女性,20岁,汉族。
双下肢可凹性水肿1个月,尿检发现尿蛋白阳性。
患者1个月前发现踝部水肿,未在意。后水肿逐渐加重,延伸至整个下肢。尿液检查发现尿蛋白(+++),尿红细胞(-),24小时尿蛋白定量 3.6g/d。血白蛋白 29g/L。血压140/80mmHg。为明确诊断及进一步治疗入院。患者同时感觉乏力,无其他不适。
无手术、外伤史。从未做过尿检,没有接受过大的手术,没有接受过血制品的输注。未婚。否认酗酒、抽烟和应用违禁药物史。
家族中无肾脏病患者。父患高血压,母身体健康。
身高 1 60cm,体重 60kg,血压 1 35/80mmHg,脉搏 71次/分,律齐。头颈部、心、肺、腹部查体未见阳性体征。双下肢可凹性水肿,至膝盖以上。未及系统和局部的神经系统异常。
尿蛋白(+++),尿红细胞(-),24小时尿蛋白定量 3.6g/d。血白蛋白 29g/L。血总胆固醇 6.10μmol/L,血甘油三酯 2.10μmol/L。
肾病综合征 肾功能正常
根据患者大量蛋白尿、低白蛋白血症、高脂血症及水肿,肾病综合征诊断明确。患者血肌酐69μmol/L,eGFR 100ml/(min·1.73m2),肾功能正常。B超双肾大小正常,双下肢及肾静脉彩色超声多普勒未见血栓形成。抗核抗体谱检查均阴性。血C3正常。血常规检查及凝血功能检查正常。结合病史和临床表现,提示患者无肾病综合征的并发症及肾活检的禁忌证,因此进行了肾活检。
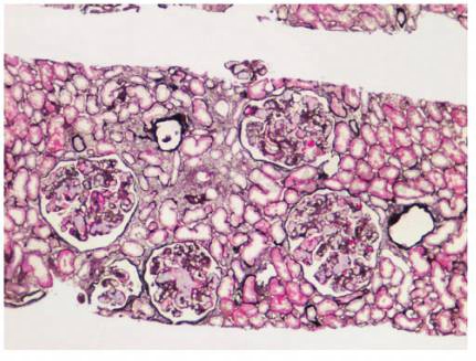
肾穿刺活检:免疫荧光,免疫球蛋白和补体均阴性。光镜:肾小球毛细血管袢高度扩张,扩张的管腔内充填栓子样细泡状蛋白物质(图1),油红 O染色阳性(图2)。
图1 脂蛋白肾病:肾小球毛细血管袢扩张,充以浅染的栓子样蛋白(PASM×100)
图2 脂蛋白肾病:A:肾小球毛细血管袢扩张,充以泡沫样栓子样蛋白(PASM×400),B:肾小球毛细血管腔内栓子样蛋白油红O阳性(脂肪染色×400)
系膜细胞和基质轻度增生肾间质及肾血管无明显病变。电镜:肾小球毛细血管腔内充以含脂滴的蛋白物质(图3)。
图3 脂蛋白肾病:肾小球毛细血管腔内充以含脂滴的蛋白物质(电镜×5 000)
根据光镜及电镜的典型病理改变,患者诊断为脂蛋白肾病。我们对患者进行了载脂蛋白的检查,发现患者 ApoB 1 244mg/dl,ApoE 423mg/dl,较正常对照明显升高。对颈动脉进行了超声检查,未发现异常。对患者仅采用了降血脂及对症治疗。经休息,患者尿蛋白有所减少。肾病综合征缓解。
经患者及家属同意,对家系成员进行了尿液分析及肾功能检查。并收集患者及家属的DNA,对APOE基因进行了突变的筛查 (图4,表1)。

图4 脂蛋白肾病病人家系图
表1 脂蛋白肾病患者家系成员临床表现及apoE基因突变
编号 性别 年龄 (岁) 尿常 规 Scr (μmol/L) TC (mmol/L) TG (mmol/L) HDL-C (mmol/L) LDL-C (mmol/L) apoB (mg/L) apoE (mg/L) apoE基 因突变 Ⅰ:1 男 57 正常 71 3.40 2.49 0.84 1.91 712 55 无 Ⅰ:2 女 55 正常 77 6.02 3.34 0.91 1.62 624 275 142-144-0 Ⅱ:1 女 30 正常 63 3.60 0.87 1.69 1.44 460 97 无 Ⅱ:3 男 27 正常 81 3.48 0.96 1.31 1.07 411 194 142-144-0 Ⅱ:5 女 20 患者 69 6.10 2.10 1.50 3.30 1 244 423 142-144-0 Ⅲ:1 男 5 正常 47 3.68 0.91 1.61 1.84 457 70 无 |
脂蛋白肾病
这提供了一个对脂蛋白患者诊断的病例。脂蛋白肾病患者来肾脏科就诊时,通常表现为蛋白尿,大多数为肾病综合征,可有高血压,动脉硬化,肝功能异常等全身表现,但是程度很轻。多合并脂蛋白和血脂的异常,异常变化类似Ⅲ型高脂蛋白血症,即中间密度脂蛋白(IDL)升高,同时血载脂蛋白E(apoE)明显升高,约为正常人2倍以上。但脂蛋白肾病的患者血脂升高的程度明显轻于家族性Ⅲ型高脂蛋白血症,而且脂质全身沉积的症状,如快速进展的动脉硬化、黄瘤症、早发的心肌梗死等十分罕见。诊断主要依靠特殊的病理表现,毛细血管管腔高度扩张,扩张的管腔内充填无定型或网状的血栓样物质,普通染色较淡,油红O染色呈阳性。有条件可通过特殊的免疫荧光检查,管腔内的血栓样物质中apoE和apoB染色阳性。主要集中于亚裔。目前关于该病的治疗无特异方法,肾上腺皮质激素、细胞毒药物及抗凝药物疗效不确切。有报道用降脂治疗可缓解高脂血症和蛋白尿,血浆置换或LDL去除术(LDL aphresis)也可降低蛋白尿和脂蛋白的沉积,但对患者的远期预后的影响不得而知。
由于一些病例呈家族性发病,并在apoE上发现基因突变,所以我们对家族成员进行了肾脏及血脂情况的筛查,并对apoE的基因进行了检查,发现患者apoE的一条等位基因存在142~144氨基酸缺失,家属中同样存在杂合状态的携带者,这些人尿液检查正常,但是apoE和血脂检查异常。建议患者的家属接受降脂治疗,并定期接受尿液分析及肾功能的检查。
1.肾组织活检病理的特殊表现 光镜下肾小球毛细血管袢高度扩张,扩张的管腔内充填染色浅淡的网状物质,油红O染色阳性。
2.血载脂蛋白的检查,通常会出现ApoB和ApoE较正常对照明显升高。
3.对家系成员进行尿液分析,肾功能,血脂及ApoB/ApoE检查。有条件应进行ApoE基因突变筛查。
(陈育青 张 宏)
1.Saito T,Sato H,Oikawa S,et al.Lipoprotein glomerulopathy.Report of a normolipidemic case and review of the literature.Am J Nephrol,1993,13(1):64-68.
2.陈育青,张宏,朱世乐,等.载脂蛋白E上3个氨基酸缺失-脂蛋白肾病相关的基因突变.中华医学杂志,2003,83(9):774-777.
3.Saito T,Matsunaga A,Oikawa S.Impact of lipoprotein glomerulopathy on the relationship between lipids and renal disease.Am J Kidney Dis,2006,47(2):199-211.
4.Sam R,Wu H,Yue L,et al.Lipoprotein glomerulopathy:a new apolipoprotein E mutation with enhanced glomerular binding.Am J Kidney Dis,2006,47(3):539-548.
5.潘永利,陈育青,张宏,等.四例脂蛋白肾病患者载脂蛋白E基因突变筛查.中华肾脏病杂志,2006,22(8):449-453.



