(一)病例信息
【病史】
男性患者,17岁,26天前,受凉后出现发热,最高体温为39.5℃,伴干咳,于当地诊所就诊,考虑为肺炎。发病第10天,X线胸片证实左下肺肺炎样改变。其间先后给予左氧氟沙星、头孢曲松、头孢哌酮/舒巴坦、利巴韦林(病毒唑)治疗14天,效果不佳,患者仍发热、咳嗽。发病第14天转诊至上级医院,胸部CT提示肺脓肿,抗菌药物先后改用庆大霉素、奥硝唑、阿奇霉素、头孢他啶及阿莫西林钠克拉维酸钾,治疗9天,体温较前升高,最高达40.2℃,服用解热镇痛药对症降体温。患者自发病以来,有腹泻,每天3~4次,为黄色水样便,偶有恶心、呕吐,无腹痛、头痛、头晕、咳脓痰、咯血、关节肿痛等不适。食欲尚可,小便无异常,体重无明显变化。
患者既往身体健康,否认犬类、牛羊等动物接触史,偶尔吸烟,不饮酒。
【体格检查】
体温40.1℃,心率120次/分,呼吸22次/分,血压115/80mmHg。急性病容,颜面潮红。左下肺语颤消失,叩诊实音,可闻及湿啰音;右肺呼吸音清,无啰音;无胸膜摩擦音。心律齐,未闻明显病理性杂音。腹部未见明显异常。双侧下肢无水肿。
【实验室检查】
血常规:白细胞(white blood cell,WBC)10.57×109/L,血红蛋白(hemoglobin,Hb)152g/L,血小板(blood platelet,PLT)157×109/L。
尿常规:尿蛋白(+)。
生化:丙氨酸转氨酶(alanine aminotransferase,ALT)52U/L,肌酐(creatinine,Cr)61μmol/L。
红细胞沉降率(erythrocyte sedimentation tate,ESR,简称血沉):29mm/1h。
【影像学检查】
X线胸片(发病第10天):左下肺可见大片高密度影(图1)。
胸部CT(发病第14天):左肺下叶高密度影,边界欠清晰,其间可见多发囊性病变(图2)。
图1 发病第10天X线胸片表现
图2 发病第14天胸部CT表现
(二)临床思辨
【临床特点】
1.患者为青年男性,起病急。
2.主要症状和体征为高热、干咳,时有腹泻,左下肺可闻湿啰音。
3.实验室检查显示外周血白细胞略高,尿蛋白(+),血沉略增快,肝功能有轻度异常。
4.影像学检查显示肺斑片状渗出影,实变演变为囊性空洞形成,病灶进展快。
5.发病26天过程中,患者先后接受多种抗感染药物治疗(氟喹诺酮类、三代头孢类、大环内酯类、庆大霉素和奥硝唑等),仍高热,而且肺内病变有加重趋势,治疗无效。
【思辨要点】
肺部疾病的常见症状和体征包括咳嗽、咳痰、胸痛、呼吸困难、肺内湿啰音或哮鸣音,但这些表现并无病因特异性,许多原因均可表现为同样的症状和体征。对疑似感染性肺疾病患者,在确立诊断的过程中首先需要明确以下问题。
1.患者所患是否为感染性肺部疾病?
对于本例患者的病因究竟是不是感染,首先要排除风湿免疫病和肿瘤等非感染性疾病。风湿免疫病的临床表现除了发热外,往往伴有肾、关节、皮肤、肌肉和血液等多系统损伤,单一累及肺组织者少见。当累及肺组织时,大多是双肺弥漫性间质损伤或弥漫性肺泡出血(图3),很少是单一肺叶受累;另外,在短期内,肺部高密度影浸润病灶发展为肺空洞或囊样病变的风湿免疫病多见于韦格纳肉芽肿(图4)。这一疾病多合并耳眼鼻喉等上呼吸道关联器官和(或)肾损伤,肺内病灶表现为多变、多形、多样,固定性肺内病灶的演变则较为少见。本例患者未有上述类似关联病症,仅单一肺叶段受累进行性加重,故发生风湿免疫病性肺损伤的可能性不大,但仍需进一步检查相应临床指标以排除。
图3 肺-肾出血综合征治疗前后影像改变
男性患者,40岁,发热、咯血1周,伴呼吸困难。胸部CT可见:发病时(A)双肺弥漫磨玻璃高密度影,治疗1年后随访时(B)肺内病变吸收好转。临床诊断为肺-肾出血综合征
图4 韦格纳肉芽肿胸部CT表现
胸部CT平扫可见双肺多发空洞性改变,个别空洞伴液平(蔡后荣教授提供)
另外,发热伴肺部病变还有可能发生于肿瘤性肺疾病,如原发性非霍奇金肺淋巴瘤和中心性肺癌导致阻塞性肺炎伴空洞等。肺淋巴瘤往往表现为肺实变,进展程度依据个体差异而有不同,病理改变为淋巴瘤细胞浸润(图2-1-1-5),一般不呈现空洞性改变,更罕见肺气囊样病灶。
图5 肺淋巴瘤胸部影像学表现
男性患者,44岁,间断发热9个月,痰中带血1个月。胸部X线片(A)可见右中上纵隔旁肺野大片高密度影,CT(B)可见右上叶前段和中叶大片实变影,并见支气管充气征。病理诊断为肺淋巴瘤
对于肺癌本身癌性空洞或中心性肺癌所导致的阻塞性肺炎合并肺脓肿(图6),经支气管镜和胸部CT检查大多可明确,临床确诊较为容易。本例患者胸部CT未见左下肺叶段支气管内阻塞迹象,且年仅17岁,发生肺癌的可能性较小,但仍需行支气管镜检查予以排除。
图6 肺鳞癌胸部影像学表现
女性患者,86岁,痰中带血5个月。胸部X线片(A)可见左上叶巨大厚壁空洞,内壁凸凹不平,CT(B)可见左上叶巨大厚壁空洞,内壁凸凹不平,并见液平。病理诊断为肺鳞癌
由此可见,本例患者除了“干咳,无脓性痰液排出,肺内病灶进展为囊样改变”与常见肺部感染存在很大不同,总体临床过程仍以感染可能性最大。轻度肝功能异常(小于正常值的2倍)和少量蛋白尿可能与高热相关。血沉为非特异性指标,略增快也可能与感染有关。
2.患者可能患哪种类型感染?病原可能是什么?
本例患者的临床诊断既然倾向于感染,那会是哪一类感染呢?
肺炎依据感染获得的场所和病原学特点不同而分为:①社区获得性肺炎(community acquired pneumonia,CAP),常见革兰阳性球菌、非典型病原体、普通病毒等病原感染;②早期院内获得性肺炎,感染病原体同CAP;③晚期院内获得性肺炎,常见革兰阴性杆菌、肠球菌、耐甲氧西林金黄色葡萄球菌、多耐药/广泛耐药/全耐药菌等感染;④免疫功能低下时肺炎,多为机会型感染,如巨细胞病毒(cytomegalovirus,CMV)、肺孢子菌(pneumocystis carinii,PC)等感染;⑤吸入性肺炎,多为口腔厌氧菌或化学吸入性肺损伤(Mendelson综合征)(图7)。按感染病原,可分为普通感染(常见病原有细菌、病毒和真菌)和特殊感染(主要病原包括结核分枝杆菌、非结核分枝杆菌和诺卡菌等)。
图7 Mendelson综合征X线胸片表现
男性患者,72岁,脑梗死后发生呕吐、呼吸窘迫,伴Ⅰ型呼吸衰竭,X线胸片可见双肺弥漫高密度影(A),经糖皮质激素治疗5天后,肺内病变明显吸收(B)
本例患者为青年男性,平时身体健康,如果病因是感染,临床上多属于CAP。多种抗感染规律治疗无效的CAP称为无反应性肺炎。其发生原因包括:①抗感染药物未覆盖感染病原(包括细菌、病毒和真菌);②感染病原对抗菌药物产生耐药;③感染病原转变为原生质菌,对抗菌药物无应答;④初始阶段治疗有效,新发感染病原使病情反复。
由于本例患者平素身体健康,无结构性肺病等慢性病病史,原发于非发酵菌(铜绿假单胞菌、鲍曼不动杆菌和嗜麦芽窄食单胞菌等)感染的可能性小,也不存在合并新发感染病原、产生广泛耐药或全耐药病菌和原生质菌等状况,最可能的原因是抗感染药物未覆盖感染病原。本例患者曾使用氟喹诺酮类、三代头孢类、大环内酯类、庆大霉素和奥硝唑等抗感染药物,所覆盖的抗感染病原包括肺炎链球菌、流感嗜血杆菌、非典型病原(肺炎支原体、肺炎衣原体和军团杆菌)、常见革兰阴性菌(肺炎克雷伯菌等)和厌氧菌等。未覆盖的普通病原包括病毒、真菌和个别细菌(包括金黄色葡萄球菌和结核分枝杆菌等一些特殊感染致病菌)。
金黄色葡萄球菌包括甲氧西林敏感性金黄色葡萄球菌(methicillin-sensitive staphylococcus aureus,MSSA)和甲氧西林耐药金黄色葡萄球菌(methicillin-resistant staphylococcus aureus,MRSA),均可引起社区获得性感染。MRSA所致感染发展迅速,临床表现较重(图8),应该有咳脓痰的症状,本例患者现有临床资料并不能完全排除之。
图8 肺脓肿胸部CT表现
女性患者,15岁,发热、咳嗽5天,出现进行性呼吸困难;发病8天后出现多发肺脓肿,伴双侧胸腔积液(佘丹阳教授提供)
病毒性肺炎也是导致成年人社区获得性肺炎的一种常见病原。在成年人中,巨细胞病毒和EB病毒感染多发生于无免疫功能低下者,并且进展迅速(图9)。本例患者无类似病史,基本可以排除。流感病毒、鼻病毒、腺病毒和偏肺病毒等引起的感染,多表现为外周血白细胞正常或降低。病毒性肺炎可以从初始的单叶段病灶很快发展为多叶段受累,并且很少发生肺组织坏死和气囊样改变(图10)。此外,病毒性肺炎要么短期内迅速加重,发展为重症肺炎,甚至急性呼吸窘迫综合征(ARDS),要么呈自限性,逐渐好转,很少呈迁延状态或亚急性过程。可见,本例患者由病毒引起肺部感染的可能性很小。
图9 巨细胞病毒性肺炎影像学表现
男性患者,44岁,肾移植术后3个月,发热4天,呼吸困难1天。发病前胸部X线片(A)未见肺内活动性病变;发病后第4天胸部X线片(B)可见双肺弥漫性磨玻璃样改变,未见双侧胸腔积液;发病后第4天胸部CT(C)可见双肺弥漫性磨玻璃样高密度影,其间可见散在马赛克征(以小叶中央性为主,考虑为闭塞性细支气管炎)。诊断为巨细胞病毒性肺炎
图10 腺病毒肺炎影像学表现
男性患者,22岁,发热、咳嗽1周,呼吸困难3天。胸部X线片(A)可见双肺中下肺野为主高密度实变影,双侧肋膈角消失,右侧尤著;胸部CT(B)可见以双下肺为主的弥漫高密度实变影伴支气管充气征,并见双侧胸腔积液。诊断为腺病毒肺炎(贺蓓教授供稿)
真菌感染常继发于免疫功能低下和粒细胞缺乏状态,主要为曲霉菌和肺孢子菌感染两种类型。典型的肺曲霉菌感染影像学表现为晕征和新月征,也可见巨大空洞,但难见液平(图11)。肺孢子菌肺炎(PCP)主要表现为双肺弥漫间实质性肺病伴小叶间隔增厚。当然,个别人在免疫功能正常状态下,也可原发肺曲霉菌病和PCP感染。念珠菌所致肺部感染发生概率很低,诊断较困难,多为导管相关性或抗菌药物所致二重感染,罕见原发感染。本例患者的临床过程和胸部影像学表现与之相距甚远,基本可以排除真菌感染的可能。
图11 侵袭型肺曲霉菌病胸部CT表现
男性患者,49岁,肾移植术后14年,发热、咳嗽、咳痰1个月余,胸部CT可见右上肺侵袭性肺曲霉菌病致肺内巨型空洞 (A、B);经伊曲康唑治疗后,右上肺巨型空洞壁变薄,周边浸润肺组织吸收好转(C、D)。诊断为侵袭型肺曲霉菌病
综上所述,对于普通感染而言,由其他细菌、病毒和真菌引起感染的概率很小,但尚不能排除金黄色葡萄球菌感染的可能。对于本病例是否为结核分枝杆菌、非结核分枝杆菌或诺卡菌等特殊病原菌引起的感染,院前应用的抗感染药物对之作用有限,经验治疗的依据不足,现有临床检查资料难以确定。此外,对于本病例,还需要完善相关检查,进一步排除非感染性因素可能导致的病变。
(一)临床信息
【实验室检查】
1.一般检查
(1)血常规(多次检查)
WBC(8.20~11.28)×109/L,中性粒细胞百分比(N%)80%~ 83.6%,Hb、PLT均正常。
(2)ESR
62mm/L。
(3)肝功能
①入院时,ALT 61U/L,天冬氨酸转氨酶(aspartate aminotransferase,AST)44U/L,白蛋白(albumin,ALB)30.5g/L,Cr 65μmol/L;②保肝治疗后,ALT 30U/L,AST 18U/L,ALB 32.3g/L。
2.免疫相关检查
自身抗体(包括抗核抗体、抗dsDNA、Sm抗体、抗线粒体抗体等)检查均为阴性。
3.感染相关检查
(1)降钙素原(procalcitonin,PCT)0.32μg/ml,C反应蛋白(C-reactive protein,CRP)132mg/L。
(2)结核菌素纯蛋白衍化物(purified protein derivative tuberculin,PPD)试验、T淋巴细胞刺激 γ-干扰素释放试验(T lymphocyte stimulation interferon gamma release test,T-SPOT)均为阴性。
(3)血清病原抗体:梅毒螺旋体、结核分枝杆菌、肺炎支原体、肺炎衣原体、军团杆菌、包虫等血清抗体检测均阴性。
(4)血真菌检测:1,3-β-D葡聚糖(1,3-β-D glucan,G)试验和半乳甘露聚糖(galactomannan,GM)试验均阴性。
(5)支气管肺泡灌洗液(BALF):病毒核酸检测(包括流感病毒、腺病毒、呼吸道合胞病毒感染、偏肺病毒、鼻病毒等15种)均为阴性。
(6)血培养2次,均为阴性。
(7)痰病原检测:包括普通细菌、真菌、抗酸染色和寄生虫检测,5次均阴性。
(8)大便抗酸染色和寄生虫检测均为阴性。
【支气管镜检查】
共进行支气管镜检查3次,均见双肺各叶段支气管通畅(图12),未见气管、支气管内明显异常。BALF细胞总数0.39×106/ml,巨噬细胞百分比14.5%,中性粒细胞百分比82.5%,淋巴细胞百分比3%。
图12 支气管镜检查镜下所见
A.气管隆嵴;B.中间段支气管;C、D.左下叶支气管
【影像学检查】
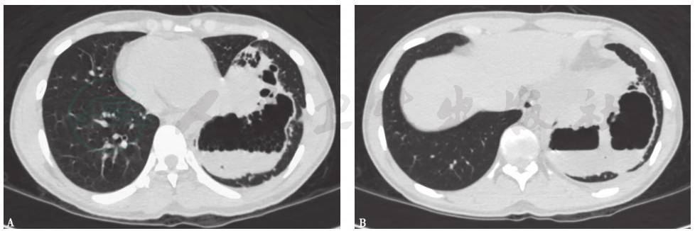
胸部CT:左肺下叶病灶边界较为清楚,表现为实变、空洞,空腔病灶内有液平(图13),其脓液界面呈类蜂窝状气囊影改变。
图13 入院后胸部CT表现(发病后37天)
(二)临床思辨
患者入院后所做系列检查显示:①血沉较入院前明显增快,提示原有病变仍在加重;②自身抗体均阴性,结合临床表现,基本可以排除风湿免疫病;③多次支气管镜检查均见肺内气道通畅,未见任何阻塞征象,故基本可以排除因阻塞性原因导致的阻塞性肺炎,但BALF炎性细胞分类中性粒细胞明显增高仍提示细菌感染的可能;④胸部CT可见病灶转变过程为“渗出实变→囊性病灶融合→坏死液化→脓肿液平形成”;⑤常规病原学检查均阴性。这些结果支持本例患者有感染性疾病的可能。此时,还需要思考以下问题:
1.如果本病例病因是感染,是否需要继续经验治疗?是否有必要鉴定感染病原?
对普通细菌感染而言,本例患者在经验治疗方面,未使用针对MRSA作用的糖肽类抗生素(万古霉素、替考拉宁)以及𫫇唑烷酮类抗菌药物(利奈唑胺),可以考虑继续给予相应经验治疗。但患者在入院前病程已近4周,期间比较规范地应用了抗感染药物,未见任何疗效,且病情有加重趋势。入院后的系列检查结果仍符合感染的发病过程,同时,肺脓肿液平的影像学表现呈特殊的蜂窝样间隔气影,而支气管镜检查又证实为非阻塞性肺内感染。因此,有必要积极鉴定感染病原,尽快实现目标性抗感染治疗。
本例患者应用万古霉素7天,体温反而升高(高达40.2℃),病情又有进一步加重,静息状态下,动脉血气呈现低氧血症(FiO2 21%,PaO2 70mmHg)。由此可见,本病例可能是由一些特殊病原引起的感染。
2.如何鉴定病原?如何选择鉴定病原的最佳方法?
确定感染病原,可通过无创和有创手段获得标本,进行相关检测。
(1)通过无创手段获得标本可进行病原培养(外周血、呼吸道分泌物和BALF等)、分子生物学核酸检测[聚合酶链反应(polymerase chain reaction,PCR)、环引物介导的等温扩增和实时定量PCR等]、抗原检测(咽拭子、血标本、尿液对病原体抗原直接或间接免疫荧光)、抗体检测(血清抗体酶联免疫吸附法)和机体病原免疫反应检测(PPD、T-SPOT等)等检测。本病例应用这些方法进行一系列检测,均无阳性发现。
(2)通过有创手段获取标本,包括CT引导下穿刺、B超引导下穿刺、气道超声内镜引导下穿刺和外科胸腔镜手术等。由于本例患者胸部影像学的脓肿表现为张力性改变,如果进行穿刺获取标本,不能保证取材满意,并且存在产生脓胸的极大可能性,故不建议实施穿刺活检或引流。而且,肺脓肿累及范围接近全部左下肺叶,应用外科胸腔镜也无法实施小病灶的楔形切除获取标本。因此,对于本病例,只能选择左下肺叶切除,对病灶进行病理和病原学深入检查,以探究病因。
(一)临床信息
经与胸外科专家会诊讨论、患者本人和家属同意,对患者成功实施了左下叶肺切除术。术后对病灶解剖,进一步证实左下叶各段和亚段支气管通畅,气道无阻塞性病变,但病变张力大,呈球状,经穿刺排气后,剖开病灶,见其内填充大量脓性坏死组织。病理检查见大量干酪样坏死性肉芽肿结节 (图14),脓液涂片抗酸染色发现大量抗酸杆菌(图15)。脓液培养发现阳性菌落,经鉴定为结核分枝杆菌,未发现包括厌氧菌在内的其他细菌培养阳性。
图14 病理检查见大量干酪样坏死性肉芽肿结节
A.HE染色,100×;B.HE染色,200×
图15 脓液涂片抗酸染色可见抗酸杆菌(抗酸染色,1000×)
最后诊断:左下肺结核性肺脓肿。
术后,患者体温明显下降,经抗结核治疗,维持临床稳定,逐渐康复。
(二)临床思辨
通过一系列经验的、循证的临床证据分析,患者肺内病变的性质终于水落石出,诊断为结核性肺脓肿,这也就可以解释为何普通经验性抗感染治疗对本例患者无效。
由于结核分枝杆菌增殖缓慢,需要16~18小时分裂一次,病理检查往往可见渗出、变性和增殖3种病理类型同时存在。成年人肺内结核病均为继发性肺结核,绝大多呈慢性和亚急性经过。临床表现为急性病理过程的肺结核主要是血行播散型肺结核(急性粟粒型肺结核)和干酪性肺炎两种类型。前者可出现急性发热,普通抗感染治疗无效,肺内出现密度、大小和分布“三均匀”的粟粒性结节,可发展为ARDS;后者的病变多局限于一个或多个叶段,影像学表现为实变或沿气道播散病灶,大多可见树芽征,有时也会出现肺内空洞(表现为无壁、薄壁和厚壁空洞)(图16),但罕有肺内脓性改变和空洞内脓性液平。
图16 肺结核伴空洞胸部CT表现
男性患者,72岁,发热、咳嗽2个月,诊断为肺结核伴空洞
此时还应思考以下问题:
1.本例患者的发病过程为何如此迅速?如何形成张力性化脓性病灶的?
本例年轻患者肺内病灶在发病后短期内由实变影发展为多发囊性病变,进而融合形成肺脓肿,整个过程很难用肺结核常见的病理改变解释,其发生可能与患者机体的免疫状态密切相关。因为PPD和T-SPOT主要是检测机体的细胞免疫功能,但本例患者在发病4周后仍未见阳性反应,说明其细胞免疫应答能力较为低下,机体对结核分枝杆菌感染所导致的迟发型过敏反应未完全建立,促使病灶迅速进展。
短期内迅速形成结核性化脓性病灶,可能是由于在疾病早期阶段,病灶炎性坏死物阻塞远端细小支气管,形成单相活瓣,导致气道闭塞,气体在感染肺组织内滞留,使其在短期内发生变性、坏死和脓肿形成。
2.本例患者胸部CT所示结核性肺脓肿表面为何出现蜂窝样囊性改变?
解剖左下肺切除病灶发现,结核性肺脓肿腔内气体与大量黏稠脓液和坏死组织在脓液界面之间形成数个张力性小气泡,遂在脓液层面形成类蜂窝样气囊的特殊影像特征。
高热伴肺脓肿样病变是呼吸系统疾病常见的临床表现,对于出现此类表现的患者,如果诊断为普通细菌或厌氧菌感染所致的肺脓肿,在大多数情况下可能是正确的,治疗上实施经验性抗感染策略也会获得理想的结果,达到临床治愈。但有些情况下,诸多非感染性疾病也可导致相似的临床表现,给诊断和治疗带来一定难度,此时需要临床医师依据临床线索,抽丝剥茧,层层深入,寻根探究。
急性发生的结核性肺脓肿在临床上很少见,发生类似本例患者这种张力性脓肿的病理改变则更少见,而且下肺也不是肺结核的好发部位,尤其是影像学检查显示在脓肿液平的气液交界层面表现为蜂窝样囊气泡,使病原学诊断更加扑朔迷离。本病例手术切除左下肺病灶后,对脓液进行病原染色、培养和病理检查,均证实为结核分枝杆菌感染。其结果说明:①肺结核的表现呈多样性、复杂性,大大增加了临床确诊难度;②建立类似疾病有序合理的临床路径十分重要,对特殊临床情形,有必要及时进行有创干预。
“发热伴肺部化脓性病灶”病因学临床诊断和鉴别诊断流程可参考图17。
图17 “发热伴肺部化脓性病灶”病因学临床诊断和鉴别诊断流程
(公丕花 高占成)
1.Chen J,Luo Y,Zhang S,et al.Community-acquired necrotizing pneumonia caused by methicillin-resistant Staphylococcus aureus producing Panton-Valentine leukocidin in a Chinese teenager :case report and literature review.Int J Infect Dis,2014,26:17-21.
2.Sridhar V,Rajagopalan N,Shivaprasad C,et al.Acute community acquired Aspergillus pneumonia in a presumed immunocompetent host.BMJ Case Rep,2012 ,2012.pii:bcr0920114866.doi:10.1136/bcr.09.2011.4866.



