(一)临床特点
现病史:患者王某某,女性,46岁,某地方医院护理部主任。主因“发热伴喘憋5天,加重5天”急诊入解放军总医院呼吸与危重症医学科监护室。患者于2017年2月5日无明显诱因出现发热,咳嗽、咳少量黄色黏痰,自测体温37.8℃,无胸闷、胸痛,无恶心、呕吐等其他不适,自服“罗红霉素、氨溴索、板蓝根”后未见明显好转,下午体温最高达39℃,伴大汗、乏力、头痛。于当地医院就诊,给予头孢哌酮钠舒巴坦钠(舒普深)、左氧氟沙星、亚胺培南西司他丁(泰能)、氨溴索、甲泼尼龙等对症支持治疗,症状无好转,仍反复出现发热,咳嗽,咳中等量红色黏痰,伴喘憋、周身痛,体温最高达39℃,行胸部CT检查(2017年2月9日)示:双肺弥漫性炎性反应征象,左肺较右肺病变范围大(图1)。患者症状较前改变不明显,为进一步诊治,于2017年2月15日转至我院RICU住院治疗。
图1 胸部CT(2017-2-9):双肺弥漫性磨玻璃影和斑片影,左肺较右肺病变范围大,考虑炎性反应可能性大
既往患者体健,子宫肌瘤切除术后;无高血压、心脏病、糖尿病、脑血管病、精神疾病病史;无肝炎、结核、疟疾等传染病史;无外伤、输血史;无药物、食物过敏史。
个人史及家族史:生于河北保定市献县,久居于本地,无疫区、疫情、疫水居住史;无矿区、牧区居住史;无化学物质、放射物、毒品接触史;无吸烟、饮酒史;无禽类接触史;否认家族中传染病及遗传病史。
(二)入院查体
体温:36.5℃,脉搏:78 次 /分,呼吸:23 次 /分,血压:122/76mmHg,身高:160cm,体重:62kg,BMI:24.2kg/m2,神清语明,下腹部约6cm长术后瘢痕,口唇无发绀,双侧扁桃体无肿大。听诊呼吸音稍粗,双下肺可闻及少量爆裂音,其他查体未见明显异常。
1.社区获得性肺炎;2.Ⅰ型呼吸衰竭;3. 低钾血症;4. 低白蛋白血症;5.子宫肌瘤切除术后。
患者入科后完善相关辅助检查,血常规:白细胞9.7×109/L,中性粒细胞 0.797,淋巴细胞0.165,C反应蛋白测定10.4mg/dl,白细胞介素-6 58.48pg/ml;急诊生化:血清白蛋白 29.9g/L,ALT 100.5U/L,AST 152.3U/L,乳酸脱氢酶 1282.9U/L,脑利钠肽 1467.0pg/ml;降钙素原:0.130ng/ml;血气分析(吸氧 40%):pH 7.422、PO2 65.6mmHg、PCO2 45.4mmHg、SaO2 88.7%、
28.9mmol/L、BE 3.9mmol/L,氧合指数160。淋巴细胞亚群检测:CD3淋巴细胞亚群测定0.57,CD4淋巴细胞亚群测定0.16,CD8淋巴细胞亚群测定0.18,自然杀伤细胞(natural killer cell,NK)0.03;痰涂片:中等量革兰阴性球菌;胸部CT(2017年2月15日)提示:双肺弥漫磨玻璃和部分实变影,多发网格状高密度(图2)。
图2 胸部CT(2017-2-15):双肺弥漫磨玻璃和部分实变影,多发网格状高密度
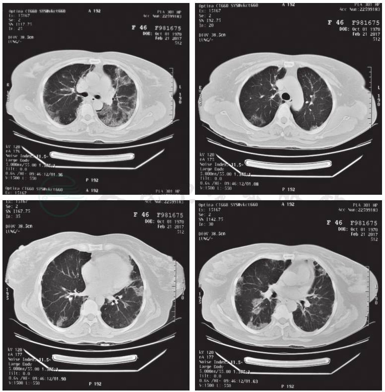
临床诊断考虑为社区获得性肺炎,病毒可能性大,同时应兼顾继发细菌感染的可能。治疗上给予奥司他韦75mg 2次/日,甲泼尼龙80mg 1次/日,亚胺培南西司他丁(泰能)、莫西沙星预防继发细菌感染,同时给予大剂量丙种球蛋白冲击治疗。入院初期,患者脉氧饱和度不易维持,明显喘憋,给予持续高流量呼吸湿化治疗仪治疗(氧浓度45%)。为尽早明确致病原,入院后立即留取咽拭子标本和支气管肺泡盥洗液送检,结果提示:肺泡盥洗液中性粒细胞24%,细胞总数0.68×106,甲型H1N1流感病毒核酸检测阳性(北京市疾病预防控制中心),确诊为甲型H1N1流感,继续原治疗方案治疗。治疗期间患者体温未升高,咳嗽、咳痰、呼吸困难等症状逐渐减轻,入院3天后复查咽拭子和支气管肺泡盥洗液:甲型H1N1流感病毒核酸检测均为阴性;5天后停用奥司他韦,激素逐渐减量,停用抗生素。后复查血气分析提示氧分压较前明显改善,2017年2月21日复查胸部CT示双肺片状、磨玻璃和实变影较入院前明显吸收(图3)。患者自述无明显不适,顺利出院。嘱出院后继续口服甲泼尼松龙片40mg 1次/日两周,加强营养,注意休息,定期复查胸部CT,呼吸科门诊随诊。
图3 胸部CT(2017-2-21):双肺片状、磨玻璃和实变影较前明显吸收
1.病毒性肺炎;2. Ⅰ型呼吸衰竭;3. 低钾血症;4. 低白蛋白血症;5. 子宫肌瘤切除术后。
定义:流感病毒(拉丁学名:swine influenza virus,SIV)于2009年3月爆发于墨西哥和美国西南部,是在猪群中传播引起地方性流行性感冒的正黏液病毒(orthomyxoviruses),这一名称在2009年4月30日被世界卫生组织更名为甲型H1N1流感病毒,并被认定为猪流感。该病毒具有独特的分子特性,是人、禽、猪三类流感病毒由于抗原漂移产生的新型流感病毒[1,2]。与禽流感不同的是,甲型H1N1流感病毒可以在人与人之间传播,其临床表现主要为高热(多在39℃以上)、剧烈头疼、肌肉疼痛、咳嗽、鼻塞等症状,其症状较轻,大部分患者病情具有自限性。而年幼、孕妇、高龄、伴有心肺基础疾病(COPD、心功能不全、慢性肾脏病)以及肥胖的患者往往发展成为危重型[3],甚至死亡。有研究表明[4],甲型H1N1流感病毒感染后不仅侵入呼吸道上皮细胞,还能感染末梢血免疫细胞,大大降低患者的免疫力。Davuluri RV[5]团队研究发现甲型H1N1流感病毒可以感染CD4+T淋巴细胞和CD8+T淋巴细胞,通常病毒感染后引起的相关细菌、真菌相关的继发性感染可能与上述免疫细胞功能受损密切相关。该患者为中年女性,急性起病,发病后病情迅速进展,呼吸窘迫呈进行性加重,低氧血症难以纠正,甲型H1N1流感病毒核酸检测为阳性,明确诊断为“甲型H1N1流感危重症型”。但该患者既往体健,无心肺基础疾病,临床上称为重症倾向患者。另最新研究表明[6]该情况可能与患者自身体内CXCL4基因缺乏相关,导致患者感染H1N1后病情迅速进展,成为甲型H1N1流感危重症型。因此,对该类患者要尽早识别,积极应对,重点关注,才能有效降低死亡率。
治疗上,通过回顾该患者的诊治过程,我们可以总结出以下几点:
(1)隔离
一旦怀疑甲型H1N1流感病毒感染后,应立即执行隔离制度。医务人员应及时做好防护,同时将患者转入负压病房,并及时采取消毒措施,立即上报医院相关部门。该患者在入院后,即转入负压隔离病房,病房内做到专人消毒,医务人员着防护服和防护口罩,同时上报医院感染控制科,并积极联系北京疾病预防控制中心进行病毒核酸检测。
(2)机械通气
对于重症甲型H1N1流感病毒性肺炎患者,机械通气显得尤为重要[7]。应密切动态监测血氧饱和度、血气、酸碱度和电解质变化,及时给予氧疗,必要时给予机械辅助通气。该患者入院后喘憋严重,严重低氧血症,立即给予高流量呼吸湿化治疗仪治疗,喘憋症状改善,后改为低流量鼻导管吸氧,直至患者出院。
(3)糖皮质激素的应用
糖皮质激素在治疗该疾病时尚无明确的循证医学证据,仅推荐在患者出现高热、感染性休克等严重并发症或出现肺间质纤维化时,可给予大剂量冲击、小剂量维持、短疗程的激素治疗。激素治疗以良好的退热、减轻炎症反应、减少肺内渗出、纤维化,阻止向间质性肺炎发展等作用备受推崇,同时又可避免长期、大剂量糖皮质激素应用引起的严重副作用[8]。
(4)抗病毒药物(奥司他韦)的使用
在《流行性感冒诊断与治疗指南》(2011年版)》中,对于成人新型甲型H1N1流感病毒性肺炎的治疗,在首发症状48小时内立即进行抗病毒治疗,推荐奥司他韦75mg 2次/日,疗程5天,对于体重大于40kg者,推荐奥司他韦150mg 2次/日,可明显减少患者的住院时间和死亡率[9,10]。该患者体重为62kg,肾功能正常,临床症状、体征与胸部CT影像学表现均提示病毒性肺炎可能性大,入院后立即给予奥司他韦75mg 每日2次疗程5天,后经确诊该患者为甲型H1N1流感病毒性肺炎。因此,对于疑似甲型H1N1流感病毒性肺炎患者,应早期、足量应用奥司他韦抗病毒治疗,在病情危重时,治疗疗程可适当延长。
(5)抗生素的应用
通过既往对重症及危重症新型甲型H1N1流感病毒性肺炎患者的诊治发现,在病程的后期多合并细菌感染,因此应动态监测血常规、CRP、白介素-6和PCT的变化,对于感染指标升高者,应积极给予抗生素治疗。
综上所述,在危重症甲型H1N1流感肺炎患者的诊治过程中,应尽早(48小时以内,以36小时内为最佳)给予奥司他韦治疗,同时尽快完善病原学检查;当出现急性肺损伤或ARDS时,患者氧合障碍,应积极给予机械通气支持;对于出现严重并发症或病程后期出现肺间质纤维化倾向时,可使用小剂量、短疗程的糖皮质激素治疗;出现其他脏器功能损害时,给予相应对症支持治疗;在怀疑合并细菌感染时,应给予抗菌药物治疗,同时加强营养支持治疗。因此怀疑甲型H1N1流感病毒感染时,最主要的是采取综合治疗措施以有效阻止病情进展,降低病死率。
(王 江)
1.Centers for Disease Control and Prevention (CDC).Update:novel influenza A (H1N1) virus infection-Mexico,March-May,2009.MMWR.Morbidity and mortality weekly report,2009,58(21):585.
2.Dawood FS,Jain S,Finelli L,et al.Emergence of a novel swine-origin influenza A (H1N1) virus in humans.N Engl j Med,2009,18(360):2605-2615.
3.Hajjar LA,Schout D,Galas FRBG,et al.Guidelines on management of human infection with the novel virus influenza A (H1N1):a report from the Hospital das Clínicas of the University of São Paulo.Clinics,2009,64(10):1015-1024.
4.Shahmuradov LA,Solovyev VV,Gammerman AJ.Plant promoter prediction with confidence estimation.Nucleic Acids Res,2005,33(3):1069-1076.
5.Davuluri RV,Grosse I,Zhang MQ.Computational identification of promoters and first exons in the human genome.Nature genetics,2001,29(4):412-417.
6.Guo L,Feng K,Wang YC,et al.Critical role of CXCL4 in the lung pathogenesis of influenza (H1N1) respiratory infection.Mucosal Immunol,2017,10(6):1529-1541.
7.ANZIC Influenza Investigators,Webb SA,Pettilä V,et al.Critical care services and 2009 H1N1 influenza in Australia and New Zealand.N Engl J Med,2009,361(20):1925-1934.
8.So LKY,Lau ACW,Yam LYC,et al.Development of a standard treatment protocol for severe acute respiratory syndrome.The Lancet,2003,361(9369):1615-1617.
9.Tanaka T,Nakajima K,Murashima A,et al.Safety of neuraminidase inhibitors against novel influenza A (H1N1)in pregnant and breastfeeding women.Canadian Medical Association Journal,2009,181(1-2):55-58.
10.Poland GA,Jacobson RM,Ovsyannikova IG.Influenza virus resistance to antiviral agents:a plea for rational use.Clinical Infectious Diseases,2009,48(9):1254-1256.



