(一)病例信息
【病史】
男性患者,58岁,因“间断咳嗽、活动后气短2个月”入院治疗。患者于2013年10月无明显诱因情况下出现咳嗽、少量白痰,伴活动后气短、胸闷,无咯血、胸痛、发热,于2013年11月在当地医院就诊。胸部CT可见双肺多发团块病变;行双肺内病灶穿刺,病理检查示组织慢性炎症伴纤维组织增生及少量嗜酸性粒细胞浸润,部分血管壁内可见小淋巴细胞浸润,管壁增厚,考虑不排除血管炎。因头孢哌酮治疗10天未见明显疗效,当地医院给患者加用泼尼松60mg/d并转至上级医院进一步诊治。化验提示:血常规、尿常规、ESR均正常,癌胚抗原、抗核抗体、RF、ENA抗体、ANCA阴性,痰细菌培养、真菌培养以及抗酸染色均阴性;复查胸部CT(2013年11月26日)显示右上叶病变较前有部分吸收;行双侧病变部位穿刺活检,病理检查示大部分肺泡结构消失,代以多量增生的成纤维细胞灶,并见较多淋巴、浆细胞浸润,个别肺泡腔内见泡沫细胞聚集,未见明确血管炎及肉芽肿改变,考虑机化性肺炎可能性大。经口服甲泼尼龙40mg/d,1周后改为20mg/d,患者自觉活动后气短有所减轻。为进一步明确诊断和治疗,患者于2013年12月初来我院门诊就诊。再次对经皮肺穿刺活检组织进行病理会诊,发现部分肺泡腔内见息肉样纤维组织增生,伴较多淋巴细胞、浆细胞及散在的嗜酸性粒细胞浸润,肺泡间隔增宽、纤维组织增生,血管壁见淋巴细胞浸润,未见明确的肉芽肿性病变。12月7日,患者住院诊治。
患者自发病以来,无明显口、眼干,无反复关节肿痛、皮疹,食欲、二便正常,体重无明显下降。在外院住院期间发现肾囊肿。
患者曾有长期大量吸烟史40年(20支/天×40年),已戒1个月,不嗜酒。婚育、家族史无特殊。
【体格检查】
生命体征平稳;浅表淋巴结未触及肿大;双肺未闻干、湿啰音;心脏和腹部查体未见异常,双下肢不肿。
【影像学检查】
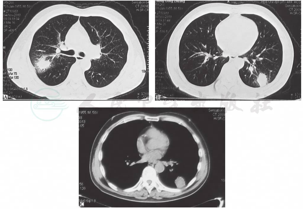
胸部CT示右上叶后段、左肺下叶团块状实变影,周围有磨玻璃影及索条影(图1)。
图1 胸部CT表现(2013-11-04)
引自:主编:.呼吸系统疑难病例诊疗辨析.第1版.ISBN:978-7-117-26415-0
(二)临床思辨
【临床特点】
1.患者为中老年男性,隐匿起病,呈慢性病程。
2.主要临床表现为间断咳嗽、咳痰2个月,病初有活动后气短,无咯血、胸痛、发热等伴随症状。
3.既往查体发现肾囊肿,有大量吸烟史,不嗜酒。
4.病初胸部CT提示双肺散在团片状实变影,伴有双肺门及纵隔淋巴结肿大。外院2次(4个部位)肺穿刺活检均见细支气管腔、肺泡腔内息肉状纤维组织增生,肺组织内较多淋巴细胞、浆细胞及散在嗜酸性粒细胞浸润。
5.肺内病变在使用糖皮质激素后短期内有吸收。
【思辨要点】
1.本病例是感染性疾病还是非感染性疾病所致?
肺部团片状实变可以由多种病因引起,包括感染和非感染性疾病。感染性疾病中,多种病原体(肺炎链球菌、支原体等)所致的社区获得性肺炎以及多种真菌(曲霉菌、念珠菌、隐球菌等)、结核分枝杆菌感染等都可以表现为肺内实变。但本例患者在整个临床发病诊治过程中,无明确发热等感染中毒症状,且在使用系统性糖皮质激素治疗后病灶有所改善,因此考虑本病例肺部阴影为非感染性疾病所致可能性大。
2.对本病例,需对哪些肺部非感染性疾病进行鉴别诊断?
可引起团片状肺部实变阴影的肺非感染性疾病中,常见的有隐源性机化性肺炎(COP)、亚急性/慢性嗜酸性粒细胞肺炎、肺部肿瘤(如淋巴瘤)等。
(1)COP
多见于中年人群,一般以亚急性病程多见,临床上常表现为低-中度发热、咳嗽、活动后气短/呼吸困难,部分患者可以表现为呼吸困难进行性加重,少部分患者可以伴有咯血、胸痛等症状。肺部影像学表现以近胸膜分布的大片实变影最为常见,少部分病例可以表现为局限性团片影、反晕征、结节影等。肺脏病理表现为细支气管及肺泡腔内机化,炎性细胞不多见。一般来说,糖皮质激素对该病有明显疗效,但部分患者容易在减停糖皮质激素后复发。本例患者肺穿刺活检病理结果除了显示细支气管及肺泡腔内机化外,还可见较多浆细胞、淋巴细胞及一些嗜酸性粒细胞浸润,这不是COP典型肺脏病理表现。另外,患者无明显呼吸困难表现,胸部CT表现也不符合COP典型表现。
(2)嗜酸性粒细胞肺炎
尤其是慢性嗜酸性粒细胞肺炎,胸部CT表现主要为肺部实变影。该病多见于50岁左右女性;多数患者既往有哮喘史;外周血和肺内嗜酸性粒细胞水平明显升高;临床表现常见低-中度发热,活动后气短、咳嗽等;对糖皮质激素反应良好,但复发率高。本病例虽有肺组织内散在嗜酸性粒细胞浸润,但是以浆细胞和淋巴细胞浸润为主,不伴有血嗜酸性粒细胞水平明显升高,因此暂不考虑该病诊断。
(3)肿瘤性疾病
多种类型淋巴增殖性疾病、肺癌等肺部肿瘤性疾病也可以出现肺内实变影,但本例患者肺穿刺活检病理结果不支持上述肿瘤性疾病诊断。
(4)其他少见、罕见病
如结缔组织疾病相关性间质性肺疾病(CILD),尤其是肌炎/皮肌炎间质性肺病、IgG4相关性疾病相关性肺病、结节病、药物性间质性肺病、放射性间质性肺炎等,也可以出现肺内团片状实变影。对于本例患者,从肺穿刺活检病理结果看,尤其要关注CILD、IgG4相关性疾病相关性肺病的可能。
CILD:以机化性肺炎为主要病理表现的以肌炎/皮肌炎间质性肺疾病多见。肌炎/皮肌炎患者可以有肌痛、肌无力、皮疹等表现,急性期血清肌酶水平可以升高,Jo-1抗体阳性患者更容易出现肺间质病;部分患者没有典型的皮疹、肌酶升高等,而以肺间质病为主要表现;肺脏病理除肺泡腔机化外,还常可以看到明显的淋巴细胞浸润。本例患者目前没有肌炎/皮肌炎相关临床表现,可以进一步排查。
IgG4相关性疾病:是近年才发现,并被逐渐认识的一种系统性自身免疫性疾病。患者一般有血清IgG4水平明显升高,可以累及多个系统。肺部受累可以是某些IgG4相关性系统性疾病中的一个表现,也有仅有肺部受累的IgG4相关性疾病。特征性病理表现包括纤维组织明显增生(纤维化)、淋巴浆细胞增生以及闭塞性脉管炎。诊断原则:若符合上述病理表现中的至少两条以及IgG4+浆细胞/IgG+浆细胞>40%,为高度可能的IgG4相关性肺部疾病;符合上述病理表现中的一条并如下一条,即有其他器官IgG4相关性疾病证据或血清IgG4>135mg/dl,为可能的IgG4相关性肺部疾病;其他为非IgG4相关性肺部疾病。IgG4相关性疾病肺部受累可以表现为孤立性结节/团块、团片状实变影等。本病例肺组织中有明显机化、淋巴细胞及浆细胞浸润,需要高度怀疑该病。
综上所述,本病例为肺非感染疾病所致可能性大,其中以CTD-ILD、IgG4-相关性疾病相关性肺病可能性大,可以行ANA谱等自身抗体、血清肌酶、IgG4血清水平检测以及肺组织IgG4+浆细胞特染等来进一步明确诊断。
(一)临床信息
【辅助检查】
血、尿常规、血生化、ESR、CRP、血管紧张素转化酶、血清补体、免疫球蛋白(Ig)水平大致正常。
ANA、ENA、ANCA、T-SOPT均正常。
总IgE:302.0kU/L(N<60kU/L)
血清 IgG 亚型分析:IgG1 5530mg/L,IgG2 9330mg/L,IgG3 343mg/L,IgG4 4840mg/L。
诱导痰真菌涂片、痰涂片抗酸染色、弱抗酸染色及痰细菌培养、真菌培养、找瘤细胞(各3次)均为阴性。
肺功能:FEV1/FVC 88.7%,FEV1 3.3L(99.8% 预计值),TLC 6.11L(89.6%预计值),DLCO 6.99mmol/(min·kPa)(73.7%预计值),提示为轻度孤立性弥散功能减低。
借阅外院病理片会诊:肺组织内有较多浆细胞浸润,行特殊染色,发现IgG4+浆细胞达16个/高倍视野,浆细胞中IgG4+/IgG+达56%。结合影像学表现及血清IgG亚型分析结果,诊断IgG4相关性肺疾病。
最后诊断:IgG4相关性肺疾病。
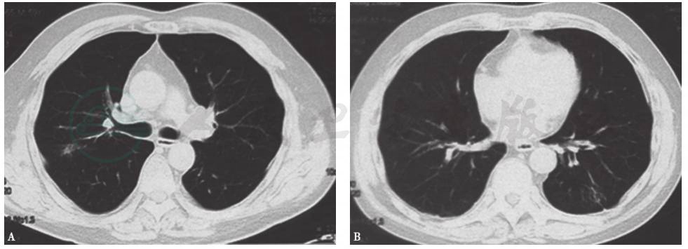
鉴于患者病情已有改善,予以甲泼尼龙治疗(20mg/d×4w,之后每周减2mg,至12mg/d时维持3个月,之后每2周减2mg,以4mg/d做维持量)。期间,于口服甲泼尼龙剂量为12mg/d时复查胸部CT,见双肺内阴影已基本吸收(图2);外周血IgG4水平为1310mg/L;患者无明显不适。
图2 复查胸部CT表现(2014-06-10)
引自:主编:.呼吸系统疑难病例诊疗辨析.第1版.ISBN:978-7-117-26415-0
(二)临床思辨
IgG4相关性疾病是2003年才正式命名的系统性疾病,可以累及全身多个器官、系统,以累及胰腺、泪腺、唾液腺等多见。2005年Zen等发现,IgG4相关性疾病中肺部也会受累。之后,IgG4相关性疾病呼吸系统受累的特点逐渐被认识、报道。
IgG4相关性疾病呼吸系统受累或IgG4相关性肺部疾病主要累及以下4个部位。
(1)胸膜
主要表现为胸膜结节、胸腔积液(部分为乳糜性胸腔积液)。
(2)肺门和(或)纵隔淋巴结
主要表现为肺门纵隔淋巴结肿大,PET-CT可见淋巴结摄取明显升高;部分表现为纤维化性纵隔炎。
(3)肺实质
可以表现为间质性肺炎,胸部影像学表现可以主要有4种表型:①结节状实变,需要与肺部肿块鉴别;②支气管血管束增厚和(或)小叶间隔增厚;③双下肺弥漫性网格影伴牵张性支气管扩张,类似非特异性间质性肺炎的影像表现;④多发圆形磨玻璃阴影,需要与支气管肺泡癌鉴别。此外,近年来也有一些散在病例报道表明,部分IgG4相关性疾病表现为类似机化性肺炎。
(4)气管/支气管
可以表现为哮喘,气管/支气管扭曲、变形和狭窄。
IgG4相关性疾病呼吸系统受累或IgG4相关性肺部疾病的治疗与其他器官或系统IgG4相关性疾病治疗方案一样。大部分患者对糖皮质激素敏感,但部分患者容易复发,有些患者需要糖皮质激素联合免疫抑制治疗。
对于肺部孤立或散在、多发团片状实变影,除考虑隐源性机化性肺炎、嗜酸性粒细胞肺炎等疾病外,还需要警惕IgG4相关性疾病肺部受累可能。及时进行血清IgG亚型水平测定、肺组织标本IgG4+浆细胞特殊染色等,有助于该病诊断和鉴别诊断。
(黄慧 徐作军)
1.Cottin V,Cordier JF.Cryptogenic organizing pneumonia.Semin Respir Crit Care Med,2012,33:462-475.
2.Katz U,Shoenfeld Y.Pulmonary eosinophilia.Clin Rev Allergy Immunol,2008,34:367-371.
3.Hare SS,Souza CA,Bain G,et al.The radiological spectrum of pulmonary lymphoproliferative disease.Br J Radiol,2012,85:848-864.
4.Campbell SN,Rubio E,Loschner AL.Clinical review of pulmonary manifestations of IgG4-related disease.Ann Am Thorac Soc,2014,11(9):1466-1475.
5.Raj R.IgG4-related lung disease.Am J Respir Crit Care Med,2013,188(5):527-529.



