男性,18岁,汉族。
发现血肌酐升高1个月。
患者1个月前体检发现血肌酐 155μmol/L。尿液检查尿蛋白(-),尿红细胞(-),24小时尿蛋白定量0.56g/d。血压150/90mmHg。为明确诊断及进一步治疗入院。患者同时感觉乏力,无其他不适。追问病史,一年前体检发现血压升高 150/90mmHg。3年前多尿、多饮,每天尿量3~5L,饮水量3~5L。
无手术、外伤史。从未做过尿检,没有接受过大的手术,没有接受过血制品的输注。未婚。否认酗酒、抽烟和应用违禁药物史,否认重金属及毒物接触史,无长期使用中药及镇痛药史。家族中无肾脏病患者。
血压 150/80mmHg,脉搏 71次/分,心律齐。头颈部、心、肺、腹部查体未见阳性体征。双下肢未见水肿。未及系统和局部的神经系统异常。
肾损伤原因待查
患者既往病史不详,偶然发现血肌酐升高,因此首先需要考虑鉴别急性肾损伤还是慢性肾脏病。肾脏 B超检查,右肾:长 11cm,实质厚度 1.6cm;左肾:长 11.5cm,实质厚度1.55cm,皮质回声增强,被膜增厚,未见结石和囊肿。患者入院前3天到入院后一周血肌酐155~170μmol/L。根据双肾大小、血肌酐变化的情况,结合夜尿增多的病史,考虑有慢性肾脏病,但是是否有急性肾损伤,尚不能确定。
肾损伤存在时,通常需要对肾损伤的始动部位做大致的判断。患者尿蛋白0.56g/d,以小分子蛋白尿为主,血白蛋白(40g/L),尿沉渣镜检无任何有形成分,提示肾小管间质肾病的可能性较大。尿渗透压 320mOsm/(kg·H2O),血渗透压 300mOsm/(kg·H2O),肾浓缩功能下降;但是血和尿的电解质动脉血气分析均正常,肾小管酸化功能正常,提示没有肾小管酸中毒及肾性失钾失钠,尿糖阴性提示近端肾小管无明显的功能受损。
进一步考虑引起肾小管间质损伤的原因:常见的有药物(如抗生素、镇痛药、马兜铃酸等)、毒物和重金属 (铅中毒等)、自身免疫性疾病相关的间质小管损伤(TINU综合征、干燥综合征、特发性间质肾炎)及电解质异常(如高钙血症,低钾血症,痛风等)引起的肾小管间质损伤等。经仔细的询问病史,该患者没有长期用药史,发现血肌酐升高前半年未用过任何药物;血中重金属和毒物分析未见异常;ANA谱阴性、ESR 10mm/h、CRP、免疫球蛋白(IgA、IgG、IgM)、C3、C4均正常,不提示有自身免疫性疾病。患者血钙及血钾检查均正常,不提示高钙血症及低钾血症肾病。患者血尿酸571μmol/L,明显升高,但是患者没有痛风病史,没有肾结石病史,检查尿酸排泄分数5%,明显下降,提示高尿酸血症为肾脏排泄减少引起。
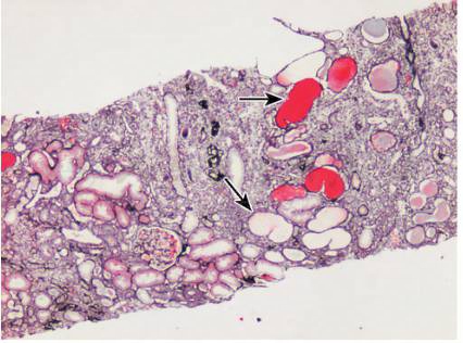
在上述情况下,临床上考虑患者有慢性肾小管间质肾病,但是病因不清,目前是否有急性肾损伤不清,病变是否有治疗的可能及预后不清,患者无肾穿刺禁忌证,进行了肾活检。光镜:肾小管多灶状或弥漫性萎缩,部分小管囊状扩张,形成多发性小囊肿,以皮髓质交界处为著(图1)。电镜:肾小管基底膜增厚,伴有皱缩及分层(图2)。根据临床及病理改变,诊断为肾髓质囊肿病。
图1 肾髓质囊肿病:肾小管囊性扩张(箭头所示)(PASM×100)
图2 肾髓质囊肿病:肾小管基底膜增厚伴有皱缩及分层(箭头所示)(电镜×6 000)
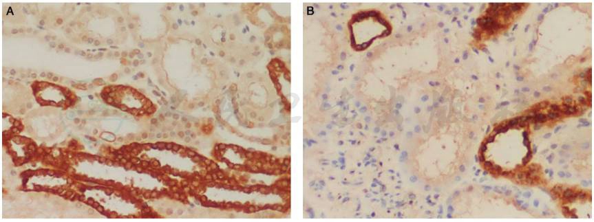
肾髓质囊肿病2型由尿调蛋白(uromodulin,UMOD)基因突变引起。对该患者进行了尿UMOD水平检测,肾组织UMOD免疫组化染色,UMOD的基因突变筛查。患者的尿UMOD浓度 3.1μg/ml,尿 UMOD/肌酐 1.871μg/mg,远低于正常人群对照(UMOD 浓度 14.95μg/ml,尿UMOD/肌酐25.86μg/mg),肾组织UMOD免疫组化染色显示患者的 UMOD沉积在肾小管上皮细胞内增多,而正常对照的 UMOD主要分布在肾小管细胞膜上(图3)。UMOD基因突变检测发现109位的缬氨酸到谷氨酸的突变(Val 109 Glu)。
图3 肾髓质囊肿病:肾组织尿调蛋白免疫组化染色(免疫组化×400)(A:正常对照肾组织;B:患者肾组织)
肾髓质囊肿病 慢性肾脏病3期 肾性高血压
肾髓质囊肿病(medullary cystic kidney diseas,MCKD)是一组表现为常染色体显性遗传的慢性肾小管间质肾病,分为2型——MCKD1和MCKD2。临床表现很相似,病理表现相同,临床和病理上无法区分,临床和病理诊断上统称为肾髓质囊肿病。
MCKD通常在青少年期发病,但发病年龄跨度较大,15~40岁均可发病。临床常表现为慢性肾小管间质损伤。该病起病隐袭,早期由于肾脏浓缩功能下降,通常只表现为多尿或夜尿增多,尿蛋白阴性或微量,尿沉渣镜检无细胞成分,尿渗透压下降。在起病初期通常很难被发现,多数在出现尿崩症,高血压或血肌酐上升时开始就诊。出现症状到发展至终末期肾脏病多需要10~20年。由于很多患者就诊较晚,从诊断到终末期肾病的时间明显短于20年。
MCKD患者通常具有一个易被忽略的特点,大部分患者会出现高尿酸血症或痛风,该病的高尿酸血症是由于尿酸肾小管排泄减少引起的。表现为肾功能正常或轻度异常时,尿酸排泄分数(fractional excretion of uric acid,FEUA)即明显下降,通常会低于5%。尿酸排泄分数与肌酐清除率有关,而MCKD患者的尿酸排泄分数与肌酐清除率下降不平衡。在肌酐清除率尚大于正常的 70%的时候,尿酸排泄分数已明显下降,通常男性的 FEUA小于6%,女性的FEUA小于5%。因此,对于年轻的高尿酸血症或者痛风不要轻易诊断为原发性高尿酸血症,要注意该病的可能性。高尿酸血症的严重程度及肾损伤的程度,男女表现有差异,男性的高尿酸血症或痛风较女性明显,通常20~30岁就可以出现。有报道患者的母亲携带突变基因在42岁时仍然仅仅表现为单纯的血尿酸升高,肾功能正常。MCKD2发展为肾衰竭的年龄比 MCKD1更早,MCKD1的尿离子丢失及多尿不明显,仅表现高尿酸血症、高血压和贫血。
MCKD的典型病理表现是肾小管扩张,在肾脏皮髓交界处形成小囊肿。肾组织病理免疫荧光检查为阴性。疾病早期肾小球无明显病变,后期可见部分小球呈球性硬化或节段性硬化,部分表现球周纤维化。肾间质弥漫性纤维化,伴多灶状淋巴、单核细胞浸润。肾小管多灶状或弥漫性萎缩,基底膜增厚,伴有皱缩及分层,部分小管囊状扩张,形成多发性小囊肿,以皮髓质交界处为著,少数肾小管腔内可见Tamm-Horsfall蛋白管型。电镜检查可见肾小管上皮细胞萎缩呈扁平状,基底膜增厚伴分层状改变,部分基底膜明显变薄,与增厚的基底膜相延续,类似Alport综合征的肾小球基底膜改变。肾活检组织以肾小管间质损伤为特点,肾小球的硬化病变多继发于肾小管间质的损伤,而皮髓质交界处肾小管扩张形成多发小囊肿,是MCKD的特征性病理改变,对其诊断具有重要意义。因此,肾活检取材时,要求必须取到皮髓交界处,才不至于漏诊。有些病例肾穿时常常没有囊肿形成,而形成囊肿的时候已经无法肾活检。同时,肾活检的结果有时也可以是误导,一方面,继发的肾小球疾病也可以有小管的扩张及萎缩;另一方面,重视小球的病变,此病继发的小球病变易被诊为局灶性肾小球硬化或者高血压肾小球硬化。
MCKD囊肿的形成机制和高尿酸血症的原因一直不是很清楚,近期研究发现尿调蛋白为MCKD2的致病基因。MCKD的治疗主要是控制血压,降尿酸治疗及维持水电解质平衡等。近年研究显示,别嘌醇的使用可以延缓肾脏病进展,发生终末期肾脏病可接受肾移植,移植后不会复发。
综上所述,在对慢性肾小管间质肾病的诊断中,MCKD是容易被忽视的一种病因。文献报道MCKD2占ESRD的1%,但是由于漏诊,实际的比例应该是更高的。所以,提高诊断率是必要的。
1.MCKD是慢性肾小管间质肾病的病因之一。
2.对于年轻的高尿酸血症或者痛风患者在诊断原发性高尿酸血症前,应注意MCKD的可能性。
3.MCKD的特征性病理改变为皮髓质交界处肾小管扩张形成多发小囊肿。
(陈育青 张 宏)
1.Har TC,Gorry MC,Hart PS,et al.Mutations of the UMOD gene are responsible for medullary cystic kidney disease 2 and familial juvenile hyperuricaemic nephropathy.J Med Genet,2002,39(12):882-892.
2.Wolf MT,Beck BB,Zaucke F,et al.The Uromodulin C744G mutation causes MCKD2 and FJHN in children and adults and may be due to a possible founder effect.Kidney Int,2007,71(6):574-581.
3.Kiser RL,Wolf MT,Martin JL,et al.Medullary cystic kidney disease type 1 in a large Native-American kindred.Am J Kidney Dis,2004,44(4):611-617.
4.Bleyer AJ,Hart TC,Willingham MC,et al.Clinico-pathologic findings in medullary cystic kidney disease type 2.Pediatr Nephrol,2005,20(6):824-827.
5.王素霞,章友康,周福德,等.肾单位旁痨-髓质囊肿病的临床病理.中华肾脏病杂志,2008,24(7):461-465.



