(一)病例信息
【病史】
男性患者,26岁,主因“咳嗽、咳痰1年半,伴间断发热,加重5个月”入院。患者1年半前受凉后出现咳嗽、咳痰(白色黏稠,不易咳出)、间断发热,伴乏力,曾诊断为肺结核,经抗结核治疗1个月(具体用药方案不详),发热有缓解,咳嗽、咳痰无好转,胸部CT提示“间质性肺炎”,支气管镜检查未见异常,经支气管肺泡灌洗后咳嗽、咳痰缓解。5个月前,患者再次出现类似症状,发热可自行缓解,体温最高为38.5℃,抗感染治疗不佳,遂来我院住院治疗。发病以来,患者无体重明显下降,食欲、二便正常。
患者否认结核病、肝炎接触史;在中药房工作,经常接触中药粉尘。
【体格检查】
体温37.0℃,心率100次/分,呼吸18次/分,血压100/70mmHg。体形较肥胖,口唇略发绀;胸廓及呼吸动度对称,双肺呼吸音粗,未闻干、湿啰音;心音有力,心律齐;腹软,腹部皮肤可见紫纹;无杵状指(趾)。
【实验室检查】
血常规:WBC 18.98×109/L,N% 93.66%,RBC 6.364×109/L。
血沉 2mm/1h ;CRP 26.7mg/L。
血气分析(吸氧 2L/min):pH 7.41,PaO2 56mmHg,PaCO2 46mmHg,SaO2 89%。
【影像学检查】
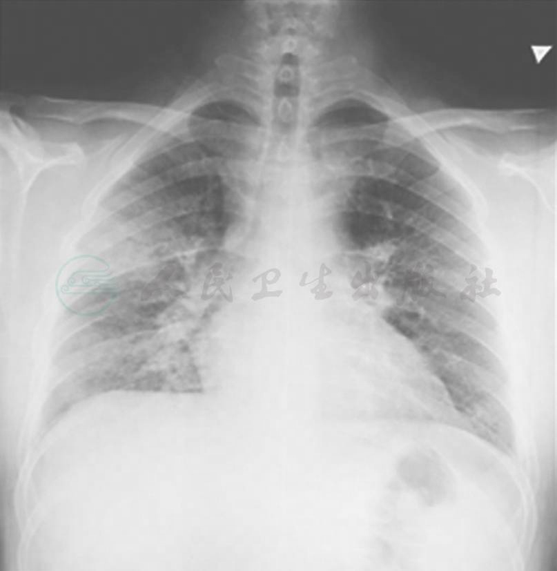
X线胸片:双侧肺多发斑片影,以右肺为著 (图1)。
图1 X线胸片
引自:主编:.呼吸系统疑难病例诊疗辨析.第1版.ISBN:978-7-117-26415-0
(二)临床思辨
【临床特点】
1.患者为青年男性,呈慢性病程。
2.主要症状和体征为间断发热、咳嗽,咳白黏痰,痰不易咳出。
3.实验室检查显示外周血白细胞计数、中性粒细胞比例升高,C反应蛋白升高,血沉正常。
4.血气分析提示Ⅰ型呼吸衰竭。
5.影像学检查显示双侧肺部多发斑片影,右侧为著。
6.入院前曾进行抗结核治疗1个月,发热症状有缓解。
【思辨要点】
本例患者在病程中表现为间断发热、咳嗽、咳痰,X线胸片显示肺部斑片状阴影,因此病变范围初步锁定在呼吸系统。此时,我们需要思考两个问题:
1.本例患者是否存在肺部感染?
本例患者外周血白细胞计数、中性粒细胞比例增高,C反应蛋白升高,胸部影像学检查显示斑片影,均提示有感染的可能。但在诊断肺部感染之前,应该排除风湿免疫病所致肺部损害、肺部肿瘤或肿瘤肺部转移。
风湿免疫病多有肺部损害,常表现为肺部间质性改变、肺泡出血等,同时常伴有肺外表现,如关节痛、皮疹、脱发、光过敏、肌痛和肾损害等,实验室检查可见血沉增快、相关免疫指标升高,抗生素治疗无效。本例患者无明显肺外症状,血沉正常,抗结核治疗后症状似有缓解,因此患风湿免疫病的可能性不大,但还需完善相关免疫学检查指标以排除之。
支气管肺泡癌是腺癌的一种类型,患者可出现咳嗽伴大量泡沫痰液,可发生于年轻人,胸部影像学检查可见局灶性或弥漫性肺实质高密度影。本病例目前不能排除这一可能。肺转移瘤胸部影像学表现常为多发结节影,患者发热少见。本例患者的X线胸片显示双侧肺部病变呈斑片状,为肺转移瘤的可能性不大。本例患者病程较长,不发热期间一般情况较好,无体重明显下降,食欲、二便正常,患肿瘤的可能性较小,但仍需进一步行胸部CT、支气管镜检查以及病理检查等以排除之。
2.如果本例患者所患是感染性疾病,可能为何种感染?
在肺部感染性疾病中社区获得性肺炎较为常见,常为革兰阳性球菌、非典型病原体等病原感染所致。临床特点为起病急、病程短,常见症状有发热、咳嗽、咳痰,使用常规抗感染药物(如头孢类、大环内酯类、喹诺酮类等)多可奏效。本例患者病程迁延,抗生素治疗效果不明显,因此所患为社区获得性肺炎的可能性较小。另外,从患者病史和治疗过程来看,患院内获得性感染的可能性亦不大。
肺部真菌感染(如曲霉菌、隐球菌感染等)多发生于免疫功能低下状态。本例患者既往身体健康,胸部影像学表现为多发斑片影,与典型真菌感染影像学表现不同,但仍需进一步检查排除。另外,患者在中药房工作,经常接触中药粉尘,应考虑曲霉菌支气管感染和定植可能。
病毒性肺炎常发生于免疫功能低下患者,病程短,进展迅速,出现呼吸衰竭时,病情危重,可有呼吸窘迫表现。本例患者为青年男性,既往基本健康,此次患病病程长,虽有双侧肺斑片状阴影及Ⅰ型呼吸衰竭,但一般情况尚可,血气分析结果中pH值处于正常范围,说明是慢性呼吸衰竭,为病毒性肺炎所致可能性不大。
我国是肺结核高发国家,且肺结核的临床症状和影像学表现复杂多样,病程有长有短。本例患者曾进行抗结核治疗,症状有所缓解,因此不能排除肺结核的诊断,需进一步检查确定。
(一)临床信息
【治疗过程】
入院后,经左氧氟沙星抗感染、鼻导管吸氧、乙酰半胱氨酸及氨溴索祛痰治疗,患者初期仍有间断低热,体温最高37.6℃,两天后体温降至正常,咳嗽、咳痰较前有所好转。
【实验室检查】
肺炎支原体抗体、结核菌素试验、血清结核抗体、肺吸虫抗原及抗体均为阴性;痰培养未发现真菌及抗酸杆菌;免疫相关检查(包括抗核抗体、抗dsDNA、Sm抗体等)结果均为阴性。
【影像学检查】
胸部CT:双侧多发高密度阴影,右肺可见明显腺泡征(图2)。
【支气管镜检查】
由于患者入院时存在呼吸衰竭,不宜立即行支气管镜检查,遂待症状好转后执行。
图2 胸部CT表现
引自:主编:.呼吸系统疑难病例诊疗辨析.第1版.ISBN:978-7-117-26415-0
镜下见支气管内无明显异常,支气管分泌物涂片见大量退变支气管黏膜上皮细胞,多量中性粒细胞,少量淋巴细胞。支气管肺泡灌洗液细胞分类为中性粒细胞80%,巨噬细胞18%,淋巴2%;真菌、细菌及抗酸杆菌检查均阴性;病理检查见大量退变中性粒细胞、淋巴细胞,少量肺泡上皮细胞及吞噬细胞,未见肿瘤细胞。
(二)临床思辨
分析患者入院后的检查结果,可以得出如下结论:①免疫相关检查结果均为阴性,结合病史,基本可排除风湿免疫病的可能;②胸部CT未见明确肿块及纵隔淋巴结肿大,支气管分泌物涂片及支气管肺泡灌洗也未见肺部肿瘤证据,因此可不考虑肺部肿瘤可能;③血液、痰、支气管分泌物及支气管肺泡灌洗液检查均未查到真菌、结核分枝杆菌感染证据,故诊断真菌感染和结核感染证据不足;④虽然痰液和支气管肺泡灌洗液培养均未获阳性结果,但气道分泌物涂片及支气管肺泡灌洗液中均见大量中性粒细胞,且患者经抗生素治疗后体温下降,临床症状好转,仍提示存在细菌感染可能性。
但是,在肺部感染影像学改变中,大叶性肺炎典型表现为实变、大片高密度阴影,在肺叶、肺段分布,其中可见支气管充气征;小叶性肺炎典型表现为斑片状阴影,外周密度较浅,边缘模糊;间质性肺炎典型表现为不规则条索、网状、点状影。而本例患者胸部CT表现为双侧肺可见高密度阴影,右下肺可见密集腺泡征,似梅花花瓣,在肺部感染影像学表现中实属罕见。
因此,下一步诊断思路主要围绕以下问题:本例患者是否有患其他疾病的可能,而当前的感染表现只是在该疾病基础上合并出现的?
影像学上腺泡征的出现是由于原本含有气体的肺泡内充满某种物质。这种物质可以是血液、毛细血管渗出液,也可以是腺体分泌物。因此,应考虑如下几种可能性:
(1)弥漫性肺泡出血
原因可为系统性小血管炎、药物毒副作用等所致。本例患者无明确相关病史及阳性检测结果,无咯血、咳血痰等症状,血红蛋白及红细胞计数无下降,支气管肺泡镜灌洗未见血性灌洗液,故此种可能性较小。
(2)肺泡蛋白沉积症
病理学特征为肺泡及细支气管腔内充满PAS染色阳性物质。影像学特点是双肺斑片状影,以肺门为中心呈蝶翼样分布,病变与正常组织分界清楚,呈地图征,斑片状高密度影内部由于小叶间隔增厚形成典型铺路石征。该病可分先天性、继发性和免疫性3类,治疗方法是全肺灌洗。本例患者病史、症状及影像学特点均不支持该病诊断。
(3)过敏性肺泡炎
是易感者吸入有机粉尘等引起的变态反应性肺疾病,细菌、真菌、植物蛋白等均可为抗原直接致病。该病急性期胸部影像学表现为数量不等、边界模糊的小叶中心结节影及实变;亚急性期胸部影像学表现以磨玻璃影为主;慢性期胸部影像学表现主要为纤维化蜂窝状改变,伴有牵拉性支气管扩张等。本例患者经常接触中药植物粉尘,不能排除此诊断,需进一步细问病史,以协助诊断。
(一)临床信息
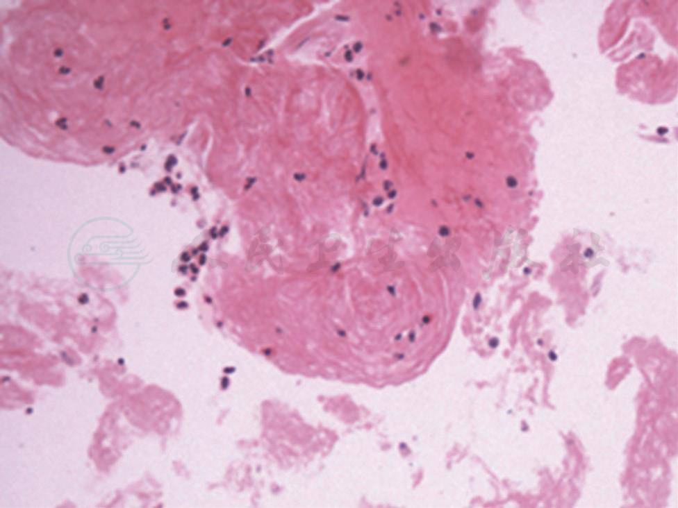
进一步询问病史得知,患者咳出痰的性状奇特——呈支气管塑型分支状。临床观察发现,患者咳嗽剧烈,痰液黏稠、不易咳出;咳出物质呈团状、白色,在清水中展开,呈树枝状、乳白色,表面光滑、有光泽,质韧、有弹性,长约15cm,起始部直径约为0.6cm,有3~4级分支(图3)。咳出物病理检查显示,大量纤维素样无结构物质中散在炎性细胞(图4)。患者每间隔2~3天咳出树枝样乳白色塑型物数次。
图3 咳出的支气管塑型物质
咳出物中可见按支气管分叉走行的乳白色树枝状塑型结构,长度约10cm
引自:主编:.呼吸系统疑难病例诊疗辨析.第1版.ISBN:978-7-117-26415-0
图4 支气管塑型物质病理表现(HE染色,200×)
引自:主编:.呼吸系统疑难病例诊疗辨析.第1版.ISBN:978-7-117-26415-0
结合病史、临床表现、痰液性状及病理结果,诊断本病例为塑型性支气管炎、外源性过敏性肺泡炎(中药粉尘所致,有密切接触史),同时有肺部感染因素参与。
经抗炎、化痰治疗后,患者咳嗽、咳痰症状较前有所好转,但仍间断咳黏痰,偶尔咳出管型样痰。30天后复查,胸部影像学表现较前明显好转(图5)。患者病情稳定后出院,回当地继续治疗。
图5 治疗30天后复查X线胸片
X线胸片显示右肺多发片状阴影明显好转
引自:主编:.呼吸系统疑难病例诊疗辨析.第1版.ISBN:978-7-117-26415-0
最后诊断:塑型性支气管炎,外源性过敏性肺泡炎合并肺部感染。
(二)临床思辨
塑型性支气管炎是一种综合征,特征性表现是咳出管型样呼吸道分泌物,常见于儿童,在成年人中较少见。
1.塑型性支气管炎的病因和形成机制是什么?
塑型性支气管炎的病因可分为原发性和继发性两类,以继发性多见,常见继发于支气管哮喘或过敏性疾病、细菌性支气管炎、支气管扩张等。本病例可能与患者接触中药粉尘有关,外源性过敏性肺泡炎所致可能性大。
塑型性支气管炎的形成机制目前仍不甚明了。有学者提出与气道变态反应相关的“铸型”学说,认为是具有特应性体质者在病原体作用下,发生变态反应,气道内黏膜下血管扩张,通透性增高,腺体分泌旺盛,产生大量纤维蛋白和黏蛋白,滞留于气道内,大量气道分泌物脱水、浓缩、凝固,形成管型样分泌物,这些分泌物脱落、咳出,即为管型样痰。但“铸型”学说仍不能解释支气管塑型形成机制的全貌,有待进一步研究发现。
塑型性支气管炎的临床特征性表现为咳管型样痰,痰呈树枝状,可为淡粉色或乳白色,质韧、有光泽,有多级分支(少则3~4级,多则6~8级)。常见症状为咳嗽、咳痰、胸闷、气短,常伴有发热或咯血,口唇发绀;无明显特征性体征,胸部听诊有时可闻及湿啰音、哮鸣音;症状重者可出现低氧血症、呼吸衰竭表现,甚至危及生命。本例患者为青年男性,一般状况较好,入院初虽有Ⅰ型呼吸衰竭,但咳出管型样痰后症状明显缓解。
2.塑型性支气管炎如何治疗?
对于塑型性支气管炎可采取如下治疗措施:①通过支气管镜,反复冲洗或机械牵拉,移除气道内管型分泌物。对于重症,尤其是无力咳痰、症状危急的患者,使用硬质支气管镜或冷冻技术,利用机械力量将粗大的管型拉出,可能是唯一有效的抢救措施。②雾化吸入气管扩张剂、吸入性糖皮质激素和黏液溶解剂(如N-乙酰半胱氨酸等)。③使用糖皮质激素抗炎、大环内酯类药物调节免疫功能,对于原发性塑型性支气管炎有一定益处。
本病例的诊断过程稍显曲折。塑型性支气管炎形成的管型多见于儿童,成年患者少见,多为感染和过敏等因素导致的非感染性渗出所致,临床表现缺乏特异性,症状可因累及的肺叶段的范围和程度不同而不同,影像学检查可见肺内磨玻璃高密度影、实变或肺不张。重症塑型性支气管炎可因急性呼吸衰竭而危及生命,因此对于此类患者需尽快明确病因,实施相应治疗措施。
(余兵 高占成)
1.Moser C,Nussbaum E,Cooper DM.Plastic bronchitis and the role of bronchoscopy in the acute chest syndrome of sickle cell disease.Chest,2001,120:608-613.
2.Schultz KD,Oemermann CM.Treatment of cast bronchitis with low-dose oral azithromycin.Pediatr Pulmonol,2003,35:139-143.



