作 者:肖状龙(硕士研究生 华中科技大学同济医学院附属协和医院消化内科)
宋宇虎(住院医师 华中科技大学同济医学院附属协和医院消化内科)
指导者:宋宇虎(主任医师 华中科技大学同济医学院附属协和医院消化内科)
1.引起人类血吸虫病的三大主要血吸虫类型是曼氏血吸虫、埃及血吸虫和日本血吸虫,我国只有日本血吸虫流行。
2.十二指肠血吸虫病是一种罕见的血吸虫异位损害性疾病,肠道的血吸虫病主要见于直肠、结肠,而血吸虫病常见的异位损害部位为肺、脑。
3.十二指肠血吸虫病的临床表现缺乏特异性,可表现为腹痛、腹胀、消化道出血及肠梗阻等症状,内镜下可表现为溃疡、糜烂、黏膜表面细颗粒样改变、结节样或隆起性病变及肿瘤样表现。
4.十二指肠血吸虫病的诊断主要依据十二指肠病变的病理检查。
5.对于急性血吸虫病,吡喹酮治疗有较好疗效。
6.十二指肠血吸虫病病变部位多种多样,超声内镜下可表现浸润性病变,当患者十二指肠有肿瘤样病变或在动态CT上肝脏异质性低密度时,应考虑日本血吸虫感染。
1.患者基本情况
患者:男性,47岁,农民。
入院时间:2017年9月26日。
主诉:右上腹痛伴低热20余天。
现病史:患者自诉20余天前无明显诱因出现持续性右上腹痛,为钝痛,可耐受,伴低热、恶心、呕吐,无咳嗽、咳痰、呼吸困难,无反酸、胃灼热,无皮肤、黏膜黄染。当地医院胃镜检查示食管下段黏膜下隆起,平滑肌瘤可能;浅表性胃炎伴胆汁反流;十二指肠球部溃疡(H2期)。腹部超声检查示肝脏形态正常,肝实质回声均匀,肝内可见数个大小不等的无回声区,考虑为肝囊肿;胰腺上方低回声结节影,淋巴结可能;第一肝门淋巴结声像;胆总管上段稍增宽,内可见偏强回声;腹水。未治疗,未处理。
既往史:无特殊。
个人史:否认肝炎、结核或其他传染病史,否认过敏史;否认饮酒史,否认滥用药物史;否认其他手术史,否认输血史。
家族史:否认高血压、糖尿病、慢性肾病等家族史,家族中无类似疾病患者。
2.入院查体
一般生命体征:T 37.5℃,P 78次/min,R 20次/min,BP 110/64mmHg,神志清,查体配合。右上腹压痛阳性,无反跳痛,腹部移动性浊音阳性,肝脏、脾脏未触及肿大,胆囊麦氏点无压痛,其余各部位未见阳性体征。
3.入院辅助检查
血常规:红细胞计数2.84×1012/L,白细胞计数15.45×109/L,血红蛋白86g/L,血小板计数463×109/L,嗜酸性粒细胞占比28.7%,嗜酸性粒细胞计数4.43×109/L。
血生化:白蛋白 24.6g/L,球蛋白 33.8g/L,白球比 0.7,ALT 22U/L,AST 21U/L,ALP 341U/L,GGT 94U/L。
肝炎类:乙肝小三阳(乙肝表面抗原、乙肝e抗体、乙肝核心抗体阳性),乙肝DNA定量<100IU/mL。
其他实验室检查:血需氧菌及厌氧菌培养阴性;粪常规及尿常规无明显异常;血结核抗体、结核T-SPOT-1阴性;ESR 96mm/第1h末;血尿淀粉酶正常。
胃镜示:食管隆起病变、胃窦隆起病变、十二指肠降部隆起病变、球部溃疡(H1期),建议检查超声内镜(图1)。
图1 电子胃镜(入院初)
引自:主编:.消化系统疑难疾病诊疗思维及病例解析.第1版.ISBN:978-7-117-28669-5
超声内镜示:食管隆起处可见一低回声占位声像,呈分叶状,最大切面约21cm×10cm,可以起源于黏膜肌层,彩色多普勒未见血流信号,平滑肌瘤(图2)。十二指肠降部肠壁环周低回声增厚,最厚约9mm,肠壁结构层次破坏,外膜尚完整,十二指肠浸润性病变可能性大;乳头呈低回声改变,结构消失,胆总管、胰管未见扩张,腔外可见数个肿大淋巴结声像,腹腔可见中量无回声液性暗区(图3)。
图2 食管超声内镜(入院)
引自:主编:.消化系统疑难疾病诊疗思维及病例解析.第1版.ISBN:978-7-117-28669-5
图3 十二指肠超声内镜(入院初)
引自:主编:.消化系统疑难疾病诊疗思维及病例解析.第1版.ISBN:978-7-117-28669-5
图4 上腹增强CT(入院初)
a. 腹水,肠系膜水肿;b. 肝脏不均质改变;c. 十二指肠壁增厚
引自:主编:.消化系统疑难疾病诊疗思维及病例解析.第1版.ISBN:978-7-117-28669-5
4.初步诊断思维过程
(1)入院时病情总结
(2)入院时诊断思路
(3)入院初步诊断
5.后续检查
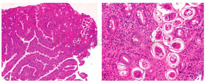
内镜病理活检及寄生虫教研室病理阅片:十二指肠黏膜慢性炎症伴血吸虫虫卵沉积(未钙化虫卵),胃窦黏膜慢性炎症(图5)。
图5 十二指肠病理(HE染色,200×)
引自:主编:.消化系统疑难疾病诊疗思维及病例解析.第1版.ISBN:978-7-117-28669-5
6.最终诊疗思维过程
十二指肠血吸虫病是一种罕见的血吸虫异位损害性疾病,肠道的血吸虫病主要见于直肠、结肠,而血吸虫病常见的异位损害部位为肺、脑。血吸虫主要是通过接触疫水而感染,感染期尾蚴进入人体后进入血液循环,在门静脉及肠系膜静脉系统发育为成虫,生产虫卵随血流沉积于肝脏及肠系膜静脉系统所属器官(结肠、直肠、乙状结肠)。虫卵沉积肝脏形成虫卵结节,可阻塞肝窦,引起肝脏淤血肿大、门脉高压等。十二指肠血吸虫属于极少见的异位损害,其原因可能包括:①急性血吸虫感染,虫卵量多,大量虫卵入血,可直接沉积于十二指肠;②虫卵结节阻塞肝窦,门脉压力改变,血逆流入胰十二指肠静脉,穿破血管壁沉积于十二指肠,门脉压力改变侧支循环形成,有助于虫卵异位。
十二指肠血吸虫病的临床表现缺乏特异性,可表现为腹痛、腹胀、消化道出血及肠梗阻等症状,内镜下可表现为溃疡、糜烂、黏膜表面细颗粒样改变、结节样或隆起性病变及肿瘤样表现(该患者十二指肠超声内镜下呈浸润性改变)。另外,在患者腹部CT检查中可以发现,动态CT门静脉期肝实质区出现片状肝强化,血流灌注较好。日本血吸虫肝浸润呈片状,引起肝实质血流灌注不均。肝活检可提供日本血吸虫感染的直接证据,但由于该患者有大量腹水,未进行肝穿刺活检。
血吸虫病患者中尚未发现有十二指肠血吸虫病癌变报道,血吸虫主要致病因素为虫卵,虫卵在沉积部位形成肉芽肿是一个慢性炎症反应过程。病灶处的巨噬细胞可释放活性氧、活性氮,破坏DNA、蛋白质,改变酶活性及基因的表达,因此有理由认为血吸虫病能导致肿瘤的发生。
当体内有大量虫卵堆积时,大量虫卵入血可沉积于机体各个部位。虫卵是主要的致病因素,可引起机体免疫反应,也可在沉积部位形成肉芽肿。沉积肝脏形成肉芽肿,可阻塞肝窦,引起肝脏淤血、门脉高压、腹水等一系列并发症;沉积肺部,长期可引起肺血管重构及肺动脉高压,从而影响呼吸及心脏功能。不同的沉积部位能引起沉积脏器的损害,从而导致多个脏器的功能异常。
血吸虫病诊断须同时具有流行病学史、相关临床表现及血吸虫相关实验室检查结果阳性,依据2006年我国卫生部发布的《中华人民共和国卫生行业标准-血吸虫病诊断标准》,患者符合疑似病例时,应积极完善实验室相关检查。十二指肠血吸虫病属于特殊的异位血吸虫病,内镜检查及病变部位病理学检查为诊断该病的重要措施。临床工作中,若患者有血吸虫疫区疫水接触史,伴消化系统症状,如腹痛、腹胀、消化道出血等,在完善胃镜检查的同时应积极完善病变部位的病理学检查及血清学检查以排除该病可能,必要时多次活检,大便检查阴性不能排除血吸虫的诊断,十二指肠日本血吸虫感染可表现为浸润性病变,不排除恶变可能。在遭遇此类患者时,应注意密切随访。
鉴别诊断:十二指肠溃疡、十二指肠肿瘤(十二指肠血吸虫病可表现为病变部位的浸润性改变,有别于十二指肠肿瘤)。
7.最终诊断
急性十二指肠血吸虫病,急性血吸虫肝病。
8.治疗方案
吡喹酮杀虫治疗[60mg/kg,总量3g,分3天服完,每粒200mg,每天5粒(上午2粒,下午3粒)]。
9.后续随访
2个月后随访,患者腹痛、低热症状消失,血常规、血生化基本恢复正常。内镜显示:食管隆起病变无明显变化,十二指肠肠壁变薄,病变明显改善(图6~图8)。腹部CT显示:腹水及肠系膜水肿消退,增厚的十二指肠壁变薄,肝脏淤血明显减退(图9)。
图6 电子胃镜(复查)
食管黏膜下病变无明显改变,胃窦及十二指肠黏膜光滑
引自:主编:.消化系统疑难疾病诊疗思维及病例解析.第1版.ISBN:978-7-117-28669-5
图7 食管超声内镜(复查)
病灶未见明显变化
引自:主编:.消化系统疑难疾病诊疗思维及病例解析.第1版.ISBN:978-7-117-28669-5
图8 十二指肠超声内镜(复查)
十二指肠黏膜光滑,肠壁变薄,黏膜较正常稍增厚
引自:主编:.消化系统疑难疾病诊疗思维及病例解析.第1版.ISBN:978-7-117-28669-5
图9 复查时上腹部增强CT(下)与入院时CT(上)对比
腹水消失,肠系膜肿胀明显减轻,肝脏淤血消退,十二指肠壁变薄
引自:主编:.消化系统疑难疾病诊疗思维及病例解析.第1版.ISBN:978-7-117-28669-5
1.血吸虫病的主要致病因素为虫卵,大量虫卵可沉积于机体各个部位,引起多器官的症状。患者临床症状无特异性,实验室检查结果缺乏特异性,影像学结果及内镜结果无直接关联,不能明确指出病变具体起始部位,在确诊血吸虫病引起病理变化之前,往往需要排除许多有相关症状的疾病。
2.血吸虫异位损害的常见部位为肺和脑,十二指肠很少受累,非疫区医务人员因临床缺乏相关经验,很难想到寄生虫病的诊断,容易造成误诊。
3.十二指肠血吸虫病的最佳诊断为病变部位的活检,但因十二指肠极少发生恶变,大多不做活检,容易造成十二指肠血吸虫病的漏诊。
[1] Contractor QQ,Benson L,Schulz TB,et al. Duodenal involvement in Schistosoma mansoni infection. Gut,1988,29(7):1011-1012.
[2] El Shiekh Mohamed AR,al Karawi MA,Yasawy MI. Organ involvement in hepatointestinal schistosomiasis. Hepatogastroenterology,1994,41(4):370-376.
[3] Madacsy L,Molnar T,Nagy I,et al. Recurrent nonvariceal upper gastrointestinal bleeding in a patient with gastroduodenal schistosomiasis. Endoscopy,2003,35(3):230-233.
[4] Witham RR,Mosser RS. An unusual presentation of schistosomiasis duodenitis.Gastroenterology,1979,77(6):1316-1318.
[5] Kan X,Ye J,Rong X,et al. Diagnostic performance of contrast-enhanced CT in pyrrolizidine alkaloids-induced hepatic sinusoidal obstructive syndrome. Sci Rep,2016,6:37998.
[6] Li X,Yang X,Xu D,et al. Magnetic resonance imaging findings in patients with pyrrolizidine alkaloid-induced hepatic sinusoidal obstruction syndrome. Clin Gastroenterol Hepatol,2017,15(6):955-957.
[7] Liu F,Cao X,Ye J,et al. Oxaliplatin-induced hepatic sinusoidal obstruction syndrome in a patient with gastric cancer:A case report. Mol Clin Oncol,2018,8(3):453-456.
[8] Mohamed AE,Ghandour ZM,Al-Karawi MA,et al. Gastrointestinal parasites presentations and histological diagnosis from endoscopic biopsies and surgical specimens. Saudi Med J,2000,21(7):629-634.
[9] McManus DP,Gray DJ,Li Y,et al. Schistosomiasis in the People’s Republic of China:the era of the Three Gorges Dam. Clin microbiol Rev,2010;23(2):442-466.



