作 者:樊力红(主任医师 广州医科大学附属第一医院消化内科)
指导者:陈学清(主任医师 广州医科大学附属第一医院消化内科)
胃泌素瘤是胰腺的一种非β胰岛细胞瘤,它产生大量的胃泌素使胃液分泌亢进,导致严重顽固的消化性溃疡。
1.胃泌素瘤的临床表现
没有明显特异性,主要与大量胃酸分泌有关,表现为腹痛、腹泻。
2.胃泌素瘤诊断线索
①反复出现的、严重的或家族性的消化道溃疡(peptic ulcer disease,PUD);②无幽门螺杆菌感染或非甾体类抗炎药物(NSAIDs)服用史等危险因素而发生的PUD;③严重胃食管反流(gastroesophageal reflux disease,GERD)相关的PUD;④常规治疗无效或伴随穿孔、出血等严重并发症的PUD;⑤与内分泌疾病或腹泻相关的PUD;⑥服用PPI后腹泻明显缓解的PUD;⑦胃镜下位于黏膜主褶皱的PUD;⑧伴随高钙血症及高胃泌素血症PUD。
3.胃泌素瘤的诊断
CT和MRI可明确诊断和定位,必要时可选用生长抑素受体显像(somatostatin-receptor scintigraphy,SRS)、EUS和血浆嗜铬粒蛋白(chromogranin A,CgA)(3类证据)检查。
4.分级
神经内分泌肿瘤(neuroendocrine neo-plasms,NENs)应当按组织分化程度和细胞增殖活性进行分级(表1)。
表1 2010年世界卫生组织神经内分泌肿瘤分级
分级 核分裂象数(/10HPF) Ki-67标记率(%) |
G1(低级别) <2 ≤2 G2(中级别) 2~20 3~20 G3(高级别) >20 >20 |
引自:主编:.消化系统疑难疾病诊疗思维及病例解析.第1版.ISBN:978-7-117-28669-5
1.患者基本情况
患者:男性,58岁。
入院时间:2017年4月6日。
主诉:反复腹泻2年余。
现病史:患者2年前无明显诱因出现腹泻,5~6次/d,约50g/次,为黄色黏液便,伴上腹胀痛、心悸、出汗,无恶心、呕吐,就诊于深圳某大医院,肠镜检查发现结肠息肉并予以镜下切除。出院后,患者腹泻较前加重,多为7次/d,以夜间明显,自服止泻药物(具体不详),症状无明显缓解。1年前,患者腹泻明显加重,以早餐后为甚,性质同前,伴里急后重,伴上腹胀痛、反酸,就诊于外院,胃镜检查提示“胃底溃疡、十二指肠溃疡”,予抑酸、护胃等治疗,效果不佳。后患者再次因腹泻就诊于当地医院,行肠镜检查示“横结肠水肿”,考虑为“慢性结肠炎”,予“消炎药”(具体不详)治疗后症状无明显缓解。后患者自服小檗碱(黄连素)、胃肠宁等止泻药物,症状可好转,停药后腹泻再发,遂于2017年4月入住我科。自发病来,患者精神、食欲、睡眠尚可,大便如上述,小便无异常,体重减轻约15kg。
既往史:既往无特殊。
个人史:否认肝炎、结核或其他传染病史,否认过敏史;曾间断饮酒,已戒酒3年;否认滥用药物史;否认其他手术史,否认输血史。
家族史:否认高血压、糖尿病、慢性肾病等家族史,家族中有1兄患直肠癌。
2.入院查体
一般生命体征:T 36.2℃,P 82次/min,R 20次/min,BP 108/70mmHg,神志清,查体配合。腹软,未及包块,全腹轻压痛,无反跳痛,移动性浊音(-),肠鸣音正常,肝脏、脾脏未触及肿大,胆囊及麦氏点无压痛,其余各部位未见阳性查体结果。
3.入院辅助检查
实验室检查:三大常规(血常规、尿常规、便常规)、凝血功能、血脂、胰腺功能两项、肿瘤标志物未见明显异常(表2)。食物变应原鸡蛋、芝麻为阳性。
表2 入院辅助检查
TP (g/L) 检查时间 ALT (U/L) AST (U/L) GGT (U/L) ALB (g/L) TBIL (µmol/L) DBIL (µmol/L) |
2017年4月5日 39.3 29.2 28.9 64.7 40.9 14.6 3.3 2017年4月6日 49.8 31.0 28.4 60.1 44.7 16.8 3.4 2017年4月27日 1176.0 1817.1 38.7 53.6 33.3 57.8 24.4 2017年4月30日 546.5 154.4 39.6 53.4 31.7 32.4 7.9 2017年5月5日 110.6 183.0 90.6 45.3 25.3 15.2 4.6 2017年5月12日 54.1 44.4 76.1 51.0 30.0 8.9 2.0 |
引自:主编:.消化系统疑难疾病诊疗思维及病例解析.第1版.ISBN:978-7-117-28669-5
2017年4月8日腹部彩超:①肝内多发实质性占位性病变(建议行超声造影等进一步检查)。肝内多发囊肿声像;②胆囊未见结石,胆总管上段未见明显扩张;③脾脏未见增大,血流未见异常;④胰腺不大。
2017年4月10日胃镜检查:考虑复合多发溃疡(图1)。
2017年4月10日肠镜:示未见明显异常。
图1 胃镜检查
引自:主编:.消化系统疑难疾病诊疗思维及病例解析.第1版.ISBN:978-7-117-28669-5
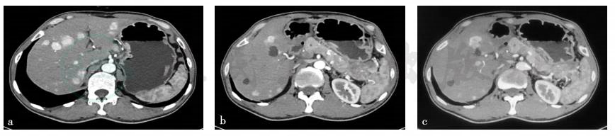
2017年4月12日全腹部CT平扫+增强:①胃窦部改变,考虑胃窦癌,建议进一步检查;②考虑肝内多发转移瘤,胰尾部转移瘤;③肝多发囊肿;④右肾多发囊肿;⑤腹腔少许积液(图2)。
图2 全腹部CT平扫+增强诊断
引自:主编:.消化系统疑难疾病诊疗思维及病例解析.第1版.ISBN:978-7-117-28669-5
4.初步诊断思维过程
(1)入院时病情总结
患者为中年男性,因“反复腹泻2年余”入院,实验室检查血常规、凝血功能、血脂、胰腺功能两项、肿瘤标志物未见明显异常。腹部彩超示肝内多发实质性占位性病变。腹部CT示胃窦部改变(考虑胃窦癌,建议进一步检查),考虑肝内多发转移瘤,胰尾部转移瘤。胃镜示复合多发溃疡。
(2)入院时诊断思路
患者因“反复腹泻2年余”入院。在入院时需首先排除临床常见的急腹症,如胆道系统疾病、胰腺炎、消化道溃疡等,完善消化道内镜、腹部超声、影像学等检查。实验室检查结果显示肝酶明显增高、白蛋白进行性降低,影像学检查提示胃窦部改变,考虑胃窦癌,肝内多发转移瘤,胰尾部转移瘤,考虑可能为恶性消耗性疾病(如胃窦癌),但胃镜下未见胃窦部有明显肿物,且伴少量腹水、消瘦等症状,故也可考虑淋巴瘤等疾病,需进一步完善后续相关检查。
(3)入院初步诊断
①胃窦癌并胰尾部及肝内多发转移瘤?②复合多发溃疡。
5.后续检查
2017年4月14日,行B超引导下行肝穿刺。送检穿刺肝组织,见一小灶肿瘤细胞,瘤细胞小至中等大小,胞质丰富,核圆形、卵圆形,呈上皮样,免疫组化Hep(-)、Glypican-3(-)、AFP(弱 +)、CK7(-)、CK19(+)、CD34(血管 +)、Ki67(约 10%+)、EMA(+)、Syn(+)、CgA(+)、CD56(+),考虑为转移性腺癌。组织改变结合免疫组化及临床病史,该病例符合神经内分泌肿瘤(G2级)肝转移。
6.最终诊疗思维过程
胃泌素瘤是胰腺的一种非β胰岛细胞瘤,它产生大量的胃泌素,使胃液分泌亢进,导致严重顽固的消化性溃疡。胃泌素瘤可发生于任何年龄,以20~40岁最多见,临床症状主要是消化性溃疡和腹泻。胃泌素瘤虽多数为恶性,但因瘤体小,发展缓慢,所以肿瘤本身很少引起明显的症状,到疾病的晚期,方出现恶性肿瘤浸润的症状。
胃泌素瘤的临床表现主要与大量胃酸分泌有关。
(1)腹痛
是由于消化性溃疡所致。90%~95%患者在病程中可发生消化性溃疡,可有消化性溃疡家族史。这是由于胃泌素强烈而持续刺激胃黏膜,使胃酸和胃蛋白酶大量分泌所致。75%溃疡发生于十二指肠球部和胃窦小弯侧;25%发生于非典型部位,如食管下端、球后十二指肠及空肠等处。溃疡常呈单个,也可多个,直径一般<1cm,少数可>2cm。40%~50%患者可产生消化性溃疡的并发症,如出血、穿孔、幽门梗阻和胃-空肠-结肠瘘等。与普通消化性溃疡比较,该病溃疡的特征是:顽固、多发、非典型部位,并发症发生率高,胃大部切除术后溃疡易迅速复发(常发生吻合口或吻合口远端的复发性溃疡)。
(2)腹泻
可为该病的初发症状或唯一症状。1/4~1/3的患者伴有腹泻。5%~10%患者仅有腹泻而无溃疡存在。部分病例腹泻可发生于溃疡产生时。腹泻常呈大量,水样和脂肪泻。每日可10~30次,其量可达2500~10 000mL。严重者可产生水及电解质紊乱,出现脱水,低钾血症和代谢性酸中毒等症状。产生腹泻的原因:①由于胃液大量进入肠腔,容量增加刺激肠蠕动;胃泌素减少肠黏膜对水和电解质的吸收,导致渗透性腹泻。大多数患者由鼻胃管抽取胃液后,腹泻症状可得到缓解。②大量胃酸进入肠腔,使小肠黏膜上皮细胞受损,脂肪及其他营养物质经过肠黏膜转移的过程减少,导致吸收障碍;胰脂酶在酸性环境中灭活,使甘油三酯分解减少,造成脂肪吸收障碍;十二指肠和上端空肠的结合胆酸减少,使微胶粒形成减少,导致脂肪吸收障碍。
(3)其他
10%~40%Ⅰ型多发性内分泌肿瘤(multiple endocrine neoplasia,MEN)患者可并发其他内分泌肿瘤。累及内分泌腺的分布依次为甲状旁腺、胰腺、垂体、肾上腺、甲状腺等部位。累及内分泌腺不同,可出现相应的与内分泌腺功能亢进有关的临床表现,如甲状旁腺功能亢进症、消化性溃疡、低血糖、嫌色细胞瘤、肢端肥大症、腹泻、脂肪泻、库欣综合征和甲状腺功能亢进症。
总结:结合组织改变、免疫组化及临床病史,该病例符合神经内分泌肿瘤(G2级)肝转移。
鉴别诊断:胰岛素瘤、胰高血糖素瘤、血管活性肠肽(vasoactive interstinal polypeptide,VIP)瘤(表3)。
表3 胰腺神经内分泌肿瘤(pancreatic neuroendocrine neoplasms,pNENs)常见类型及临床表现
ACTH:促肾上腺皮质激素(adrenocorticotropic hormone);VIP:血管活性肠肽
肿瘤类型 所占比例 (%) 分泌激素 恶性所占 比例(%) 主要症状 |
功能性pNENs 常见类型 胰岛素瘤 20~30 胰岛素 <10 低血糖,中枢神经系统症状 胃泌素瘤 15~20 胃泌素 60~90 难治性消化道溃疡、上腹部疼痛、腹泻等卓艾 综合征 罕见类型 胰高糖素瘤 1~3 胰高血糖素 50~80 游走性坏死性红斑、糖耐量受损、体重下降 生长抑素瘤 0~1 生长抑素 >70 糖尿病、胆石症、腹泻(症状可能不典型) ACTH瘤 少见 ACTH >95 库欣综合征 VIP瘤 2~4 VIP 40~70 腹泻、低钾血症、脱水 无功能pNENs 10~50 40~70 可有肿块压迫引起的相关症状 |
引自:主编:.消化系统疑难疾病诊疗思维及病例解析.第1版.ISBN:978-7-117-28669-5
7.最终诊断
胃泌素瘤。
8.治疗方案
①转外科手术(胰体尾切除术+脾切除+肝微波消融术+胆囊切除术);②生长抑素及消化酶。
9.后续随访
2017年4月26日,患者转外科并行胰体尾切除术+脾切除术+肝微波消融术+胆囊切除术。
术后病理学诊断
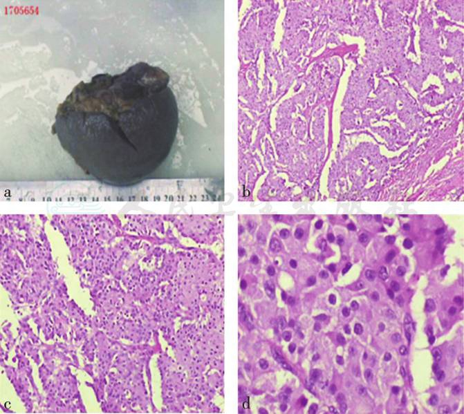
(1)胰尾+脾
胰腺高增殖活性的神经内分泌瘤。①肿瘤最大径约5.5cm;②可见病理性核分裂象(8~10个/10HPFs);③胰腺切缘未见肿瘤;④脉管瘤栓易见;⑤肿瘤未侵犯脾脏;⑥脾脏未见特殊病理改变;⑦脾门处查及瘤结节一枚及反应性增生的淋巴结一枚(图3)。免疫组化标记(8#)结果:瘤细胞 Syn(+)、CgA(+)、CD56(+)、NSE(大部分 +)、Ki-67(约 30%+);CK(+)、mucin-2(-)、CK20(散在 +)、CDX-2(-)、Villin(部分弱 +)、ACTH(-)、CD34(血管 +)。
图3 病理学检查
a. 肿瘤大体;b、c. HE染色,100×;d. HE 染色,400×
引自:主编:.消化系统疑难疾病诊疗思维及病例解析.第1版.ISBN:978-7-117-28669-5
(2)胆囊
慢性胆囊炎。
术后诊断为胰腺高增殖活性神经内分泌肿瘤伴肝转移。经生长抑素及消化酶治疗,患者腹痛、腹泻症状减轻。
1.胃泌素瘤是一种胃肠胰神经内分泌肿瘤,以难治性、反复发作或不典型部位的消化性溃疡、高胃酸分泌为特征。由于胃泌素瘤多见于胰腺组织,少见于胰腺外其他组织,且肿瘤较小,故有时肿瘤的准确定位较为困难。
2.该患者以腹泻为主要症状,根据影像学表现考虑为胃窦癌,肝穿病理活检考虑为转移性腺癌,结合免疫组化,符合神经内分泌肿瘤(G2级)肝转移,很难想到胃泌素瘤的诊断,容易造成误诊。
De Angelis C,Cortegoso Valdivia P,Venezia L,et al. Diagnosis and management of Zollinger-Ellison syndrome in 2018. Minerva Endocrinol,2018,43(2):212-220.



