男性,43岁。
头晕、乏力、呕吐3个月。
3个月以来患者一直头晕、头痛,伴血压升高。乏力明显,以下肢为著。恶心、呕吐,并逐渐加重,由每天1~2次增至30余次,主要为胃内容物,含胆汁。便秘明显,间断20余天无排便,用通便药可有少量粪便排便。尿量无明显减少。在外院查上消化道造影:可疑十二指肠溃疡。1周前发现血肌酐150μmol/L,B超示双肾增大。收入我院肾内科治疗。
体健。家族中无肾脏病患者。父患高血压,母身体健康。
血压171/100mmHg,脉搏100次/分,呼吸16次/分,一般情况差,衰弱无力,表情淡漠,反应迟钝。听力差,言语欠流利。心肺未见异常。腹平软,未见胃肠型蠕动波,肝脾肋下未触及,肠鸣音1次/分。四肢一般性力弱,肌张力适中。双上肢腱反射对称活跃。膝腱反射对称活跃,跟腱反射对称适中。Babinski征(-),Kernig征(-)颈无抵抗。
急性肾损伤可能性大
患者因血肌酐升高入院,首先需要进行急慢性肾损伤的鉴别。入院后检查血肌酐升至235μmol/L,血尿素氮5.57mmol/L,血尿酸414μmol/L。B超提示双肾增大,左肾14.1cm×6.9cm×5.1cm,实质厚2.1cm;右肾13.8cm×6.8cm×5.7cm,实质厚2.0cm。双肾轮廓不清,实质回声增强,内部结构模糊。尽管既往病史不详,通常肾脏增大多为急性肾损伤,少数例外的病例包括糖尿病肾病、肾脏淀粉样变,但是患者没有糖尿病病史,糖耐量检查正常。血压明显升高在淀粉样变患者中少见,后续的免疫球蛋白检查正常也不支持。
初步确定急性肾损伤后,进一步鉴别肾损伤原因。患者尿常规检查没有细胞,尿蛋白(-),首先考虑是肾前性、肾小管间质损伤或肾血管病变。而血肌酐水平明显升高的情况下,血尿酸水平仍然在正常范围内,尽管尿糖阴性,仍提示有比较广泛的近端小管的受累。患者入院前一直进食不好,体检皮肤干燥,但是尿量仍保持2 000ml/d,查尿渗透压420mOsm/kg(血渗透压285mOsm/kg),提示远端间质小管受损,尿浓缩功能下降。
间质小管损伤的常见因素是药物和毒物;自身免疫性疾病引起的间质性肾炎;代谢因素,如高钙血症,低钾血症,高尿酸血症等。患者入院检查,血钙2.13mmol/L,血磷0.55mmol/L,血镁1.15mmol/L,血钾 3.18mmol/L,血尿酸 414μmol/L。 IgA、IgG、IgM、C3,抗核抗体谱均正常,ESR正常,血常规正常。近3个月因为乏力食欲减退、血压升高,用过多种药物,患者及家属不能准确描述。但是并无皮肤瘙痒、皮疹等病史。因此间质损伤的原因集中在代谢因素或药物。患者血钙正常、血磷下降、血钾略低,同时合并明显高血压,随后进行的立卧位肾素-血管紧张素-醛固酮测定;皮质醇节律检查均在正常范围,而且明确乏力病史只有3个月,与长期低血钾的症状不符。
入院第4天,偶然在患者转头时发现其左颈部肿块,B超发现甲状旁腺结节。多次触摸后次日患者症状明显加重,血压一直维持在180/100mmHg左右,静脉滴注硝普钠无明显效果,自觉膝关节及小腿疼痛。复查血钙4.26mmol/L,血磷1.69mmol/L,血镁1.15mmol/L,血ALP 262IU/L,SCr 398μmol/L,24小时尿钙10.02mmol。予扩容利尿治疗后,血钙居高不下,经多次透析后血钙降至3.6mmol/L,但症状改善不明显。于入院后第7天行甲状旁腺肿物切除术。术后病理:甲状旁腺腺瘤。
术后患者症状逐渐好转。术后第5天头晕、乏力、恶心呕吐完全消失,可进食,肠鸣音正常,排便恢复正常,双膝、小腿疼痛消失。反应敏捷,听力好转,言语较前流利。术后第13天听力图仍示感音神经性耳聋,但术后第21天明显恢复。术后5天血压降至140/90mmHg,21天后血压降至120/80mmHg。PTH于术后第3天至正常范围10ng/L,术后第7天24小时尿钙明显减少,至3.952mmol。血钙2.42mmol/L,血磷0.7mmol/L,血ALP上升,第17天达649IU/L,同工酶电泳示骨性ALP占87.8%。术后第35天血ALP 283IU/L。
术后尿量明显增加,第9~12天尿量每日达5 000ml。肾脏体积逐渐缩小,术后第7天左肾 14.4cm×7.2cm×6.0cm,实质厚2.2cm,右肾14.1cm×7.5cm×5.8cm,实质厚2.2cm。 术后33天时左肾13.2cm×6.9cm×5.7cm,实质 2.1cm,右肾 12.8cm×6.6cm×5.5cm,实质 2.0cm。SCr到术后第26天降至149μmol/L,尿量减少至正常范围。
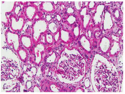
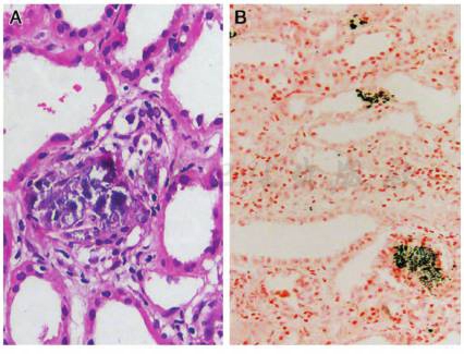
甲状旁腺肿物切除术后第2天行肾穿刺。免疫荧光:免疫球蛋白和补体均阴性。光镜:13个肾小球无明显病变,肾小管多灶状萎缩,部分上皮细胞钙化。肾间质多灶状纤维化及钙化,小动脉无变化(图1,图2)。电镜:可见肾小管上皮细胞内有钙颗粒。钙特殊染色阳性。

图1 高钙肾病:肾小球无明显病变,肾小管上皮刷毛缘脱落,管腔扩张,肾间质轻度水肿(HE×200)

图2 高钙肾病:A:肾小管上皮刷毛缘脱落,管腔扩张,管壁钙质沉积,肾间质轻度水肿(HE×400),B:特殊染色证实肾小管壁和管腔钙质沉积(von Kossa×200)
高钙肾病 急性肾损伤
甲状旁腺腺瘤切除术后
该患者为非少尿型急性肾小管间质损伤,在寻找病因方面有一些经验和教训。
临床表现及实验室检查结果:①血肌酐波动于235~398μmol/L,肾功能在该水平的患者出现如此严重的消化道、神经系统、肌肉症状很并不多见;②患者频繁呕吐,无法进水,但尿量仍偏多,尿浓缩功能下降,与一般规律不符;③不存在钠水潴留,但高血压顽固,不易控制;④典型的慢性肾衰竭通常为高磷血症及低钙血症。而该患者最初入院的时候血钙正常,但是血磷降低。后经追问病史,患者找到一些3个月前的检查和治疗记录,曾经间断出现过高钙血症,经过扩容利尿治疗好转。此次入院后,血钙逐渐升高,且血钙的波动与血肌酐的变化相关。因此,高钙血症是引起急性肾衰竭为最可能的原因。
临床上引起高钙血症并较易引起急性肾衰竭的主要有多发性骨髓瘤、肿瘤骨转移、碱血症等。该患者ESR正常,无贫血及代谢性碱中毒,上述疾病可能性小。更为重要的线索是该患者血磷低,碱性磷酸酶水平持续升高且肝功能基本正常,提示甲状旁腺功能亢进,颈部B超发现甲状旁腺结节。随即又发现触摸此结节后临床表现加重、甲状旁腺激素水平明显升高,考虑甲状旁腺腺瘤,后经手术证实。术后各系统异常逐渐恢复,但尿量渐增加,肾小管小管功能受损以远端为主,结合高尿钙考虑有高钙肾病,肾穿刺活检证实。
1.急性肾损伤以间质小管病为主要表现时应考虑到电解质紊乱是可能的原因之一。
2.高钙血症的主要原因是原发性甲状旁腺功能亢进和肿瘤,发现高血钙时应进行病因的排查。
3.高钙血症的患者在进行血钙检测时,有时会表现为血总钙正常,和血浆白蛋白浓度有关,应进行校正,或者检测离子钙水平。
(陈育青 张 宏)
1.陈育青,赵明辉,刘玉春,等.临床病例讨论第225例-头晕、乏力、呕吐伴高血钙.中华内科杂志,2000,39(1):69-70.
2.Rosen S,Greenfeld Z,Bernheim J,et al.Hypercalcemic nephropathy:chronic disease with predominant medullary inner stripe injury.Kidney Int,1990,37(4):1067-1075.
3.Hebert SC.Extracellular calcium-sensing receptor:implications for calcium and magnesium handling in the kidney.Kidney Int,1996,50(6):2129-2139.
4.Riccardi D,Hall AE,Chattopadhyay N,et al.Localization of extracellular Ca2+/polyvalent cation-sensing protein in rat kidney.Am J Physiol,1998,274(3 Pt 2):F611-22.