(一)病例信息
【病史】
男性患者,56岁,13年前起无明显诱因出现反复发热伴咳嗽、咳痰,冬季常见,抗菌药物治疗后多能好转,但仍有慢性咳嗽、咳白痰,9年前逐渐开始出现活动后气短,6年来活动耐量进行性下降。1个月前,患者无明显诱因出现咽痛、轻度咳嗽、少量白痰,应用阿奇霉素5天后自觉咽痛好转,仍有咳嗽、咳痰。继而着凉后,患者出现发热,最高体温达39℃,伴畏寒、肌肉酸痛,无寒战,伴咳嗽、咳白痰及活动后喘憋,夜间可平卧,双下肢无水肿。胸部CT示左侧多发肺大疱伴左下肺脓肿,左主支气管腔内可见钙质高密度占位。当地医院先后予阿奇霉素治疗5天,哌拉西林联合左氧氟沙星治疗2周,万古霉素联合亚胺培南治疗6天,患者症状无明显好转,遂至我院住院进一步诊治。自发病以来,患者饮食、精神可,二便正常,无乏力、盗汗,体重减轻3kg。
患者6年前因车祸右肩骨折,行手术治疗;确诊2型糖尿病1个月,现血糖控制良好;否认结核病史及接触史;否认幼儿期重症肺炎病史;从事建筑业4年余,否认粉尘、涂料、放射性物质接触史;吸烟20余年(20~30支/天),戒烟4年;饮酒30年(相当于酒精80g/d),已戒酒1个月余。其母亲患肺心病。
【体格检查】
体温36.6℃,心率72次/分,呼吸18次/分,血压125/80mmHg。全身浅表淋巴结无肿大。桶状胸,左肺语颤增强,无胸膜摩擦感,无皮下捻发感;左肺叩诊鼓音,右肺叩诊清音;左肺未闻呼吸音,右肺呼吸音清,右侧腋中线第7、8肋间可闻及吸气末细湿啰音,未闻干啰音。心律齐,未闻心脏病理性杂音。腹部查体未见异常。双侧下肢无水肿,病理反射未引出。
【实验室检查】
血常规:WBC 15.21×109/L,N% 82.64%,Hb 147g/L,PLT 218×109/L。
血气分析:pH 7.51,PaCO2 38.3mmHg,PaO2 71mmHg,SaO2 96%。
痰涂片:未见抗酸杆菌、真菌孢子及菌丝。
ANA、ANCA、抗dsDNA抗体阴性,T-SPOT阴性。
【影像学检查】
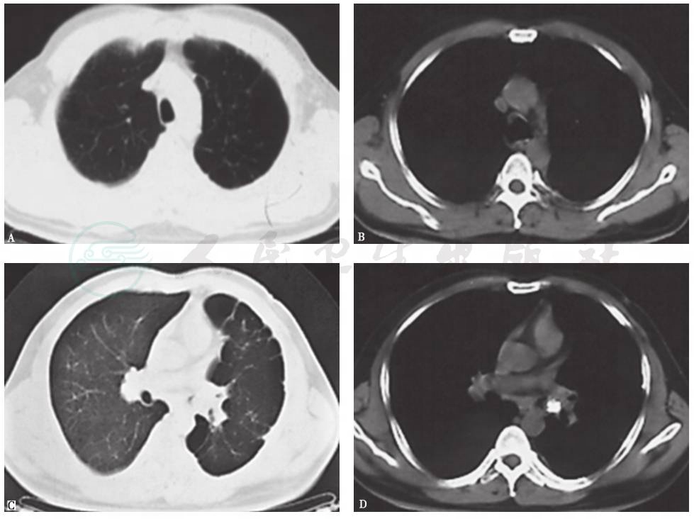
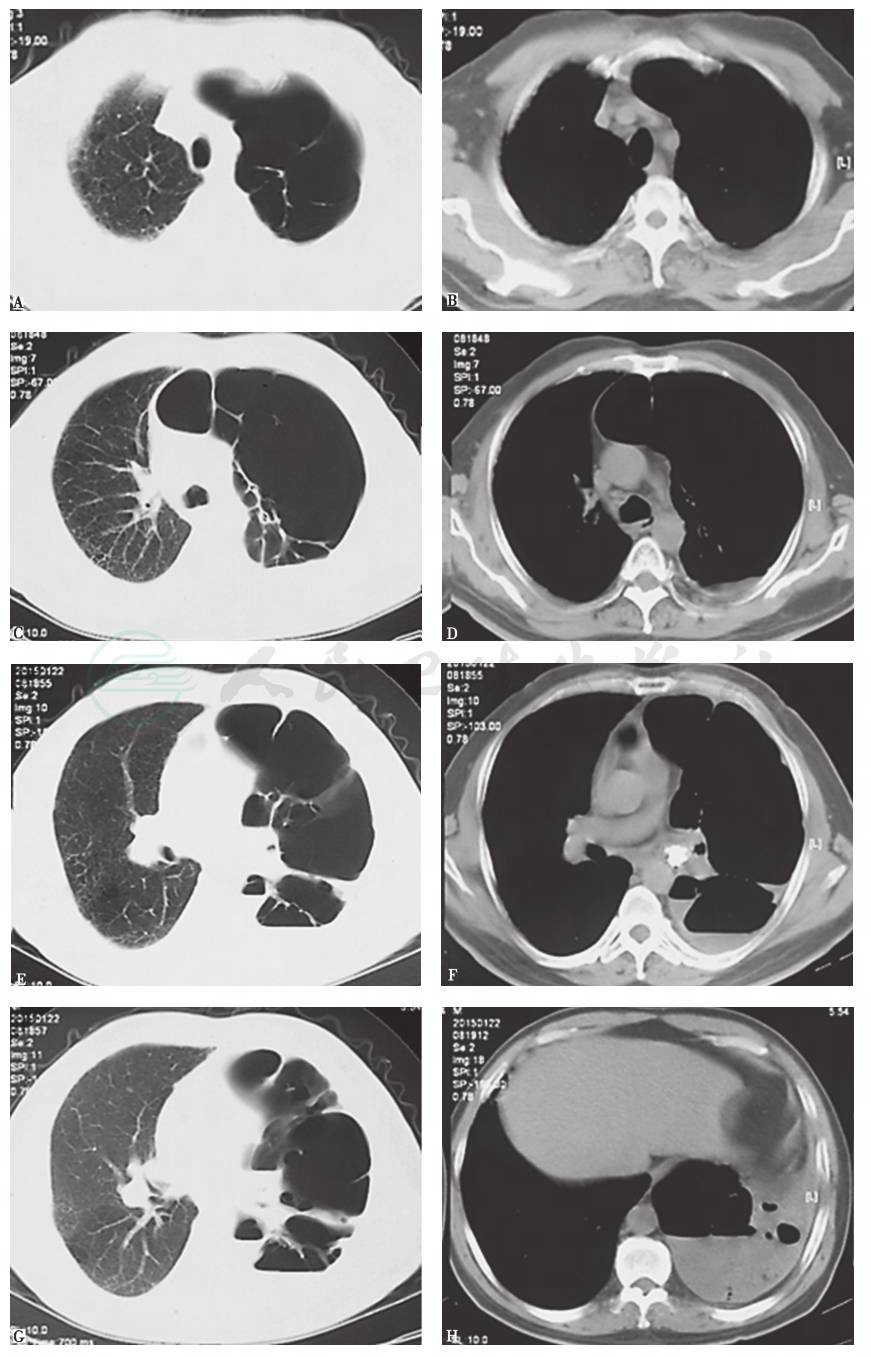
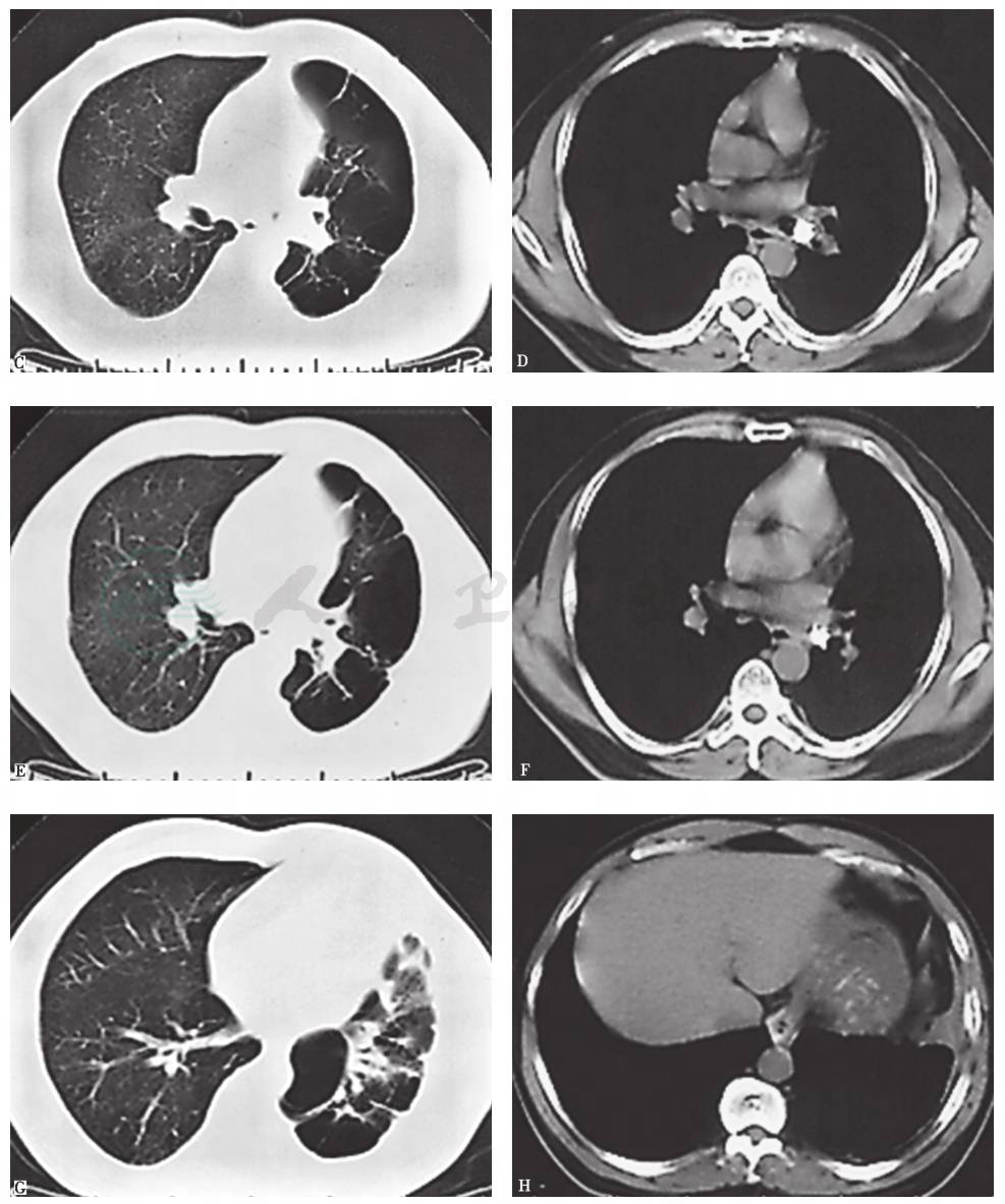
入院1个月前,胸部CT见左侧多发肺大疱,左下肺脓肿,其内见液平,左主支气管腔内高密度影,左侧少量胸腔积液(图1),抗感染治疗后未见好转(图2)。
图1 1个月前胸部CT表现
引自:主编:.呼吸系统疑难病例诊疗辨析.第1版.ISBN:978-7-117-26415-0
图2 抗感染治疗后复查胸部CT表现
引自:主编:.呼吸系统疑难病例诊疗辨析.第1版.ISBN:978-7-117-26415-0
(二)临床思辨
【临床特点】
1.患者为中年男性,病程呈慢性,病情反复发作,逐渐加重。
2.主要症状和体征为反复发作的发热、咳嗽、咳痰,逐渐出现活动耐量下降;桶状胸,左肺语颤增强,左肺叩诊鼓音,左肺未闻呼吸音。
3.实验室检查提示外周血白细胞及中性粒细胞百分比略高,免疫相关指标未见异常。
4.影像学检查显示左肺过度充气,多发肺大疱,其内可见气液平,左主支气管腔内可见钙质密度占位影。
5.先后经多种抗感染治疗,患者症状及胸部影像学表现均无好转。
【思辨要点】
本病例以反复发热、咳嗽、咳痰为主要临床表现,结合胸部影像学表现,肺部感染诊断明确。但患者本次发病后,应用多种抗生素治疗,效果不佳,可能与左肺结构异常(多发肺大疱)及引流不畅(左主支气管内占位性病变)相关。
1.本例患者左肺多发肺大疱的原因是什么?
本例患者胸部影像学检查显示左肺多发肺大疱,支气管血管束明显减少,须注意与以下疾病相鉴别。
(1)先天性发育缺陷
先天性一侧肺发育不良好发于右肺,多无临床症状,于体检时偶然发现,常伴其他器官发育异常,胸部影像学检查显示患侧肺透光度增加、血管纤细,很少并发支气管扩张或肺大疱。先天性大叶性肺气肿常见于新生儿,患儿出生不久即出现发绀症状,影像学表现为患侧肺体积增大,邻近肺组织受压不张,肺纹理纤细、稀疏。本例患者的临床特征与该病不相符合,可追溯既往影像学资料进一步确认。
(2)Swyer-James综合征
也称单侧透明肺综合征。1953年,Swyer和James首先报道了1名6岁儿童胸部X线检查显示单侧透明肺伴同侧肺动脉细小;次年,MacLeod报道了9名有类似表现的成年患者(因此,Swyer-James综合征也称为Swyer-James-MacLeod综合征或MacLeod综合征。目前认为,儿童时期(尤其是8岁前)的肺部重症感染是该病的主要病因,腺病毒、麻疹病毒、百日咳杆菌、结核分枝杆菌、支原体、呼吸道合胞病毒、流感病毒等都可为其致病病原体。8岁前,儿童肺发育尚不成熟,感染会导致细支气管结构和微血管破坏、肺间质纤维化、肺动脉发育障碍、肺泡数目减少、肺体积缩小,为维持肺容积,部分肺泡可异常扩张而出现肺气肿、肺大疱,但肺体积仍偏小,甚至出现毁损肺。该病往往在成年发病,临床表现为反复咳嗽、咳痰、咯血,少数患者可无明显症状。胸部CT是诊断此病的必要检查,特征性表现为:①患肺(常见左肺)透亮度增高,体积偏小或正常;②婴幼儿时感染肺叶毁损,但各段、叶支气管尚通畅,血管性肺纹理减少、肺动脉主干或叶动脉发育细小; ③合并支气管扩张多见;④呼气相HRCT可见马赛克征,表现为双侧闭塞性细支气管炎。本例患者否认幼儿期重症肺炎病史,胸部CT显示患侧肺体积无减小,甚至存在过度充气,因此目前无诊断Swyer-James综合征证据。
(3)结核分枝杆菌感染
广泛的肺内结核病变可导致支气管扩张、多发空洞和纤维索条形成等,造成肺结构破坏。结核毁损肺的影像学表现多为患侧胸廓塌陷、肺体积缩小,其内可见斑片、纤维索条、钙化影,合并其他病原菌感染(如细菌、真菌)时可有相应表现。本病例支气管内存在钙化病灶、抗生素治疗效果不佳,需考虑结核分枝杆菌感染可能,但患者否认结核病史或接触史,患侧肺过度充气,痰涂片抗酸染色阴性,又似乎不符合结核分枝杆菌感染特点,因此尚需多次痰涂片、支气管镜检查,甚至活检病理以进一步明确诊断。
(4)支气管占位性病变或异物
可形成活瓣,造成吸气时气体顺利进入,呼气时肺内气体排出受阻,使患侧肺内含气增多,肺野透亮度增加。本例患者存在支气管内占位性病变,纵隔向健侧移位,可能因占位性病变形成活瓣导致气体潴留,充气量逐渐增大,破坏肺泡壁,形成肺大疱。另外,左主支气管阻塞,左肺引流不畅,易发生难以控制的感染,而反复感染又会加重肺组织的破坏。因此,本病例由左主支气管内占位导致左肺毁损的可能较大,需进一步确定气道内占位病变的性质。
2.如何判断本病例左主支气管内占位性病变性质?
支气管阻塞的原因主要为异物吸入、支气管结核及支气管内肿瘤等。本例患者无异物吸入病史,故暂可排除此病因。支气管结核为结核分枝杆菌侵犯黏膜下层和软骨,造成管壁不规则增厚、扭曲,管腔扩张或狭窄,较常见管壁内斑点状或砂粒样钙化较常见,极少见管腔内隆起,常伴有肺部结核播散病灶。原发性支气管内肿瘤虽然较少见,但是临床上气道狭窄和阻塞的常见原因之一,可导致呼吸困难及反复肺部感染。良性或低度恶性肿瘤生长缓慢,早期症状不明显,患者多于病程晚期、发生严重通气障碍时就诊,X线胸片常无阳性发现,极易误诊、漏诊。其中,良性占位性病变主要包括炎性肉芽肿、炎性息肉、纤维瘤、错构瘤、平滑肌瘤、软骨瘤、神经纤维瘤、脂肪瘤等;恶性肿瘤多为类癌、黏液表皮样癌、腺样囊性癌等。本例患者的胸部影像学检查显示,占位性病变边缘尚光滑,不伴明显纵隔淋巴结肿大或肺内病灶,故考虑良性可能性大。
综上,下一步诊疗计划包括:①继续完善检查并进行抗感染治疗;②追踪既往影像学资料,以明确肺部结构改变出现时间及左主支气管内占位性病变变化;③完善支气管镜检查,包括镜下活检。
(一)临床信息
【实验室检查】
血常规:WBC 5.5×109/L,N% 70.6%,Hb 122g/L,PLT 286×109/L。
血气分析:pH 7.45,PaCO2 43mmHg,PaO2 68mmHg,HCO3- 29.9mmol/L,SaO2 94%。
ESR:77mm/1h;CRP:98mg/L;PCT:阴性。
多次痰涂片抗酸染色阴性。
【影像学检查】
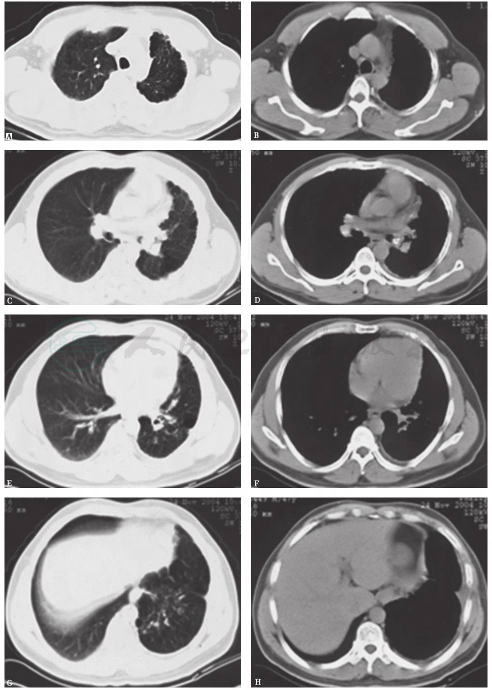
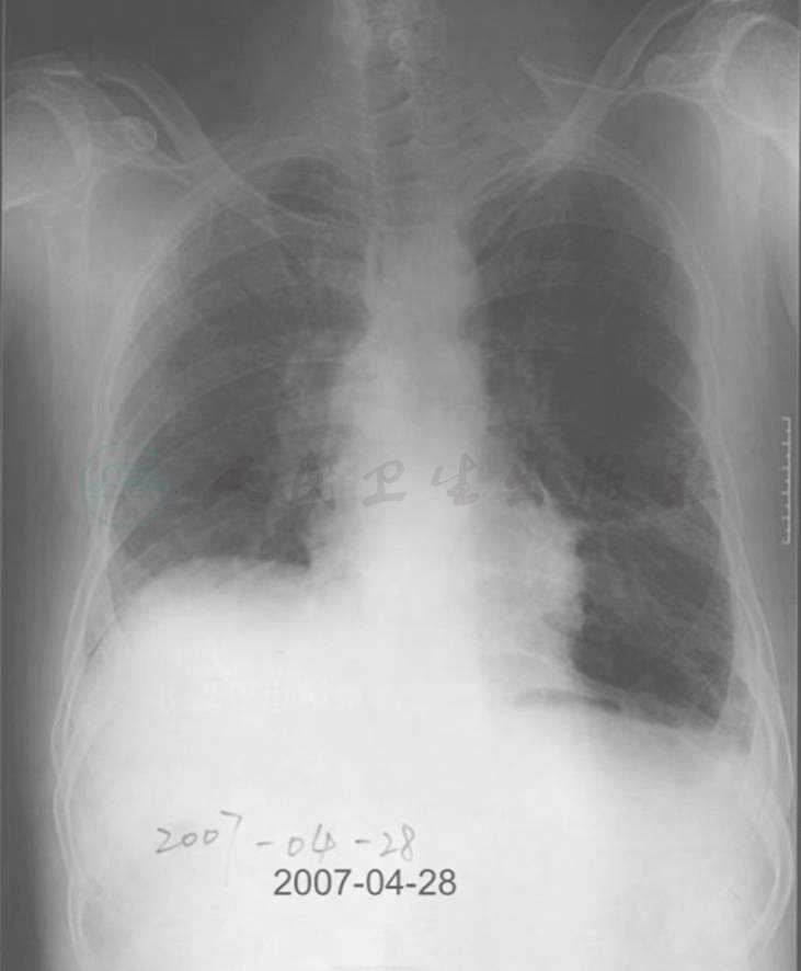
近13年来,患者胸部X线和CT均表现为左肺从初始体积大致正常,逐渐出现左肺体积减小,肺实质高密度影肺炎样改变;随着病情发展出现多发肺大疱、肺脓肿和肺毁损(图3~图10),并见左主支气管内病灶逐渐增大,最终导致管腔闭塞。
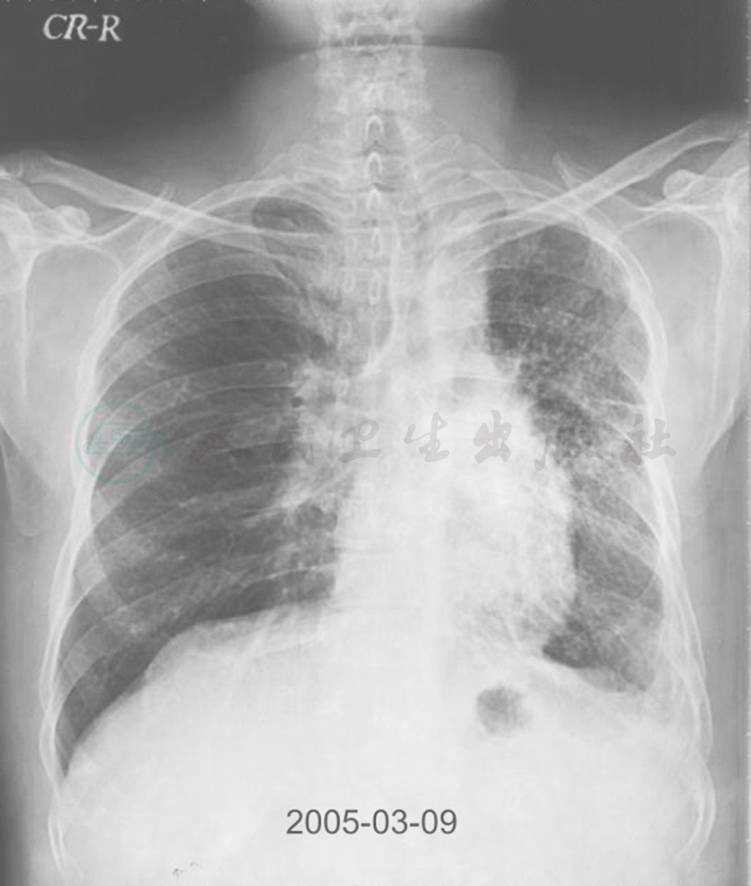
图3 12年半前胸部X线表现
胸部X线除左上肺透过度略增墙外,双肺体积大致正常
引自:主编:.呼吸系统疑难病例诊疗辨析.第1版.ISBN:978-7-117-26415-0
图4 10年半前胸部CT表现
胸部CT可见左主支气管被高密度钙化灶不全阻塞,左肺体积缩小,但透过度略有增高,同时伴左侧胸膜弥漫性增厚
引自:主编:.呼吸系统疑难病例诊疗辨析.第1版.ISBN:978-7-117-26415-0
图5 10年前胸部X线表现
胸部X线可见右肺体积明显增大,透过度增加,而左肺体积相对缩小
引自:主编:.呼吸系统疑难病例诊疗辨析.第1版.ISBN:978-7-117-26415-0
图6 8年前胸部X线表现
胸部X线片可见右肺体积略有缩小,而左上肺体积明显增大伴多发大疱形成,肋膈角变钝,透光度明显增加
引自:主编:.呼吸系统疑难病例诊疗辨析.第1版.ISBN:978-7-117-26415-0
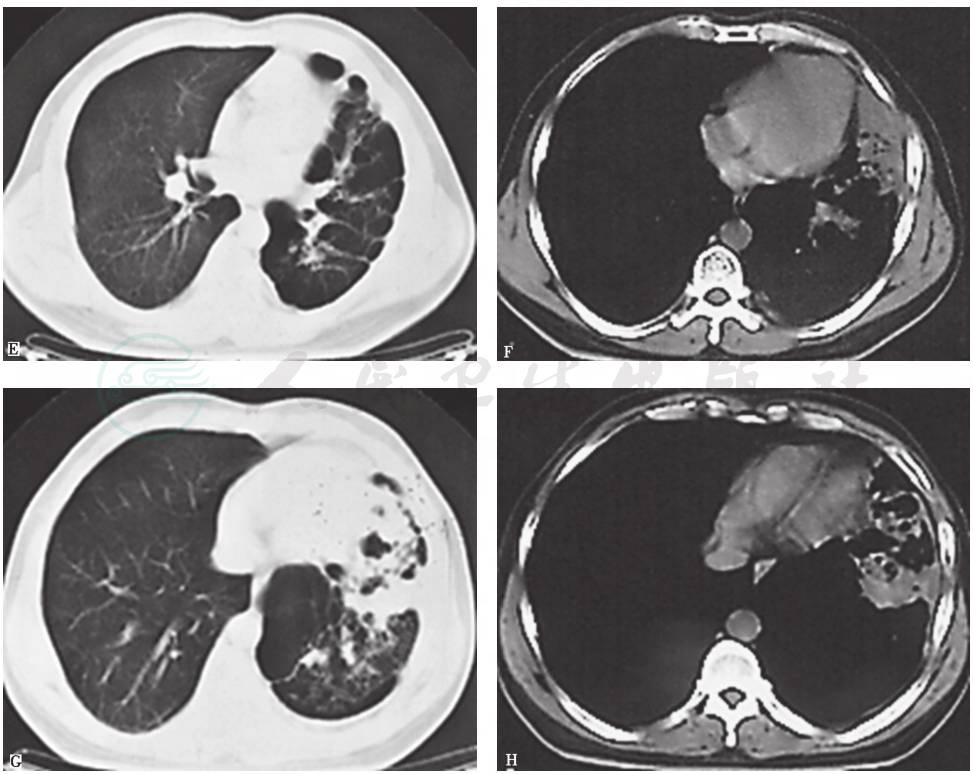
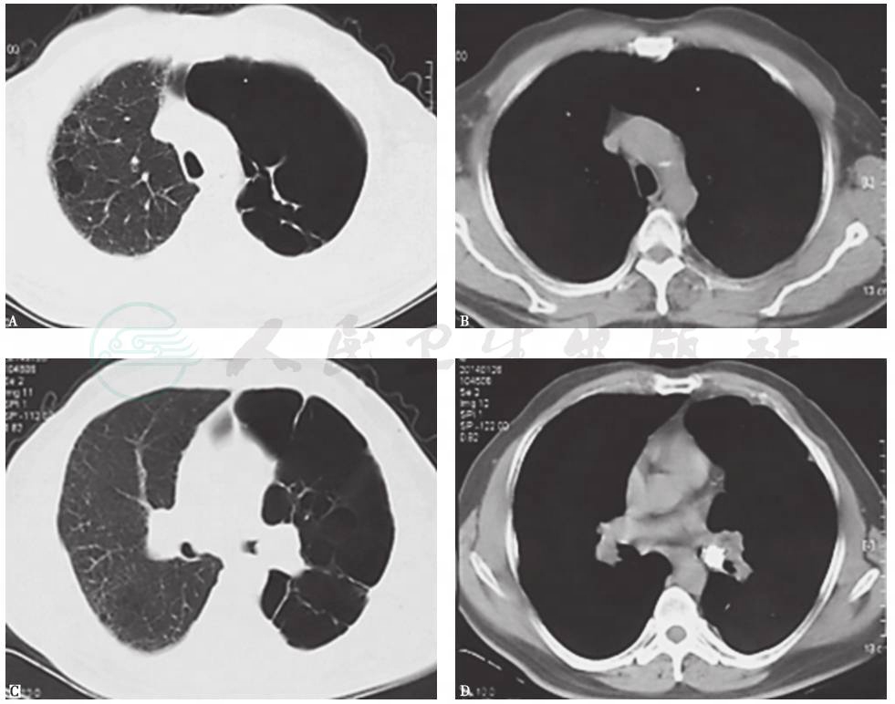
图7 6年半前胸部CT表现
胸部CT可见左主支气管被高密度钙化灶阻塞进一步加重,但左上肺体积增大含气增多,左下肺略缩小伴局限性斑片状高密度病灶和膨胀不全;右肺代偿性含气增多;左侧胸膜弥漫性病变减轻
图8 4年半前胸部CT表现
胸部CT可见左主支气管被高密度钙化灶阻塞进一步加重,管腔几近完全阻塞,左肺体积略缩小伴局限性不张,左上肺代偿性肺气肿和肺大疱进一步加重;右肺代偿性含气增多;未见左侧胸膜病变
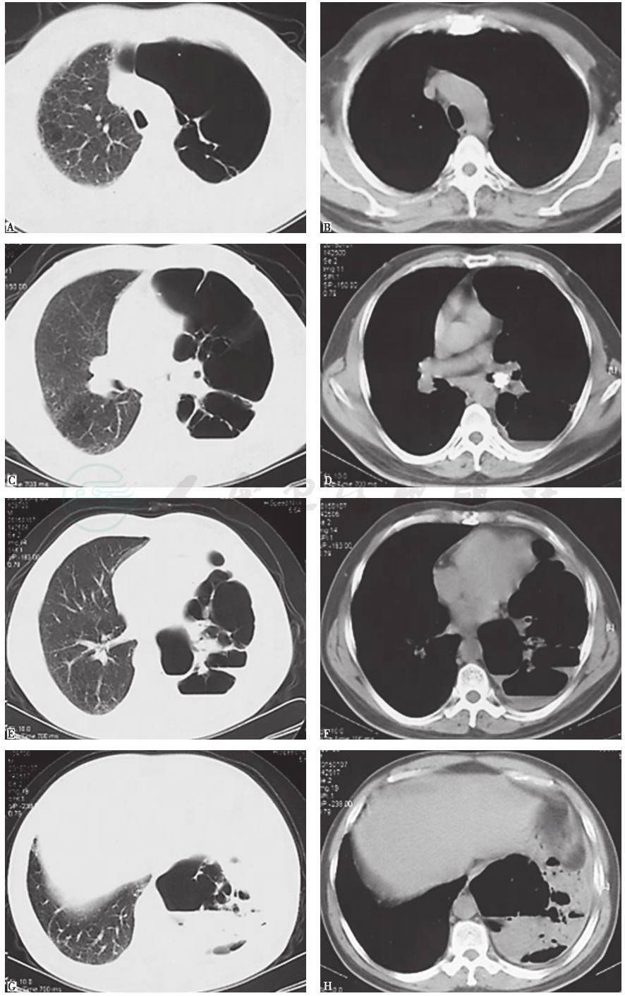
图9 2年半前胸部CT表现
胸部CT可见左主支气管被高密度钙化灶管腔几近完全阻塞,左上肺代偿性肺气肿和肺大疱进一步加重,左下肺体积略增大伴多发肺大疱,并见左下肺前内基底段实变;右肺代偿性含气较前有所减轻
图10 1年前胸部CT表现
胸部CT可见左主支气管病灶同前,左上肺代偿性肺气肿和肺大疱进一步加重,左下肺多发肺大疱增多,左下肺前内基底段实变仍存在;右肺代偿性含气未见加重
【支气管镜检查】
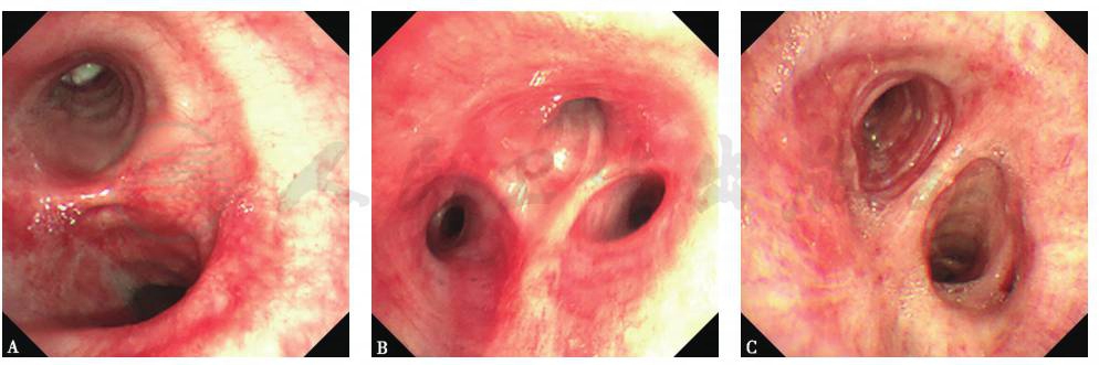
患者入院后,行支气管镜检查、占位性病变表面刷检涂片及活检,结果见图11~图13。
图11 支气管镜检查镜下表现
左主支气管远端见球形新生物,表面覆盖白色坏死物,管腔完全阻塞
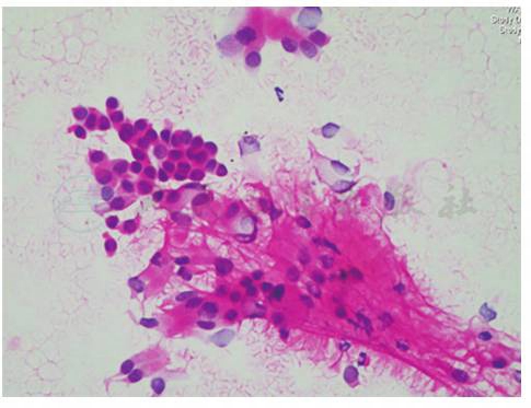
图12 左主支气管新生物涂片
血性背景中可见少量支气管黏膜上皮细胞、散在淋巴细胞及中性粒细胞(HE染色,400×)
引自:主编:.呼吸系统疑难病例诊疗辨析.第1版.ISBN:978-7-117-26415-0
图13 经支气管镜左主支气管新生物活检
支气管黏膜组织慢性炎症改变(HE染色,100×)
引自:主编:.呼吸系统疑难病例诊疗辨析.第1版.ISBN:978-7-117-26415-0
(二)临床思辨
根据上述临床资料,我们继续回答之前的问题:
1.本例患者左肺逐渐出现多发肺大疱的原因是什么?
追溯患者既往影像学资料可了解以下信息:12年半前,X线胸片示左肺体积尚正常;10余年前,胸部CT即示左主支气管占位性病变存在,其体积及内部钙化灶逐年增大,左肺因左主支气管阻塞,肺内气体吸入受阻,形成部分肺体积膨胀不全;8年前,左肺开始出现过度充气,肺野透亮度开始增加,考虑为占位性病变形成活瓣,随着充气量增大,形成多发肺大疱,同时因反复合并肺内感染,加重了肺组织的破坏,最终导致目前的影像学表现。因患者胸部影像学异常表现并非在出生或幼年时即存在,为成年后获得性,故其左侧含气增多并非先天性发育缺陷及Swyer-James综合征所致。
10年前,患者左肺组织尚未完全破坏时,肺内未见结核病灶。这种情况很少见于支气管结核,且支气管镜下直视局部病变以及刷检、活检未见相关阳性证据。本病例支气管镜检查见支气管内占位性病变表面光滑,周围气道光滑,未见干酪样坏死组织,病理检查未见肉芽组织,不支持支气管结核诊断。
综合分析本病例较长的病程及支气管镜下表现、刷检和活检病理结果,目前考虑其占位性病变为良性肿瘤可能性大,进一步明确诊断须完善病变大体病理检查。另外,切除占位性病变有助于改善气道阻塞及反复感染。
2.对于本例患者,可以选择何种方案解除气道阻塞?
一般情况下,支气管镜下圈套器切除或氩气刀切除气管内肿物对患者损伤小,尤其是针对气管内良性肿物,在目前经支气管介入治疗条件成熟情况下应为首选。但本例患者影像学检查显示目前左肺残存正常肺组织极少,解除阻塞后左肺呼吸功能仍难以恢复,而且今后面临反复感染问题,因此左侧全肺切除可能是最佳治疗选择。下一步须完善检查,明确患者左肺残存功能,并评估其是否能耐受左侧全肺切除术。
(一)临床信息
【辅助检查】
1.肺灌注显像
静脉注射99mTc-MAA后肺血流灌注显像示右肺显影清晰,形态正常,放射性分布欠均匀(图14A);左肺呈放射性缺损区(图14B)。
图14 静脉注射99mTc-MAA后肺血流灌注显像
引自:主编:.呼吸系统疑难病例诊疗辨析.第1版.ISBN:978-7-117-26415-0
2.肺功能检查
余肺FEV1 0.82L(>0.8L),DLCO 76.1%预计值,MVV 58.3%预计值。
【治疗过程】
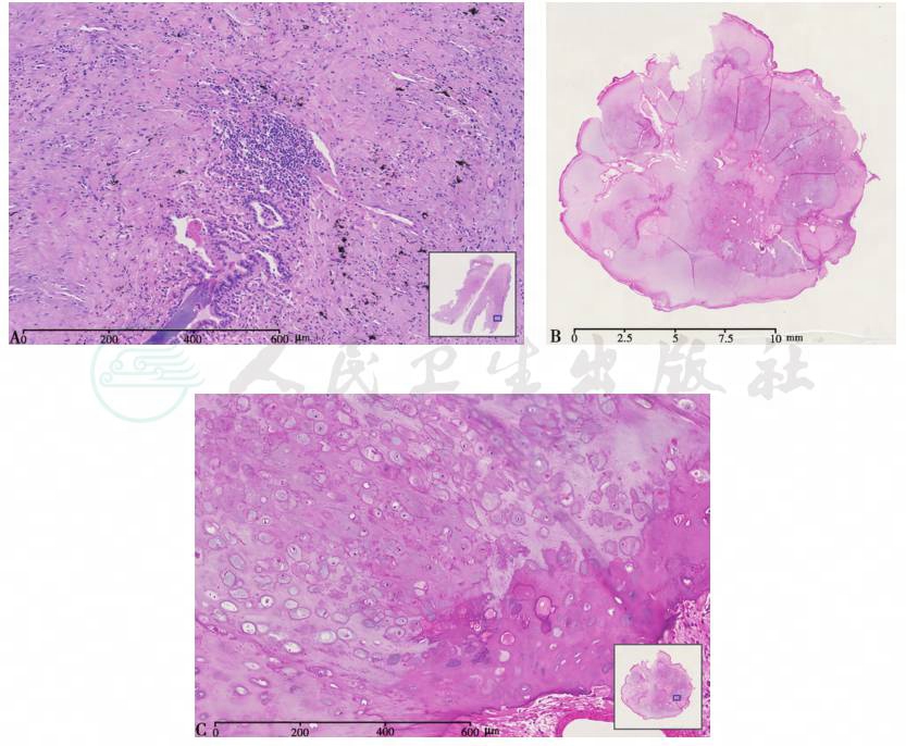
经规律抗感染治疗10天后,患者体温恢复正常,肺灌注显像证实患者左肺无功能,肺功能检查明确患者可耐受一侧全肺切除术,遂对患者行外科手术,切除左肺及左主支气管肿物并做病理检查 (图15、图16)。
图15 左主支气管内占位性病变标本
引自:主编:.呼吸系统疑难病例诊疗辨析.第1版.ISBN:978-7-117-26415-0
图16 左肺标本病理表现
肺组织正常结构基本消失,以纤维囊壁组织为主,肺组织支气管周灶状淋巴细胞浸润,结合临床表现,考虑符合肺大疱表现 (A.HE染色,100×);左主支气管肿物为以软骨为主要成分的肺错构瘤(B.HE染色,4×;C.HE染色,100×)
引自:主编:.呼吸系统疑难病例诊疗辨析.第1版.ISBN:978-7-117-26415-0
最后诊断:左主支气管错构瘤,肺大疱合并感染。
(二)临床思辨
最终经术后病理证实,本例患者左主支气管内占位性病变为错构瘤。
肺错构瘤是最常见的肺部良性肿瘤,占全部肺良性肿瘤的75%,好发于中年男性,多为单发。肺错构瘤主要由不同比例的间叶组织(如软骨、脂肪、平滑肌、结缔组织)组成,夹杂呼吸道上皮,切除后预后良好,较少复发或发生肉瘤变。肺错构瘤可根据发生部位分为肺实质内型和支气管内型,根据病理成分分为软骨型和平滑肌型。肺实质内型错构瘤多位于周边肺,患者多无症状,常偶然发现;支气管内型错构瘤常阻塞气道,患者可出现持续或反复同一部位肺部感染表现或反复咯血。影像学检查对肺错构瘤的诊断有一定帮助,但仅10%~15%患者出现典型的爆米花样钙化(软骨样钙化)表现,肿物多为圆形或类圆形,无分叶或浅分叶,边缘光滑,内含有CT值-140HU~-40HU的局限性脂肪组织或与脂肪区共存的CT值>170HU的钙化灶,肺门及纵隔多无肿大淋巴结。支气管内型瘤体呈光滑、质韧半球形肿物,基底较宽或有蒂。支气管镜下活检或穿刺活检常因成分多样、质硬、被覆反应增生的柱状纤毛上皮而难以获得有价值的标本,因而确诊率均较低(为10%~20%)。因此,对于支气管内型错构瘤,均应切除。对于早期患者,可行内镜下切除,创伤小且并发症少;对于无法行内镜下切除或复发者,需要外科切除肿瘤;对于形成肺实质损毁者,需要行肺叶切除。
肺部良性肿瘤本身发病率较低,支气管内型错构瘤占肺错构瘤比例也较低,导致漏诊率高。对于单侧肺反复感染的病例,须考虑中心型肿瘤或支气管内肿瘤导致阻塞性肺炎的可能。本例患者在长期病程中,多次影像学检查提示左主支气管内占位性病变,但未引起临床医师高度重视,未行支气管镜检查,未明确占位性病变性质,最终病变进展为左侧毁损肺。因此,对于肺内同一部位反复或持续感染,不要只考虑抗感染,解一时“燃眉之急”,暂时的临床“治愈”可能导致隐匿病情的延误。
肺错构瘤可发生于肺实质内,也可发生于支气管内。支气管内型错构瘤症状出现早,有时难以根据影像学表现明确诊断,支气管镜下活检病理准确诊断率亦较低,需要及时切除治疗。该病首选内镜下切除,阻塞支气管造成肺不可逆病损时需行肺叶切除,整体预后良好。
(暴婧 高占成)
1.Tortajada M,Gracia M,Garcia E,et al.Diagnostic considerations in unilateral hyperlucency of the lung(Swyer-James-MacLeod syndrome).Allergol Immunopathol(Madr),2004,32:265-270.
2.da Silva PS,Lopes R,Neto HM.Swyer-James-MacLeod syndrome in a surgically treated child :a case report and brief literature review.J Pediatr Surg,2012,47(4):e17-22.
3.Alfageme I,Perez-Ronchel J,Reyes N,et al.Endobronchial hamartoma diagnosed by flexible bronchoscopy.J Bronchology,2002,9:212-215.
4.Dimitrakakis G,Challoumas D,Rama Rao Podila S,et al.The challenge of pulmonary endobronchial chondromatous hamartomas.J BUON,2014,19:60-65.



