男性,75岁。
蛋白尿3年。
3年前体检发现蛋白尿(++),肾功能及血压正常,未进一步治疗。2个月前,双下肢对称性水肿,血压180/100mmHg,尿蛋白定量7.9g/d,SCr 217μmol/L。
无特殊。
血压160/85mmHg,脉搏68次/分,一般情况好,心、肺、腹查体无明显异常,双下肢对称性中度可凹性水肿。
血常规:Hb 112g/L,WBC 及PLT 正常。 尿检:蛋白(+++),定量3.8g/d,RBC 0~1/HP。生化检查:ALB 20g/L,TCHO 9.5mmol/L,SCr 210μmol/L,肾小球滤过率 27.8ml/(min·1.73m2)。血糖正常。血、尿免疫固定电泳未见单克隆免疫球蛋白。血IgA、IgG、IgM和C3无异常。肿瘤标志物无异常。HBs Ag(-)。ANCA(-)。
骨髓穿刺检查未见异常。胸片及腹部B超无异常。肾脏B超:双肾大小正常。
肾病综合征 慢性肾脏病4期 肾性高血压
老年男性,临床表现为肾病综合征、高血压及肾功能减退。无镜下血尿。血糖正常,无多发性骨髓瘤或实体器官肿瘤证据,无乙肝感染证据。没有常见的继发病因,考虑原发性肾病综合征可能性大。故行肾活检明确诊断、指导治疗。
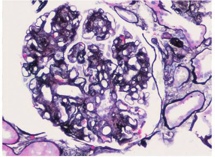
肾活检病理检查:免疫荧光:IgG(+),IgA(-),IgM(-),C3(++),C1q(-),Fibrin(-),轻链蛋白κ(-),λ(-)。光镜:15个肾小球,肾小球系膜细胞增生,系膜基质增多尤为明显,呈结节状硬化,部分节段性插入,基底膜节段性增厚,双轨征形成。结节硬化的系膜区PAS和Masson染色呈红色。肾小管上皮细胞空泡和颗粒状变性,多灶状和大片状萎缩,可见多数蛋白管型。肾间质多灶状淋巴和单核细胞浸润伴纤维化。小动脉管壁增厚,节段性玻璃样变性(图1)。
图1 纤连蛋白肾小球病:肾小球系膜结节样硬化(PASM×400)
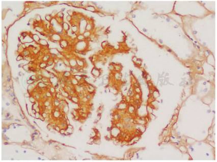
纤维连接蛋白(纤连蛋白)免疫组织化学显示肾小球系膜区和基底膜强阳性(图2)。
图2 纤连蛋白肾小球病:肾小球系膜区和毛细血管壁纤连蛋白染色阳性(免疫组化×400)
刚果红染色阴性。电镜:病变的肾小球内未见电子致密物,系膜区和基底膜内可见大量杂乱排列的短纤维样物质,纤维直径5~8nm,上皮细胞足突弥漫性融合(图3)。病理诊断:纤连蛋白肾小球病。
图3 纤连蛋白肾小球病:肾小球系膜区短纤维样物质沉积(电镜×10 000)
予降压、ACEI控制尿蛋白、及监测肾功能。随访1年时患者SCr 280μmol/L。
纤连蛋白肾小球病
纤连蛋白肾小球病 (fibronectin glomerulopathy)是罕见的常染色体显性遗传肾小球病,也可散发。由于基因突变,导致纤连蛋白的代谢异常。常见中青年起病,临床表现不特异,主要为不同程度的蛋白尿、可有镜下血尿,血压升高,随病程进展肾功能逐渐下降,故从临床上与其他肾炎或肾病综合征不易区分,依赖超微病理诊断。光镜下肾小球系膜基质增生明显呈结节或分叶状及毛细血管壁增厚,电镜下可见大量的直径10nm左右纤维样或颗粒样物质在系膜区和内皮下沉积。但是这些亦不特异,需要与其他病理表现为结节状肾小球病的疾病鉴别,如糖尿病肾病、膜增生性肾炎、淀粉样变性、轻链沉积病及纤维样肾小球病等。确诊依靠免疫组化纤维连接蛋白阳性。
该患者为老年起病,无肾脏病家族史,临床化验未发现老年人常见的继发病因证据,然而肾活检病理发现系膜结节状硬化,电镜下看到小于10nm的纤维丝,临床除外糖尿病肾病,刚果红染色阴性除外淀粉样变性后,就应该考虑纤连蛋白肾小球病,最后免疫组化证实。
本病尚无针对性治疗,与其他原因引起的各期慢性肾脏病处理原则相似,包括控制血压,应用ACEI及ARB控制蛋白尿。接受肾移植的患者有复发的可能。
1.纤连蛋白肾小球病是罕见的常染色体显性遗传肾小球病,也可散发。临床表现多为肾病综合征、高血压及肾功能不全。
2.纤连蛋白肾小球病需要超微病理和免疫组化确诊。
(张 欣 周福德)
1.Tuttle SE,Sharma HM,Bay W,et al.A unique familial lobular glomerulopathy.Arch Pathol Lab Med,1987,111(8):726-731.
2.邹万忠.纤连蛋白肾小球病//邹万忠.肾活检病理学.北京:北京大学医学出版社,2006:207-208.
3.Gemperle O,Neuweiler J,Reutter FW,et al.Familial glomerulopathy with giant fibrillar (fibronectin-positive)deposits:15-year follow-up in a large kindred.Am J Kidney Dis,1996,28(5):668-675.
4.Vollmer M,Kremer M,Ruf R,et al.Molecular cloning of the critical region for glomerulopathy with fibronectin deposits (GFND) and evaluation of candidate genes.Genomics,2000,68(2):127-135.
5.Otsuka Y,Takeda A,Horike K,et al.A recurrent fibronectin glomerulopathy in a renal transplant patient:a case report.Clin Transplant,2012,26(Suppl 24):58-63.



