(一)病例信息
【病史】
男性患者,45岁,以反复咳嗽、咳痰、发热、胸痛2个月入院。2个月前,患者出现阵发性咳嗽,咳黄痰,体温波动于37~38℃,双侧胸部阵发性闷痛,以深吸气及体位变化时明显,体温可自行降至正常,症状反复,未重视。12天前,患者再次出现发热,体温38.5℃,伴有咳嗽、咳黄黏痰,双侧胸部闷痛加重,体温不能自行下降,于外院就诊,初步诊断为“双肺炎症”。经抗感染、退热等对症治疗后,患者症状好转。6天前,患者体温再次升高(达39.0℃),伴咳嗽、咳黄痰、胸痛,于我院门诊就诊,诊断为肺部感染。经头孢他啶联合左氧氟沙星抗感染治疗,患者体温有所下降(波动于37~38.5℃),但咳嗽、咳黄痰、胸痛无好转。
患者确诊鼻咽癌6年,曾接受放化疗30余次,未见复发;口咽部出血(表现为涕中带血、回吸性血痰)1年,每次量50~100ml,经外院对症治疗后好转。
【体格检查】
体温38.2℃,心率96次/分,呼吸21次/分,血压131/86mmHg,SpO2 92%(FiO2 21%)。神志清醒,精神状态一般,全身浅表淋巴结未触及肿大。口唇无发绀、苍白。双侧扁桃体Ⅰ度肿大。双肺可闻弥漫性干、湿啰音。心律齐,各瓣膜未闻病理性杂音,无心包摩擦音。腹部查体未见阳性体征。双下肢无水肿。
【影像学检查】
鼻咽MRI:可见鼻咽癌放化疗后改变,鼻咽部未见明显肿瘤残留或复发。
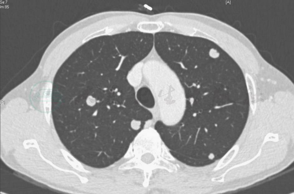
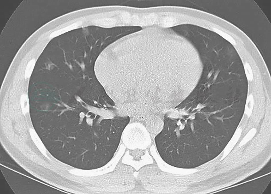
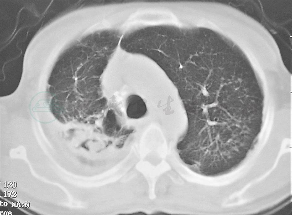
胸部CT:可见双肺多发病变、部分实变,左肺下叶背段部分支气管轻度扩张,肺门及纵隔内有数个轻度肿大淋巴结。
(二)临床思辨
【病例特点】
1.患者为中年男性,亚急性起病。
2.主要症状和体征为反复发热,伴咳嗽、咳黄痰、胸痛;双肺呼吸音粗,可闻及弥漫性粗湿啰音。
3.影像学检查显示病变累及双肺多个部位,部分可见实变,左肺下叶背段部分支气管轻度扩张,肺门及纵隔内有数个轻度肿大淋巴结。
4.外院抗感染处理后病情一度好转,但病程反复,胸部影像学表现进展。
【思辨要点】
咳嗽、咳痰、胸痛、肺内湿啰音或哮鸣音是肺部疾病的常见症状和体征,无病因特异性。其中,发热伴肺部症状、肺实变伴典型支气管充气征常见于肺炎、肺部肿瘤、成人Still病以及急性纤维素性渗出性肺炎(acute fibrinous and organizing pneumonia,AFOP)等。
在确立诊断的过程中需要思考:导致患者出现上述临床表现的病因可能有哪些?
(1)肺炎
感染是发热伴肺部病变最常见的原因。本病例的总体临床过程与肺部炎症一致,但仍需完善实验室检查以明确病原。在经验性抗感染治疗过程中观察病情有助于鉴别诊断。
在临床上,肺炎可依据感染病原的不同分为普通感染和特异型感染。前者的致病病原体包括常见的细菌、病毒和真菌,后者的致病病原体主要包括结核分枝杆菌、非结核分枝杆菌和诺卡菌等。
病毒性肺炎:严重急性呼吸道综合征(severe acute respiratory syndrome,SARS)、中东呼吸综合征(middle east respiratory syndrome,MERS)或H1N1等流感病毒(图1)所致的病毒性肺炎,常发病急骤,胸部影像学表现主要为间质性病变,可在数天内进展为“白肺”。腺病毒所致的病毒性肺炎可出现肺实变表现,该病多发生于儿童,但也有成年人发病的报道,除累及肺部以外,还可累及肝、肾、血液系统等,其病程有自限性。本例患者的临床表现与上述情况不符,可检测呼吸道病原协助鉴别。
细菌性肺炎:本例患者入院前曾使用三代头孢、喹诺酮类药物。这些药物覆盖了常见革兰阳性菌、革兰阴性菌、非典型病原,未覆盖耐药的革兰阳性菌和革兰阴性菌。耐药革兰阳性菌主要指耐甲氧西林金黄色葡萄球菌(MRSA),其所致感染发展迅速,临床表现较重,有咳脓痰的症状,外周血白细胞水平极高,胸部影像学表现可为多发肺气囊样改变。本例患者的临床和胸部影像学表现与此不符,因此为MRSA感染的可能性小,但尚不能完全排除之。另外,患者在本次入院治疗前,曾在外院辗转治疗,不排除继发耐药革兰阴性杆菌感染可能,需要进行多次呼吸道分泌物找病原等检查来鉴别。
真菌感染:本例患者外观消瘦,曾在外院接受广谱抗生素治疗,需注意念珠菌二重感染可能(念珠菌性肺炎可表现为肺实变影),需积极寻找病原学依据以助鉴别。另外,曲霉菌感染常继发于免疫功能低下的情况,病情进展迅速且凶险,其典型胸部影像学表现为晕征和新月征(图2),与本例患者情况不符,可基本排除。
图1 H1N1感染胸部影像学表现
胸部CT可见双肺多发小斑片磨玻璃实变影
图2 肺曲霉菌病胸部影像学表现
胸部CT可见右上肺肿块样高密度影,伴支气管充气征
特殊感染:本例患者外观消瘦,双肺多发病变,抗感染治疗后病情反复,须注意排除肺结核,尤其肺结核所致干酪性肺炎(图3、图4)。肺结核的胸部影像学表现可为实变,密度多不均匀(中心密度高,边缘模糊),其中可有多个融合区,好发于上叶尖后段和下叶背段,病变肺段体积缩小,胸廓塌陷,大多数同时可见空洞、钙化、卫星灶等,由于沿支气管传播,病变多在相邻的多叶段内。本例患者的胸部影像学表现与此不符,可进一步查PPD、T-SPOT检测、痰抗酸染色等以排除该病。
综上所述,本病例为病毒感染可能性小,耐药革兰阴性菌感染可能性相对较大,不排除MRSA感染可能,另外还须进一步鉴别有无结核分枝杆菌、非结核分枝杆菌、真菌等特殊病原菌感染,需要完善相关检查。同时,还应注意排除非感染性疾病。
图3 干酪性肺炎胸部影像学表现
胸部CT可见右上肺大片高密度实变影,伴支气管充气征
图4 干酪性肺炎胸部影像学表现
胸部CT可见双中下肺可见较弥漫斑片状高密度影,病灶沿支气管分布,并见树芽征
(2)肺部恶性肿瘤
一般来说,对于年龄在40岁以上患者的难治肺炎表现,应警惕肺部恶性肿瘤的可能。
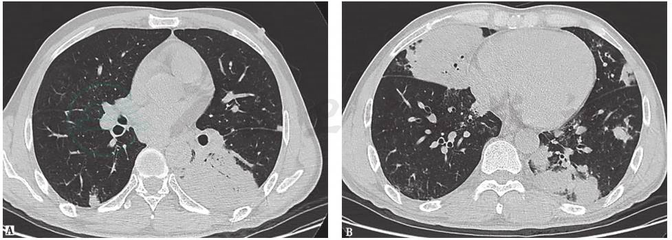
鼻咽癌肺部转移:本例患者既往有鼻咽癌病史,因此首先需注意其有无肺内转移性恶性肿瘤可能。相关检查未发现患者鼻咽癌有复发迹象。另外,转移性肺部肿瘤(图5)多为血源传播,胸部CT表现多为单发或多发肺部结节影,CT增强可见不均匀强化,而本例患者的胸部CT表现为多发实变影。因此,本病例的表现与鼻咽癌肺部转移不符。
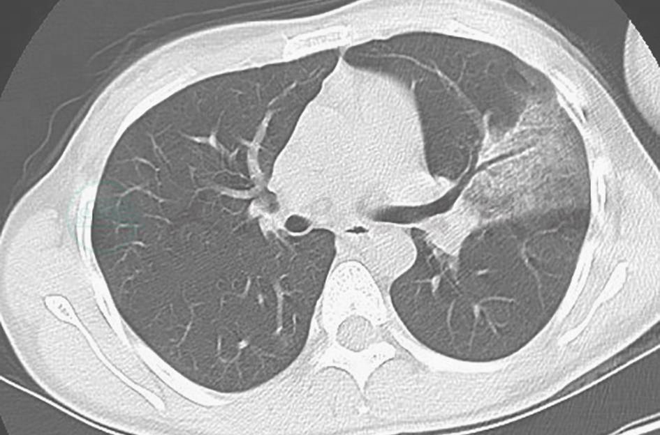
细支气管肺泡癌:肺炎型细支气管肺泡癌为一种肺腺癌,可表现为多发肺实变影,抗感染治疗无效。胸部CT显示肺内实变影,受累支气管曲折、僵直、不规则狭窄、中断等,呈枯枝征,可见空泡征或磨玻璃样改变,病变周围毛刺样改变或胸膜牵拉征等有助于鉴别(图6)。根据活检病理结果可明确诊断。
图5 肺转移性肿瘤胸部影像学表现
男性,71岁,前列腺癌肺转移,胸部CT可见双肺多发类圆形结节影
图6 细支气管肺泡癌胸部影像学表现
胸部CT可见左上叶舌段大片磨玻璃影
全身血液系统肿瘤肺部浸润:例如,肺黏膜相关淋巴瘤可出现肺部实变影,支气管充气征达远端实变肺野(图7)。该病诊断较困难,也较少发生,主要依据骨髓、淋巴结、肿瘤活检等检查明确诊断。本例患者反复发热,有患该病可能,需进一步检查鉴别。
图7 肺黏膜相关淋巴瘤胸部影像学表现
胸部CT可见双肺中下大片磨玻璃高密度及实变影,并见支气管充气征
(3)成人Still病
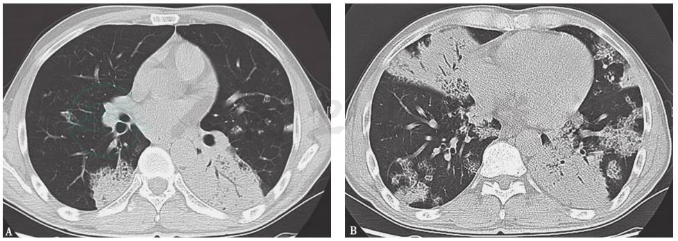
患者反复发热、抗感染治疗效果欠佳,需注意与成人Still病肺内表现相鉴别。该病的主要表现为间质性肺炎、浸润性肺炎和胸膜炎(图8),多伴有关节疼痛或肿胀、皮疹,可累及多个系统。其诊断需在排除器质性疾病后方能做出。对于本病例,目前还有待完善相关检查,以排除之。
图8 成人Still病胸部影像学表现
胸部CT可见双上肺间质性改变、实变和胸腔积液,其中右侧更为明显
(4)急性纤维素性渗出性肺炎(AFOP)
亚急性起病,临床和影像学表现(图9)无特异性,诊断主要依赖于肺组织活检。
图9 急性纤维素性渗出性肺炎胸部影像学表现
胸部CT可见以左下肺受累为主的实变影
(5)其他结缔组织疾病肺损害
往往伴有肾、关节、皮肤、肌肉和血液等多系统损伤,单一肺组织受累者少见,常有弥漫性间质损伤或弥漫性肺泡出血,影像学表现可为肺实变影,常见肺泡出血,如血管炎累及可出现咯血(图10)。本例患者未出现类似关联病症,故发生结缔组织疾病肺损害的可能性不大,但仍需进一步检查相应临床指标以排除之。
图10 ANCA相关性血管炎胸部影像学表现
胸部CT可见右中上肺高密度实变影伴空洞性改变
(一)临床信息
【实验室检查】
1.血常规
WBC(12.1~14.0)×109/L,N% 72.0%~86.7%,Hb 55~99g/L,PLT(485~608)× 109/L,网织红细胞(reticulocyte,RC)1.4%,铁蛋白681.10mg/L。
2.凝血功能
PT 15.0s,FIB 7.44g/L,D-二聚体 1.02μg/ml。
3.生化
①入院时,ALB 33g/L,ALT 108U/L,AST 67U/L;②经保肝治疗后,ALB 27g/L,ALT 64U/L,AST 37U/L。
4.血气分析(FiO2 29%)
pH 7.482,PaCO2 32.1mmHg,PaO2 91.8mmHg,SaO2 98.1%,HCO3- 25.3mmol/L,氧合指数 316mmHg。
5.感染相关检查
CRP(多次)106.00~128.00mg/L;PCT 0.46ng/ml;ESR 96~124mm/1h;EBV-IgG阳性;呼吸道感染多种病原体抗体、HIV均阴性;痰涂片(共2次,痰标本合格)检出革兰阳性球菌(2次),酵母样真菌少许(1次);痰培养见白色念珠菌(1次);支气管肺泡灌洗液培养阴性(细菌+真菌);支气管分泌物培养(细菌+真菌)见白色念珠菌;G试验、GM试验均阴性;新型隐球菌荚膜抗原测定阴性。T-SPOT、结核分枝杆菌抗体、PPD试验均阴性;支气管肺泡灌洗液、支气管分泌物未检出抗酸杆菌。血培养2次均阴性。
6.免疫相关检查
体液免疫、T细胞亚群正常;自身抗体(ANA、抗Ro-52)阳性,其他(包括RF、抗CCP、抗dsDNA、Sm抗体、抗线粒体抗体等)均阴性。
【影像学检查】
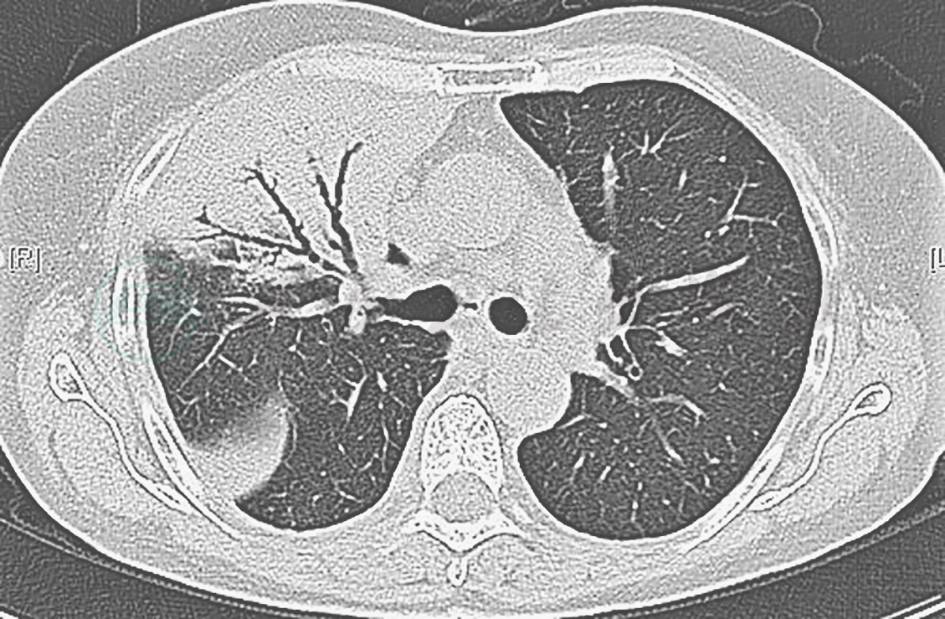
胸部CT:双肺多发高密度实变影,病灶以双肺中下为主(图11)。
图11 入院后复查CT表现
【支气管镜检查】
镜下见气道炎症反应,气道刷检未见肿瘤细胞。
支气管肺泡灌洗液细胞学检查:灌洗液为白色浑浊液体;细胞分类为中性粒细胞46%,淋巴细胞25%,嗜酸细胞5%,巨噬细胞8%,单核细胞16%;未见肿瘤细胞;PAS染色阴性,六胺银染色见少量菌团。
支气管黏膜活检(左下叶背段肺组织):细支气管肺泡上皮轻-中度不典型增生,少量慢性炎症细胞浸润,间质纤维增生。
【治疗过程】
经美罗培南联合左氧氟沙星静脉治疗2天,美罗培南联合万古霉素静脉治疗9天,患者体温未下降,反而升高(达40.6℃),咳痰量减少。
(二)临床思辨
患者入院后所做系列检查显示:①患者炎症指标、血沉均有升高,支气管镜检查见气道炎症反应,BALF细胞分类可见中性粒细胞、淋巴细胞和单核细胞均有增多,存在感染可能,但不能排除非感染因素所致;②痰培养阴性,G试验、GM试验、新型隐球菌荚膜抗原测定均阴性,不支持曲霉菌、念珠菌、隐球菌感染诊断;③结核相关检测均阴性,不支持肺结核诊断;④血气分析示低氧血症,与肺部病变范围大相关;⑤凝血检查提示高凝状态(本例患者有肿瘤、炎症等高凝危险因素);⑥自身抗体阴性,但结合其他临床表现,暂不考虑结缔组织疾病;⑦支气管镜检查见肺内气道通畅,未见任何阻塞征象,故基本可以排除阻塞性肺炎;⑧支气管黏膜活检示细支气管肺泡上皮轻-中度不典型增生,此表现虽然可见于非癌性疾病(如肺结核、机化性肺炎、肺梗死及支气管扩张症等),但也需警惕肺部肿瘤;⑨胸部CT可见病灶进展;⑩经验性抗感染治疗反应差。
以上检查结果显示支持感染的证据不足,但仍不能完全排除,也不能排除肺部肿瘤可能(不能排除肿瘤性发热),需完善相关检查以明确诊断。
(一)临床信息
全身PET-CT:①右肺中叶、左肺下叶见团片状密度增高影,双肺野斑片状、结节状密度增浓影,代谢增高,气管隆嵴下间隙见高代谢结节影,不能排除恶性病变;②纵隔内见多发肿大淋巴结,代谢未见增高。
骨髓穿刺:可见中性粒细胞比例增多、核左移,血小板增多,增生性贫血。骨髓活检病理结果提示骨髓增生活跃,无骨髓纤维化,无特异性炎症及转移瘤。
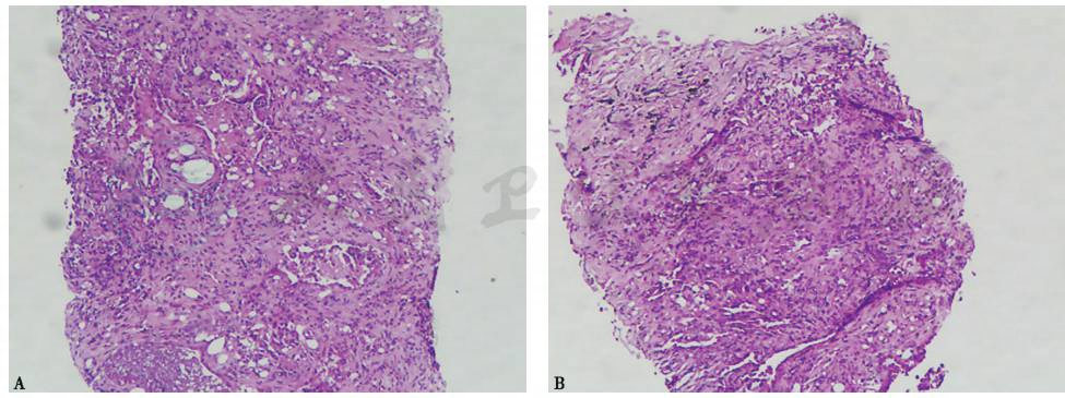
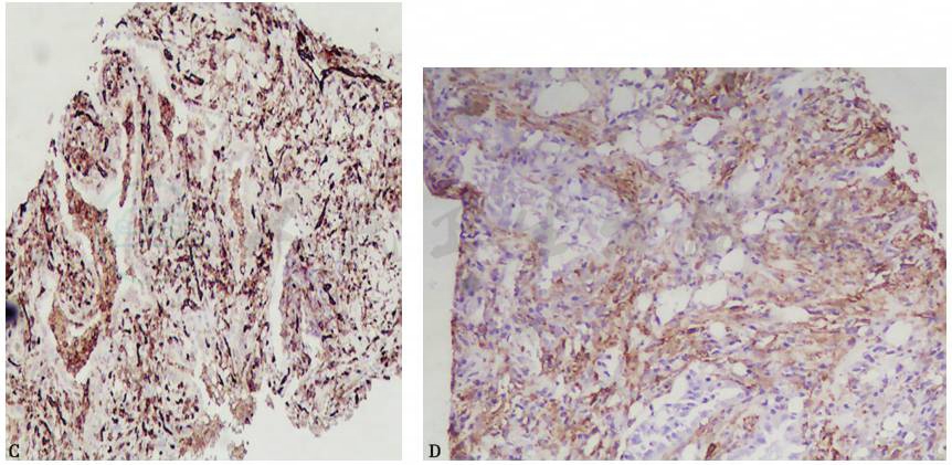
左肺组织活检:可见肺组织中间质肌成纤维细胞增生和血管增生,炎症细胞浸润(图12A、B)。免疫组化表达:CK(pan)(上皮,++),CD68(组织细胞,+),IgG阳性,IgG-4阴性,CD38(浆细胞,++),Actin(SM)(肌成纤维细胞,++)(图4-4-6-12C、D),CD20阴性,CD3(T细胞,阳性),CD31(++),CD34(血管,阳性),S100阴性,FⅧ(血管,阳性),ALKp80阴性,D2-40 (血管,阳性),Nestin阴性,CD21阴性,CD35阴性,CD117阴性,Desmin阴性。结合临床表现及影像学表现,诊断为肺炎性肌成纤维细胞瘤。
图12 左肺组织活检病理表现
左肺组织活检可见肺组织中间质肌成纤维细胞增生和血管增生,炎症细胞浸润(A.HE染色,100×;B.HE染色,100×);Actin(SM)组化染色可见大量肌成纤维细胞阳性(C.200×);CD31染色可见血管内皮细胞和组织细胞阳性(D.200×)
最后诊断:肺炎性肌成纤维细胞瘤。
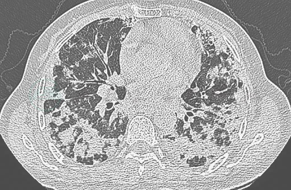
明确诊断后,考虑到患者双肺多发病变,无手术指征,采取停用前述抗感染药物,给予甲泼尼龙,患者未再发热,咳嗽、咳痰、胸痛症状缓解,但复查胸部CT仍显示病变进一步发展(图13)。
图13 激素治疗18天后复查胸部CT表现
胸部CT可见双肺病灶进一步增多,以结节和团块状实变为主
(二)临床思辨
炎性肌成纤维细胞瘤(inflammatory myofibroblastic tumor,IMT)是一种较少见的软组织肿瘤,可发生于任何年龄,好发于青少年和儿童,尤其是男性。肺是其好发部位。手术切除肿瘤是IMT的首选治疗方法。良性IMT预后好,恶性IMT预后差。
IMT主要由肌成纤维细胞组成,伴淋巴细胞、浆细胞、嗜酸性粒细胞、中性粒细胞等炎性细胞浸润。激素抗炎治疗可能具有一定效果。
IMT的临床及影像学表现无特异性。80%病例的胸部影像学表现为一个边界规则的孤立肿块,位于支气管内,可伴有阻塞性肺炎和肺不张。本例患者表现为斑片状实变影。激素治疗无效,胸部CT显示病灶进展,提示患者病情未得到控制,可能还需要加用免疫抑制剂等。
炎性肌成纤维细胞肿瘤是一种罕见的非感染性炎性类肿瘤性疾病,其病因和发生机制尚不明确,临床表现缺乏特异性,可表现为发热伴肺实质局灶性实变,肺活检病理是确诊的主要依据,可缩短诊断周期,有利于早干预,改善预后。对于弥漫性病变并具有恶性生物学行为者,可给予糖皮质激素试验性治疗;对局灶性病变,可考虑手术治疗(对良性病变手术与否存在一定争议);对局灶恶性病变,则建议尽早手术。
(洪如钧 岳文香 陈愉生)
1.宋道前.肺转移瘤的影像学征象分析及诊断探讨(附76例报告).现代医用影像学,2009,18(6):369-372.
2.刘一.成人Still病4例的肺脏表现并文献复习.临床肺科杂志,2009,14(3):290-292.
3.陈愉生.成人Still病伴机化性肺炎一例.中国呼吸与危重监护杂志,2008,7(2):146-149.
4.徐艳.纤维素性机化性肺炎(AFOP)1例及文献复习.临床肺科杂志,2014,19(1):186-188.
5.林令博.甲型H1N1肺炎的影像学特征.山东大学学报(医学版),2011,49(9):136-139.
6.陈穗.肺炎性肌成纤维细胞瘤的病理演变及其诊断和治疗.医学综述,2009,15(3):471-472.
7.单秀红.肺炎性肌成纤维细胞瘤二例.中华结核和呼吸杂志,2009,32(15):774-777.



