(一)临床特点
朱××,女性,31岁。主因发现肺部结节13年,全身结节5年,间断胸闷3年入院。患者于1999年无诱因出现发热、咳嗽症状,外院查胸片、胸部CT考虑右侧肺部占位,予右中下叶切除,病理示“良性透明细胞瘤”,建议定期复查。2004年妊娠期间因腹痛住院于莱州市人民医院,上腹部CT示肝癌并腹水,胰腺囊肿。诊断“肝癌破裂,晚孕”。给予对症治疗,好转出院,其后顺利产下一子。于2008~2012年期间间断出现胸痛、胸闷症状,胸片示双肺粟粒样结节,伴左侧少量气胸。当地医院给予保守治疗后好转。既往史和家族史:否认肝炎、结核、疟疾等传染病史,否认高血压、心脏病病史,否认糖尿病、脑血管疾病、精神疾病病史、无食物、药物过敏史。无结核等传染病病史。已婚,孕2产1,育有1子,配偶及其子体健。月经规律,无明显痛经。父母健在,均体健,兄弟姐妹健在,均体健,家族中无传染病及遗传病史。
(二)入院查体
体形瘦小,一般情况好,全身多处皮下结节,质软、无压痛、可移动(图1,图2)。双下肺呼吸音略低,双侧肺未闻及干、湿性啰音,无胸膜摩擦音。心率72次/分,律齐,各瓣膜听诊区未闻及杂音。周身多处触及皮下结节,无融合,无压痛,最大者约3cm×3cm。

图1 头面部结节

图2 背部结节
(三)辅助检查
血常规(图3)、尿常规(图4)、粪常规(图5)、血生化(图6)、肿瘤标记物(图7)、感染相关指标(图8)、风湿指标(图9)、胸部平片(图10)、胸部 CT(图11)。
辅助检查(血管紧张素转化酶):47.74 (参考值23~43)。

图3 辅助检查(血常规)

图4 辅助检查(尿常规)

图5 辅助检查(粪常规)

图6-6 辅助检查(血生化)

图7 辅助检查(肿瘤标记物)

图8 辅助检查(感染相关指标)

图9 辅助检查(风湿指标)

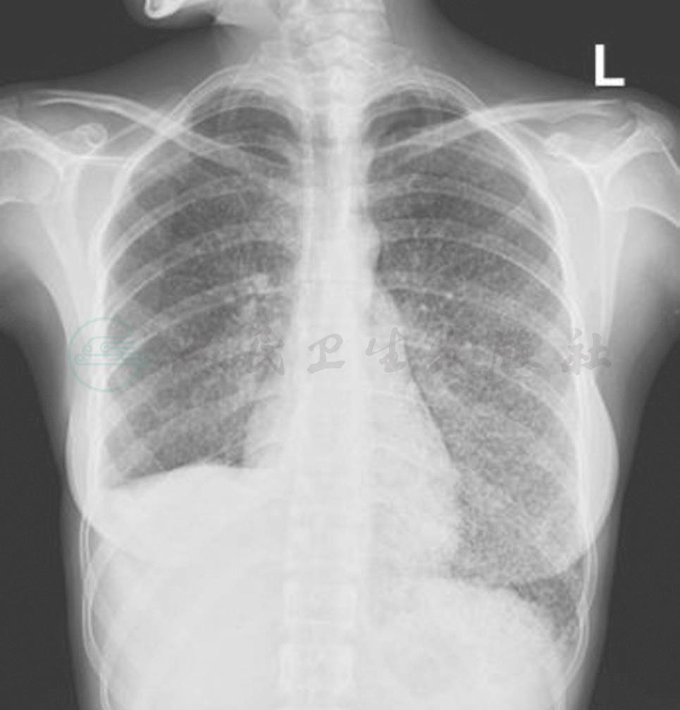
图10 辅助检查(胸部平片2012-01-08)

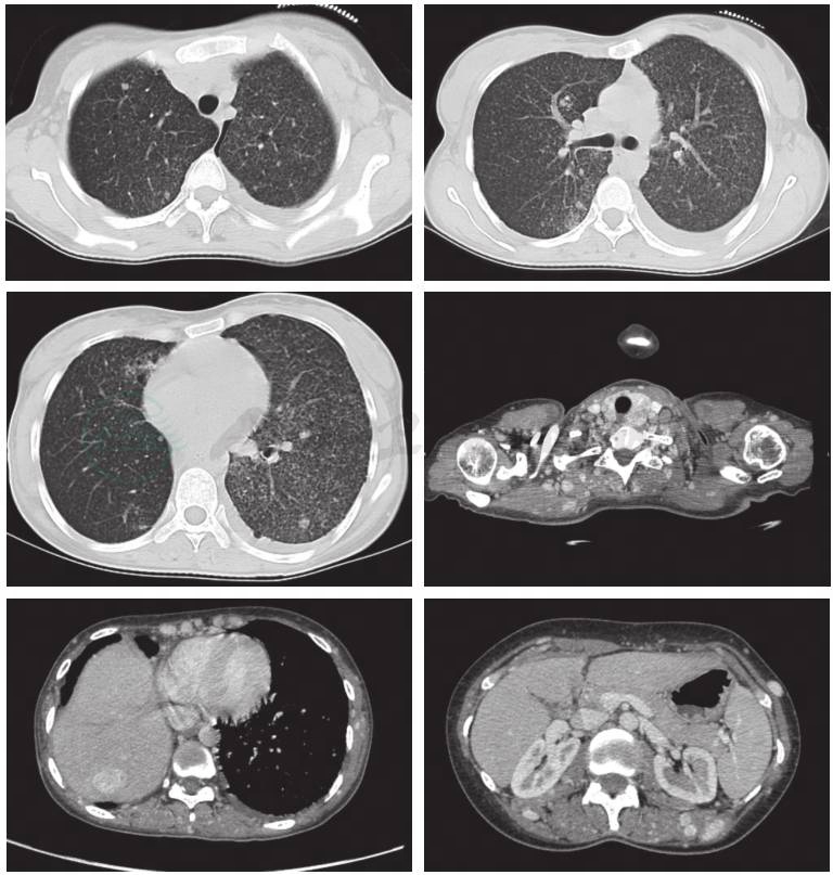
图11 辅助检查(胸部CT2012-1-11)
腹部、腹股沟区超声:肝脏大小形态尚可,肝内可见多发不均质回声结节,大者位于右前叶,大小约2.8cm×2.2cm,边界清楚,CDFI其内可见动脉样血流信号。余实质回声均匀,门静脉主干不宽,肝内外胆管不扩张。胆囊、胰腺、脾脏未见明显异常。双肾、肾上腺超声:双肾大小形态如常,皮质回声均匀,肾内结构清晰,肾盂未见分离,未见占位病变。双侧肾上腺区超声未见明确异常。经腹壁盆腔扫查:膀胱充盈良好子宫后位,大小形态如常,肌壁回声均匀,内膜厚约0.7cm,宫腔线显示欠清。双卵巢显示清楚,未见异常。双附件区未见异常回声。心脏超声:各房室腔大小形态正常。升主动脉及主肺动脉内径不宽。左室壁厚度正常,静息状态下未见节段性室壁运动异常,左室整体收缩功能正常。各瓣膜形态结构正常,收缩期三尖瓣见极少量反流,余瓣膜启闭正常。未见心包积液。二尖瓣口舒张期血流频谱未见异常。印象:心脏结构及功能未见明显异常。浅表淋巴结超声检查所见:右侧锁骨上窝可见一低回声结节,大小约0.7cm×0.4cm,边界清楚,CDFI其内可见血流信号。双颈部及左侧锁骨上窝未见异常淋巴结。印象:右侧锁骨上窝低回声结节,淋巴结,请结合临床。双腋下及双侧腹股沟区未见异常淋巴结。右侧腹股沟区股浅动脉近心段旁见一低回声结节,大小约2.1cm×0.9cm,边界清楚;另于右侧股总动脉外侧见一低回声区,范围约4.7cm×1.2cm,内见动脉样血流信号。印象:左侧腹股沟区股浅动脉近心段旁低回声结节、右侧股总动脉外侧低回声区,建议超声引导下穿刺活检。胸部CT检查结果:
1.右肺中叶及下叶未见明确显示,请结合临床及病史。
2.双肺多发转移瘤可能。两肺弥漫性小结节,不除外粟粒性肺结核,请结合临床。
3.甲状腺左叶肿块,建议进一步检查。
4.左侧少量胸水,左侧少量气胸。
5.颈部、腋窝、胸背部软组织内异常强化结节,转移瘤可能,请结合临床。
6.胸椎、左侧肱骨头内结节,转移瘤可能,请结合临床。
总结以上病史特点如下:
青年女性,慢性病程,反复发生气胸,全身(肺部、肝脏、甲状腺、皮下等)多发结节,感染及风湿指标未见明确异常,CA125高。
全身多发结节性质待查。
入院后予以完善相关检查,将外院病理送我院会诊。
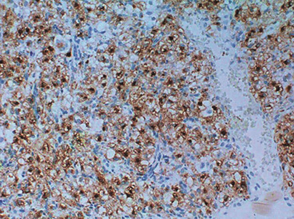
患者于2011年12月18日至2011年12月26日住当地医院,完善检查,并于2011年12月21日行右腋下结节活检,送病理于我院病理科报告如下(右腋下皮下)病变符合血管周上皮样细胞肿瘤(PEComas)。免疫组化Melan A、HMB45及CD34 均+,SMA局灶+,Vim+,CR,HEP-1及 Syn均阴性。
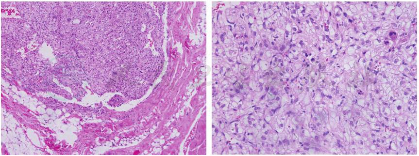
患者于2012年2月2日在我院行背部结节穿刺,病理如图12所示。


背部结节穿刺病理
图12
血管周上皮样细胞瘤。
血管周上皮样细胞(PECs)起源于间叶细胞[1],分布于毛细血管周围,是一种多潜能细胞,其发生的肿瘤称为血管周上皮样细胞肿瘤(PEComas)。PEComas是近十几年来新提出的一组间叶源性肿瘤,包括血管平滑肌脂肪瘤、肺的透明细胞糖瘤、淋巴管平滑肌瘤病、镰状韧带的透明细胞及黑色素细胞肿瘤及其他部位罕见的透明细胞瘤。目前尚无定义良、恶性的诊断标准。部分PEComas与结节性硬化综合征的遗传学相关。
参考的良恶性诊断标准:
良性肿瘤直径<5cm;非浸润性生长;无高的核分级和细胞高密度;核分裂+1个/50个高倍视野(HPF);无坏死;无血管侵犯。
恶性潜能未定仅有核的多形性/多核巨细胞;或肿瘤直径仅>5cm。
恶性具有两个或更多下列相关指标:肿瘤直径>5cm;浸润性生长;高的核分级和细胞高密度;核分裂>1个/50 HPF;坏死;血管侵犯。
PEComas的病例可表达黑色素相关抗原(HMB45)、T细胞1识别的黑色素抗原/黑色素A(Mart1/MelanA)等黑色素标记物,其中HMB 45最敏感[2],同时PEComas还表达肌动蛋白(actin)、平滑肌肌动蛋白(smooth muscle actin,SMA)、肌球蛋白(Myosin)等肌源性标记物,但不表达细胞角蛋白(Cytokeratin,CK)、S100蛋白[3]。文献报道80%的病例两者同时表达,所以平滑肌标记物阴性不能排除PEComas的诊断。
(磨国鑫)
1.Folpe AL,Mentze T,Lehr HA,et al.Perivascular epithelioid cell neoplasms of soft tissue and gynecologic origin.Am J Surg Patho,2005,29(12):1558-1575.
2.Vang R,Kempson RL.Perivascular epithelioid cell tumor (‘PEComa’) of the uterus:a subset of HMB-45-positive epithelioid mesenchymal neoplasms with an uncertain relationship to pure smooth muscle tumors.Am J Surg Patho,2002,26(1):1-13.
3.Sundram U,Harvell JD,Rouse RV,et al.Expression of the B-cell proliferation marker MUM1 by melanocytic lesions and comparison with S100,gp100 (HMB45),and MelanA.Mod Pathol,2003,16(8):802-810.