(一)病例信息
【病史】
男性患者,41岁,因体重增加1年,多饮、血糖升高1个月,发热、咳嗽20天,于2009年11月1日收住我院内分泌科。患者于2008年10月开始无诱因出现易饥饿、多食、体重增加(近1年内体重增加18kg),并于1个月前开始出现多饮、多尿,在当地医院测空腹血糖(fasting blood glucose,FBG)18.9mmol/L,血压 150/100mmHg,血常规显示WBC 18.2×109/L,N% 81.7%,Hb 183g/L,PLT 102×109/L,予以胰岛素皮下注射后血糖有所下降。2009年10月28日,患者受凉后出现发热、咽痛,最高体温达38.5℃,在当地医院予以头孢类抗生素治疗无明显效果,并逐渐出现兴奋、躁狂,甚至伤人行为,予以镇静治疗后,于11月3日转来我院急诊。血常规:WBC 9.7×109/L,N% 78.2%,Hb 131g/L,PLT 171×109/L;血生化:随机血糖21.3mmol/L,肝、肾功能大致正常;X线胸片见肺左下叶斑片影。急诊予以莫西沙星抗感染、静脉泵入胰岛素降血糖等处理1周后,患者热退,神志恢复正常,生活能自理,咳嗽减轻,复查胸部X线片见左肺阴影较前明显吸收,以“库欣综合征、异位促肾上腺皮质激素综合征可能性大”收住内分泌科病房。患者既往身体健康,吸烟15年,30支/天,未戒;不嗜酒。婚育、家族史无特殊。
在内分泌科,针对库欣综合征进行了全面检查。腹部增强CT示双侧肾上腺增生,垂体磁共振成像(magnetic resonance imaging,MRI)未见异常,结合大/小剂量地塞米松抑制试验、血浆促肾上腺皮质激素(adrenocorticotropic hormone,ACTH)浓度、24小时尿游离皮质醇、促肾上腺皮质激素释放激素(corticotropin releasing hormone,CRH)兴奋试验等检查结果,考虑异位ACTH综合征可能性大。11月9日查胸部CT,见双肺散在小结节、斑片影,双侧少量胸腔积液。11月17日,患者再次出现咳嗽、痰中带血丝,伴低热(最高体温37.9℃),复查X线胸片见双肺多发结节影,加用莫西沙星后病情缓解不明显。11月19日复查胸部CT,显示双肺多发结节、空洞影(图5)。为进一步诊疗,患者转入我院呼吸内科(患者自11月4日来我院急诊至转呼吸科之前,一共用莫西沙星9天)。
【体格检查】
体温36.9℃,心率87次/分,呼吸15次/分,血压146/95mmHg,体质指数(body mass index,BMI)28.3kg/m2。神清语利,四肢皮肤薄,库欣面容(脸圆、锁骨上脂肪垫、水牛背),浅表淋巴结不大,心、肺、腹查体未见异常,双下肢轻-中度可凹性水肿。
【影像学检查】
系列胸部影像学检查表现见图1~图5。
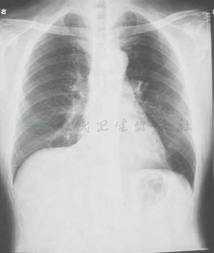
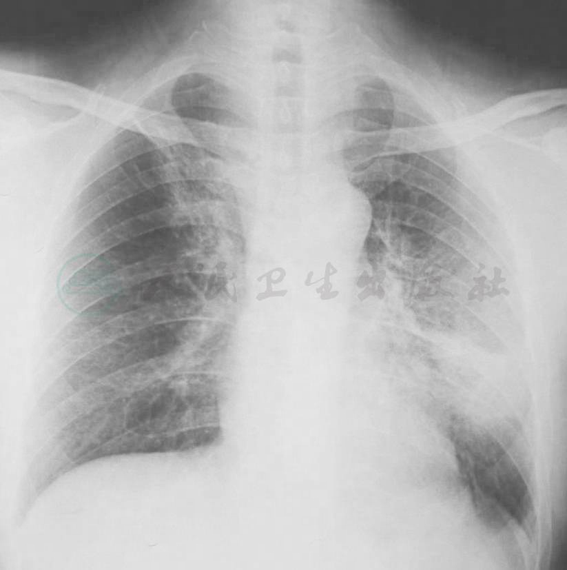
图1 X线胸片(2009-11-04)
X线胸片示左下叶斑片影,右上肺纹理增多
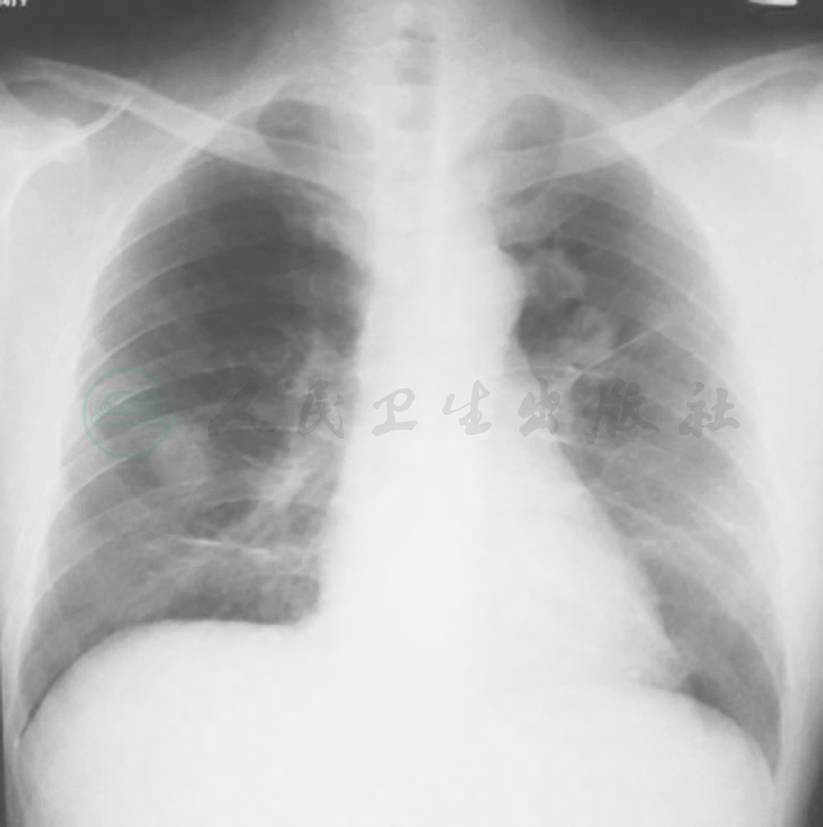
图2 X线胸片(2009-11-11)
X线胸片示左下叶斑片影较前明显吸收
图3 胸部CT表现(2009-11-09)
胸部CT示双肺散在小结节、斑片影,双侧少量胸腔积液
图4 X线胸片表现(2009-11-17)
X线胸片示双肺多发结节影
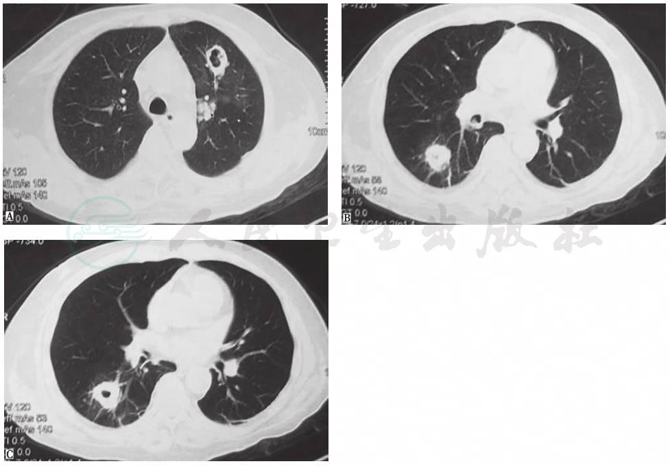
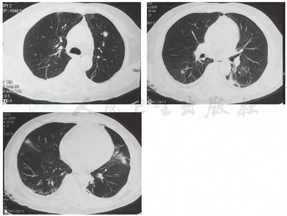
图5 胸部CT表现(2009-11-19)
胸部CT示双肺多发结节、空洞影
(二)临床思辨
【临床特点】
1.患者为中年男性,病程呈慢性,近期病情加重。
2.主要症状为在体重增加、多饮、血糖升高基础上,出现发热、咳嗽。
3.胸部影像学特点为病初见左下肺斑片影,莫西沙星治疗后肺部阴影吸收,停用后肺部阴影短期内再次增多。
4.内分泌方面的进一步全面评估后,考虑为库欣综合征、异位ACTH综合征可能性大;继发性糖尿病、继发性高血压。
5.患者既往身体健康,有大量吸烟史。
【思辨要点】
1.本病例是感染性疾病还是非感染性疾病?
本例患者有内分泌异常基础病,临床表现为体重增加、多饮、血糖升高,经内分泌科全面评估后,考虑为库欣综合征、异位ACTH综合征可能性大,继发性糖尿病、继发性高血压。
患者此次为急性起病,病初为中-高热,莫西沙星短期治疗一度有效,病情(临床表现和肺部阴影)得以缓解,但停药后短期内再次发热、肺部阴影再现(绝大多数肺部阴影在原有病变基础上增大),首先考虑为感染性疾病所致的可能性大,并且结合莫西沙星的治疗作用,考虑为莫西沙星能覆盖/部分覆盖的病原体(包括多种常见可导致社区获得性肺炎的病原体,如肺炎链球菌、苯唑西林敏感金黄色葡萄球菌、支原体、军团菌等)。鉴于患者病情加重后,胸部CT表现为在原来病变基础上出现结节、空洞,重点考虑金葡菌感染的可能,同时须鉴别由于库欣综合征、继发性糖尿病血糖水平控制差,其他多种病原(如结核分枝杆菌、非结核分枝杆菌、诺卡菌等)导致的机会感染,尚需进一步病原学检查结果证实。其次,还需要考虑非感染性疾病,尤其是肺部肿瘤性疾病。患者有库欣综合征,需要警惕神经内分泌肿瘤可能。由于患者肺部阴影在抗感染治疗后缩小,停药后在短期内又明显增大、增多,不是肿瘤性疾病常见的表现,故可排除。此外,虽然抗中性粒细胞胞质抗体(ANCA)相关性血管炎也可以表现为肺内多发结节、空洞影,但抗感染药物无效,与本病例病情变化情况不符。
综上分析,结合患者肺内阴影原有病灶加重,并出现新发病灶,初步诊断本病例为感染性疾病可能性大,其病情反复可能与以下因素有关:①抗感染药物未能完全覆盖致病病原体或已诱导耐药;②抗感染药物剂量和疗程不足。
2.导致本例患者发病的病原体可能是什么?
鉴于本病例为肺部感染性疾病所致可能性大,故需甄别导致感染的病原体。结合患者前期莫西沙星治疗有效,停药后病情再次加重,导致肺部多发结节、空洞的特点,判断可能的病原体有以下几类。
(1)革兰阳性球菌
肺内多发结节、空洞常见于金黄色葡萄球菌(简称金葡菌)感染,多为血行性感染所致,患者多有明显败血症的临床表现,且多数患者病初有皮肤破损或感染。本例患者病初抗生素治疗有效,后期则疗效欠佳,需要考虑短期内药物敏感性金葡菌被诱导耐药的可能。从患者病情演变特点和过程分析,此种可能支持点不多,但不能完全排除。
(2)革兰阴性杆菌
肺炎克雷伯菌肺炎是比较容易引起肺部空洞影的革兰阴性杆菌肺部感染,好发于老年人,特别是有基础疾病者。莫西沙星对部分肺炎克雷伯菌有效。肺炎克雷伯菌肺炎的典型CT表现为片状实变影或脓肿形成,实变影边界模糊,但靠近叶间裂处则比较清晰,局部实变影向后突出形成典型的钟乳石征,病变可在短期内形成空洞。本例患者胸部CT表现以随机分布的结节、空洞为主,并非是典型肺炎克雷伯菌肺炎表现。
(3)机会致病菌
结核/非结核分枝杆菌、诺卡菌、放线菌、真菌感染等,均可以引起肺内多发结节、空洞。对于本例患者,由于前期莫西沙星治疗有效,基本可以排除真菌感染的可能。单药莫西沙星对放线菌感染一般疗效欠佳,结合患者治疗反应,考虑本例患者放线菌感染的可能性不大。诺卡菌是机会致病菌,经皮肤、呼吸道造成感染,新型喹诺酮类抗生素(如莫西沙星)治疗有效。诺卡菌感染一般见于免疫抑制状态下的患者,胸部CT多见肺内实变、结节、空洞影等。本例患者有库欣综合征、继发性糖尿病的基础,且近期血糖控制欠佳,需要高度怀疑诺卡菌感染的可能。结核/非结核分枝杆菌引起免疫抑制人群感染可以表现为短期内迅速扩大/出现结节和空洞影,莫西沙星也有部分疗效。对于本例患者,结合其内分泌疾病基础,不能排除结核/非结核分枝杆菌感染的可能性。
通过以上分析,本病例的诊断可定位于感染性疾病,病情反复可能是因为病原体已被诱导耐药、抗感染药物剂量或疗程不足或抗菌谱不能覆盖等;可能的病原体包括结核/非结核分枝杆菌、诺卡菌等,不能排除耐药金葡菌感染等;建议积极进行病原学检查,必要时行支气管镜检查留取病变部位分泌物或局部支气管肺泡灌洗液送检,或行经皮肺穿刺活检,以尽早明确诊断,采取针对性治疗。
(一)临床信息
【辅助检查】
1.化验
T淋巴细胞刺激γ-干扰素释放试验、肺炎支原体IgM、军团菌抗体和肺炎衣原体抗体均阴性。肺癌标志物、癌抗原系列均阴性;抗核抗体、抗中性粒细胞胞质抗体均阴性。
2.痰病原学检查
两次痰找瘤细胞及血培养阴性,痰真菌涂片、痰涂片抗酸染色、弱抗酸染色及痰细菌培养、真菌培养(各2~3次)均为阴性。与微生物专业技术人员沟通后,再次留痰送检弱抗酸染色阳性。
3.其他
患者及其家属拒绝行支气管镜检查,同意行经皮肺穿活检。病理提示肺部感染性疾病可能性大,肺组织弱抗酸染色阳性,诺卡菌培养示星形诺卡菌阳性。
【诊治过程】
患者转入呼吸科后,对其予以亚胺培南/西司他丁钠、莫西沙星联合治疗,体温高峰逐渐下降,咳嗽、咳痰也逐渐减轻。但9天后,患者出现躁动、胡言乱语等精神症状。考虑可能存在以下原因:
1.医源性
亚胺培南、莫西沙星都有可能引起精神、神经症状。遂在明确病原后调整抗感染药物为头孢曲松联合复方新诺明(磺胺甲𫫇唑与甲氧苄啶,12片/天)。3天后,患者神志状态进一步恶化,出现躁狂、伤人等行为,并且无法交流。因此,患者的精神症状是由上述抗生素不良反应所致可能性不大。
2.合并颅内病变
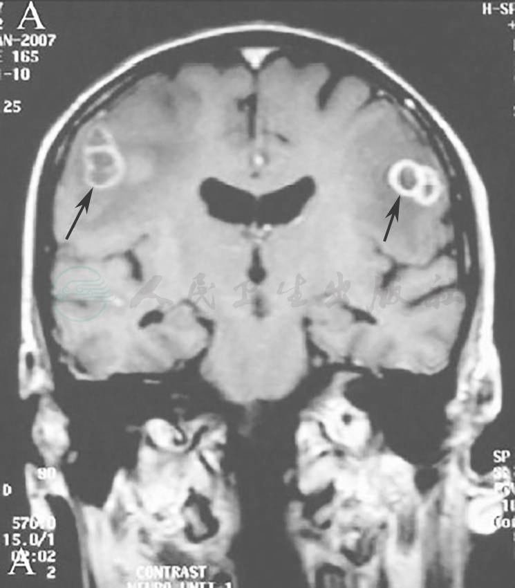
从患者的胸部影像学表现来看,需要警惕血行播散性诺卡菌感染的可能,而这类病变容易合并颅内病变,遂急行头颅MRI,显示颅内多发环形病变(图6),考虑为合并颅内感染。
最后诊断:肺星形诺卡菌病。
向患者家属交代病情后,家属放弃进一步诊疗,自动出院。
图6 头颅增强MRI
增强MRI示颅内多发环形增强的占位性病变,周围水肿明显
(二)临床思辨
肺诺卡菌病是由诺卡菌感染所引起的肺部疾病,主要经呼吸道吸入致病,少部分经血液播散引起,后者常伴有其他部位病变,以脑和皮肤病变最常见。诺卡菌广泛存在于自然界中,是一种革兰染色、弱抗酸染色阳性的需氧杆菌,属于原核细菌界、厚壁细菌门、真细菌纲、放线菌目、放线菌科,常寄生于土壤中,经过呼吸道或直接感染破损皮肤、肠道而造成内脏、皮肤严重感染,人与人之间不传染。诺卡菌有50余种,仅半数菌种能在人或动物中致病,致病诺卡菌中以巴西诺卡菌、星形诺卡菌最多见。显微镜下,诺卡菌形态类似于放线菌,通过其需氧生长的特性可以鉴别。绝大多数诺卡菌菌株弱抗酸染色阳性。诺卡菌的培养基条件不高,通常用去氯霉素的Sabouraud培养基做诺卡菌培养,其生长速度偏慢,2~6天才生成肉眼可见的菌落,故仅观察24~48小时是不够的。如果临床怀疑诺卡菌感染,须适当延长培养时间以提高阳性率。肺诺卡菌感染多见于免疫缺陷患者,特别是细胞免疫缺陷者,如器官移植状态、白血病、AIDS、因自身免疫病应用长期/大剂量糖皮质激素和(或)细胞毒药物治疗和恶性肿瘤患者接受化疗者等。
肺诺卡菌病的病程多以亚急性或慢性起病,临床主要表现为发热(中-高度热)、咳嗽、咳痰、胸痛、呼吸困难,以及乏力、体重下降等非特异性表现,少数患者可出现咯血。部分免疫缺陷患者也可以急性起病,表现为重症肺炎。体格检查常无特异性表现。部分患者肺脓肿是全身播散性诺卡菌病的一部分,常伴有中枢神经系统和皮肤病变。中枢神经系统受累主要表现为颅内脓肿,可伴有恶心、呕吐、头痛、神志或意识改变。皮肤病变主要表现为单发或多发皮下脓肿。肺诺卡菌病的影像学表现多种多样,并无特异性。早期常表现为单侧或双肺斑片影、结节影,部分患者表现为团块影,上肺或下肺均可受累;病变进展时可表现为肺实变、空洞,常伴有胸膜病变或胸腔积液。
临床疑诊为诺卡菌感染时,及时与微生物专业技术人员沟通,行相关标本的特殊染色,并延长送检标本培养时间是提高诊断阳性率的关键。需要注意,用3%盐酸酒精进行抗酸染色、用1%硫酸进行弱抗酸染色时,弱抗酸染色阳性不等同于抗酸染色弱阳性。临床疑诊时,取合格痰涂片进行弱抗酸染色、痰培养(适当延长培养时间)。若痰检为阴性,需考虑采取侵入性检查手段,如支气管镜取下呼吸道分泌物、支气管肺泡灌洗液,甚至肺活检组织进行弱抗酸染色、培养;合并胸腔积液、皮肤脓肿或脑脓肿时,还可以取胸腔积液或脓液进行弱抗酸染色、培养。此外,诊断肺部诺卡菌感染,需要与其他感染性疾病(如结核分枝杆菌感染、放线菌感染、曲霉菌感染等)以及肿瘤等非感染性疾病鉴别。
在诺卡菌感染治疗方面,磺胺类药物为首选和基本用药。若患者对磺胺过敏,可选用阿莫西林克拉维酸、米诺环素、氟喹诺酮类抗生素。此外,阿米卡星、奈替米星、三代头孢菌素、碳青霉烯类抗生素、利奈唑胺等抗生素也对诺卡菌敏感。近年来,耐磺胺诺卡菌逐渐增多,在磺胺类抗菌药物疗效不理想时需要考虑细菌耐药的可能。皮疽诺卡菌、豚鼠耳炎诺卡菌常对磺胺类药物耐药。肺诺卡菌病合并其他部位诺卡菌感染,尤其是合并中枢神经系统病变时,建议采用两种或以上抗感染药物联合治疗。若无过敏,可以磺胺类药物为基本治疗,联合三代头孢、阿米卡星或碳青霉烯类抗生素等。此外,充分引流脓肿灶有助于病情恢复,尤其是对于合并皮肤脓肿灶、影响病情的脑脓肿灶者。改善患者一般情况和基础免疫状态对治疗本病也很关键。在抗感染疗程方面,对于免疫抑制状态患者,需要治疗6~12个月;对于无中枢神经系统受累的免疫力正常患者,需要至少治疗6个月;对于有中枢神经系统受累者,需要至少治疗1年。
肺诺卡菌病预后与患者的基础免疫状态、诺卡菌毒性、病变范围及是否早期、合理抗感染治疗等因素相关。播散性诺卡菌感染病死率高,合并播散性中枢神经系统脓肿时,预后更差。
本例患者有库欣综合征、继发性糖尿病基础,容易出现各种机会感染。对于此类患者,在出现发热、肺部阴影时,首先要考虑感染性疾病,并且应尽量明确病原菌,给予足量和足疗程敏感抗菌药物治疗。此外,免疫抑制患者出现肺部诺卡菌感染同时合并中枢神经系统症状时,需要警惕合并中枢感染的可能,建议尽早行头颅MRI检查,以明确是否合并颅内感染,积极治疗,改善预后。
(黄 慧 徐作军)
1.黄慧,陆志伟,徐作军.诺卡菌感染26例临床特点分析.中华结核和呼吸杂志,2010,33:651-655.
2.中华医学会内分泌学分会.库欣综合征专家共识.中华内分泌代谢杂志,2012,28:96-102.
3.Kosmidis C,Denning DW.The clinical spectrum of pulmonary aspergillosis.Thorax,2015,70:270-277.
4.Kim SR,Jung LY,Oh IJ,et al.Pulmonary actinomycosis during the first decade of 21st century :cases of 94 patients.BMC Infect Dis,2013,13:216.
5.Mehrian P,Esfandiari E,Karimi MA,et al.Computed tomography features of pulmonary nocardiosis in immunocompromised and immunocompetent patients.Pol J Radiol,2015,80:13-17.
6.Kurahara Y,Tachibana K,Tsuyuguchi K,et al.Pulmonary nocardiosis :a clinical analysis of 59 cases.Respir Investig,2014,52:160-166.
7.Bakker RC,Gallas PR,Romijn JA,et al.Cushing’s syndrome complicated by multiple opportunistic infections.J Endocrinol Invest,1998,21:329-333.



