(一)病例信息
【病史】
男性患者,69岁,慢性咳嗽、咳痰、喘息20余年,冬春季节及受凉后加重,近5年先后于我院住院治疗6次,诊断为“慢性阻塞性肺疾病急性加重、肺心病、高血压病”。胸部CT提示双肺纹理增粗、紊乱。患者规律吸入沙美特罗氟替卡松(50/500μg)及噻托溴铵及化痰、平喘药物治疗。本次入院前1个月,患者因咳喘加重而于外院就诊,经平喘对症治疗后,未见好转。胸部CT提示左侧少量自发性气胸伴皮下气肿和少量胸腔积液,右肺下叶团块状影。患者为进一步治疗而入我院。患者自发病以来,精神、食欲欠佳,二便无异常,体重无明显变化,伴有间断腰痛。
患者既往有高血压病、脑梗死及肺结核病史;青霉素类药物及莫西沙星过敏;有长期吸烟史。
【体格检查】
体温36.8℃,脉搏96次/分,呼吸22次/分,血压130/70mmHg。急性病容;左侧胸壁触及皮下气肿,右下肺叩诊浊音,呼吸音减低;心律齐,心率96次/分,未闻明显心脏病理性杂音;腹部未见明显异常;双侧下肢无水肿。
【实验室检查】
血常规:WBC 12.18×109/L,PLT 276×109/L,N 10.50×109/L;血生化:ALT 14U/L,Cr 56mol/L, ADA 20.6U/L;可溶性细胞角蛋白19片段7.50ng/ml;G试验阴性;抗结核分枝杆菌抗体阴性;痰结核分枝杆菌快速检测阴性。
【影像学检查】
胸部影像学表现变化见图1~图3。
图1 胸部CT表现(2013-09-25)
胸部CT提示双侧肺气肿
引自:主编:.呼吸系统疑难病例诊疗辨析.第1版.ISBN:978-7-117-26415-0
图2 胸部CT表现(2014-05-05)
胸部CT显示左侧少量自发性气胸伴皮下气肿和少量胸腔积液,右肺下叶团块状影
引自:主编:.呼吸系统疑难病例诊疗辨析.第1版.ISBN:978-7-117-26415-0
图3 胸部增强CT表现(2014-05-05)
胸部CT显示右下可疑包裹性积液,胸膜不规则增厚,伴外压性肺不张,左侧少量液气胸
引自:主编:.呼吸系统疑难病例诊疗辨析.第1版.ISBN:978-7-117-26415-0
(二)临床思辨
【临床特点】
1.患者为老年男性,有慢性咳喘病史多年,诊断为慢性阻塞性肺疾病(慢阻肺),反复急性加重。
2.主要症状和体征为咳嗽、咳痰伴气喘,活动后明显,伴有间断腰痛;双肺呼吸音低,可闻及干、湿啰音。
3.实验室检查显示外周血白细胞略高。
4.既往多次查胸部CT,提示双侧肺气肿;本次入院查胸部CT显示左侧少量自发性气胸伴皮下气肿和少量胸腔积液,右肺下叶团块状影。
5.患者本次发病后,经吸入沙美特罗氟替卡松(50/500μg)及噻托溴铵及化痰、平喘药物治疗,症状无改善。
6.患者既往有肺结核病史。
【思辨要点】
咳嗽、咳痰、胸痛、呼吸困难、肺内湿啰音均为肺部疾病的常见症状和体征,并无病因特异性。对于本例患者,目前应考虑以下问题:
1.本病例是不是感染性肺部疾病所致?如果是,可能是哪种感染类型?哪种病体原所致?
本例患者既往有慢阻肺病史,并且反复发生急性加重而住院治疗,此次咳嗽、气喘症状加重,血象增高,故首先考虑为慢阻肺急性加重(acute exacerbation of chronic obstructive pulmonary disease,AECOPD),AECOPD可由多种原因引起,目前认为大部分由下呼吸道感染所致,其中以细菌感染为主。AECOPD常见致病菌为肺炎链球菌、流感嗜血杆菌和卡他莫拉菌等,其他还有铜绿假单胞菌、肺炎克雷伯菌等革兰阴性杆菌。本例患者经抗感染治疗后,症状未见改善,需注意排除肺炎合并肺炎旁积液(图4)。但患者未见肺炎征象,故可排除之。
本例患者既往有肺结核病史,需甄别结核感染可能。结核性胸膜炎影像学表现一般为单侧胸腔积液伴胸膜增厚或包裹性胸腔积液(图5),与本例患者临床症状和影像学表现不符,可排除之。
图4 肺炎旁积液胸部影像学表现
男性患者,49岁,胸痛、发热、呼吸困难3天,治疗前X线胸片(A)及胸部CT(B)可见右侧大量胸腔积液;治疗后胸腔积液减少(C、D)
引自:主编:.呼吸系统疑难病例诊疗辨析.第1版.ISBN:978-7-117-26415-0
图5 结核性胸膜炎胸部影像学表现
X线胸片可见左侧中等量胸腔积液(A);胸部CT可见左侧较大量胸腔积液,肺尖即可见并呈包裹倾向(B)
引自:主编:.呼吸系统疑难病例诊疗辨析.第1版.ISBN:978-7-117-26415-0
真菌感染常继发于免疫功能低下和粒细胞缺乏状态,主要为曲霉菌和肺孢子菌感染两种类型。本例患者胸部影像学表现与真菌感染表现不一致,故可以排除真菌感染的可能。
综上所述,对于本病例,由其他细菌、病毒和真菌引起感染所致的概率很小。
2.本病例如果不是感染性疾病所致,可能是哪种疾病?
本例患者有慢阻肺病史,胸部影像学检查显示肺内近胸膜处有包块,存在肿瘤性病变可能。
(1)胸膜转移瘤
是胸膜肿瘤中最常见的情况。肿瘤发生胸膜转移时,胸部影像学检查常见胸膜不规则增厚、胸腔积液,增强后有强化;常有原发肿瘤病灶和其他器官受累表现(图6);常合并肋骨破坏和肺内转移。本病例影像学检查未见原发肿瘤影像,但最终仍需依靠组织活检病理结果鉴别。
图6 肺腺癌胸膜广泛转移胸部影像学表现
胸部CT可见左上结节影伴左侧胸腔积液和胸膜多发结节
引自:主编:.呼吸系统疑难病例诊疗辨析.第1版.ISBN:978-7-117-26415-0
(2)周围型肺癌
胸部影像学表现,在早期多呈局限性小斑片阴影,边缘不清,密度较淡,易误诊为炎症或结核;随着肿瘤增大,阴影逐渐增大,密度增高,呈圆形或类圆形或分叶状,其间可见空泡征、钙化、支气管充气征;边缘可见毛刺征、胸膜凹陷征、血管集束征等(图7),往往与胸膜呈锐角相交,需依据病理检查结果确诊。
胸部CT横断位见空泡征(A)、分叶征、细毛刺征(B)
血管集束征及胸膜凹陷征(C)
图7 周围性肺癌胸部影像学表现
(3)胸膜淋巴瘤
原发性胸膜淋巴瘤少见,胸部影像学表现可为胸膜弥漫饼状或环状增厚,主要依据病理检查结果明确诊断。
(4)恶性血管周细胞肿瘤
血管周细胞瘤或血管周外皮细胞瘤是由血管周外皮细胞形成的间叶组织肿瘤,较为罕见。胸部影像学检查可见胸膜结节样增厚合并胸腔积液,可出现肺内转移。依据病理检查结果可明确该病诊断(图8)。
X线胸片示左侧胸膜腔中大等量积液,部分包裹形成(A);胸部CT示左侧胸膜结节样增厚,胸腔积液(B);
病理学检查,镜下见圆形、卵圆形瘤细胞成簇状聚集在小血管 (C.HE染色,400×)
图8 恶性血管周细胞肿瘤影像学和病理表现
(一)临床信息
【实验室检查】
1.一般检查
血常规(多次检查):WBC(10.0~12.18)×109/L,中性粒细胞增高,Hb和PLT均正常。肝功能、肾功能基本正常。
2.免疫相关检查
自身抗体(包括抗核抗体、抗dsDNA、Sm抗体、抗线粒体抗体等)阴性。
3.感染相关检查
PCT正常,T-SPOT(2014年5月 27日):ESAT-6 28SFCs/106PB,CFP10 12SFCs/106PB。梅毒螺旋体、结核分枝杆菌、肺炎支原体、肺炎衣原体、军团杆菌、包虫等血清抗体均阴性。真菌检测G和GM试验均阴性。
4.其他
可溶性细胞角蛋白19片段7.50ng/ml;唾液酸867mg/L,乳酸脱氢酶(LDH)188U/L,腺苷脱氨酶(ADA)6.9U/L,血管紧张素转化酶(ACE)19.0U/L。
【影像学检查】
入院后,经抗感染、抗结核及止咳平喘治疗1个月,患者症状及影像学表现均未见好转。
胸部CT:右肺下叶团块状低密度灶伴代谢不均匀增高,不排除包裹性积液可能(图9)。
图9 入院1个月后复查胸部CT表现
胸部CT显示右肺下叶团块状低密度灶伴代谢不均匀增高,不排除包裹性积液可能,左侧少量胸腔积液伴胸膜增厚
引自:主编:.呼吸系统疑难病例诊疗辨析.第1版.ISBN:978-7-117-26415-0
胸部增强CT:两肺多发结节影,后纵隔及右肺门区、右下肺占位性病变,部分胸腰椎旁(右侧)软组织肿胀;左侧气胸;纵隔内多发肿大淋巴结影,右肺门钙化灶(图10)。
图10 入院1个月后复查胸部增强CT表现
增强CT显示右下肺占位性病变进行性增大,左侧少量液气胸伴胸膜增厚
引自:主编:.呼吸系统疑难病例诊疗辨析.第1版.ISBN:978-7-117-26415-0
(二)临床思辨
患者有咳喘病史20余年,冬春季节及受凉后加重,近5年多次于我院住院治疗,此次入院依据既往病史,首先考虑诊断“慢阻肺急性加重”。由于影像学检查提示右下肺占位性病变,经抗感染治疗后,复查胸部CT未见改善,故考虑为非感染性病变(如肿瘤、肉芽肿性疾病等),可通过有创手段获取标本进行病理检测,包括CT引导下穿刺、B超引导下穿刺、气道超声内镜引导下穿刺和外科胸腔镜手术等,探究病因。鉴于本例患者年龄较高,一般状况差,不能耐受外科手术,故选择微创手段获取组织病理。
(一)临床信息
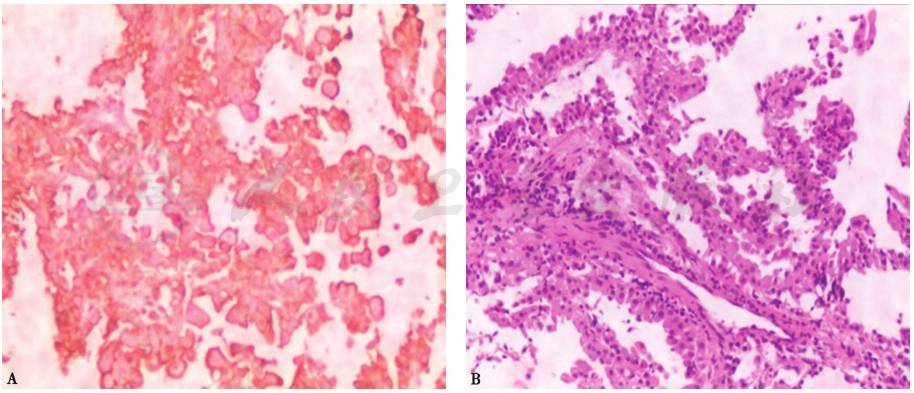
经B超引导下肺活检,病理检查结果考虑为恶性上皮型间皮瘤(图11)。
免疫组化染色肿瘤细胞呈弥漫性阳性(A.D2-40染色,40×); 肿瘤组织呈乳头状排列,其轴心为含血管的纤维组织(B.HE染色,200×)
肿瘤细胞核大,呈圆形或卵圆形,轻度异型(C.HE染色,400×)
图11 肺活检病理结果
最后诊断:恶性胸膜间皮瘤。
(二)临床思辨
相关文献报道,胸膜间皮瘤的影像学表现主要分为局限型和弥漫型(图12~图16),可见胸膜不规则增厚、单发/多发结节伴胸腔积液等征象。局限型呈局部丘状或卵圆形软组织样密度肿块,基底部宽与胸膜相连,但以肺内团块影为首发表现者少见。需要依据病理明确诊断。
图12 胸膜间皮瘤胸部影像学表现
男性患者,66岁,胸部增强CT显示右侧胸膜肿块状增厚、多发结节,呈不均匀强化,伴同侧胸腔积液
引自:主编:.呼吸系统疑难病例诊疗辨析.第1版.ISBN:978-7-117-26415-0
图13 胸膜间皮瘤胸部影像学表现
女性患者,33岁,胸部CT显示右侧胸膜呈弥漫增厚(厚度>1cm),胸膜腔缩小;右肺内多发转移结节,大多沿叶间胸膜蔓延
引自:主编:.呼吸系统疑难病例诊疗辨析.第1版.ISBN:978-7-117-26415-0
图14 胸膜间皮瘤胸部影像学表现
女性患者,36岁,胸部CT显示右侧胸膜、水平裂胸膜及纵隔胸膜弥漫性结节状增厚,厚度>1cm
引自:主编:.呼吸系统疑难病例诊疗辨析.第1版.ISBN:978-7-117-26415-0
图15 胸膜间皮瘤胸部影像学表现
男性患者,74岁,胸部CT显示左侧胸膜环状增厚,增强后胸膜均匀强化,左侧胸腔缩小
引自:主编:.呼吸系统疑难病例诊疗辨析.第1版.ISBN:978-7-117-26415-0
图16 胸膜间皮瘤胸部影像学表现
男性患者,70岁,胸部CT显示左侧胸膜局限性肿块,宽基底与胸膜相连(与胸膜以钝角相交),邻近肋骨未见破坏,增强后呈中度不均匀强化
引自:主编:.呼吸系统疑难病例诊疗辨析.第1版.ISBN:978-7-117-26415-0
恶性胸膜间皮瘤(malignant pleural mesothelioma,MPM)是一种是源于胸膜间皮表面的恶性肿瘤,近年发病率逐渐上升,预后较差。石棉是MPM的首要致病因素,在全球MPM患者中>80%男性患者有石棉暴露史。胸膜间皮瘤可表现为胸膜增厚,常为结节状、肿块状或环状,厚度>1cm对该病诊断有价值。局限型呈局部丘状或卵圆形软组织样密度肿块,基底部宽与胸膜相连,部分患者出现淋巴结钙化,易误诊为结核性胸膜炎。因其侵袭生长,可见局部肋骨破坏或椎体转移等。胸膜环状增厚多为中晚期表现,病变累及整个胸廓,患侧胸廓因胸膜普遍增厚而固定,呈冻结征,对诊断具有重要意义。因此,对胸膜增厚伴胸腔积液原因不明确时,可行局部穿刺活检或胸腔镜组织活检明确诊断。
(史丽霞 于洪志)
1.Ryu JH,Lee SW,Lee JH,et al.Randomized double-blind study of remifentanil and dexmedetomidine for flexible bronchos copy.Br J Anaesth,2012,108(3):503-511.
2.Greco M,Landoni G,Biondi-Zoccai G,et al.Remifentanil in cardiac surgery :A meta -analysis of randomized controlled trials.J Cardiothorac Vase Anesth,2012.26(1):110-116.
3.杨萱,李垮,刘宝琴,等.艾滋病合并细菌性肺炎的病原菌分布及耐药性.中国感染控制杂志,2011,10(2):109-112.
4.程龙,李建生,马利军,等.老年细菌性肺炎患者免疫功能的变化.中华老年医学杂志,2001,20(6):433-436.
5.孙恭慧.肺炎合并胸腔积液48例临床分析.现代中西医结合杂志,2008,17(35):5487-5488.
6.蔡祖龙,高建华,宋学坤,等.早期周围型肺癌的CT诊断:附65例分析.中国医学影像学杂志,1999(7):1-4.
7.彭光明,蔡祖龙,白友贤,等.血管连接在CT诊断周围型小肺癌中的价值.中华放射学杂志,1995,29(1):47-48.
8.Peto J,Decarli A,La Vecchia C,et al.The European mesothelioma epidemic.Br J Cancer,1999,79:666.
9.Ceresoli GL,Locati LD,Ferreri AJ,et al.Therapeutic outcome according to histologic subtype in 121 patients with malignant pleural mesothelioma.Lung Cancer,2001,34:279-287.
10.金恩浩,安光哲,赵志梅,等.胰腺实性-假乳头状瘤1例.实用放射学杂志,2008,24(12):1724-1725.
11.许春苗,曲金荣,李辛,等.胰腺实性假乳头状瘤的CT 征象和病理对照.实用放射学杂志,2011,27(4):564-567.
12.Waite K1,Gilligan D.The role of radiotherapy in the treatment of malignant pleural mesothelioma.Clin Oncol(R Coll Radiol),2007,19(3):182-187.
13.wang ZJ,Reddy GP,Gotway MB,et al.Malignant pleural mesothelioma :evaluation with CT,MR imaging,and PET.Radiographics,2004,24(1):105-119.



