(一)病例信息
【病史】
男性患者,56岁,15天前受凉后出现轻微咳嗽,咳少量白痰,无流涕,伴发热,体温高达39.7℃,可自行降至正常,伴乏力、盗汗,自服头孢类抗生素无好转,于外院就诊。X线胸片及CT检查示左上肺实变影,纵隔淋巴结肿大,诊断为肺炎。先后经哌拉西林/他唑巴坦、莫西沙星及亚胺培南抗感染及化痰等治疗2周,病情无明显好转,患者仍有发热,体温高达39℃以上,服用解热镇痛药对症降体温,遂入院诊治。患者自发病以来,无胸背部疼痛,无夜间阵发性呼吸困难,无头晕、头痛,无恶心、呕吐,精神、食欲尚可,大小便正常,近3个月体重下降5kg。
患者既往身体健康,否认高血压、冠心病、糖尿病病史,否认肝炎、结核等传染病病史,否认手术、外伤史,否认输血史,否认药物、食物过敏史,否认特殊化学品及放射线接触史,吸烟30余年(平均每天20支),无醉酒史。
【体格检查】
体温38.2℃,心率102次/分,呼吸22次/分,血压130/70mmHg;神志清楚,急性病容,全身皮肤及黏膜未见皮疹,全身浅表淋巴结未触及肿大,口唇无发绀;气管居中,胸廓对称、无畸形,双侧呼吸动度一致;双肺叩诊清音,听诊左上肺可闻湿啰音;心律齐,心音有力,各瓣膜区未闻病理性杂音。其余体检结果未见异常。
【实验室检查】
血常规:WBC 8.03×109/L,N% 78.7%,RBC 4.67×1012/L,Hb 124g/L,PLT 247×109/L。
血气分析:pH 7.462,PaCO2 39.6mmHg,PaO2 82mmHg。
生化:ALB 29.60g/L,ALT 91U/L,其余项目正常。
其他:CRP 122mg/L,ESR 32mm/1h,尿便常规、凝血相关指标正常。
【影像学检查】
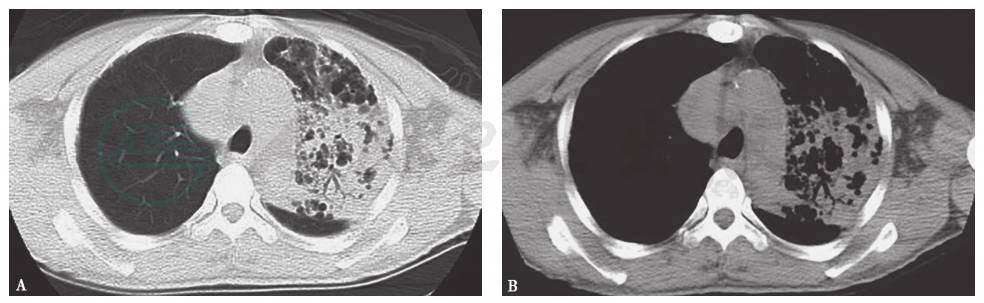
胸部X线和CT均可见左肺上叶实变(图1),增强CT可见实变影内虫蚀样空洞、纵隔气管前淋巴结明显肿大(图2、图3)。
图1 发病第3天X线胸片
X线胸片可见左上肺大片高密度影
图2 发病第7天胸部CT表现
胸部CT显示左上肺实变渗出影,边界清晰,其间见充气支气管征及多发虫蚀样改变
图3 发病第17天胸部增强CT表现
胸部CT可见左上肺实变渗出影较前增多,气管前间隙、主肺动脉窗多发肿大淋巴结影
(二)临床思辨
【临床特点】
1.患者为中年男性,急性起病。
2.主要症状和体征为高热、干咳少痰,左上肺可闻湿啰音。
3.实验室检查提示外周血白细胞不高,CRP升高,血沉略增快,肝功能有轻度异常。
4.影像学检查示左上肺斑片状渗出、实变影内有虫蚀样空洞,纵隔气管前间隙、主肺动脉窗淋巴结肿大。
5.发病15天过程中,患者先后使用多种抗感染治疗(哌拉西林/他唑巴坦、莫西沙星、亚胺培南),均无效,仍有高热,而且肺内病变无好转。
【思辨要点】
肺部疾病的常见症状和体征(如发热、咳嗽、咳痰、胸痛、呼吸困难、肺内湿性啰音或哮鸣音)并无病因特异性,许多原因均可表现为同样的症状和体征,在确立诊断的过程中需要思考以下问题:
1.本例患者所患肺部疾病是否与感染相关?
本例患者为中年男性,平时身体健康,社区起病,有发热、呼吸道症状,肺部可闻及湿啰音,胸部影像学检查可见渗出性病灶,符合肺炎特点。患者出现轻度肝功能异常,可能与高热本身相关。血沉为非特异性指标,略增快可能也与感染本身有关。
依据感染获得的场所和病原学特点可将肺炎分为:①社区获得性肺炎(CAP),常见革兰阳性球菌、非典型病原体、普通病毒等病原感染;②早期院内获得性肺炎,感染病原体同CAP;③晚期院内获得性肺炎,常见革兰阴性杆菌、肠球菌、耐甲氧西林金黄色葡萄球菌、多耐药/广泛耐药/全耐药菌等感染;④免疫功能低下时肺炎,多为机会型感染,如巨细胞病毒、肺孢子菌等感染;⑤吸入性肺炎,多为口腔厌氧菌或化学吸入性肺损伤。依据感染病原不同,肺炎又分为普通感染和特异型感染。前者包括常见的细菌、病毒和真菌感染,后者主要包括结核分枝杆菌、非结核分枝杆菌和诺卡菌等病原感染。
本例患者既往身体健康,无特殊用药史、无醉酒误吸史,目前症状如果为感染所致,考虑CAP可能性大。CAP如果经多种抗感染规律治疗无效,称为“无反应性肺炎”。其发生原因包括:①抗感染药物未覆盖感染病原,包括细菌、病毒和真菌;②感染病原对抗菌药物产生耐药;③感染病原变为特殊病原体,如结核分枝杆菌,对常规抗菌药物无应答;④初始阶段治疗有效,新发感染病原使病情再次加重。
本例患者无结构性肺病病史,原发于非发酵菌(铜绿假单胞菌、鲍曼不动杆菌和嗜麦芽窄食单胞菌等)感染的可能性小,也不存在合并新发感染病原、产生耐药病菌和原生质菌等状况,因此须重点考虑抗感染药物未覆盖感染病原。患者曾使用β内酰胺类/酶抑制剂、氟喹诺酮类、碳青霉烯类抗感染药物,所覆盖的感染病原包括肺炎链球菌、流感嗜血杆菌、非典型病原体(肺炎支原体、肺炎衣原体和军团杆菌)、常见革兰阴性菌(肺炎克雷伯菌等)和厌氧菌等。未覆盖的普通病原包括病毒、真菌、个别种类细菌(如金黄色葡萄球菌和广泛耐药或全耐药革兰阴性杆菌等)和结核分枝杆菌。
金黄色葡萄球菌包括甲氧西林敏感性(MSSA)和耐甲氧西林金黄色葡萄球菌(MRSA),均可引起社区获得性感染。MRSA常引起皮肤和软组织感染坏死,因其可产生杀白细胞素(panto-valentine,PVL),破坏白细胞,导致外周血白细胞水平下降及肺组织坏死。因此,若MRSA引起肺部感染,常较为严重,且感染发展迅速,以坏死性肺炎和脓胸为主,可有高热、咳脓痰甚至脓毒症休克等临床表现(图4)。从现有临床资料来看,本病例并不符合MRSA所致肺部感染表现。广泛耐药或全耐药革兰阴性杆菌引起的感染多为院内获得性因素,本例患者既无基础肺病病史,也无院内获得性感染的机会和环境,因此广泛耐药或全耐药大肠杆菌或肺炎克雷伯菌感染的可能性很小。
病毒也是导致成年人社区获性肺炎的一种常见病原体。流感病毒、鼻病毒、腺病毒和呼吸道合胞病毒等引起感染者,外周血白细胞多为正常或降低。而且,病毒性肺炎可以从初始的单叶段病灶很快发展为多叶段受累,但很少发生肺组织坏死和气囊样改变(图5);要么短期内病情迅速加重,发展为重症肺炎,甚至急性呼吸窘迫综合征(ARDS),要么呈自限性,逐渐好转,很少呈迁延状态或亚急性过程。本病例与上述情况不符,故由病毒引起肺部感染的可能性很小。
图4 社区获得性MRSA肺炎胸部X线表现
男性患者,28岁,发热、咳嗽、咳痰、胸痛,胸部X线可见右上肺大片实变影,诊断为社区获得性MRSA肺炎。
图5 甲型H1N1流感病毒性肺炎胸部CT表现
胸部CT可见双肺多叶段大片磨玻璃高密度和实变影,右肺更明显
真菌感染常继发于免疫功能低下和粒细胞缺乏状态,但也有少数免疫功能正常状态者原发真菌感染。典型的肺曲霉菌感染胸部影像学表现为晕征和新月征,也可见巨大空洞,但空洞气液平较少见 (图6)。肺孢子菌肺炎(PCP)以干咳、呼吸困难、顽固性低氧血症为主要临床表现,影像学表现为双肺弥漫间实质性肺病,如小叶间隔增厚、磨玻璃密度影(图7)。念珠菌导致肺部感染的概率很低,多为导管相关性或抗菌药物所致二重感染,罕见原发感染,诊断有一定难度。本例病例的临床过程和胸部影像学表现与真菌感染相距甚远,基本可以排除真菌感染的可能。
患者有发热、体重下降等全身症状,有咳嗽等呼吸系统症状,胸部影像学表现为左肺上叶实变影。肺结核好发部位为双肺上叶和下叶背段,胸部影像可出现渗出、实变及空洞影等(图8)。因此,对于本例患者,需要进一步排查结核病。
图6 侵袭性肺曲霉菌病胸部影像学表现
胸部CT可见晕征(A)和空洞(B)(箭头)
图7 肺孢子菌肺炎胸部影像学表现
胸部CT可见双肺多发磨玻璃影及小叶间隔增厚影
图8 肺结核胸部影像学表现
胸部CT可见发生于肺上叶的结核病变,空洞伴卫星灶(箭头)
综上所述,根据现有临床资料(包括各项检查结果和经验治疗反应),对于本病例,尚不能排除金黄色葡萄球菌感染的可能,亦不能明确是否为结核分枝杆菌、非结核分枝杆菌或诺卡菌等特殊病原菌引起的感染,而由病毒和真菌引起感染的概率很小,需要继续给予经验性抗感染治疗,同时完善相关检查。
2.本例患者所患如不是感染性肺部疾病,可能是什么病?
本例患者主要临床表现为发热,伴随呼吸道症状,胸部影像学检查显示肺部渗出影像,抗菌治疗无效,须考虑以下几种非感染性疾病可能。
风湿免疫病的临床表现除了发热外,往往伴有肾、关节、皮肤、肌肉和血液等多系统损伤,单一集中累及肺组织者少见;而且风湿免疫病累及肺时,胸部影像学检查大多呈现双肺弥漫性间质改变,表现为磨玻璃样高密度影、实变、网格状影、蜂窝状及牵拉支气管扩张影(图9),很少单一肺叶受累。本例患者无类似关联病症,仅表现为左上肺叶受累进行性加重,故发生风湿免疫病性肺损伤的可能性不大,但仍需进一步检查相应临床指标以排除。
图9 系统硬化症肺损伤胸部CT表现
胸部CT可见弥漫性间质改变,呈磨玻璃高密度、网格状、蜂窝状及牵拉性支气扩张改变
急性或亚急性嗜酸性粒细胞性肺炎和隐源性机化性肺炎(COP)等疾病可有发热和肺部实变影表现,实变影可呈单叶段或多叶段分布,迅速进展为空洞性病灶的可能性不大。因此本病例可排除此类疾病可能。
发热伴肺部病变还有可能发生于肿瘤性肺疾病,如原发性非霍奇金肺淋巴瘤(肺黏膜相关淋巴样组织淋巴瘤)和中心性肺癌导致阻塞性肺炎等。肺淋巴瘤往往表现为发热、肺结节或实变、纵隔淋巴结肿大、胸腔积液,进展程度具有个体差异。相应影像学表现可为单发结节或局部实变影,多在支气管血管束周围分布,严重者可累及整个肺叶,一般不呈现空洞性改变,更罕见肺气囊样病灶,可出现多发结节和多部位实变,半数以上患者可出现支气管充气征。本病例虽然影像学表现不典型,但是患者全身症状明显(发热、纵隔肿大淋巴结),抗感染治疗效果不佳,目前尚不能排除肺淋巴瘤,需要进一步完善病理学检查。中心性肺癌所致阻塞性肺炎及肺不张的临床表现可类似肺炎,经支气管镜和胸部CT检查大多可明确诊断。本病例虽然胸部CT未见左上肺叶段支气管内阻塞迹象,但患者已56岁,有吸烟史,存在发生肺癌的危险因素,须行支气管镜检查以明确诊断。
(一)临床信息
【实验室检查】
1.一般检查
(1)血常规(多次检查):WBC(6.20~10.58)×109/L,N% 60%~88.6%,血红蛋白和血小板均正常。
(2)复查ESR 42mm/1h。
(3)肝功能:①入院时,ALT 91U/L,AST 44U/L,ALB 29.6g/L;②保肝治疗后,ALT 40U/L,AST 28U/L,ALB 38.3g/L。
(4)肿瘤标志物:CEA等均阴性。
(5)血气分析:pH 7.424,PaCO2 40.6mmHg,PaO2 86mmHg。
2.免疫相关检查
自身抗体阴性(包括抗核抗体、抗dsDNA、Sm抗体、抗线粒体抗体等)。
3.感染相关检查
PCT 0.52μg/ml,复查CRP 142mg/L,PPD试验阴性,T-SPOT阴性,痰抗酸染色阴性(3次)。血清病原抗体均阴性(包括梅毒螺旋体、HIV、结核分枝杆菌、肺炎支原体、肺炎衣原体、军团杆菌等)。真菌检测(G试验)阴性。痰培养、血培养均阴性。
【支气管镜检查】
支气管镜下见左肺固有上叶支气管被一带蒂新生物完全阻塞,表面有少许分泌物,其余支气管未见明显异常;对气管前淋巴结进行穿刺活检涂片细胞学检查。择期行左上支气管肿物电刀消融切除术,术后复查,支气管镜下见远端支气管通畅(图10)。
图10 支气管镜检查镜下表现
首次支气管镜检查,镜下见左肺固有上叶支气管可见带蒂外生性肿物(A、B);行左上支气管肿物电刀消融切除术后复查,镜下见远端支气管通畅(C)
【影像学检查】
经气管镜切除支气管内肿物解除气道阻塞等,并且继续给予经验性抗感染治疗10天,复查胸部CT,左肺上叶病变未明显吸收(图11)。
图11 发病后27天胸部CT表现
胸部CT肺窗(A)、纵隔窗(B)可见左上肺仍有实变影
【治疗过程】
支气管镜检查发现气道内新生肿物,复查感染相关指标,显示血沉、CRP、PCT仍持续升高,提示炎症反应明显,高度怀疑存在阻塞性肺炎。因考虑患者在之前的经验性抗感染治疗中,未曾使用针对MRSA作用药物,故给予利奈唑胺联合头孢哌酮/舒巴坦抗感染及退热等对症支持治疗,但患者胸部病变未见好转。
鉴于患者生命体征平稳,通气、换气指标正常,遂于其入院第12天停用抗生素。
(二)临床思辨
经过进一步经验性抗感染治疗,并行支气管镜下肿瘤消融术解除气道梗阻问题后,患者胸部病变仍未见好转,故可基本排除阻塞性肺炎。利奈唑胺可覆盖CA-MRSA,如果显效,经过1周疗程,患者临床症状应有所改善。但本例患者经过利奈唑胺静脉滴注治疗7天后,仍有高热,肺部病变未见吸收,不符合CA-MRSA感染的特点。PPD、T-SPOT、结核抗体检测、痰液抗酸染色均阴性,且临床表现以持续高热为主,未见明显结核超敏反应,呼吸道症状不典型,故肺结核可能性不大。自身抗体均阴性,结合临床表现,可基本排除风湿免疫病。患者常规病原学检查结果均为阴性,且支气管镜下发现肿瘤样病变,使其诊断更加倾向于非感染性疾病。此时,及早获得病理结果对下一步诊治具有重要价值。
(一)临床信息
组织病理:气管前淋巴结TBNA涂片细胞学检查可见较多坏死物及异形细胞,未见淋巴细胞,考虑为非小细胞癌;左侧支气管肿物病理提示大细胞癌,免疫组化显示CK阳性,LAC阳性,符合淋巴上皮瘤样癌表现(图12)。
最后诊断:左肺淋巴上皮瘤样癌。
明确诊断后,患者转往肿瘤专科医院进行化疗。电话随访得知,患者在化疗期间仍有发热(体温38.5℃左右),使用退热药物可使体温降至正常;治疗3个周期后,患者病情未见改善,一般情况进行性恶化,3个月后死亡。
图12 淋巴结活检病理表现
A.HE染色,100×;B.HE染色,400×;C.免疫组化CKpan阳性,400×;D.免疫组化LAC阳性,400×
(二)临床思辨
肺淋巴上皮瘤样癌(LELC)的影像学特点为病灶以周围型单发肿块或结节为主,多发生于肺野中内带及下叶,靠近并侵犯纵隔胸膜。肿块呈圆形、类圆形和不规则形,直径多较大,边缘较光整,毛刺征不明显,多数病灶可见浅分叶,空洞及钙化少见。据多数文献报道,肺LELC患者大支气管一般不受侵犯。本病例胸部影像学检查显示病变分布在左肺上叶,以实变为主,可见虫蚀样空洞,类似大叶肺炎及干酪样肺炎表现,与既往文献报道不同。但是,纵隔淋巴结肿大和支气管镜下发现给临床鉴别诊断提供了参考依据。此外,肺LELC与肺淋巴瘤的影像学表现相似(本病例曾一度考虑为淋巴瘤),可用免疫组化染色法区分二者。
淋巴上皮瘤样癌(LELC)是一种罕见的特殊类型恶性肿瘤,属于非小细胞肺癌,病理为确诊依据。肺LELC的影像学表现无特异性,确诊主要依据病理检查结果。临床表现异质性大,可无症状,有症状者主要表现为咳嗽,发热少见。本例患者仅有轻微咳嗽,而以高热为主要表现,故在前期诊断中曾考虑为感染,但抗感染治疗无效;支气管镜治疗解除气道梗阻后,患者仍有高热,也进一步排除了阻塞引起的感染。故本例患者发热考虑与肺LELC本身有关。
(于洪志 李莉)
1.Webb WR.Thoracic Imaging Pulmonary and Cardiovascular Radiology.2nd Edition.Philadelphia :Lippincott Williams & Wilkins,2011.
2.YC Huang,C Hsueh,SY Ho,et al.Lymphoepithelioma-Like Carcinoma of the Lung :An Unusual Case and Literature Review.Case Reports in Pulmonology,2013,2013(4):143405.
3.王承志,宁晖,王咏梅,等.肺原发性淋巴上皮样癌临床病理分析.重庆医学,2013(28):3425-3426.
4.Hoxworth JM,Hanks DK,Araozetal PA.Lymphoepithelioma-like carcinoma of the lung :radiologic features of an uncommon primary pulmonary neoplasm.The American Journal of Roentgenology,2006,186(5):1294-1299.
5.Chang YL,Wu CT,Shih JY,et al.New aspects in clinicopathologic and oncogene studies of 23 pulmonary lymphoepithelioma-like carcinomas.The American Journal of Surgical Pathology,2002,6(26):715-723
6.钟南山,刘又宁.呼吸病学.第2版.北京:人民卫生出版社,2012.
7.Richard K.Albert,Stephen G.Spiro,James R.Jett.Clinical respiratory medicine- 3rd ed.Philadelphia :Elsevier Inc,2008.



