女性,67岁。
恶心、头晕、乏力、血肌酐升高1个月余。
患者1个月前无明显诱因出现恶心、头晕、乏力,就诊于当地医院,测血压200/90mmHg。尿常规:尿蛋白微量,尿RBC(-),尿WBC 3~5/HP,尿比重1.005。 血常规:WBC 9.20×109/L,Hb 109g/L;血白蛋白31.2g/L,血肌酐 186.1μmol/L,尿素氮15.65mmol/L,予依那普利、硝苯地平(拜新同)、呋塞米治疗。2天前就诊于我院,测血压165/70mmHg,尿蛋白(++),尿RBC 5~10/HP,尿蛋白定量 0.89g/d,血肌酐 507μmol/L,血钾 2.9mmol/L,Hb 81g/L,双肾 B超:右肾 13.1cm×6.0cm×4.9cm,实质厚 1.95cm;左肾 12.6cm×5.8cm×4.7cm,实质厚1.9cm。给予对症降压、补钾治疗。自发病以来,无光过敏、关节痛、肌痛、皮疹、口腔溃疡、雷诺现象等,精神、睡眠可,食欲较差,便秘,10余天排便一次。尿量、尿色正常。体重1个月来减轻约5kg。
3年前行甲状腺结节切除术,当时发现高血压,收缩压高达180mmHg,舒张压不详,后未规律测血压。否认糖尿病病史。否认外伤史、输血食物、药物过敏史。无烟酒嗜好。无肾脏病家族史。
血压160/90mmHg,脉搏68次/分,呼吸16次/分,体温36.7℃;双肺清;心界不大,心率68次/分,律齐,未闻及杂音;腹平,肝脾肋下未触及,移动性浊音(-),肠鸣音正常;双下肢轻度水肿。
急性肾损伤 中度贫血 高血压3级 很高危
患者老年女性,急性病程。临床表现为高血压,血肌酐进行性升高,不伴尿量减少,肾脏大小正常,急性肾损伤诊断明确。临床不支持肾前性及肾后性因素,考虑肾性因素。
入院完善相关检查:血常规:WBC 9.61×109/L,RBC 2.82×1012/L,Hb 81g/L,PLT 288×109/L。ESR 77mm/h。尿渗透压:344Osm/kg,血渗透压314Osm/kg。ANCA、抗GBM抗体、ANA谱均阴性,Coombs’试验阴性。血/尿免疫固定电泳均提示有单克隆免疫球蛋白IgGκ链。血清IgG及IgM水平轻度降低。头颅、腰椎、骨盆平片:未见溶骨性破坏。血清钙1.99mmol/L,磷1.94mmol/L,尿酸633μmol/L。骨髓象:浆细胞比例3.5%,骨髓增生低下,局部增生较活跃,可见成熟浆细胞分化[CD138(+++),VS38C(+++),λ 个别(+),κ (+++)]。 暂不支持多发性骨髓瘤诊断。全身浅表淋巴结B超未见肿大淋巴结。
患者临床突出特点合并血液系统异常:贫血及单克隆免疫球蛋白轻链IgGκ链。需首先考虑浆细胞病继发肾脏疾病。多发性骨髓瘤/浆细胞病导致肾损伤主要累及肾小球、肾小管间质两部分。①肾小球受累:异常蛋白沉积在肾小球可继发AL型淀粉样变性病(λ型轻链为主)或轻链沉积病(κ型轻链为主)。临床表现为大量蛋白尿、肾病综合征,当合并肾小管间质疾病时可发生急性肾损伤。②肾小管间质受累:单克隆轻链与Tamm-Horsfall蛋白形成管型堵塞远端肾小管,发生管型肾病,临床表现为急性肾损伤。单克隆轻链对近端小管上皮细胞有直接毒性,可导致肾性糖尿、氨基酸尿、甚至范可尼综合征。异常浆细胞可浸润肾小管间质,导致急性间质性肾炎。肾小球、肾小管间质受累可同时发生。本患者临床尿蛋白量较少,主要表现为急性肾损伤,考虑肾小管间质疾病可能性大。结合以上分析,为患者行肾活检了解肾脏病理类型。
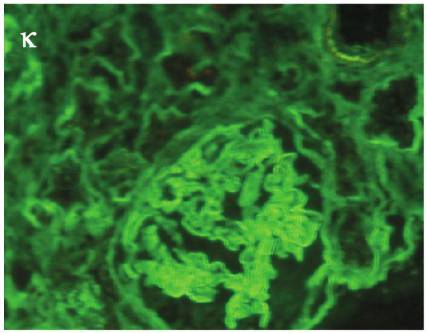
肾脏病理结果:免疫荧光:IgG(-),IgA(-),IgM(-),C3(+),C1q(-),FRA(++),Alb(-),κ(+),λ(-),系膜区结节状沉积,沿肾小管基底膜线样沉积,沿小动脉团块、颗粒样沉积(图1)。光镜:肾小球系膜细胞和基质重度弥漫增生,节段性插入,系膜区结节状硬化,基底膜不规则增厚,节段性双轨形成,内皮下、系膜区嗜复红蛋白沉积(图2)。肾小管多灶状刷毛缘脱落、灶状萎缩,多数浓稠蛋白管型伴单核细胞浸润(图3)。肾间质弥漫水肿,灶状淋巴和单核细胞浸润。小动脉管壁增厚。符合结节硬化性肾小球病伴管型肾病,轻链沉积病可能性大。电镜:肾小球系膜细胞和基质中至重度增生,节段性内皮细胞增生,基底膜内侧可见砂粒状电子致密颗粒沉积,上皮足突节段融合。肾小管上皮空泡变性,部分微绒毛脱落,肾小管基底膜外侧可见砂粒状电子致密颗粒沉积(图4)。肾间质水肿伴淋巴单核细胞浸润。结合荧光检查,符合肾脏轻链沉积病。
随访:转回当地治疗(具体不详),电话随访患者在起病1年后死亡。
图1 轻链沉积病:肾小球系膜区、毛细血管壁和肾小管基底膜κ轻链蛋白沉积(免疫荧光×400)
图2 轻链沉积病:肾小球系膜区和毛细血管壁特殊蛋白沉积,系膜结节状硬化(PASM ×200)
图3 轻链沉积病:肾小管浓稠蛋白管型堵塞,肾小管上皮细胞损伤(PASM×200)
图4 轻链沉积病:肾小球毛细血管基底膜内侧砂粒状电子致密颗粒沉积,上皮细胞足突节段性融合(电镜×10 000)
轻链沉积病 管型肾病 急性肾损伤
高血压病3级 极高危
中度贫血
轻链沉积病(light chain deposition disease,LCDD)是由单克隆免疫球蛋白轻链的异常产生并沉积于全身组织而导致的一种系统性疾病,常继发于淋巴细胞增殖性疾病,包括多发性骨髓瘤(multiple myeloma,MM)、淋巴瘤等。肾脏是最常见的受累器官,常引起进行性肾衰竭。
轻链沉积病发病以中老年人为主,与合并淀粉样变性病患者相比发病年龄较轻,男性多于女性。多数患者以肾脏受累为首发症状,表现为不同程度的蛋白尿及肾功能不全;可伴有镜下血尿和高血压,其中高血压较常见,与淀粉样变性病时易发生低血压不同。当伴管型肾病时可发生急性肾损伤,预后更差。患者血清中可发现单克隆免疫球蛋白区带,且以κ型轻链为主(~80%),而淀粉样变性病以λ型轻链常见。监测血清游离轻链的水平有助于评价患者疗效。
轻链沉积病病理表现比较特异,免疫荧光检查具有决定性诊断意义:单种轻链蛋白沿肾小管基底膜外缘呈光滑的、线形的、强阳性沉积,肾小球基底膜、肾小球囊也可见轻链沉积,合并管型肾病时在肾小管腔内可见浓稠的蛋白管型。50%~60%在光镜下表现为系膜结节硬化性肾小球病,需与膜增生性肾小球肾炎和糖尿病肾小球硬化症相鉴别,刚果红染色阴性可与淀粉样变性病相鉴别。电镜检查可见点状、颗粒状电子致密物质沿肾小管基底膜外侧、肾小球基底膜内侧、系膜区、包曼氏囊壁及小血管壁沉积,早期仅可见少量电子致密物在肾小球基底膜沉积;需结合免疫荧光或免疫电镜进一步确诊。
本例患者为中老年女性,以急性肾衰竭起病,且血尿、蛋白尿不突出,血尿免疫固定电泳发现单克隆免疫球蛋白κ轻链,需首先考虑浆细胞病,如多发性骨髓瘤、淀粉样变性病、轻链沉积病这三种疾病。肾活检为诊断金标准,诊断为轻链沉积病合并管型肾病。
治疗原则参考多发性骨髓瘤的治疗策略,以减少异常免疫球蛋白轻链的产生、清除过多的异常轻链为目标。治疗前需评价患者全身脏器受累情况,大剂量米尔法兰(马法兰)联合泼尼松,或硼替佐米联合地塞米松,或造血干细胞移植的方案可能有效。合并管型肾病导致急性肾衰竭患者可辅以血浆置换或使用高分子截留(high cut-off membrane)的滤器行血液透析,清除游离轻链。治疗期间可监测血清游离轻链水平以评价疗效。如不能有效抑制轻链产生,则不建议行肾移植。年龄、起病时血肌酐水平与患者肾脏预后相关,年龄、是否合并多发性骨髓瘤及患者多脏器受累情况与总体预后相关。本例患者未行有效化疗,预后较差。
1.轻链沉积病以单克隆免疫球蛋白轻链κ型沉积为主,易合并管型肾病导致急性肾损伤,且高血压发生率较高。
2.轻链沉积病病理诊断主要依靠免疫荧光,光镜表现需与淀粉样变性病、膜增生性肾小球肾炎和糖尿病肾病相鉴别,刚果红染色阴性。
3.治疗参考多发性骨髓瘤的治疗方案,合并肾衰竭者预后差。
(曲 贞 陈 旻)
1.王素霞,邹万忠.轻链沉积病的病理诊断及研究进展.中华病理学杂志,2003,32(6):573-575.
2.Jimenez-Zepeda VH.Light chain deposition disease:novel biological insights and treatment advances.Int J Lab Hematol,2012,34(4):347-355.
3.Ronco PM,Alyanakian MA,Mougenot B,et al.Light chain depositiondisease:a model of glomerulosclerosis defined at the molecular level.J Am SocNephrol,2001,12(7):1558-1565.
4.Nasr SH,Valeri AM,Cornell LD,et al.Renal monoclonal immunoglobulin deposition disease:A report of 64 patients from a single institution.Clin J Am SocNephrol,2012,7(2):231-239.
5.Hutchison CA,Bladé J,Cockwell P,et al.Novel approaches for reducing free light chains in patients with myeloma kidney.Nat Rev Nephrol,2012,8(4):234-243.
6.Sayed RH,Wechalekar AD,Gilbertson JA,et al.Natural history and outcome of light chain deposition disease.Blood,2015,126(26):2805-2810.



