(一)病例信息
【病史】
男性患者,45岁,因“发热伴咳嗽、咳痰1个月”于2011年8月25日入院。患者于2011年7月16日右𧿹趾被砸伤,局部少量出血,自行以白酒局部消毒,3天后局部结痂愈合。7月下旬,患者出现发热(体温最高41.0℃),伴咳嗽、咳黄痰,无咯血、胸痛、呼吸困难,自服感冒药治疗无效。8月初,患者出现双季肋部疼痛,深呼吸时加重,于当地医院就诊。查血常规:白细胞(10.3~20.5)×109/L,中性粒细胞占68%~85%;胸部X线片见双下肺可疑结节影,予抗感染治疗无效。8月9日,患者出现咯鲜血,共约30ml;胸部CT见肺内多发渗出性病变伴空洞。当地医院予止血及头孢曲松钠、替硝唑治疗2天,后因血培养结果显示星座链球菌,于8月13日起改用青霉素联合左氧氟沙星治疗5天。患者自8月12日起,咯血量减少,但每天最高体温仍>38.5℃,8月18日复查胸部CT示肺内病变较前加重,遂转入我院住院治疗。近1个月来,患者体重下降4kg。
患者曾于1995年因外伤行“剖腹探查、肝脏修补术”;吸烟(约30支/天)及饮酒(约200g/d)20余年,均未戒;婚育、家族史无特殊。
【体格检查】
体温37.7℃,心率70次/分,呼吸15次/分,血压125/76mmHg。神清语利,浅表淋巴结不大,无发绀,双下肺可闻少量湿啰音,三尖瓣区可闻2/6级收缩期杂音,腹部查体未见异常,双下肢不肿,无杵状指(趾),右𧿹趾甲周有陈旧淤斑。
【影像学检查】
胸部CT示双肺多发结节、空洞影,左舌叶、右下叶大片渗出影(图1),一周后加重 (图2)。
图1 胸部CT表现(2011-8-10)
胸部CT显示双肺多发结节、空洞影,左舌叶、右下叶大片渗出影
引自:主编:.呼吸系统疑难病例诊疗辨析.第1版.ISBN:978-7-117-26415-0
图2 胸部CT表现(2011-08-18)
胸部CT显示双肺阴影较前增多、加重,并出现双侧胸腔积液,左侧明显
引自:主编:.呼吸系统疑难病例诊疗辨析.第1版.ISBN:978-7-117-26415-0
(二)临床思辨
【临床特点】
1.患者为中年男性,呈急性病程。
2.主要症状为发热(中-高热)、咳嗽、咳黄痰,后期伴有咯血。
3.实验室检查提示以中性粒细胞升高为主的白细胞水平升高;曾有一次血培养结果为星座链球菌。
4.胸部影像学检查见双肺多发结节、空洞影,短期内迅速进展。
5.患者发病前曾有足趾外伤破损病史。
6.患者既往因曾外伤行“剖腹探查、肝修补术”,有大量吸烟史。
【思辨要点】
本病例出现的发热、肺部阴影是感染性疾病还是非感染性疾病所致?需要做哪些检查协助诊断?
1.感染性疾病
本病例为急性起病,临床表现为发热,伴咳嗽、咳黄痰,胸部CT表现为进展性双肺多发结节及空洞阴影,血常规表现为以中性粒细胞为主的白细胞水平升高,曾有一次血培养显示星座链球菌,但针对性抗感染疗效欠佳。根据这些情况,目前考虑以肺部感染性疾病所致可能性大,需进一步甄别导致感染的病原体。
(1)胸部影像学表现分析
双肺空洞和结节逐渐增多、增大,且随机分布,由左舌叶和右下叶后基底段进展到双下叶大片渗出,胸腔积液由少量进展到双侧中等量,行抗感染治疗后病情仍有进展,双下肺病变进展迅速(左下肺明显),沿血行播散。导致此情况发生有以下几种可能:①血源性肺脓肿:本例患者发病前有足部外伤史,未做特殊处理,病程中逐渐出现咳嗽、咳黄痰,间断咯血,胸部影像学表现提示为血行播散的肺内病灶;②脓毒性肺栓塞(SPE):本例患者病程中有明确感染征象,并出现肺梗死三联征(咯血、胸痛、呼吸困难),需考虑SPE可能。
(2)可能的病原体
血行感染后容易导致肺部空洞的病原体有如下几种。
1)革兰阳性球菌
链球菌:本病例有一次血培养结果提示为星座链球菌,因此应高度怀疑这一病原体导致的感染。链球菌引起肺部多发空洞并不常见,且针对性抗生素应该有效,但若感染灶一直没有清除、反复有菌栓脱落,则病情很难控制。本例患者对于针对性抗感染治疗反应不佳,可能有如下原因:①高耐药链球菌感染;②星座链球菌并非唯一的致病菌;③链球菌感染导致右心感染性心内膜炎、菌血症继发脓毒性肺栓塞时,可出现上述肺部影像学改变。
金黄色葡萄球菌(简称金葡菌):敏感金葡菌对包括青霉素在内的多种抗生素都敏感,但耐甲氧西林金葡菌(MRSA)仅对万古霉素类、利奈唑胺等敏感。本例患者发病初曾有皮肤破损、感染,需要警惕本菌感染的可能,可以先予以经验性抗生素治疗。
2)革兰阴性杆菌
肺炎克雷伯菌是比较容易引起肺部空洞影的革兰阴性杆菌。但肺炎克雷伯菌肺炎多发生于老年人,特别是有基础疾病者。本例患者虽有大量吸烟史,但无明确的基础肺病,且胸部CT未见肺炎克雷伯菌肺炎典型的钟乳石征,头孢曲松和左氧氟沙星无明显疗效,故肺炎克雷伯菌所致感染的可能性不大。
3)结核分枝杆菌
肺结核患者可能出现肺内多发空洞,但病变多在上肺,并可见沿支气管播散的树芽征。本例患者病情进展迅速,可行痰涂片抗酸染色等检查进一步排除结核分枝杆菌感染。
4)真菌
尤其是曲霉菌感染,容易出现肺部空洞阴影,但曲霉菌肺炎通常发生于抵抗力低下人群。本例患者无免疫抑制基础病,且胸部CT表现无曲霉菌肺炎典型晕征,不符合曲霉菌肺炎特点。
5)其他少见病原菌
如诺卡菌、放线菌等感染均可以出现空洞影,但这类菌感染多发生于免疫抑制状态。本例患者既往身体健康,经验性抗感染治疗方案已覆盖上述病原,但疗效差,故发生类似病原感染的可能性不大。
2.非感染性疾病
对于本病例,鉴于针对性抗生素治疗无明显疗效,还需要警惕非感染性疾病可能。患者此次发病,病程短,故肿瘤性疾病所致可能性不大,应重点排查系统性血管炎,尤其是肉芽肿性多血管炎。患者以发热、咯血、双肺多发空洞影为主要表现,短期内病情进展迅速,但无眼部和肾等其他系统受累表现,可复查ANCA、尿沉渣等进一步排除。
上述分析,本病例为感染性疾病,尤其是革兰阳性菌感染可能性大。同时,鉴于患者对于经验性抗感染治疗反应不佳,需要高度警惕是否有感染性心内膜炎、脓毒性肺栓塞的可能,应尽早复查血培养以获得病原学证据,并完善心脏彩超(必要时行经食管心脏超声)、CT肺动脉血管造影(CTPA)和肺静脉血管造影(computed tomographic venography,CTV)等检查。在排除感染性心内膜炎后,必要时可以行支气管镜检查,获取支气管分泌物或支气管肺泡灌洗液等来明确诊断。
(一)临床信息
【辅助检查】
血常规:WBC 10.73×109/L,L% 19.3%,Hb 106g/L,PLT 566×109/L。
血生化:ALT 127U/L,GGT 70U/L,ALP 31U/L,AST 44U/L,ALB 34g/L,其余指标未见异常。
血沉(ESR)101mm/1h,C反应蛋白73.1mg/L。
感染相关检查:外周血培养(需氧菌、厌氧菌)5次,均阴性。T淋巴细胞刺激γ-干扰素释放试验(T-SPOT)阴性。抗核抗体(ANA)、抗可提取核抗原(anti-extracted nuclear antigens,ENA)、 抗中性粒细胞胞质抗体(ANCA)阴性。痰细菌、真菌、抗酸杆菌涂片及培养3次,均阴性。痰六胺银染色阴性。
心脏彩超(2011年8月29日):三尖瓣隔瓣右房侧可见条状回声,大小约9mm×14mm,舒张期嵌入三尖瓣瓣口,左心室射血分数(left ventricular ejection fraction,LVEF)68%,三尖瓣隔瓣赘生物可能性大,轻度三尖瓣关闭不全,左室松弛功能降低。
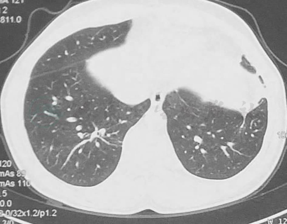
胸部CT+CTPA+CTV(2011年9月1日):多发肺动脉栓塞;双肺结节、空洞、大片渗出影较前(2011年8月18日)有明显吸收,双侧胸腔积液也有所吸收(图3~图5);未见明确深静脉血栓形成。
图3 胸部CT表现(2011-09-01)
胸部CT显示双肺阴影较前吸收,胸腔积液有减少
引自:主编:.呼吸系统疑难病例诊疗辨析.第1版.ISBN:978-7-117-26415-0
图4 CTPA表现(2011-09-01)
CTPA显示左下叶内前段肺动脉栓塞,伴左侧胸腔积液
引自:主编:.呼吸系统疑难病例诊疗辨析.第1版.ISBN:978-7-117-26415-0
图5 CTPA表现(2011-09-01)
CTPA显示右下叶外后段肺动脉栓塞,伴后肋膈角少量胸腔积液
引自:主编:.呼吸系统疑难病例诊疗辨析.第1版.ISBN:978-7-117-26415-0
【治疗过程】
对于本病例,结合患者右足外伤史、临床表现及辅助检查诊断,考虑为血源性肺脓肿可能性大,不排除感染性心内膜炎-脓毒性肺栓塞,因此于8月25日起予以万古霉素(每次1g,1次/12小时)联合阿米卡星(每次0.6g,每天1次)治疗。8月25-29日,患者最高体温<38℃,但自8月30日起再次出现高热,体温最高达40.2℃。结合心脏超声检查结果,考虑为感染性心内膜炎、脓毒性肺栓塞所致,遂于8月31日起调整治疗方案为万古霉素(每次1g,1次/12小时)联合复方阿莫西林克拉维酸针剂(每次1.2g,1次/8小时)。治疗2天后,患者最高体温降至37.5℃以下。
9月1日,结合CTPA结果,认为可以明确诊断为感染性心内膜炎、脓毒性肺栓塞。心外科会诊认为,感染性心内膜炎诊断明确,治疗后肺内病灶已明显吸收,建议尽早手术以清除感染源。遂于9月5日在全身麻醉低温体外循环下行三尖瓣感染病灶清除术、三尖瓣成形术。三尖瓣赘生物细菌、真菌涂片及培养、抗酸染色均阴性。
术后继续以原方案进行抗感染治疗,并给予肝素、序贯华法林抗凝,国际标准化比值维持在2.0~2.5。9月27日序贯抗感染治疗方案改为口服莫西沙星(每次0.4g,1次/天)联合复方阿莫西林克拉维酸片剂(每天0.625g,2次/天)。患者病情稳定,于10月9日出院。
最后诊断:感染性心内膜炎、脓毒性肺栓塞。
患者出院后无不适主诉,生活能自理;间断监测国际标准化比值维持在1.8~2.6;11月8日停用所有抗生素;11月28日复诊后停用华法林,复查CT肺动脉成像(图6)见肺内阴影明显吸收,未见明确肺栓塞。
图6 胸部CT表现(2011-12-29)
胸部CT显示双肺病变较前明显吸收,胸腔积液已完全吸收
引自:主编:.呼吸系统疑难病例诊疗辨析.第1版.ISBN:978-7-117-26415-0
(二)临床思辨
脓毒性肺栓塞(SPE)是肺栓塞的一种特殊类型,因导致肺栓塞的栓子中存在病原微生物,可引起脓毒血症和局部化脓性感染。近年来,SPE的易患因素以置入心血管内介入装置(如起搏器、深静脉置管等)以及使用激素、多种免疫抑制剂、化疗药物等为主,而静脉应用非法药物成瘾等比例有明显下降。此外,肝脓肿也是导致SPE的少见原因。SPE缺乏特异性临床表现,以葡萄球菌和克雷伯菌为主要致病菌。近年来,间断有免疫抑制人群发生真菌性SPE的报道。SPE患者胸部CT多数表现为双肺病变,以结节、空洞、斑片影为主,常伴有胸腔积液,少数患者可有典型肺梗死表现(尖端向肺门的楔形影)。
SPE的诊断目前一般采用如下标准:①肺内存在单发或多发感染性肺栓塞病灶;②存在导致肺栓塞事件的肺外活动性感染病灶;③排除其他因素导致的肺内阴影;④抗感染治疗后肺内阴影有吸收。在临床上,对于多发的肺内感染性病灶,需要警惕是否存在SPE的可能。SPE需要与肺脓肿、非感染性肺栓塞鉴别。
对于SPE的治疗,以清除肺外感染病灶、积极合理的抗感染治疗为主。积极处理肺外感染性病灶尤为重要,需要及时清除瓣膜赘生物、置入装置等感染源。因可能导致肺梗死后出血风险增大及更多的感染性栓塞灶,不建议在感染未得到有效控制时予以抗凝治疗。若感染得以有效控制,肺栓塞仍持续存在,可考虑采取抗凝治疗。
回顾本病例的诊治过程:患者在发病前有右足外伤史,继之出现高热、咳嗽、咳黄痰、胸膜炎样胸痛,并有间断咯血,胸部CT提示短期内明显进展的双肺多发结节、空洞阴影,因此考虑血源性肺感染可能性大;一次血培养结果显示星座链球菌,但多种经验性抗感染治疗效果不理想,需要警惕其他病原体感染或感染源没有清除或反复菌栓脱落的可能;后经心脏超声和CT肺动脉成像等确诊为感染性心内膜炎、脓毒性肺栓塞;在抗生素治疗后,体温一度得到控制、肺内阴影明显吸收,但之后又反复高热,考虑感染源未清除,而积极采取心外科手术来清除感染源、修复心瓣膜,使病情得到有效控制。可见,对于感染性心内膜炎导致的SPE,在积极控制感染后,尽早清除感染源病灶,对控制病情发展和改善预后十分重要。
(黄慧 徐作军)
1.Cook RJ,Ashton RW,Aughenbaugh GL,et al.Septic pulmonary embolism :presenting features and clinical course of 14 patients.Chest,2005,128:162-166.
2.Lee SJ,Cha SI,Kim CH,et al.Septic pulmonary embolism in Korea :Microbiology,clinicoradiologic features,and treatment outcome.J Infect,2007,54:230-234.
3.Ali A,Raza S,Khan R,et al.Septic pulmonary embolism in a patient with defibrillator lead endocarditis.Am J Respir Crit Care Med,2012,185:e2.



