患者女性,56岁,家庭主妇。主因“干咳4个月余”入院。患者4个月前无明显诱因出现干咳,为刺激性咳嗽,活动后加重,无痰;不伴发热、头晕、胸闷、气促症状。当地医院给予止咳治疗未见明显缓解。外院给予支气管镜检查示:右上叶支气管新生物堵塞管腔,取活检送病理报告炎性病变(具体报告未见)。PET-CT示:右肺上叶前段实质性肿块(大小:5.8cm×7.0cm×2.8cm,最大 SUV:8.5,平均 SUV:4.3),密度尚均匀,近端与肺门相连(图1)。为求进一步诊治,收住我科。发病以来,精神状态一般,胃纳可,睡眠好,大小便正常,无体重明显下降。
图1 全身PET-CT显像
A.胸部CT扫描示右肺上叶前段实变影;B:PET扫描示右肺上叶前段18-FDG异常高代谢病灶,大小约5.8cm×7.0cm×2.8cm 的实质性肿块(平均 SUV:4.3,最大 SUV:8.5),内密度尚均匀
引自:主编:.呼吸与危重症医学疑难与危重病例精选.第1版.ISBN:978-7-117-30147-3
入院查体
T 35.9℃,P 75次/min,R 15次/min,BP 102/60mmHg,指脉氧饱和度97%。 神志清楚,步入病房。咽喉不红,扁桃体不大。全身皮肤黏膜未见异常,全身浅表淋巴结无肿大。颈软,无抵抗,颈静脉无怒张。气管居中,甲状腺无肿大。左肺呼吸音清晰,右肺上叶呼吸音略低,双肺未闻及干、湿性啰音,未闻及胸膜摩擦音。心率75次/min,律齐,各瓣膜听诊区未闻及杂音。腹平软,全腹无压痛,无肌紧张及反跳痛,肝脾肋下未触及,肝肾区无叩击痛。关节无红肿,双下肢无水肿。双侧肢体肌力无减退。生理反射正常,病理反射未引出。
既往史及个人史
平素体质健康,无吸烟、饮酒史,无禽类接触史,无支气管哮喘病史,否认家族肿瘤病史。
辅助检查
全身PET-CT显像:右肺上叶前段异常高代谢病灶。
初步诊断
肺部占位性质待查
问题1:右肺上叶占位性质?
患者病情特点如下:①中年女性患者,以刺激性干咳4个月为主诉;②外院支气管镜检发现右上叶支气管新生物堵塞管腔;③PET-CT发现右肺上叶前段实质性肿块(约5.8cm×7.0cm×2.8cm),内密度尚均匀,最大SUV:8.5。综上,患者需首先考虑肺癌并远端阻塞性肺炎可能。为进一步明确诊断,完善以下检查:
辅助检查
血常规:白细胞:10.8×109/L,淋巴细胞:14.4%,中性粒细胞:81.1%。
CRP:40mm/h↑,PCT:0.05↑。
病原学相关检查:T-SPOT TB:阴性;乳胶凝集试验、G试验均(-);呼吸道九联IgM抗体:肺炎衣原体、Q热立克次体、肺炎支原体、呼吸道合胞病毒、副流感1/2/3型、甲型/乙型流感病毒、嗜肺军团菌、腺病毒均阴性。
血肿瘤标志物:CEA:1.03μg/L、CA125:31.16U/ml、CY211:1.46ng/ml、CA199:6.31U/ml、NSE:<11.01ng/ml、SCC:0.4ng/ml,均在正常范围。
常规支气管镜检查:镜下见右肺上叶管口新生物,触之易出血;病灶予以活检(图2)。
图2 支气管镜示:右肺上叶管口新生物,完全堵塞右肺上叶支气管,触之易出血,色白;右肺中间干通畅
引自:主编:.呼吸与危重症医学疑难与危重病例精选.第1版.ISBN:978-7-117-30147-3
术后病理:见少量支气管黏膜上皮,伴轻度慢性炎症。
CT引导下肺穿刺:经皮右上肺病灶穿刺术。术后病理:右肺慢性炎症伴肺泡腔内泡沫细胞聚集,肺泡上皮增生。
综上,患者支气管镜下发现右肺上叶支气管腔新生物,PET-CT扫描提示病灶高代谢,右上肺病灶共两次活检均提示炎性改变。但病理结果明显与临床表现不符,可能原因:①支气管腔病灶活检过浅,未抓到真正病变;②肺穿刺活检或为继发性阻塞性肺炎改变,而非真正病变组织。
问题2:如何获得有效病理组织?
支气管腔内病灶冷冻和电凝等介入治疗既可以解除右上肺支气管堵塞,又可取得大块病灶组织送活检,因此,建议该患者行支气管镜介入治疗并活检。
支气管镜介入活检病理提示:CK(+)、VIM(+)、CgA(-)、Syn(-)、TTF-1(-)、WT-1(-)、LCA(-)、P63(+)、Napsin A(-)、P40(+);特殊染色:抗酸染色(-)、特染 PAS(-)、银染(-)。(右肺上叶支气管前段)送检为大量纤维素性渗出物,其中可见少量核异型细胞,倾向于癌。
问题3:支气管内神经鞘瘤的临床诊治?
原发于肺部支气管神经鞘瘤多起源于肺部Schwann细胞,临床上极少见,起病隐匿,无特异性临床表现,可有发热、咯血、咳嗽、呼吸困难等症状,严重时可出现肺不张。大多数在管腔堵塞50%以上才被发现。由于气道阻塞,可闻及双相哮鸣音,易被误诊为肺癌、支气管哮喘或支气管炎。
胸部CT增强后瘤体可有不均匀强化和新生物内部血供现象。病理活检可明确诊断。特征性病理可见:瘤体有完整包膜,由细胞丰富的束状区(Antoni A区)和疏松黏液样的网状区(Antoni B区)交替分布;组织学上可见肿瘤细胞呈梭形细胞增殖,呈栅栏状排列。肿瘤细胞S-100蛋白染色、弹性蛋白及CD56(+),CD34和平滑肌肌动蛋白(-)。
支气管内神经鞘瘤以病灶切除为主要治疗手段,累及肺部病灶较大者可外科手术切除,累及气管或支气管病灶可通过支气管镜介入治疗切除。
结合外院PET-CT示病灶局限,无远处转移,遂给予外科根治性手术切除。
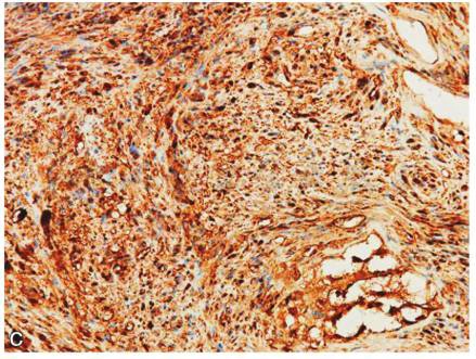
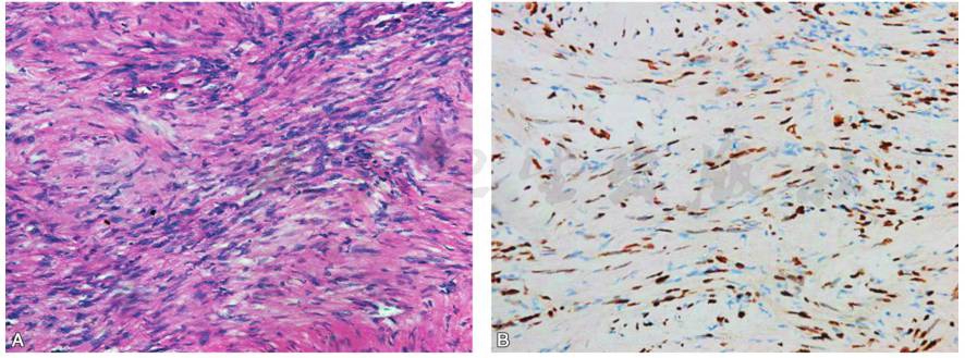
胸外科行右肺肿块切除术,术中见纵隔部分淋巴结肿大,术后免疫组织化学病理(图3):支气管肿块:CD34(-)、CD117(-)、DOG-1(-)、SOX10(+)、SMA(-)、S100(+)、Ki67(2%+);肺组织:CK(上皮+)、VIM(间质+)、Syn(-)、TTF-1(肺泡上皮+)、P40(支气管上皮+);特殊染色:弹力纤维(+)、PAS(-)、银染(-)。考虑:(右肺上叶)支气管内神经鞘瘤,肺占位周围组织内慢性炎症伴较多淋巴结灶分布,部分肺泡腔内见泡沫细胞聚集,送检(2、4、7、10、11组淋巴结)共七枚,均提示反应性增生。
图3 A.(HE,×200)肿瘤细胞呈梭形、部分卵圆形,呈束状排列,Antoni A区(致密区)和Antoni B区(疏松区)交替分布不明显;B.免疫组织化学标记肿瘤细胞(ABC法,×200)SOX-10阳性;C.免疫组织化学标记肿瘤细胞(ABC 法,×200)S-100阳性
病灶组织活检病理
1.原发性支气管内神经鞘瘤
2.阻塞性肺炎
患者术后规律随访,未见复发。
1.原发性支气管肿瘤的良、恶性鉴别诊断
良性肿瘤常见有:上皮性肿瘤(乳头状瘤、息肉)、黏液腺瘤、唾液腺瘤、神经源性肿瘤;恶性肿瘤常见有:腺癌、鳞状细胞癌、小细胞癌、纤维肉瘤、原发于气管或支气管的类癌。原发性支气管良性肿瘤胸部CT可表现为不均匀强化,远端阻塞性肺炎,PET/CT可表现为高代谢,缺乏特异性,易被误诊为肺癌。此病例病理曾误诊为肺癌,后经过外科病灶切除取病理明确诊断。当组织和细胞病理、免疫组织化学染色结果等与临床表现、影像、生化检查不符时,需再次活检,必要时病灶切除送病理明确诊断。
2.支气管内神经鞘瘤的治疗与预后
现有报道支气管内神经鞘瘤发病年龄见于8~83岁,大部分为良性病变。有研究发现低水平Ki67患者预后较好。免疫组织化学染色在Antoni A区或Antoni B区可见肿瘤细胞,呈梭形生长,S100染色阳性为特征。目前治疗支气管腔内神经鞘瘤可采用外科胸腔镜、支气管镜下电切/激光手术切除。根据国内报道,气管镜下电切效果较好,对于镜下介入治疗难以完全切除者可以考虑外科手术切除。支气管内神经鞘瘤的预后一般较好。
(周代兵 龚益 李圣青)
[1]唐兰芳,沈征,陈志敏,等.儿童原发性气管内神经鞘瘤1例[J].中国实用儿科杂志,2006,21(10):797-798.
[2]LEE B R,CHOI Y D,KIM Y I,et al.Endobronchial schwannoma treated by rigid bronchoscopy with argon plasma coagulation[J].Tuberc Respir Dis (Seoul),2012,73(3):174-177.
[3]胡轶,张景熙,夏阳,等.经气管镜高频电凝圈套治疗气管及支气管腔内良性神经鞘瘤三例[J].中华结核和呼吸杂志,2012,35(3):229-231.
[4]LIAO H,SONG W,CHEN N,et al.Left lower lobe sleeve resection for endobronchial schwannoma[J].Ann Transl Med,2019,7(3):50.
[5]TANSEL T,TOKER A,YILMAZBAYHAN D,et al.Primary endobronchial schwannoma[J].J Pediatr Surg,2010,45(11):2241-2243.
[6]DUMOULIN E,GUI X,STATHER D R,et al.Endobronchial schwannoma[J].J Bronchol Interv Pulmonol,2012,19(1):75-77.



