(一)病例信息
【病史】
男性患者,46岁,4个月前无诱因出现咳嗽伴痰中带血、鼻出血,夜间重,左侧卧位时加重,无发热、胸闷、气短及胸痛症状。3个月前于当地医院就诊,胸部CT示左肺及右肺上叶病变,右肺中下叶纤维灶(图1),予抗感染等对症治疗,症状无缓解。2个月前于外院就诊,喉镜示声带息肉,予止血、止咳等对症治疗,未见好转。20天前咳嗽加重,外院复查X线胸片及胸部CT,并行肺穿刺,病理检查结果为肺组织内见炎症细胞浸润,局部上皮中度不典型增生,少量肺组织伴炎症细胞浸润及少量嗜酸性粒细胞浸润,期间查血红蛋白62g/L,予输血、止血、止咳等对症治疗,咳嗽有所缓解,痰中带血较前减轻。患者自发病以来,精神可,饮食、睡眠尚可,无皮疹及关节肿痛,无头痛、头晕,无腹痛、腹泻,无血尿等,食欲、饮食正常,小便无明显改变,偶有黑便,无体重变化。
患者既往身体健康,否认肝炎及结核病密切接触史;农民,种植玉米、小麦,偶尔从事宰羊工作;吸烟20余年,10支/天,戒烟2个月余,无饮酒。20天前有输血史。无药物过敏。
【体格检查】
体温36.5℃,心率82次/分,呼吸18次/分,血压120/75mmHg。神志清,精神可,睑结膜苍白,全身浅表淋巴结无肿大;双肺呼吸音清,左下肺可闻及少量湿啰音,未闻胸膜摩擦音;心律齐,心脏各瓣膜区未闻病理性杂音;腹软,肝、脾肋下未触及;双下肢无水肿。
【实验室检查】
血常规:WBC 8.74×109/L,Hb 84g/L,PLT 309×109/L,N% 64.1%。
尿常规正常,便潜血阴性。
其他:ALB 36.8g/L,CRP 11.10mg//L。
【影像学检查】
入院前3个月胸部CT:胸部CT见左肺上叶及下叶背段高密度实变影伴晕征(图1)。
入院前20天X线胸片:双肺纹理增重,右肺中野可见团片状高密度模糊影,边界不清,左肺可见大片高密度模糊影;双肺门不大,纵隔居中,心影不大;两膈光滑,双侧肋膈角锐利(图2)。
图1 入院前3个月胸部CT表现
图2 入院前20天X线胸片
X线胸片可见右肺中野片状边缘模糊渗出影,左肺上叶后段及左下肺可见大片高密度模糊影
入院前20天胸部CT:原有病灶进一步发展(图3)。
图3 入院前20天胸部CT表现
胸部CT可见右肺上、下磨玻璃样改变,左肺上叶尖后段及下叶背段肿块影,内有低密度坏死及小空洞形成
(二)临床思辨
【临床特点】
1.患者为中年男性,起病缓慢。
2.主要症状和体征为咳血性痰,偶有黑便;左下肺可闻少量湿啰音。
3.实验室检查示外周血白细胞正常,血红蛋白减少。
4.影像学检查见左肺大片渗出影,高密度实变病灶演变为坏死及小空洞形成,右肺出现新发磨玻璃影。
5.左肺经皮穿刺活检病理学结果见肺组织内炎症细胞浸润,少量嗜酸性粒细胞浸润,局部上皮中度不典型增生。
6.患者发病4个月期间(入院前),曾接受抗感染治疗,咯血症状有加重趋势,血红蛋白进行性下降,导致需输血治疗。
【思辨要点】
本病例主要临床特征是咳血痰、贫血以及进展的肺部阴影,肺内少许湿啰音。
在诊断及鉴别诊断时需要考虑以下可能:
1.本病例是感染性还是非感染性疾病?
感染性肺部疾病的主要临床表现包括发热、咳嗽、咳痰,可以出现咯血症状,化验检查多有血常规异常、血中炎症介质升高,影像学检查可见肺部渗出性病变。如果未经恰当治疗,感染病灶会出现进展趋势,并引起全身炎症表现及消耗现象。本例患者在4个月病程中,始终无体温升高现象,肺部病变有加重趋势,但多次查血常规未见白细胞明显变化,也无消瘦、食欲缺乏、体力下降等消耗表现,曾经输液进行抗感染治疗,症状无改善,因此考虑常见细菌性肺炎可能性小。
除细菌性感染外,本病例需要排查有无结核分枝杆菌感染的可能。肺结核属于慢性感染性疾病,其主要病理改变包括渗出性病变、增殖性病变和坏死性病变,影像学表现可见云絮状阴影、边缘比较清楚的结节状阴影、大片致密阴影中的空洞形成以及索条影、钙化影等,这些不同性质的病灶常同时存在。本病例左侧病灶主要位于上叶的尖后段及下叶的背段,属于肺结核的好发部位,但主要以团块状的软组织影为主,病灶周边有渗出,经过数个月的演变,病灶内出现坏死和小空洞,而未见病灶周围的卫星播散灶和索条影,所以考虑肺结核的可能性小,尚需多次痰涂片找抗酸杆菌并行支气管镜检查以排除。
此外,真菌(如侵袭性曲霉菌)感染也可能出现咯血现象。侵袭性曲霉菌感染多发生于免疫功能低下患者,如移植后患者、大量使用糖皮质激素及免疫抑制剂患者、肿瘤放化疗后患者,健康人如果大量接触真菌孢子,也有可能出现感染。本例患者职业为农民,种植农作物,有感染曲霉菌的可能。侵袭性曲霉菌肺病的影像学主要表现为单发或多发的结节影、肿块影,病灶周围有晕征,病灶内出现坏死时可见新月征。本例患者的影像学特点不符合典型侵袭性曲霉菌肺病表现,需要进一步查G试验、GM试验、支气管镜检查以排除。
患者有屠宰羊的经历,所以应该注意排除特殊感染,如布氏杆菌感染可能。布氏杆菌主要通过接触羊传染,临床表现包括发热、多汗、关节疼痛、睾丸肿痛、头痛、神经痛、肝脾淋巴结肿大等,可以累及关节、骨髓、心内膜及脑膜,肺部受累少见。本例患者的临床表现与上述布氏杆菌感染的表现完全不相符,所以考虑布氏杆菌感染可能性小,核查抗布鲁菌抗体以排除。
综上考虑,本例患者患感染性疾病的可能性小,在完善各项检查后,应重点考虑非感染性疾病的可能。而可以出现咯血、肺部阴影表现的非感染性疾病主要包括血管炎和恶性肿瘤两类疾病。
2.本病例如果是非感染性疾病,属于良性疾病还是恶性疾病?
非感染性疾病中可以出现咯血、肺部阴影表现的,大致有风湿免疫病和恶性肿瘤两类疾病。
风湿免疫病中抗中性粒细胞胞质抗体(ANCA)相关性小血管炎累及肺时,可出现咯血表现。常见的ANCA相关性血管炎包括肉芽肿性血管炎(granulomatosis with polyangiitis,GPA)、嗜酸粒细胞性肉芽肿性血管炎(eosinophilic granulomatosis with polyangiitis,EGPA)、显微镜下多血管炎(microscopic polyangiitis,MPA),这几种疾病可出现全身多系统受累,表现出发热、皮肤、肌肉、骨骼、呼吸道、肾以及神经系统症状。其中,韦格纳肉芽肿累及上呼吸道可以出现鼻窦炎、鼻出血、中耳炎,累及肺部的常见症状为咳嗽、咯血,影像学检查可见双肺多发、多形、多变、游走的浸润影、结节影和空洞形成,当出现弥漫性肺泡出血时预后差;而EGPA患者多有支气管哮喘或过敏性鼻炎病史,血中嗜酸性粒细胞明显升高等特点。本例患者未出现上述表现,可进一步完善ANCA及支气管镜下支气管肺泡灌洗以鉴别。
恶性肿瘤累及肺可出现咯血,多因肿瘤组织生长过快,局部坏死、感染和破溃导致,所以多为痰中带血、鲜血痰,可以混有小血块,如果肿瘤直接侵蚀肺部血管,可以出现大咯血。常见的累及肺的恶性肿瘤包括原发性支气管肺癌、肺部转移瘤、淋巴瘤等。①原发性支气管肺癌的主要临床表现是咳嗽、咯血,影像学检查可见支气管或肺部浸润影,通过支气管镜或穿刺活检取得病理结果可以明确诊断;②肺部转移瘤出现反复咯血者少;③结外淋巴瘤病程较长,可进展缓慢,当累及肺时可出现咳嗽、咯血等症状,还可出现发热、胸痛、胸闷症状,影像学检查可见单发或多发的结节肿块影,病灶内见坏死及空洞形成,也可表现为沿肺叶、段分布的斑片状渗出样改变,其内可见支气管气影。本例患者的咯血为咳鲜血痰。追问病史发现,患者常将咽喉部的分泌物吞咽,较少咯出,所以无法估算具体咯血量。本病例是否是恶性疾病,需要进一步行支气管镜检查寻找病理证据。
(一)临床信息
【实验室检查】
1.一般检查
(1)血常规(多次检查):WBC( 6.36~11.86)×109/L,N% 62.4%~83.3%,Hb 64~84g/L,PLT正常。
(2)ESR正常。
(3)肝、肾功能(多次检查):ALT 8~11U/L,AST 10~13U/L,ALB 30.4~36.8g/L,Cr 72~80μmol/L。
2.免疫相关检查
自身抗体(包括ANA、抗dsDNA、Sm抗体、ANCA、抗GBM)阴性,Coombs试验阴性。
3.感染相关检查
PCT阴性,CRP 11.10mg/L,PPD阴性,T-SPOT阴性。血清病原抗体(包括梅毒螺旋体、结核分枝杆菌、肺炎支原体、肺炎衣原体、军团杆菌和布氏杆菌等)均阴性。真菌检测(G试验、GM试验)阴性。痰病原检测均阴性(包括普通细菌、真菌、抗酸染色和寄生虫),大便寄生虫检测阴性。
4.肿瘤相关检查
NSE 21.02ng/ml,AFP、CA19-9、CEA、CYFRA21-1、PSA均阴性。
【支气管镜检查】
支气管黏膜明显苍白、右上叶开口及下叶开口可见血迹,用盐水冲洗后未见活动性出血,未见新生物。各开口均可见血迹,用盐水冲洗吸引,左下叶背段、基底段开口、左上叶开口、左舌叶开口注射去甲肾上腺素后观察左上叶尖段、后段开口、左下叶背段开口仍可见活动性出血(图4)。
图4 支气管镜检查镜下表现
A.气管隆嵴;B.右上叶支气管;C.左下叶支气管;D.左下叶基底段支气管
【影像学检查】
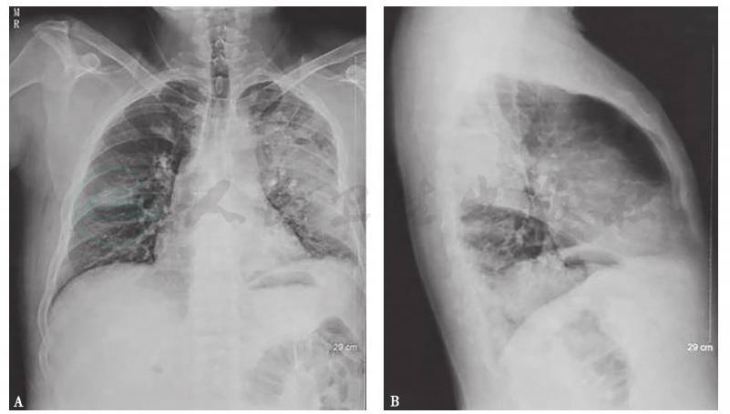
胸部X线片:双肺纹理增重;右肺中野可见团片状高密度模糊影,边界不清;左肺可见大片高密度模糊影;双肺门不大,纵隔居中,心影不大;两膈光滑,双侧肋膈角锐利(图5)。
图5 入院后X线胸片
X线胸片示双肺纹理增重,右肺中野可见团片状高密度模糊影,边界不清,左肺可见大片高密度模糊影
胸部CT:双肺支气管血管束增重,左肺上叶尖后段可见团块状软组织密度影,其内密度不均匀,并可见空洞形成伴液气平面,增强扫描见实性部分明显强化,病变包绕左下肺动脉;左肺下叶可见片状、团块状高密度影及斑片影,实变影内可见低密度影及钙化影,右肺上叶后段及前段、中叶及下叶背段可见斑片影(图6)。
图6 入院后胸部CT表现
(二)临床思辨
患者入院后所做系列检查显示:①患者血红蛋白水平降低,经输压积红细胞后纠正,但复查又有逐渐降低趋势,提示病灶仍有活动性出血;②各种感染指标均阴性,哌拉西林联合奥硝唑治疗1周后,影像学检查提示病灶无吸收趋势,不支持感染性疾病诊断;③自身抗体均阴性,结合临床表现,基本可排除风湿免疫病;④支气管镜检查提示左上叶尖后段及左下叶背段有活动性出血,临床有活动性出血表现;⑤胸部CT可见病灶较前增大,坏死和空洞也增大;⑥查肿瘤标志物提示NSE升高,不能排除肿瘤。NSE是神经元和神经内分泌细胞特有的酸性蛋白酶,可见于小细胞肺癌、神经母细胞瘤和甲状腺髓质癌等。本例患者的临床表现不支持神经母细胞瘤或甲状腺髓质癌等诊断。小细胞肺癌起源于支气管黏膜或腺上皮内的Kulchitsky细胞(神经内分泌细胞),属于分化程度低、恶性程度高的一类肺癌,多发生于肺中央部,侵袭力强,淋巴转移早,常伴有肺门和纵隔淋巴结转移,临床以咳嗽为最常见的早期症状,痰中带血或血痰多见,侵蚀大血管时可出现大咯血。本例患者支气管镜下未见叶段支气管黏膜异常,与小细胞肺癌特征不符。
对于本病例,目前诊断不明确,一般治疗不能缓解咯血症状,须取得病灶部位的病理检查结果以明确病因。
常规的病理形态学检查包括:①脱落细胞学检查:痰细胞学检查一般至少需要连续留取3天的痰标本,检查阳性率与多个因素有关,包括咳嗽、咳痰方式是否正确,病灶的部位以及病理医师的经验等;②支气管镜检查:支气管镜可以到达亚段支气管,对镜下可视范围内的病灶可进行多种细胞学检查,如局部取活检、透支气管壁针刺活检、支气管肺泡灌洗等;③超声或CT引导下经皮肺针刺活检:存在一定假阴性率,与穿刺所取的组织偏少、定位不够准确、仅获取到坏死组织等因素有关,多点多向穿刺取样可以提高阳性率;④开胸探查:当以上方式不能明确病因时可以考虑经VATS,直接获得病灶部位标本。
本例患者已经完成支气管镜及CT引导下经皮肺活检,未获得阳性结果,考虑到痰细胞学检查阳性率较低,建议患者进行开胸探查。
(一)临床信息
因多种措施仍难确诊,遂对患者进行左肺切除术。左肺病理表现:细胞体积大,胞浆丰富,呈巢式生长,细胞巢之间可见小梁样结构,并见CD5/6阳性,TTF-1阳性和CK阳性(图7)。
图7 左肺病理表现(200×)
A.HE染色,200×;B.CD5/6染色,200×;C.TTF-1染色,200×;D.CK染色,200×
最后诊断:肺大细胞神经内分泌癌。
(二)临床思辨
肺大细胞神经内分泌癌(large cell lung neuroendocrine carcinoma,LCNEC)是肺大细胞癌的一种亚型,恶性程度高,进展较快,男性高发,中老年人多见,与吸烟密切相关。其临床表现与其他肺癌类似,极少有副癌综合征和异位皮质激素综合征表现。病变好发于上肺、周边肺野,表现为大肿块,边缘光滑,钙化空洞比较少见。其病理诊断需要注意与非典型类癌鉴别。LCNEC早期不容易被发现,预后差,根治性手术是首选治疗方法。
咯血伴肺部肿块是呼吸系统疾病的常见临床表现,可通过查找病原检查去诊断或排除感染性疾病,通常需要完善病灶部位的病理学检查以明确诊断。可以通过支气管镜下活检、灌洗、透支气管壁穿刺淋巴结或病灶取得细胞或组织学标本,通过经皮超声或CT引导下针穿活检也可能获取标本。当上述检查手段均不能获得阳性病理学证据来解释临床表现,而且病情进展时,如病情允许,可行病灶所在肺叶或全肺切除。
(叶阮健 高占成)
1.Van Meerbeeck JP,Fennell DA,De Ruysscher DK.Small - cell lung cancer.Lancet,2011,378(9804):1741 -1755.
2.Ivoda A,Hiroshima K,Nakatami Y,et al.Pulmonary large cell neuroendocrine carcinoma :its place in the spectrum of pulmonary carcinoma.Ann Thorac Surq,2007,84(2):702-707.



