(一)病例信息
【病史】
女性患者,56岁,咳嗽伴气喘6个月余,加重半个月,于2009年5月18日入院。6个月余前,患者无明显诱因出现咳嗽,以干咳为主,无明显咳痰,活动后稍感气喘,无畏寒、发热、胸闷、胸痛等。起初,患者未予重视,上述症状逐渐加重。半个月前开始,患者自觉咳嗽剧烈,影响睡眠,活动后气喘明显,并伴有畏惧陌生人的精神症状,遂至当地县级医院就诊,胸部X线片可见肺内斑片状高密度影,阿奇霉素、左氧氟沙星抗感染治疗5天以及心理疏导,但效果不佳。患者咳嗽、气喘症状无明显改善,遂来我院住院进一步诊治。起病以来,患者食欲、睡眠可,大小便正常,体重无明显变化。
患者因2年来反复腹痛确诊慢性胰腺炎;1年前因心悸发现有主动脉瓣狭窄,未予特殊治疗;否认手术及外伤史、急慢性传染病病史、高血压病史、糖尿病病史;否认食物、药物过敏史,无吸烟、饮酒嗜好。
【体格检查】
体温37.0℃,心率81次/分,呼吸20次/分,血压116/80mmHg,SpO2 98%(吸氧2L/min);口唇无发绀,浅表淋巴结未触及肿大,双侧甲状腺未触及肿大;两肺呼吸音偏低,未闻明显干、湿啰音;心律齐,胸骨右缘二肋间可闻2/6级收缩期吹风样杂音;腹软,肝、脾肋下未触及;双侧下肢无水肿。
【辅助检查】
血常规、生化正常。Ca2+ 2.56mmol/L,P 0.79mmol/L。
心脏彩超:升主动脉增宽,左心房增大,左室心肌增厚,心肌回声增强,室壁运动减弱,左心室舒张功能减退。
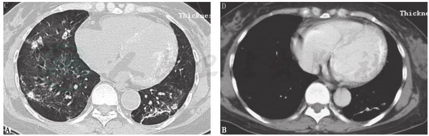
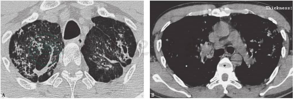
胸部CT:两肺见多发斑片影,左下肺见钙化影,心室壁见钙化影(图1)。
图1 入院时胸部CT表现
胸部CT显示两肺多发斑片影(A),左下肺斑片影中可见钙化形成,并见左心室壁钙化影(B)
引自:主编:.呼吸系统疑难病例诊疗辨析.第1版.ISBN:978-7-117-26415-0
(二)临床思辨
【临床特点】
1.患者为中年女性,慢性起病。
2.主要症状为咳嗽、气喘,肺部查体阴性。
3.患者因2年来反复腹痛确诊为慢性胰腺炎,半个月前曾出现精神症状。
4.辅助检查:Ca2+ 2.56mmol/L,P 0.79mmol/L;心脏彩超示左室心肌增厚,心肌回声增强,室壁运动减弱;影像学检查见两肺多发斑片影、左下肺钙化影、心室壁钙化影。
5.普通抗感染治疗(阿奇霉素、左氧氟沙星)无效,患者咳嗽、气喘症状无改善。
【思辨要点】
本例患者以咳嗽、气喘为主要症状,属于肺部病变常见临床表现,无特异性,但影像学检查见肺、心室壁高密度影,具有特殊意义。
在确定诊断的过程中首先需要思考:广泛肺组织钙化影是否为钙磷代谢异常所致?
(1)排除肺结核、矽肺等非钙磷代谢异常性疾病。
肺结核:严重肺结核的临床表现可有呼吸困难,但常伴有咳嗽、咳痰、乏力、盗汗、消瘦、午后低热等,影像学表现特点为病灶大多累及上叶尖后段和下叶背段,大小、形态不一,可为结节影、斑片影、实变影、卫星灶等(图2)。陈旧性肺结核病灶常可表现为钙化灶。本例患者否认结核病史,无结核高危因素(如免疫力低下、高血糖等),影像学检查示钙化部位广泛,两肺多叶、段均有累及,故因为结核可能性不大,可进一步检查结核抗体、痰抗酸杆菌涂片等相应指标以排除之。
矽肺:是一种职业相关性肺病,是由于长期接触二氧化硅粉尘所导致的。临床表现为进行呼吸困难、咳嗽。胸部影像学表现为两肺多发微结节影,以上肺为主,部分合并有钙化,肺门和纵隔淋巴结肿大,淋巴结可形成典型的蛋壳样钙化。本例患者无相关职业史,故可排除矽肺。
(2)鉴别可引起钙磷代谢异常的疾病,包括甲状旁腺功能亢进(原发或继发于肾衰竭)、恶性肿瘤、肺泡微结石症等。
图2 肺结核胸部影像学表现
胸部CT可见双上肺弥漫小结节病灶,小结节有融合趋势,伴空洞形成和纤维索条
引自:主编:.呼吸系统疑难病例诊疗辨析.第1版.ISBN:978-7-117-26415-0
甲状旁腺功能亢进:原发性甲状旁腺功能亢进症在临床上较少见,因甲状旁腺腺瘤、增生或癌引起甲状旁腺素自主性分泌过多而导致高钙、低磷血症。继发性甲状旁腺功能亢进常见于肾衰竭患者,由于低钙血症,刺激甲状旁腺而引起甲状旁腺分泌较多甲状旁腺激素。甲状旁腺激素可促进破骨细胞活性,钙自骨骼释放入血,使血钙升高。血钙升高可累及全身多个部位,以骨、泌尿系统为主,累及肺部者较少见。临床表现复杂多样,主要表现为反复发作的泌尿系结石、骨骼病变;少数患者可有高血钙所致神经肌肉兴奋性降低表现,如疲乏、无力、恶心、呕吐、便秘、腹胀等;还有部分患者可发生转移性钙化,如关节、心肌、动脉壁、胃黏膜、肺等处发生钙化,并表现为相应症状。本例患者无高血压、糖尿病、肾炎等基础疾病,入院时肾功能正常,故肾衰竭引起继发性甲状旁腺功能亢进诊断依据不足,可进一步完善甲状旁腺B超、甲状腺锝99-甲氧基异丁基异腈(99mTc-MIBI)显像检查,明确有无甲状旁腺病变,以协助诊断。
恶性肿瘤:可直接破坏骨组织,使骨钙释放入血,导致高钙血症。另外,部分肿瘤(如肺癌、肾癌等)可以产生甲状旁腺素样物质及破骨细胞活化因子,刺激破骨细胞,使大量钙从骨骼释放入血。钙盐在体内器官沉积,可导致多器官钙化密度影。本例患者无相关症状,可进一步完善肿瘤相关指标检查,以协助诊断。
肺泡微结石症:是以肺泡内存在弥漫性分布钙化的含钙、磷盐为主的微小结石为特点的弥漫性肺疾病,是一种隐性遗传性疾病。该病主要是由于SLC34A2基因突变,导致磷酸钙清除障碍,使之在肺泡内沉积形成。患者早期多无明显症状和体征。一般血液检查显示钙磷代谢无异常改变。胸部CT可见两肺弥漫性钙化结节影,随着病情进展可融合成高密度片状影(图3)。病理检查可见肺泡内含有洋葱皮样物体,大部分呈致密钙化。该病临床确诊较为容易,经支气管镜和胸部CT检查大多可明确。本例患者家族无相关疾病病史,患肺泡微结石症可能性较小,可进一步完善支气管镜检查以协助诊断。
图3 肺泡微结石症胸部影像学表现
胸部CT可见双肺野弥漫高密度影,伴双肺实质钙化,以坠积部位为主,并见胸膜钙化线和胸膜下小气囊征
引自:主编:.呼吸系统疑难病例诊疗辨析.第1版.ISBN:978-7-117-26415-0
综合分析相关资料以及患者既往慢性胰腺炎和精神异常病史、临床表现、辅助检查结果等,考虑本病例可能与钙盐代谢异常性疾病相关,但尚难以明确诊断,需要进一步完善相关检查,排除其他病因。
(一)临床信息
【实验室检查】
血常规、ESR、CRP、肿瘤标志物指标均正常。
肝、肾功能:①入院时,ALT 61U/L,AST 44U/L,ALB 30.5g/L,Cr 65μmol/L;②保肝治疗后,ALT 30U/L,AST 18U/L,ALB 32.3g/L。
结核抗体、PPD试验、痰抗酸杆菌涂片均为阴性。
血电解质:Ca2+ 2.56mmol/L,P 0.79mmol/L。
其他:血清甲状旁腺激素(parathyroid hormone,PTH)128pmol/L,24小时尿钙2mmol/L,24小时尿磷7mmol/L。
【肺功能检查】
FVC 37.7%预计值,FEV143.5%预计值,FEV1/FVC 97.13%,提示中重度混合性通气功能障碍。
【心脏辅助检查】
超声心动图:左室心肌增厚,心肌回声增强,室壁运动减弱,EF 46%;主动脉瓣狭窄。
心电图:正常。
【支气管镜检查】
镜下见双肺各叶段支气管通畅,未见气管、支气管内明显异常。支气管肺泡灌洗液抗酸杆菌涂片阴性。经支气管肺活检(TBLB)见右肺下叶肺泡腔及肺泡隔多量钙化物沉积(图4)。
图4 经支气管肺活检病理结果(HE染色,200×)
引自:主编:.呼吸系统疑难病例诊疗辨析.第1版.ISBN:978-7-117-26415-0
【影像学检查】
甲状腺B超:右侧甲状旁腺见实质性占位性病变(约2.3cm×1.48cm)。
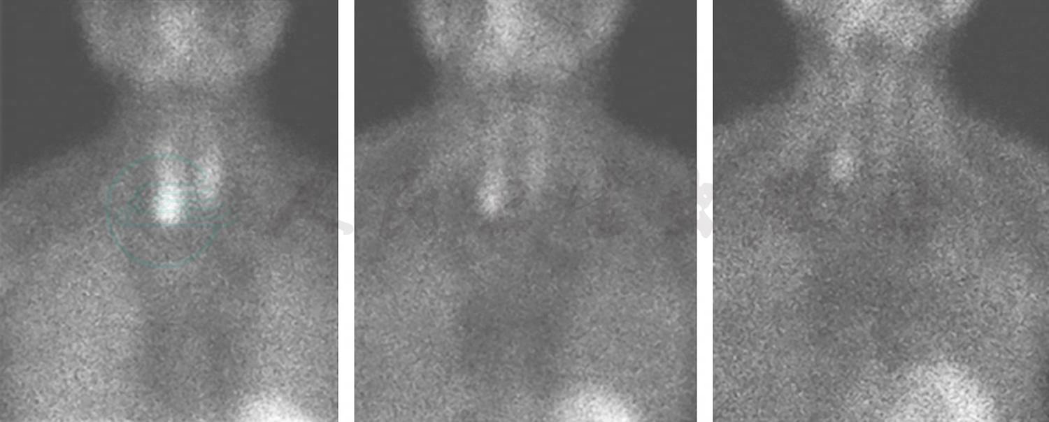
99mTc-MIBI显像:右叶甲状腺下极部位可见甲状旁腺高功能腺瘤(图5)。
头颅、双手X线平片:骨质疏松(图6)。
99mTc-MDP骨闪烁显像:双肺野可见类似骨显像影(图7)。
图5 99mTc-MIBI显像
引自:主编:.呼吸系统疑难病例诊疗辨析.第1版.ISBN:978-7-117-26415-0
图6 头颅、双手X线平片
X线平片可见头颅(A)和双手(B)骨质疏松
引自:主编:.呼吸系统疑难病例诊疗辨析.第1版.ISBN:978-7-117-26415-0
图7 99mTc-MDP骨闪烁显像
引自:主编:.呼吸系统疑难病例诊疗辨析.第1版.ISBN:978-7-117-26415-0
【病理检查】
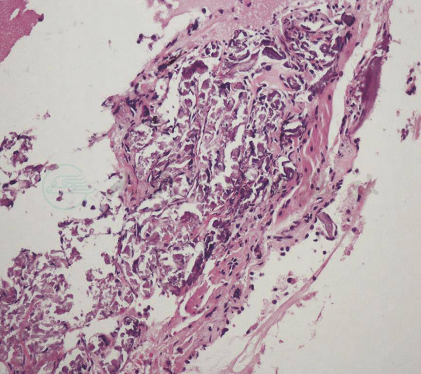
行甲状旁腺切除术,样本病理检查示甲状旁腺腺瘤(图8)。
图8 甲状旁腺切除样本病理表现(HE染色,400×)
引自:主编:.呼吸系统疑难病例诊疗辨析.第1版.ISBN:978-7-117-26415-0
最后诊断:①原发性甲状旁腺功能亢进;②转移性肺钙化;③转移性心肌钙化。
术后11个月,胸部CT示双肺多发斑片影明显减少,左下肺钙化及心室壁钙化较前减轻(图9);99mTc-MDP骨闪烁显像示双肺野骨外显影较前好转(图10)。
图9 术后11个月复查胸部CT表现
引自:主编:.呼吸系统疑难病例诊疗辨析.第1版.ISBN:978-7-117-26415-0
图10 术后11个月99mTc-MDP骨闪烁显像
引自:主编:.呼吸系统疑难病例诊疗辨析.第1版.ISBN:978-7-117-26415-0
(二)临床思辨
Mulligan在1947年最先提出转移性肺钙化(metastatic pulmonary calcification,MPC)概念,认为MPC是由于长期钙及磷酸盐水平增高,导致钙在肺组织中沉积。当钙-磷乘积大于70时,MPC最可能发生。但是,MPC偶尔也可发生于钙-磷乘积正常者。该病最常见的原因为慢性肾衰竭、原发或继发性甲状旁腺功能亢进、破坏性骨损害等。
MPC通常无症状,少数患者可出现呼吸困难,甚至呼吸衰竭。由于血钙升高可致钙盐沉积在正常肺泡、肺泡间隔、支气管壁、肺血管壁等,病理表现为肺泡及肺泡间隔钙质沉着,肺组织变硬,肺泡间隔增宽,进而发生纤维化。呼吸困难症状与钙盐肺内沉积过多导致限制性功能障碍及弥散功能障碍有关。本例患者以活动后气喘为主要表现,可能与大量钙盐沉积于肺部,导致肺通气及弥散功能障碍有关。及早诊断并治疗原发病对于改善MPC患者的症状及疾病预后有非常重要的作用。
MPC影像学表现缺乏特异性。X线胸片表现为弥漫或局限分布的片状影;胸部CT可见散在分布的斑片影、毛玻璃影,也可见多发弥漫性钙化结节影,可以肺间或基底段分布为主,也可整个肺叶弥漫分布。本例患者影像学表现以两肺散在分布的斑片状影为主。
MPC的诊断较困难,特别对于钙-磷乘积正常者,若排除了其他可能引起肺钙化的疾病,如结核、肺泡微结石症、矽肺,需要考虑MPC的可能。99mTc-MDP骨闪烁显像术有助于协助诊断。钙-磷乘积是指血钙、血磷值[以百分毫克(mg/dl)为单位)的乘积,正常值为30~40。其中,[Ca]1mmol/L= 4mg/dl;[P]1mmol/L=3.1mg/dl。若([Ca]×[P])>40,则钙和磷以骨盐形式沉积于骨组织;若([Ca]×[P])<35,则妨碍骨的钙化,甚至可使骨盐溶解,影响成骨。
根据辅助检查结果,考虑本病例病因为原发性甲状旁腺功能亢进,手术切除甲状旁腺,病理检查显示为甲状旁腺腺瘤。甲状旁腺激素分泌过多可致高钙、低磷。本例患者钙磷乘积在正常范围内,经支气管肺活检见肺泡腔及肺泡隔有多量钙化物沉积,胸部CT见两肺散在斑片状影,99mTc-MDP骨闪烁显像见双侧肺野骨外显影,排除了肺结核、矽肺等常见疾病。因此,本病例诊断为甲状旁腺腺瘤伴发转移性肺钙化。
MPC的治疗以控制钙磷平衡为主,积极治疗引起钙磷代谢紊乱的病因,如慢性肾功能不全、原发或继发性甲状旁腺功能亢进等,病情可好转。本病例影响钙磷平衡的主要原因为甲状旁腺腺瘤,手术切除病变的甲状旁腺,术后11个月复查胸部CT显示病灶较前明显吸收。
以呼吸系统症状和体征为首发表现的原发性甲状旁腺功能亢进较少见,容易误诊为肺部疾病。提高对原发性甲状旁腺功能亢进的认识是明确诊断的前提。如果患者出现呼吸道症状,且影像学表现可见多发钙化影,应甄别转移性肺钙化可能,及时获取肺部病变组织病理检查结果,完善99mTc-MDP骨闪烁显像检查,以协助诊断。
(桂贤华 蔡后荣)
1.Bilezikian JP,Silverberg SJ.Asymptomatic primary hyperparathyroidism.N Engl J med,2004,350(17):1746-1751.
2.Cooper RA,Riley JW,Middleton WR,et al.Transient metastatic calcification in primary hyperparathyroidism.Aust N Z J Med,1978,3(8):285-287.
3.De Nardi P,Gini P,Molteni B,et al.Metastatic pulmonary and rectal calcifications secondary to primary hyperparathyroidism.EUR J Surg,1996,162(9):735-738.
4.Mulligan RM.Metastatic calcification.Arch Pathol,1947,43:177-230.
5.Stanbary SW,Lamb GA.Parathyroid function in chronic renal failure.Q J Med 1966,35:1-23.
6.Chan ED,Morales DV,Welsh CH,et al.Calcium deposition with or without bone formation in the lung.Am J Respir Crit Care Med,2002,165(12):1654-1669.
7.Ozlem Alkan,Naime Tokmak,Senay Demir,et al.Metastatic pulmonary calcification in a patient with chronic renal failure.Radiol Case Rep,2009,3(4):14-17.
8.Kaltreider HB,Baum GL,Bogaty G,et al.So-called “metastatic ”calcification of the lung.Am J Med,1969,46:188-196.
9.Mootz JR,Sagel SS,Roberts TH.Roentgenographic manifestations of pulmonary calcifications :A rare cause of respiratory failure in chronic renal disease.Radiology,1973,107(1):55-60.
10.Sanders C,Frank MS,Rostand SG,et al.Metastatic calcification of the heart and lungs in end-stage renal disease :detection and quantification by dual-energy digital chest radiography.AJR,1987,149(5):881-887.
11.Hartman TE,Muller NL,Primack SL,et al.Metastatic pulmonary calcification in patients with hypercalcaemia :findings on chest radiographs and CT scans.AJR,1994,162(4):799-802.
12.Jost RG,Sagel SS.Metastatic calcification in the lung apex.AJR,1979,133(6):1188-1278.
13.Castaigne C,Martin P,Blocklet D.Lung,gastric,and soft tissue uptake of Tc-99m MDP and Ga-67 citrate associated with hypercalcemia.Clin Nucl Med,2003,28(6):467-471.
14.Rosenthal DI,Chandler HL,Azizi F,et al.Uptake of bone imaging agents by diffuse pulmonary metastatic,Am Roentgen Ray Soc,1977,129(5):871-875.
15.Cohen AM,Maxon HR,Goldsmith RE,et al.Metastatic pulmonary calcification in primary hyperparathyroidism.Arch Intern Med,1977,137(4):520-522.
16.Madhusudhan KS,Shad PS,Sharma S,et al.Metastatic pulmonary calcification in chronic renal failure.Int Urol Nephrol,2012,44(4):1285-1287.



