(一)病例信息
【病史】
女性患者,68岁,40天前无明显诱因出现间断咳嗽,以剧烈干咳为主,伴活动后胸闷,胸闷持续数秒钟,休息即可缓解,夜间可安静休息,于当地医院就诊,考虑为肺炎,但阿奇霉素、左氧氟沙星、头孢曲松、头孢哌酮/他唑巴坦治疗20天,效果不佳,咳嗽及胸闷无缓解。患者于8天前转诊于上级医院,胸部CT提示病变较前加重。抗菌药物更换为莫西沙星、头孢哌酮/舒巴坦治疗7天,患者仍有咳嗽及间断活动后胸闷。患者自发病以来,无畏寒、发热、咳痰、咯血、心悸、胸痛及四肢关节肿痛,饮食尚可,大小便无异常,体力较病前下降,体重下降约5kg。
患者6年前行甲状腺囊肿手术;4年前腰椎压缩性骨折,行保守治疗后好转;1个月前因腹疼伴肛门停止排气、排便,行肠镜检查,提示乙状结肠溃疡性浸润性病变,经保守治疗后好转;否认高血压、糖尿病、冠心病等慢性病病史以及乙肝、结核等传染病病史;否认吸烟、饮酒史,否认药物、食物过敏史,否认鸟类等接触史。
【体格检查】
体温36.0℃,脉搏102次/分,呼吸20次/分,血压119/79mmHg。全身皮肤、巩膜无黄染。颈软,颈区及双侧锁骨上窝未触及淋巴结肿大。双肺呼吸音清,未闻明显干湿啰音。心律齐,心率102次/分,各瓣膜区未闻病理性杂音及额外心音。腹部未见明显异常。双下肢无水肿。
【实验室检查】
外周血 WBC 6.52×109/L,Hb 111g/L,PLT 269×109/L;尿蛋白(++);ALT 8U/L;CRP 6.2mg/L ;ESR 80mm/1h ;PCT 0.14ng/ml。
【影像学检查】
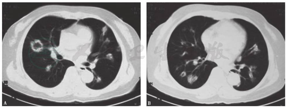
发病第4天,患者于当地医院就诊,胸部CT提示双肺多发结节样改变(图1)。
图1 发病第4天胸部CT表现
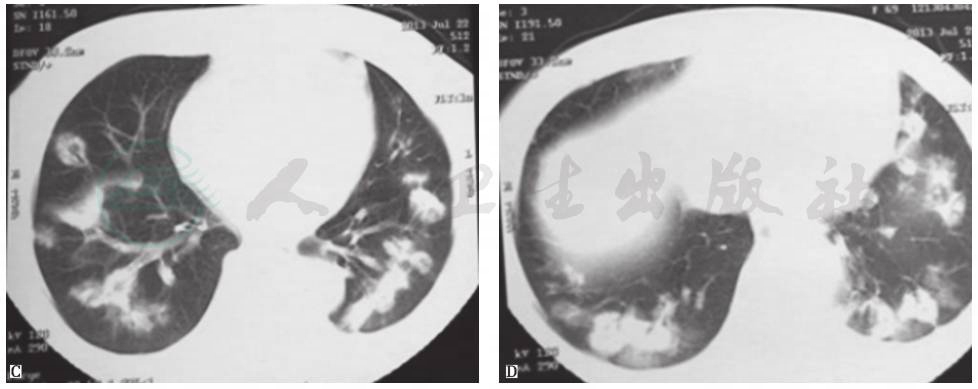
发病第32天,患者转至当地上级医院就诊,胸部CT提示病变较前加重,可见双肺多发大小不一的结节影,部分呈反晕环状,边缘尚清(图2)。
图2 发病第32天胸部CT表现
(二)临床思辨
【临床特点】
1.患者为老年女性,亚急性起病。
2.主要症状和体征为干咳、活动后胸闷及体重下降,无明显阳性体征。
3.实验室检查显示尿蛋白(++),C反应蛋白及降钙素原稍增高,血沉增快。
4.影像学检查见肺多发大小不一的结节影,部分呈环状,病灶进展快。
5.发病40天过程中,患者先后接受多种抗感染治疗(大环内酯类、氟喹诺酮类、三代头孢类等),均无效,仍咳嗽及胸闷,且肺内病变有加重趋势。
【思辨要点】
肺部疾病的常见症状和体征包括咳嗽、咳痰、胸痛、咯血、呼吸困难、肺内湿啰音或哮鸣音,但这些表现并无病因特异性,许多原因均可表现为同样的症状和体征。本例患者的临床症状为咳嗽及活动相关性胸闷,影像学表现以肺多发结节样及环状病灶为主。
在确立诊断的过程中首先需要考虑的是:以肺多发结节样及反晕环状病灶为主要表现的肺部疾病有哪些?
肺部疾病可有不同形态、大小、密度或信号及数目的异常影像学表现,这是肺部病变的大体病理改变在影像学上的反映。其基本病变的影像学表现包括支气管阻塞,肺实变,空洞与空腔,结节与肿块,网状、细线状及条索状影,钙化。一种疾病在发展的不同时期可出现不同的异常影像学表现,不同病变又可发生相同或类似的异常影像学表现。以肺部多发结节样及环状病灶为主要影像学表现的疾病包括肿瘤性病变(包括肺原发性肿瘤及转移性肺癌)、侵袭性肺真菌病、肺结核、肉芽肿性多血管炎、结节病等。
(1)肿瘤性病变
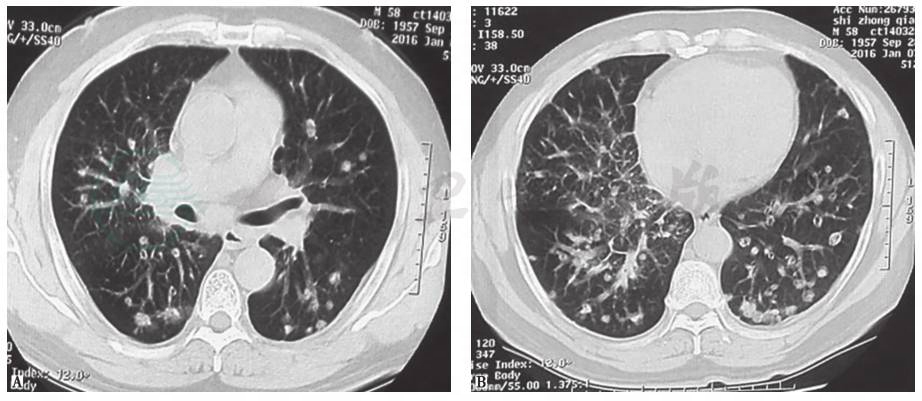
本例患者为老年女性,平时身体健康,无结构性肺病病史,入院前行肠镜检查提示乙状结肠溃疡性浸润性病变,且有明显体重下降表现,不能排除胃肠道肿瘤肺转移的可能。肺转移性肿瘤可分为血行性转移和淋巴性转移,以前者多见。经血行转移时可出现双肺结节样病灶,多为圆形或类圆形,边缘光整,密度均匀,以两中下肺多见(图3)。而本例患者胸部CT表现为不规则结节影,部分可见支气管充气征象,且短期进展迅速,考虑为肺转移性肿瘤可能性不大,但须进一步检查相应临床指标以排除之。
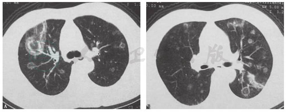
图3 肺转移性腺癌胸部CT表现
男性患者,58岁,咳嗽、咳痰3个月,气喘2个月,诊断为肺转移性腺癌。胸部CT见双肺多发结节性病变,部分空洞形成
(2)感染性疾病
本例患者院前接受了多种抗感染药物治疗(大环内酯类、氟喹诺酮类、三代头孢类等),但临床症状无明显缓解,且肺内病变有加重趋势,不排除抗感染药物未覆盖病原菌,如真菌和结核分枝杆菌。
肺部真菌感染常继发于免疫功能低下和粒细胞缺乏状态等情况,常见病原体包括曲霉菌、肺孢子菌、隐球菌及念珠菌等。肺部曲霉菌感染典型的影像学表现为晕征和新月征(图4),亦可表现为反晕征(图5)。肺孢子菌肺炎的主要影像学表现为双肺弥漫间质性改变伴小叶间隔增厚。个别免疫功能正常者也可发生原发肺曲霉菌病和肺孢子菌肺炎。隐球菌对人类而言是机会致病菌,易侵犯中枢神经系统,引起脑膜炎,感染者多有鸽子等接触史。念珠菌所致肺感染的发生概率很低,诊断困难,多为导管相关性或抗菌药物所致二重感染,罕见原发感染。本例患者的临床过程和胸部影像学表现及演变与曲霉菌感染相近,虽无曲霉菌感染的高危因素,但仍需进一步检查相应指标以排除之。
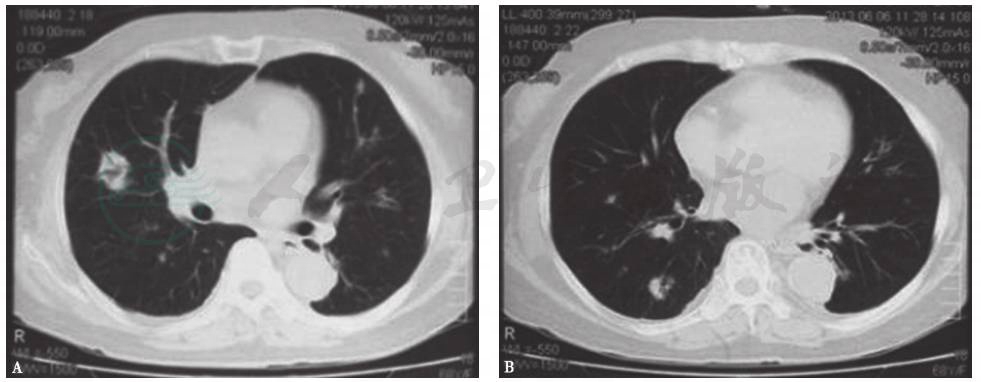
图4 侵袭性肺曲霉菌病胸部CT表现
女性患者,35岁,乏力1个月,发热5天,诊断为粒细胞缺乏症合并侵袭性肺曲霉菌病。胸部CT可见双肺多发实变斑片影,多发晕征结节伴新月形空洞形成
图5 肺曲霉菌感染胸部CT表现
女性患者,55岁,间断发热1个月,咳嗽1周,痰中带血1天,诊断为侵袭性肺曲霉菌病。胸部CT可见双肺多发结节影伴反晕征形成
对于本病例是否为结核分枝杆菌等特殊病原菌引起的感染,依据现有临床资料难以确定。
(3)肉芽肿性病变
一些自身免疫性疾病等非感染性因素也可导致肺多发结节及环状影等影像学改变,如肉芽肿性多血管炎、结节病等。
肉芽肿性多血管炎(GPA):既往称为韦格纳肉芽肿,是一种坏死性肉芽肿性血管炎,属于自身免疫性疾病。该病主要侵犯上、下呼吸道和肾脏,通常以鼻黏膜和肺组织的局灶性肉芽肿性炎症为开始,继而进展为血管的弥漫性坏死性肉芽肿性炎症。临床常表现为鼻和鼻旁窦炎、肺病变和进行性肾衰竭,还可累及关节、眼、皮肤、心脏、神经系统及耳等。侵犯肺部时影像学表现可有多样性、多发性及多变性等特点(图6)。本例患者虽有蛋白尿的肾脏损害表现,但临床病程及症状与GPA相距甚远,故考虑GPA可能性不大。
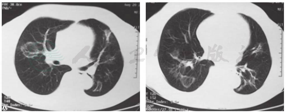
图6 韦格纳肉芽肿胸部CT表现
女性患者,21岁,间断咳嗽2个月,诊断为韦格纳肉芽肿。胸部CT可见双肺多发结节影伴空洞形成,各结节影与血管关系密切
结节病:是一种病因未明的多系统肉芽肿性疾病,临床上以双侧肺门淋巴结肿大、肺浸润及皮肤、眼睛损害为主要表现,常见于青壮年,90%以上结节病患者有肺部改变。诊断结节病时除依据典型的临床和影像学表现外,还需具有非干酪上皮样细胞肉芽肿的组织学改变。本例患者目前的临床资料尚不足以诊断结节病,需进一步检查排除。
综上所述,本例患者除了无曲霉菌感染高危因素外,其总体临床过程及影像学改变与曲霉菌感染最为相似,考虑曲霉菌感染可能性大,在无病理学依据情况下拟行经验性诊断及治疗,同时完善相关检查,进一步排除其他因素所致病变。
(一)临床信息
【实验室检查】
1.一般检查
(1)血常规(多次检查)
WBC(6.09~9.50)×109/L,N% 70.5%~82.4%,Hb 95~111.0g/L,PLT正常。
(2)生化(多次检查)
ALT 8~13U/L,AST 13~15U/L,ALB 29.1~40g/L,肌酐清除率(creatinine clearance rate,CCr)105~191mmol/L。
(3)心肌损伤检查
肌红蛋白、心肌肌钙蛋白I(cardiac troponin I,cTnI)、CK-MB及NT-proBNP均阴性。
(4)血气分析
pH 7.413,PaO2 69mmHg,PaCO2 37.5mmHg,
23.9mmol/L,SaO2 94%。
2.免疫相关检查
抗核抗体(胞质颗粒型)1∶100,抗ds-DNA、抗nRNP、抗Sm、抗SSA、抗SSB、抗Scl-70、抗Jo-1、抗着丝点B蛋白、抗组蛋白、抗核小体、抗核糖体P蛋白、抗Ro-52等均阴性;抗中性粒细胞胞质抗体(ANCA)阴性,髓过氧化物酶(myeloperoxidase,MPO)<20RU/ml,蛋白酶 3(protease 3,PR3)< 20RU/ml。
3.感染相关检查
PCT 0.05ng/ml;CRP 0.3mg/L。血清病原抗体(包括梅毒螺旋体、HIV、乙肝病毒、丙肝病毒)等均阴性,真菌检测(G试验和GM试验)均阴性。痰病原检测(包括普通细菌、真菌、抗酸染色)3次,均阴性。
4.肿瘤相关检查
肿瘤标志物(包括AFP、CEA、CA125、CA15-3、CA19-9、CA72-4、NSE、β-hCG等)均阴性。
【影像学检查】
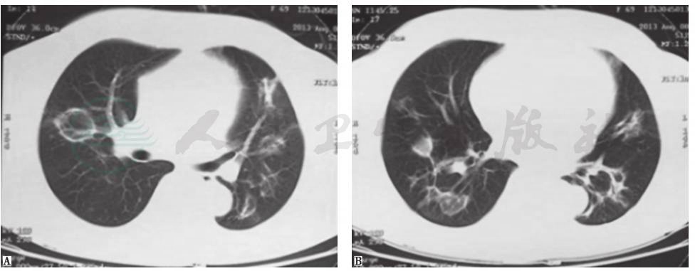
胸部CT:两肺见散在多个片状、花环状高密度影,反晕征,部分密度不均,边缘尚清,部分相互融合,大部分可见含气支气管征(图7)。
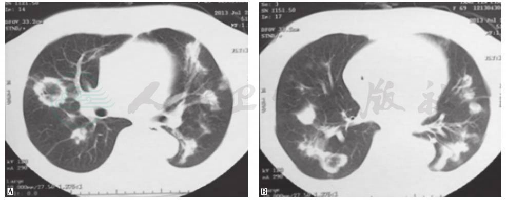
图7 入院后胸部CT表现(发病第50天)
【治疗过程】
患者入院后所做系列检查显示:①肿瘤标志物及大便检查均阴性,结合临床表现,基本上可排除胃肠道肿瘤肺转移;②虽然抗核抗体为1∶100,但其余自身抗体均阴性,结合临床表现,暂不考虑风湿免疫病;③胸部CT提示病变进一步加重;④常规病原学检查均阴性。因此,不排除曲霉菌感染的可能。但患者应用伊曲康唑治疗10天后,复查胸部CT(图8)提示病情进一步加重,且静息状态下动脉血气呈现低氧血症(FiO2 33%,PaO2 64mmHg)。由此推测,本病例可能是由一些非感染非肿瘤性疾病引起。
图8 入院后胸部CT表现(发病第58天)
胸部CT显示,与发病第50天时(图7)相比,双肺原有病灶进一步加重,并出现右侧少量胸腔积液
(二)临床思辨
此时需要思考的是:如果本病例为非感染、非肿瘤性疾病导致,如何选择鉴定病因的最佳手段?
确定病因,可通过无创和有创手段获得标本,进行相关检测。
通过无创手段获得标本检测,包括培养病原(可取外周血、呼吸道分泌物等标本)、抗原检测(可取咽拭子、血标本、尿液标本,进行病原体抗原直接或间接免疫荧光检测)、抗体检测(血清抗体酶联免疫吸附试验)等。本病例应用这些方法进行一系列检测,均无阳性发现。
通过有创手段获取标本检测,包括CT引导下穿刺、气道超声内镜引导下穿刺和外科胸腔镜手术等。本例患者胸部影像学表现呈弥漫性表现,年龄较大且曾有腰椎骨折,手术获取标本的麻醉风险高且创面相对大,不宜实施;同时,病灶主要分布于外周,也不宜行超声内镜引导下穿刺。病变累及的范围主要在双肺中下叶外带,可选择CT引导下经皮肺穿刺活检,对病灶进行病理学深入检查,积极探究病因。
(一)临床信息
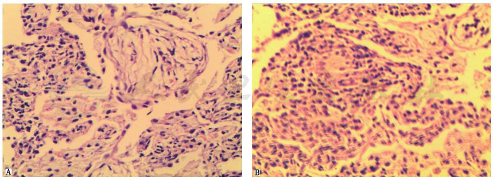
经患者本人和家属同意,对患者实施了CT引导下经皮肺穿刺活检术。术后活检组织病理检查见肺泡间隔增宽,间质纤维组织增生,部分肺泡腔内纤维组织呈息肉样增生(图9A),多量慢性炎症细胞浸润,呈机化性肺炎构象(图9B)。
图9 经皮肺穿刺活检病理表现(HE染色,400×)
最后诊断:隐源性机化性肺炎。
患者经口服糖皮质激素抗炎治疗后稳定恢复,复查胸部CT见图10~图12。
图10 治疗8天时胸部CT表现
胸部CT见双肺原有病灶明显吸收,胸腔积液消失
图11 治疗22天时胸部CT表现
胸部CT见双肺原有病灶明显吸收,部分病灶完全吸收
图12 治疗3个月时胸部CT表现
胸部CT见双肺原有病灶完全吸收消失
(二)临床思辨
通过一系列经验的、循证的临床证据分析,患者肺内病变的性质诊断为隐源性机化性肺炎(COP),这也可解释为何经验性抗感染治疗无效。COP是一组原因不明的少见疾病。其相应的临床-放射-病理学定义为没有明确致病原(如感染)或其他临床伴随疾病(如结缔组织疾病)情况下出现的机化性肺炎,大多对糖皮质激素治疗有较好反应。COP发病率男女基本相等,发病年龄多在50~60岁,与吸烟无明显相关性。其临床表现缺乏特异性,常为亚急性起病,病程较短(中位病期<3个月),常见临床症状为发热、刺激性咳嗽、乏力,伴体重下降、厌食及胸闷等不适,咯血、夜间盗汗、气胸、纵隔气肿及关节肌肉疼痛少见,气短的症状较轻,上述临床症状可在数周内进展。体检时可发现局限性或广泛性的湿啰音和(或)Velcro啰音,多位于两肺中下部,部分患者亦可无任何体征表现。常规实验检查无特异。肺功能主要表现为轻至中度限制性通气障碍。大多数患者胸部影像学检查可有异常发现,且具有“五多一少”的特点,即多态性、多发性、多变性、多复发性、多双肺受累(图13),蜂窝肺少见。COP的主要病理变化是呼吸性细支气管及以下小气道和肺泡腔内有机化性肺炎改变,病变表现单一,时相一致,呈斑片状和支气管周围分布,位于气腔内,肺结构没有破坏。
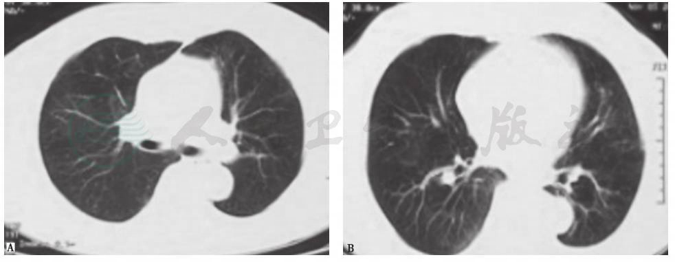
图13 隐源性机化性肺炎胸部CT表现
女性患者,64岁,咳嗽、间断发热4个月余。胸部CT见右肺多叶段高密度实变影,右下肺膨胀不全伴轻度反晕征
另外,患者胸部CT可见多发环状高密度影,临床上常将这一改变称为“环礁征”,亦称“反晕征”。在HRCT肺窗观察可见病灶中心密度低,呈磨玻璃状,周围是新月形或环形高密度。出现这种表现是由于肺泡间隔炎性细胞浸润和细胞碎片形成病灶中心磨玻璃状密度,而肺泡管机化性肺炎或致密、均匀肺泡间细胞浸润导致周围新月形或环形高密度的致密影。
肺部结节样病变是呼吸系统疾病基本的影像学改变之一。在大多数情况下,对于出现此病变的病例诊断为普通的感染性疾病,可能是正确的,治疗上实施经验性抗感染策略会获得理想的结果,达到临床治愈。但有些情况下,诸多非感染性疾病也可能导致相似改变,给临床诊断和治疗带来一定难度,需要临床医师依据临床线索,寻根探究。
隐源性机化性肺炎属于临床上少见的疾病,其诊断基于以下三个方面:①临床及影像学提示机化性肺炎表现;②肺组织病理学证实是机化性肺炎的病理类型;③排除导致机化性肺炎的其他疾病。该病例CT引导下经皮肺穿刺活检术后,其病理证实为机化性肺炎,且无继发性机化性肺炎的病因(如结缔组织疾病、感染等),故考虑隐源性机化性肺炎。其结果说明:对于先前已诊断的肺炎患者,尤其血象不高,痰及血液检查未能获得病原学证据者,在抗生素治疗无效时,须考虑其诊断的正确性,应尽早行经支气管肺活检(TBLB)或经皮肺活检,获得病理学依据,以明确诊断。
(杨 群 赵建平)
1.Travis WD,Costabel U,Hansell DM,et al.An official American Thoracic Society/European Respiratory Society statement :Update of the international multidisciplinary classification of the idiopathic interstitial pneumonias.Am J Respir Crit Care Med,2013,188(6):733-748.
2.Li HP,Fan F,Li QH,et al.Clinical analysis of 25 cases of biopsy-proven cryptogenic organizing pneumonia.Zhonghua Jie He He Hu Xi Za Zhi,2007,30(4):259-264.



