真菌感染。经胸外科会诊考虑患者术后多次复查CT未出现支气管胸膜瘘,提示手术恢复好,考虑支气管胸膜瘘与结缔组织疾病进展及肺部感染相关。在结缔组织疾病的治疗中,大剂量激素及免疫抑制剂的使用常常使患者紊乱的免疫功能更加脆弱,使得患者常常因为伴发感染而停止免疫抑制治疗甚至因难以控制的感染而致死。本患者此次同时存在病毒血症、真菌感染及细菌感染,在充分抗感染治疗的基础上,将激素逐渐减量,并停用免疫抑制剂,之后感染被控制,病情逐渐好转。
随着改善病情的抗风湿药物及生物制剂在结缔组织病治疗中的广泛及规范化应用,在病程中应警惕两者引起的机化性肺炎。药物引起的机化性肺炎一般难以与疾病本身引起的机化性肺炎鉴别,主要特点为其与药物的应用明显相关,部分患者可随着致病药物的停用而自行缓解。常见的机化性肺炎相关药物为甲氨蝶呤、柳氮磺胺吡啶及金制剂等。根据日本学者报道,截至2012年,在日本的药物上市后观察中,英夫利昔单抗和依那西普均出现过药物相关机化性肺炎的个案,其发病可能与治疗前有疾病相关机化性肺炎有一定关系。本患者既往长期应用改善病情的抗风湿药物及益赛普治疗,治疗期间无明显肺部症状,故药物相关机化性肺炎的可能性不大。
本患者作为类风湿关节炎合并无肌病皮肌炎患者,疾病表现非常独特。首先类风湿关节炎伴发的肺类风湿结节极少表现为空洞;其次机化性肺炎应考虑与类风湿关节炎及无肌病性皮肌炎均相关;再次患者肺叶切除术后存在无效腔,应用多种免疫抑制剂及生物制剂后处于免疫抑制状态,故反复并发感染;而支气管胸膜瘘的形成则可能与疾病进展及感染均有关。
通过分析该病例,可以加深我们对结缔组织病肺部表现的认识,提高诊断水平,并提高合理决策、平衡免疫抑制及抗感染治疗的能力,使患者获得最好的治疗。
本例启示
类风湿关节炎肺部结节样损害容易误诊。
自身免疫病肺损害和治疗过程中的肺部感染需要仔细鉴别。
(刘爽 安媛)



