(一)临床特点
李兰中,男,56岁,汉族,于2014年12月22日17∶50入院。
主诉:咳嗽、咳痰1月余,加重伴咯血、发热17天。
现病史:患者于1月前受凉后出现咳嗽、咳灰白色黏痰,无发热、寒战等不适,于当地医院就诊,考虑“肺炎”,予抗感染对症输液治疗13天(具体药物不详),未见好转。2014年12月4日患者感咳嗽加重,伴有咯血,色鲜红,量不多,伴发热,最高体温39.4℃,伴有活动后胸闷、憋气及左侧胸部疼痛感,无放射性,于昌平区中西医结合医院胸CT检查发现双肺多发感染伴空洞形成,考虑结核。2014年12月5日就诊309医院,予对症抗感染(头孢及青霉素类),降糖,纠正酮症酸中毒及异烟肼、利福喷丁、吡嗪酰胺,诊断性抗结核治疗13天,症状未见减轻,并予左侧胸腔穿刺引流出约400ml淡黄色液体,经全面检查排除肺结核,复查胸CT未见好转。患者2014年12月18日就诊我院急诊科,予美罗培南及莫西沙星抗感染,输白蛋白纠正低蛋白血症,雾化止咳、化痰等对症治疗4天,症状略缓解,无咯血,但仍发热,最高体温39℃,今为进一步治疗转来我科。患者目前精神状态良好,乏力,食欲差,睡眠正常,体重明显降低,大便正常,排尿正常,为进一步检查及治疗入院。
既往史:患者既往糖尿病病史5年,未规范治疗,间断服药治疗,空腹血糖8~9mmol/L,患者自诉有丙肝病史8年。
个人史:生于河南固始县,久居于本地,吸烟20年,约每日10支,现未戒烟,偶有少量饮酒。
已婚,适龄结婚,配偶健康状况良好,已育有1男1女,子女健康状况良好。
家族史:家族中无传染病及遗传病史。
(二)体格检查
体温:38.9℃,脉搏:99次 /分,呼吸:26 次/分,血压:135/85mmHg。消瘦,神志清醒,查体合作。全身皮肤黏膜无黄染,无肝掌、蜘蛛痣。全身浅表淋巴结无肿大及压痛,颈静脉无充盈。双肺呼吸音粗,双肺可闻及少许湿啰音,未及胸膜摩擦音,心率99次/分,律齐,各瓣膜听诊区未闻及杂音,无心包摩擦音。腹平坦,无腹壁静脉曲张,腹部柔软,无压痛、反跳痛,腹部无包块。肝脏、脾脏未触及,肾脏无叩击痛,无移动性浊音。肠鸣音正常,4次/分。双下肢可及凹陷水肿。
(三)化验及特殊检查
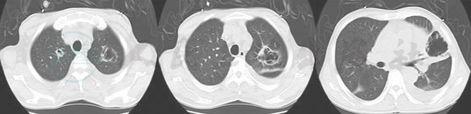
2014年12月18日(我院)胸部CT检查示:胸廓正常,右肺上叶可见小空洞影,未见液平,左肺可见多个厚壁空洞影,内无液平,双侧胸腔可见液体密度影,心包可见积液影(图1)。
图1 2014-12-18胸部CT
2014年12月22日(我院)血常规:白细胞计数10.15×109/L↑、中性粒细胞0.759↑、红细胞计数3.22×1012/L↓、血红蛋白测定94g/L↓、C反应蛋白测定4.92mg/dl↑。
1.发热待查:肺部感染?肺脓肿?肺结核?2.2型糖尿病;3.低蛋白血症;4.胸腔积液;5.心包积液;6.丙型肝炎。
给予莫西沙星、美罗培南、替考拉宁、伏立康唑抗感染治疗,皮下注射胰岛素控制血糖,化痰、吸氧、加强营养等对症治疗。
完善各项检查:痰涂片见卵圆真菌孢子、痰及气管吸出物培养见肠球菌属、痰培养见光滑念珠菌;结核抗体及T-SPOT阴性;G试验阴性;查ANCA(-)及自身抗体指标不高,排除风湿免疫相关疾病;肿瘤标记物血和胸水CYFRA21-1升高;头颅CT鼻窦未见明显异常。12月23日气管镜检查:左上叶各支气管见黄白脓性分泌物,固有上叶外压狭窄;左下叶背段外压狭窄,于左上叶吸取分泌物送检,20ml生理盐水灌洗,回收15ml送检。
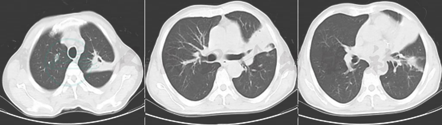
12月29日复查肺CT肺部阴影吸收不明显(图2)。抗感染治疗方案调整为哌拉西林钠他唑巴坦钠、利奈唑胺、两性霉素B雾化及静滴。
图2 2014-12-29胸部CT
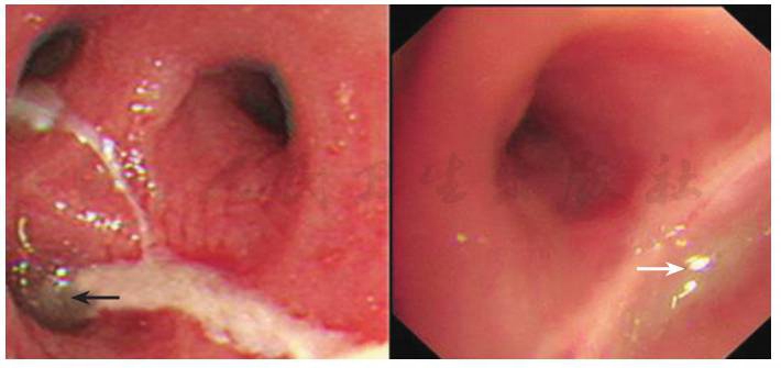
12月31日再次行气管镜检查:于左肺固有上叶后段见痰栓,以保护性毛刷刷检送培养(图3-3黑色箭头所示);于左肺上叶下舌段盲检送病理(图3白色箭头所示)。
图3 2017-12-31气管镜检查
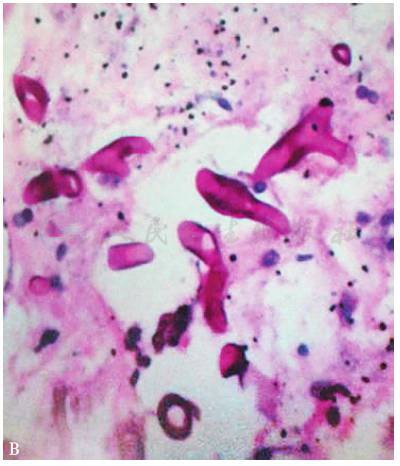
毛刷刷检培养结果回报为丝状真菌(图4A);病理结果回报为炎性渗出组织内可见真菌孢子及菌丝,不除外毛霉菌(图4B)。
图4 A.毛刷刷检培养结果;B.病理结果
毛刷刷检培养结果及病理结果
后经微生物科鉴定为根霉。明确致病原后继续两性霉素B治疗,逐渐停用其他抗生素,病人咳嗽、胸闷等症状逐渐缓解,营养状况改善,血糖控制理想。2015年2月2日复查肺CT提示空洞逐渐闭合、吸收(图5)。
图5 2015-2-2胸部CT
1.肺部真菌感染(根霉);2. 2型糖尿病;3. 丙型肝炎。
1.患者有糖尿病,未能很好控制血糖,出现酮症,易发生感染。出现咳嗽、咳痰、咯血、胸闷、气短,肺CT提示双肺多发空洞。真菌感染,尤其是曲霉和接合菌感染,有嗜血管性,造成血管闭塞,肺组织坏死形成空洞而出现咯血。
2.气管镜留取下呼吸道分泌物、保护性毛刷刷检、组织活检对于明确肺部感染致病原是有诊断价值的,但肺活检要避免大咯血的风险。
3.曲霉的菌丝相对较细,有隔膜,分叉角度小于90°;接合菌包括毛霉和根霉,菌丝相对粗大,少隔膜或无隔膜,分叉呈直角,细胞壁的成分中缺乏葡聚糖和半乳甘露聚糖,所以G和GM试验是阴性。
4.两性霉素B及脂质体是治疗接合菌的一线药物,新型广谱的三唑类抗真菌药-泊沙康唑也有效,与两性霉素B联合可增强抗菌活性,棘白菌素体外实验显示对接合菌没有活性,但该药与两性霉素B有协调作用。
5.正常血清的酸碱度可抑制接合菌的生长,酮症酸中毒时,运铁蛋白转运铁的能力受抑制,血清中游离铁负荷增加,利于接合菌的生长,所以在抗真菌的同时控制好血糖和纠正酸中毒。
(张歆刚)



