(一)病例信息
【病史】
男性患者,46岁,因间断呼吸困难、咳嗽伴咳痰2年余,加重伴发热3个月,入院治疗。患者2年多前无诱因出现间断呼吸困难,卧位为著,无端坐呼吸,后逐渐出现咳嗽、咳黄痰,并出现3次少量痰中带血,无发热、胸痛,经阿奇霉素、头孢类药物、左氧氟沙星抗感染治疗后症状有所好转。3个月前受凉后,患者出现发热,体温最高39℃,伴畏寒,无寒战,咳嗽、咳黄痰加重,随后出现双侧胸痛,吸气时明显,经红霉素及头孢哌酮抗感染治疗后症状缓解。1个月前,患者受凉后再次出现发热、咳嗽、咳黄痰加重,伴咳嗽时胸痛、活动后呼吸困难,先后经红霉素、头孢哌酮、左氧氟沙星、头孢吡肟及头孢他啶抗感染治疗,效果不佳,为进一步诊治住院。患者自发病以来,间断出现口腔溃疡,无皮疹、关节肿痛、脱发、雷诺现象,近半年体重下降10kg。
患者于10年前诊断患胸腺瘤、重症肌无力,行胸腺瘤切除术,病理报告为恶性(具体不详),术后放疗1个月并坚持口服溴吡斯的明治疗重症肌无力;半年前,因嗅觉丧失、鼻窦化脓性炎症行鼻窦手术;无结核病史及密切接触史,无毒物、粉尘接触史,无吸烟、饮酒史。
【体格检查】
患者一般状况较差,浅表淋巴结未触及肿大,左下肺呼吸音减低,未闻干湿啰音;无胸膜摩擦音;心律齐,心率120次/分,未闻明显心脏病理性杂音;腹部未见明显异常;双侧下肢无水肿。
【实验室检查】
血气分析(未吸氧):pH 7.53,PaCO2 35mmHg,PaO2 47mmHg。
【影像学检查】
患者10年间胸部CT变化如图1所示。
图1 患者胸部CT变化
10年前,胸部CT未见明显异常(A);1年前复查,见双肺树芽征(B);入院前1天复查,呈现广泛性支气管扩张(C)
(二)临床思辨
【临床特点】
1.患者为中年男性,病程呈慢性。
2.主要症状及体征为反复咳嗽、咳黄痰、呼吸困难、发热。
3.血气分析提示Ⅰ型呼吸衰竭。
4.胸部影像学表现为弥漫性细支气管炎逐渐进展至广泛支气管扩张。
5.经过多种抗菌药物抗感染治疗(抗菌谱覆盖常见社区获得性细菌及非典型病原体),病情仍反复发作。
【思辨要点】
1.本例患者的症状及影像学表现是由感染性疾病引起的吗?
本例患者的临床表现为咳嗽、咳黄痰伴发热,胸部CT出现树芽征,提示存在小叶中心型细支气管扩张并黏液栓阻塞,出现此征象一般与气道感染性疾病相关,因此首先应该考虑呼吸系统感染的可能。但患者在抗感染治疗后,症状仍反复发作,胸部CT提示肺部病变逐渐由树芽征进展为广泛支气管扩张,需要注意患者有无免疫功能低下等因素引起反复感染的可能。
对于一个反复感染的患者,需要考虑是否有先天性免疫功能异常(主要包括体液免疫及细胞免疫缺陷)。例如,普通变异型免疫缺陷病主要累及体液免疫。但先天性免疫缺陷一般发病较年轻,成年发病少见。其次,需要考虑是否有获得性免疫功能异常,如HIV感染及长期使用激素、免疫抑制剂等。本例患者既往有胸腺瘤病史,也可能对免疫功能产生影响。因此,在筛查感染病原的同时,需积极筛查非感染因素。
2.若本病例是感染所致,应考虑何种病原?
支气管扩张症是一种结构性肺病,表现为支气管壁的结构性破坏,以气道破坏和气道壁增厚为特征,常见流感嗜血杆菌、铜绿假单胞菌定植,也可见肺炎链球菌、金黄色葡萄球菌及卡他莫拉菌等其他细菌定植,合并感染通常是定植菌增殖导致细菌负荷超过感染阈值所致。
病毒感染的影像学表现一般为多叶段分布的磨玻璃、实变影。真菌感染的影像学表现可为晕征、结节、空洞影。本病例的影像学表现均不支持病毒感染和真菌感染诊断。
树芽征可见于细菌、分枝杆菌、支原体、病毒、真菌等多种病原体感染,并无特异性。其中,结核分枝杆菌感染为慢性过程,病程中可出现牵拉性支气管扩张,出现树芽征提示支气管内播散,但常同时出现渗出(斑片影)、增殖(结节影)、坏死(空洞形成)等数种表现。
本病例的影像学表现不特异,需要进一步完善气道分泌物抗酸染色等检查以明确诊断。
3.对于本病例,需要考虑哪些非感染性疾病可能?
最容易想到的能引起反复发热的非感染性疾病主要有肿瘤及自身免疫性疾病。本例患者胸部CT未见占位性病变,可基本排除呼吸系统肿瘤。自身免疫性疾病可以引起细支气管炎、支气管扩张或肺间质性病变,但常累及多个系统,而本例患者的症状主要集中于呼吸系统,自身免疫性疾病的可能性亦不大,可进一步筛查自身抗体及有无肾脏等其他系统受累表现以排除相关疾病。
除感染性疾病外,树芽征合并支气管扩张还可见于一些非感染性黏液潴留气道疾病,如过敏性支气管肺曲霉菌病(ABPA)、弥漫性泛细支气管炎、囊性纤维化及Kartagener综合征等。ABPA是机体对寄生于支气管内的曲霉菌(主要是烟曲霉菌)产生的变态反应性炎症,影像学表现以中心性支气管扩张为特征,可伴有树芽征。弥漫性泛细支气管炎是东亚地区常见的一种特发性炎症性疾病,主要侵犯呼吸性细支气管,引起进行性化脓性感染,最终导致支气管扩张,其发生可能与HLA-Bw54基因易感性相关。本病例尚不能排除此病可能。囊性纤维化是主要发生于具有高加索血缘人种的遗传性疾病,可出现机体外分泌功能紊乱,本病例可基本排除此病。Kartagener综合征也是一种先天性疾病,表现为鼻窦炎、支气管扩张及内脏转位三联征,而本例患者成年发病,无内脏转位征象,不支持此诊断。
(一)临床信息
【实验室检查】
1.一般检查
(1)血常规
WBC 15.89×109/L,N% 84.50%,嗜酸性粒细胞% 1.06%。
(2)尿常规
蛋白阴性,红白细胞阴性,未见管型。
(3)便常规
潜血阴性,未见红、白细胞。
(4)血沉
101mm/1h。
(5)生化检查
ALT 23U/L,AST 33U/L,TP 86.6g/L,ALB 31.9g/L,尿素 3.21mmol/L,Cr 46μmol/L,CK 41U/L。
2.感染相关检查
(1)PCT 10ng/ml,CRP 230mg/L;支原体、衣原体、嗜肺军团菌抗体阴性;血细菌培养阴性,痰细菌培养为铜绿假单胞菌;冷凝集试验阴性;EB病毒、巨细胞病毒、细小病毒B19 IgM阴性;HIV阴性。
(2)支气管肺泡灌洗液:细胞总数1.08×105/ml,巨噬细胞百分比54.5%,中性粒细胞百分比33.0%,淋巴细胞百分比12.5%;细菌、真菌、结核分枝杆菌等微生物检查阴性。
3.免疫相关检查
(1)ANA阳性(1∶160),Jo-1抗体阳性,SSA、SSB阴性,ANCA阴性。
(2)血清蛋白电泳:白蛋白30.2%,γ球蛋白42.6%;IgG 43.80g/L,IgA 6.21g/L,IgM 1.97g/L;补体C3、C4正常。
(3)外周血淋巴细胞亚群分析:淋巴细胞占有核细胞比例10.79%,T细胞占淋巴细胞比例76.23%,CD4+细胞占T细胞比例40.83%,CD8+细胞占T细胞比例52.76%,CD4/CD8 0.77,NK细胞占淋巴细胞比例9.51%,B细胞占淋巴细胞比例13.14%。
4.其他检查
(1)肿瘤标志物:CA19-9 731.7kU/L,CYFRA21-1 5.36ng/ml。
(2)血清总IgE、多价霉菌IgE、烟曲霉特异性IgE阴性。
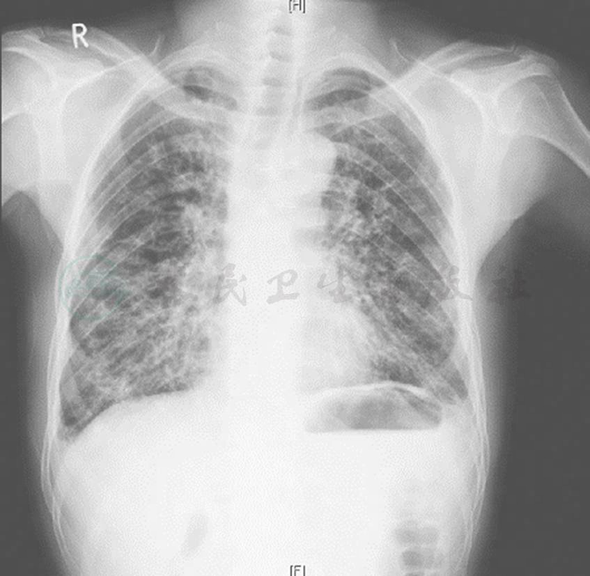
【影像学检查】
入院时X线胸片示双肺多发斑片、网格影,双侧肋膈角变钝(图2)。
鼻窦CT示全副鼻窦炎,左侧额窦、双侧上颌窦可见软组织密度影充填。
腹部B超未见异常。
图2 入院时X线胸片
(二)临床思辨
根据患者入院进行的一系列相关检查结果,需要重新审视鉴别诊断及制订下一步治疗方案。
1.根据现有临床信息,本例病例可能有哪些诊断?
(1)感染性疾病
患者症状表现为发热、咳嗽、咳脓性痰,外周血白细胞及中性粒细胞百分比升高,降钙素原升高明显,支气管肺泡灌洗液细胞分类以中性粒细胞升高为主,微生物检查仅在痰标本中培养出铜绿假单胞菌,提示细菌感染,且铜绿假单胞菌为致病菌可能性大。
(2)非感染性疾病
过敏性支气管肺曲霉菌病(ABPA):诊断主要依据长期哮喘病史,烟曲霉菌皮肤点刺/IgE阳性,烟曲霉菌IgG沉淀素阳性,中心性支气管扩张,血/痰嗜酸性粒细胞升高,总IgE>1000IU/ml,游走性肺浸润影。本例患者无哮喘病史,血嗜酸性细胞不高,血清总IgE和烟曲霉菌特异性IgE阴性,考虑可排除此病。
自身免疫病相关:患者抗核抗体阳性,Jo-1抗体阳性提示多发性肌炎或皮肌炎诊断,但患者无骨骼肌及皮肤受累表现,CK、AST不高。胸部CT可见肺内病灶主要沿支气管分布,以气道管壁增厚为主,伴气道周边肺组织浸润,未见肺组织实变伴支气管充气征和反晕征,排除了肌炎/皮肌炎CILD所致机化性肺炎诊断。
弥漫性泛细支气管炎:其诊断标准为:①持续性咳嗽、咳痰和劳力性呼吸困难;②慢性鼻窦炎病史;③X线胸片示双肺弥漫性小结节影或胸部CT示小叶中心性结节;④粗湿啰音;⑤FEV1/FVC<70%,PaO2<80mmHg;⑥血清冷凝集素效价≥64。符合前3项及④、⑤、⑥中至少2项即可诊断。患者目前的临床资料可排除此诊断。
免疫功能异常:本病例可排除HIV感染引起的免疫缺陷,但外周血免疫细胞存在异常,结合胸腺瘤病史,考虑胸腺瘤合并免疫功能异常导致反复呼吸系统感染从而继发支气管扩张,故临床诊断为Good综合征。
2.对于本病例,目前应如何制订治疗决策?
感染急性期治疗的关键为控制感染,因铜绿假单胞菌是支气管扩张症患者感染常见的致病菌,且可引起更为广泛的肺损害,经验性抗感染治疗须覆盖铜绿假单胞菌。常见抗假单胞菌药物包括:①β内酰胺类中的哌拉西林、头孢他啶、头孢哌酮、头孢吡肟、亚胺培南、美罗培南、氨曲南等;②氟喹诺酮类中的环丙沙星、左氧氟沙星等;③氨基糖苷类。对于本例患者,因为同时合并重症肌无力,而氟喹诺酮类及氨基糖苷类抗菌药物可能影响神经肌肉接头,因此首选β内酰胺类抗生素治疗。另外,铜绿假单胞菌的黏液型菌株分泌藻酸盐,形成生物被膜,使其免受抗菌药物和机体免疫系统的攻击,可导致抗感染治疗失败。大环内酯类抗菌药物虽然无抗假单胞菌活性,但能破坏生物被膜并防止其进一步形成,因此也可以联合使用。
因本例患者感染的原发病考虑为胸腺瘤合并免疫异常,可在稳定期加用免疫调节治疗,如使用大环内酯类、胸腺素等。
(一)临床信息
患者入院后,经头孢他啶联合阿奇霉素治疗,体温逐渐下降至正常,咳嗽、咳痰、喘憋症状逐渐好转,复查血常规示白细胞及中性粒细胞百比降至正常,ESR明显下降,X线胸片(图3)示双肺斑片影较前(图2)减少,病情平稳出院。出院后,患者继续口服大环内酯类药物。
图3 治疗后X线胸片
最后诊断:Good综合征。
(二)临床思辨
Good综合征最早于1954年由Robert Good博士报道,是指胸腺瘤合并免疫功能异常,通常为体液免疫及细胞免疫同时受损,在胸腺瘤患者中的发病率为6%~11%,现归类为原发性免疫缺陷病的一种特殊类型。Good综合征目前并没有明确的诊断标准,较为公认的标准为胸腺瘤合并成年起病的免疫异常,包括低γ球蛋白血症、B细胞减少或缺失、CD4/CD8比例失常、CD4+T细胞减少以及T细胞有丝分裂受损等。本例患者的症状在胸腺瘤切除术后出现,且可见外周血淋巴细胞亚群异常,其中重要的异常包括淋巴细胞比例下降,CD8+T细胞升高,CD4/CD8比例下降,NK细胞减少,这些免疫细胞异常在其他Good综合征病例报道中也有出现。
Good综合征最常出现的症状为反复呼吸道感染,从鼻窦炎、支气管炎到肺炎,感染病原包括细菌、病毒、真菌、寄生虫等。本例患者胸部影像学表现为弥漫性细支气管炎,并逐渐进展至支气管扩张。已有病例报道,Good综合征患者可出现这种类似于弥漫性泛细支气管炎的影像学表现。我院另一例Good综合征患者的影像学表现也与本例患者类似(图4)。
图4 Good综合征胸部CT学表现
女性患者,62岁,胸腺瘤术后出现反复咳嗽、咳痰及喘憋,诊断为Good综合征。胸部CT可见双肺广泛树芽征及支气管扩张
除呼吸系统受累以外,30%~50%的Good综合征患者可出现腹泻症状。Good综合征患者还可能出现多种自身免疫表现,如单纯红细胞再生障碍性贫血等血液系统异常、重症肌无力等,还可以产生多种自身抗体(最常见的为抗核抗体)。这也就解释了本例患者自身抗体阳性的原因。我院还有1例Good综合征胸部影像学表现为间质性肺炎(图5),不排除存在自身免疫因素(此种表现也有类似报道)。
图5 Good综合征胸部CT表现
男性患者,60岁,诊断为Good综合征。胸腺瘤术前,胸部CT可见双肺树芽征(A);胸腺瘤术后,胸部CT可见双下肺磨玻璃影(B)
Good综合征可能在胸腺瘤之前、之后或同时出现,因此,临床医师若遇到有胸腺瘤病史的患者出现反复呼吸道感染,应想到Good综合征的可能;同样,对于出现弥漫性细支气管炎、支气管扩张等胸部影像学表现的病例,也需要考虑有无胸腺瘤并筛查免疫功能,以排除Good综合征。
Good综合征预后差,5年生存率约70%,10年生存率约33%,主要死亡原因为感染、自身免疫异常及血液系统并发症。对于Good综合征患者,在出现急性感染时,首先需要充分抗感染治疗;其次是病因治疗,包括胸腺瘤切除术、静脉注射免疫球蛋白等。但胸腺瘤切除术并不能改善已有的免疫异常状态,部分Good综合征患者在胸腺瘤切除后反而病情加重。静脉注射免疫球蛋白只对低γ球蛋白的体液免疫缺陷患者有效,并不能改善细胞免疫状态。其他一些免疫调节药物,如大环内酯类、胸腺素可能对改善免疫功能低下具有一定的作用。
Good综合征是胸腺瘤合并免疫功能异常的综合征,其临床表现呈明显异质性,可出现多种不同的病原体感染,胸部影像学表现可为弥漫性细支气管炎、支气管扩张、间质性肺炎等征象,可累及呼吸系统、消化系统、血液系统等多个系统,且可出现多种自身免疫异常,因此常与其他疾病相混淆。对于Good综合征这样的少见临床综合征,需要提高警惕和认识,若遇到有胸腺瘤病史的患者出现反复呼吸系统感染,应注意筛查免疫指标,避免将其作为普通呼吸系统感染处理,而忽略了潜在疾病。而对于发热患者,要进行感染和非感染的鉴别诊断,通过询问病史、查体及其他辅助检查逐步进行甄别、排除,以尽量减少误诊和漏诊的发生。
(李冉 高占成)
1.Kelesidis T,Yang O.Good's syndrome remains a mystery after 55 years :A systematic review of the scientific evidence.Clin Immunol,2010,135:347-363.
2.Ogoshi T,Ishimoto H,Yatera K,et al.A Case of Good Syndrome with Pulmonary Lesions Similarto Diffuse Panbronchiolitis.Intern Med,2012,51:1087-1091.
3.Maiolo C,Fuso L,Benedetto RT,et al.A case of nonspecific interstitial pneumonia associated with thymoma.Sarcoidosis Vasc Diffuse Lung Dis,2003,20:75-76.



