女性,26岁。
发现尿色发红、尿中泡沫增多2个月余。
2个月前无诱因发现尿色发红、尿中泡沫增多,当地医院检查血压正常,尿蛋白(+)、潜血(++),血肌酐97μmol/L,予青霉素治疗,效果不佳。1周前患者觉恶心,间断呕吐,为胃内容物,非咖啡色样,非喷射性。当地医院检查血压150/90mmHg,尿蛋白(++)、RBC 20~30/HP,WBC 30~40/HP,血肌酐267μmol/L。近3个月有光过敏、脱发。
否认其他病史,未婚未育。其母患“肾病”,诊治不详。
T 36.8℃,BP 150/90mmHg,R 20次/分,P 90次/分,神志清楚。 轻度贫血貌,双颊部皮肤可见对称性蝶形红斑。口腔颊黏膜内侧可见数个溃疡。双肺呼吸音弱,未闻及干湿啰音。心脏查体无明显异常。腹平软,无压痛及反跳痛,肝脾未及,移动性浊音(+)。双下肢不肿。
血常规:白细胞2.36×109/L,血红蛋白102g/L,血小板78×109/L。 尿常规:比重1.020,蛋白(++),镜检RBC 10~15/HP,WBC 20~30/HP。尿红细胞位相为混合性,尿白细胞分类多形核及单核细胞均可见。24小时尿蛋白定量:1.65g。生化检查:SCr 287μmol/L,ALT 14IU/L,AST 34IU/L,ALB 31g/L。 免疫学检查:ESR 56mm/h,C3 0.5g/l,ANA 颗粒型1∶1 000,抗dsDNA抗体(+),抗 Sm 抗体(+)。 ANCA:P 型,抗 MPO 抗体(+)乙肝五项及HCV-Ab均(-)。
胸片示双侧肋膈角变钝。B超:双侧少量胸腔积液。肝、脾大小及结构正常。中等量腹水。 双肾增大,左肾:12.1cm×5.2cm×4.2cm,实质厚 1.7cm,右肾:12.3cm×5.1cm×4.6cm,实质厚1.7cm。
系统性红斑狼疮 狼疮性肾炎 急性肾损伤 血液系统受累
患者青年女性,急性病程,临床表现为多系统受累。①皮肤和黏膜:颊部可见蝶形红斑,有口腔溃疡、光过敏、脱发;②肾脏表现为肾小球源性血尿、白细胞尿、蛋白尿,短时间内(入院前2个月至入院)SCr进行性上升,B超双肾不小,临床呈现急进性肾炎综合征(RPGN);③血液系统:表现为白细胞减少、贫血、血小板减少;④肺部表现:双侧胸腔积液;⑤胃肠道表现:恶心、呕吐,腹水。结合ANA、抗dsDNA、抗Sm(+)及系统性红斑狼疮、狼疮性肾炎诊断明确,病变活动。但患者表现为血清ANCA阳性,应注意同时考虑血管炎的诊断。
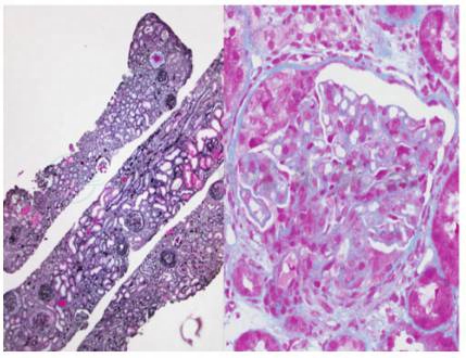
入院后行肾活检,肾活检病理学检查:荧光:IgG(++),IgM(++),IgA(++),C3(++),C1q(++),FRA(++),在系膜区及毛细血管壁颗粒状沉积(图 1);光镜:肾穿刺可见 15个肾小球。肾小球系膜细胞及内皮细胞弥漫增生,内皮下及系膜区可见嗜复红蛋白沉积。可见7个细胞性新月体,2个细胞纤维性新月体形成。肾小管多灶状萎缩,肾间质多灶状淋巴及单核细胞浸润伴灶状纤维化。小动脉管壁轻度增厚。符合Ⅳ型狼疮性肾炎(Ⅳ-G(A/C)及Ⅱ型新月体性肾炎的诊断(图2);电镜:内皮下及系膜区可见电子致密物沉积,上皮细胞足突大部分融合(图3)。
图1 狼疮性肾炎:IgG ++,IgM++,IgA++,C3 ++,C1q++,FRA++,在系膜区及毛细血管壁沉积
图2 狼疮性肾炎:A:肾小球多数新月体形成(PASM×100),B:光肾小球系膜细胞及内皮细胞增生,内皮下及系膜区可见嗜复红蛋白沉积,伴细胞性新月体形成(PASM+Masson×400)
图3 狼疮性肾炎:肾小球系膜区和内皮下电子致密物沉积,上皮细胞足突大部分融合(电镜×5 000)
诊断明确后予患者静脉甲泼尼龙冲击治疗(500mg/d,共3天),之后继续口服泼尼松50mg/d,且于静脉激素冲击治疗1周后给予静脉环磷酰胺的治疗。应用激素3天后患者血常规恢复正常,血肌酐水平降至167μmol/l。入院4周后胸、腹水消失,乏力明显减轻,食欲好转,24小时尿蛋白为 0.78g,尿红细胞为3~5/HP,尿白细胞(-),血肌酐稳定在110~120μmol/L后出院。泼尼松在第6周开始规律减量,并规律给予静脉环磷酰胺治疗。随访6个月时,ANA为1∶320,抗dsDNA及抗Sm均转阴,C3上升至0.78g/L,ESR正常,血肌酐112μmol/L,尿常规阴性,抗MPO抗体转阴。
系统性红斑狼疮 狼疮性肾炎 Ⅳ型狼疮性肾炎(Ⅳ-G(A/C)及Ⅱ型新月体性肾炎急性肾损伤 狼疮血液系统损伤
这是一个合并新月体形成的狼疮性肾炎的病例。系统性红斑狼疮患者临床表现为多系统受累,肾脏受累较为常见。狼疮性肾炎的临床表现各异,从表现为无症状蛋白尿至急进性肾小球肾炎。而新月体形成常见于背景为增殖性肾小球肾炎的表现。
经肾活检证实的狼疮性肾炎中合并新月体形成者的比例为10%~51.6%。我们研究发现部分合并新月体形成的狼疮性肾炎的荧光病理表现类似“寡免疫沉积”,且有近1/3的合并新月体形成的狼疮性肾炎患者抗中性粒细胞胞质抗体(ANCA)阳性,该比例远高于非新月体狼疮性肾炎,提示ANCA可能参与了狼疮性肾炎的新月体形成。其他如纤维蛋白、组织因子等凝血因子,及如巨噬细胞、肾小球上皮细胞、足细胞及间质成纤维细胞等的不同类型的细胞增殖,都可能参与了狼疮新月体肾炎的形成。
治疗方面,目前尚无合并新月体形成的狼疮性肾炎的治疗指南,大多数学者建议按照治疗增殖性狼疮性肾炎的免疫抑制治疗方案进行强化治疗。因此我们予以该患者静脉甲泼尼龙冲击治疗,及其后的规律口服激素联合免疫抑制剂治疗。但长期随访表明合并新月体形成的Ⅳ-G型狼疮性肾炎患者的肾脏预后较无新月体形成的Ⅳ-G型差,完全缓解率低,且复发率高。
1.合并新月体形成的狼疮肾炎患者临床表现重,应予积极强化免疫抑制治疗。
2.ANCA可能参与了部分狼疮新月体肾炎患者的发病。
(于 峰 陈 旻)
1.Yu F,Tan Y,Liu G,et al.Clinicopathological characteristics and outcomes of patients with crescentic lupus nephritis.Kidney Int,2009,76(3):307-317.
2.Sumethkul V,Chalermsanyakorn P,Changsirikulchai S,et al.Lupus nephritis:a challenging cause of rapidly progressive crescentic glomerulonephritis.Lupus,2000,9(6):424-428.
3.Sen D Isenberg DA.Antineutrophil cytoplasmic autoantibodies in systemic lupus erythematosus.Lupus,2003,12(9):651-658.
4.Erlich JH,Apostolopoulos J,Wun TC,et al.Renal expression of tissue factor pathway inhibitor and evidence for a role in crescentic glomerulonephritis in rabbits.J Clin Invest,1996,98(2):325-335.
5.Nasr SH,D’Agati VD,Park HR,et al.Necrotizing and crescentic lupus nephritis with antineutrophil cytoplasmic antibody seropositivity.Clin J Am Soc Nephrol,2008,3(3):682-690.



